About   Help   FAQ
Gene Expression Data
Assay Details
Assay
Reference: J:122989 Visel A, et al., GenePaint.org: an atlas of gene expression patterns in the mouse embryo. Nucleic Acids Res. 2004 Jan 1;32(Database issue):D552-6
Assay type: RNA in situ
MGI Accession ID: MGI:5421849
Gene symbol: Ddah2
Gene name: DDAH family member 2, ADMA independent
Probe: T30747
Probe preparation: Antisense labelled with digoxigenin RNA
Visualized with: Alkaline phosphatase
Assay notes: Cryosections of fresh frozen material were fixed in 4% paraformaldehyde for 20 min. before further processing. A tyramide-biotin/streptavidin amplification step was included in the in situ hybridization procedure. These data were downloaded from GenePaint.org on 1/30/12.
Results
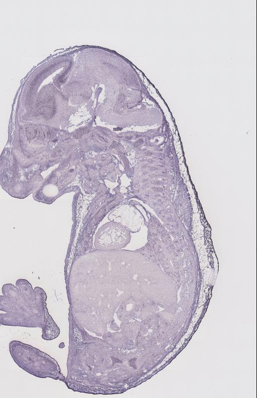
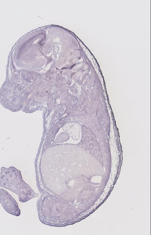
Specimen EN1898; Specimen N844: embryonic day 14.5 (more )
Structure Level Pattern Image Note
TS22: nervous system Strong Regionally restricted Embryo_N844_6_3D
TS22: central nervous system Strong Regionally restricted Embryo_N844_6_3D
TS22: telencephalon Strong Regionally restricted Embryo_N844_6_3D
TS22: cerebral cortex Strong Regionally restricted Embryo_N844_6_3D
TS22: neocortex Strong Regionally restricted Embryo_N844_6_3D
TS22: olfactory cortex Weak Regionally restricted Embryo_N844_6_2A
TS22: main olfactory bulb Absent
TS22: piriform cortex Weak Regionally restricted Embryo_N844_6_2A
TS22: hippocampus Strong Regionally restricted Embryo_N844_6_3D
TS22: basal ganglia Moderate Regionally restricted Embryo_N844_6_2D
TS22: corpus striatum Moderate Regionally restricted Embryo_N844_6_2D Expression was detected in the corpus striatum (lateral ganglionic eminence).
TS22: basal forebrain Absent
TS22: amygdala Absent
TS22: telencephalon septum Moderate Regionally restricted Embryo_N844_6_3D
TS22: pallidum Absent Expression was not detected in the pallidum (medial ganglionic eminence).
TS22: diencephalon Moderate Regionally restricted Embryo_N844_6_3D
TS22: thalamus Moderate Regionally restricted Embryo_N844_6_3D
TS22: hypothalamus Absent
TS22: midbrain Moderate Regionally restricted Embryo_N844_6_4C
TS22: pretectum Absent
TS22: superior colliculus Moderate Regionally restricted Embryo_N844_6_4C
TS22: inferior colliculus Moderate Regionally restricted Embryo_N844_6_4C
TS22: midbrain tegmentum Moderate Regionally restricted Embryo_N844_6_4C
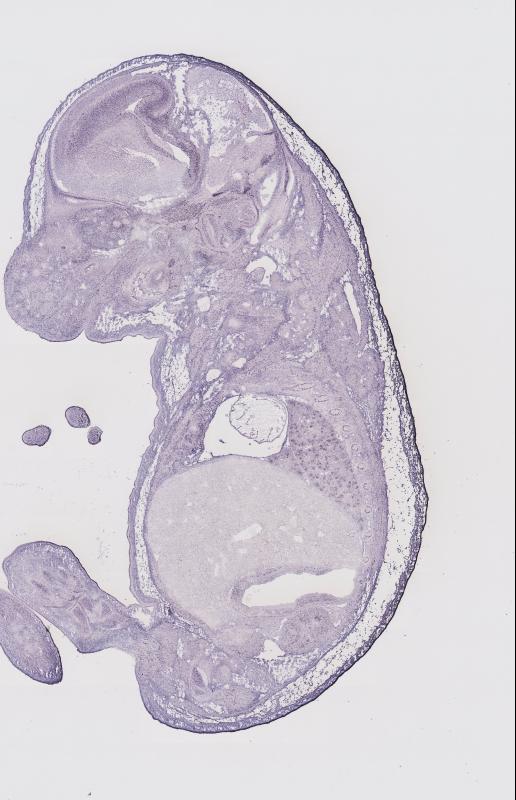
TS22: hindbrain Moderate Regionally restricted Embryo_N844_6_4C
TS22: cerebellum Moderate Regionally restricted Embryo_N844_6_4C
TS22: pons Moderate Regionally restricted Embryo_N844_6_4C
TS22: medulla oblongata Absent
TS22: spinal cord Moderate Regionally restricted Embryo_N844_6_4C
TS22: choroid plexus Moderate Regionally restricted Embryo_N844_6_4B
TS22: meninges Moderate Regionally restricted Embryo_N844_6_2B
TS22: peripheral nervous system Strong Ubiquitous Embryo_N844_6_3B
TS22: cranial ganglion Strong Ubiquitous Embryo_N844_6_3B
TS22: dorsal root ganglion Strong Ubiquitous Embryo_N844_6_3C
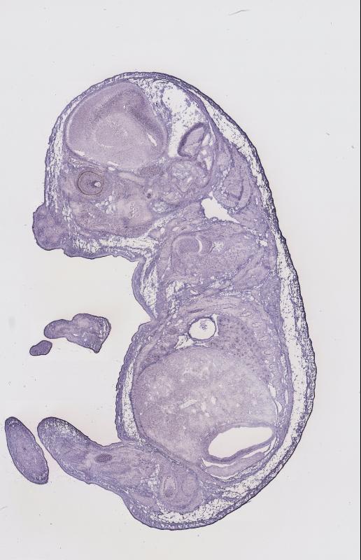
TS22: eye Strong Regionally restricted Embryo_N844_6_1B
TS22: retina Strong Regionally restricted Embryo_N844_6_1B
TS22: lens Absent
TS22: cornea Absent
TS22: optic nerve Absent
TS22: nose Moderate Regionally restricted Embryo_N844_6_3D
TS22: olfactory epithelium Moderate Regionally restricted Embryo_N844_6_3D
TS22: ear Moderate Regionally restricted Embryo_N844_6_3B
TS22: inner ear Moderate Regionally restricted Embryo_N844_6_3B
TS22: cochlea Moderate Regionally restricted Embryo_N844_6_3B
TS22: inner ear labyrinth Absent
TS22: middle ear Absent
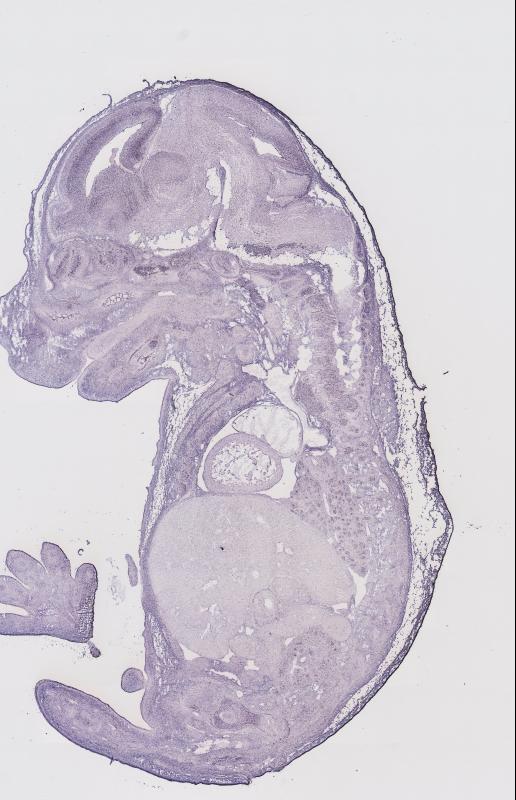
TS22: alimentary system Moderate Regionally restricted Embryo_N844_6_2B Expression was detected in the digestive system.
TS22: intestine Absent
TS22: salivary gland Absent
TS22: tongue Weak Regionally restricted Embryo_N844_6_3D
TS22: tooth Absent
TS22: palatal shelf Moderate Regionally restricted Embryo_N844_6_4C
TS22: esophagus Absent
TS22: stomach Moderate Regionally restricted Embryo_N844_6_2B
TS22: liver Absent
TS22: respiratory system Moderate Regionally restricted Embryo_N844_6_3C
TS22: pharynx Absent
TS22: larynx Absent
TS22: trachea Absent
TS22: main bronchus Absent
TS22: lung Moderate Regionally restricted Embryo_N844_6_3C
TS22: urinary system Moderate Regionally restricted Embryo_N844_6_3B Expression was detected in the genito-urinary system.
TS22: metanephros Moderate Regionally restricted Embryo_N844_6_3B
TS22: ureter Absent
TS22: bladder Moderate Regionally restricted Embryo_N844_6_4D
TS22: urethra Absent
TS22: reproductive system Moderate Regionally restricted Embryo_N844_6_4C
TS22: genital tubercle Moderate Regionally restricted Embryo_N844_6_4C
TS22: gonad Absent
TS22: gland Moderate Regionally restricted Embryo_N844_6_4B Expression was detected in the endocrine system.
TS22: thyroid gland Absent
TS22: pituitary gland Moderate Regionally restricted Embryo_N844_6_4B
TS22: pancreas Absent
TS22: adrenal gland Absent
TS22: cardiovascular system Moderate Regionally restricted Embryo_N844_6_4D
TS22: heart Moderate Regionally restricted Embryo_N844_6_4D
TS22: heart atrium Moderate Regionally restricted Embryo_N844_6_4D
TS22: heart ventricle Moderate Regionally restricted Embryo_N844_6_4D
TS22: blood vessel Absent
TS22: hemolymphoid system Moderate Regionally restricted Embryo_N844_6_4A Expression was detected in the immune system.
TS22: spleen primordium Absent
TS22: thymus primordium Moderate Regionally restricted Embryo_N844_6_4A
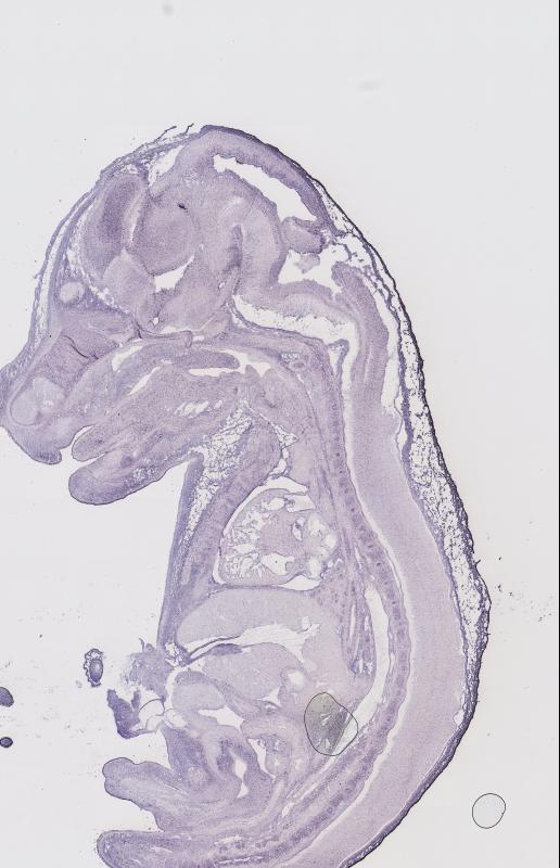
TS22: appendicular skeleton Moderate Regionally restricted Embryo_N844_6_3B Expression was detected in the skeleton (limbs, shoulder, hip).
TS22: musculature Moderate Regionally restricted Embryo_N844_6_1C
TS22: face Moderate Ubiquitous Embryo_N844_6_2D Expression was detected in the face/soft tissues.
TS22: facial bone primordium Moderate Regionally restricted Embryo_N844_6_4B
TS22: cranium Strong Regionally restricted Embryo_N844_6_2C Expression was strong in the skull (base and vault).
TS22: axial skeleton Absent
TS22: tail Moderate Regionally restricted Embryo_N844_6_1D
TS22: forelimb Moderate Regionally restricted Embryo_N844_6_1D
TS22: hindlimb Moderate Regionally restricted Embryo_N844_6_1D
TS22: integumental system Strong Regionally restricted Embryo_N844_6_5B
TS22: skin Strong Regionally restricted Embryo_N844_6_5B
TS22: hair Absent
TS22: vibrissa follicle Absent Expression was not detected in whisker follicle.


Contributing Projects:
Mouse Genome Database (MGD), Gene Expression Database (GXD), Mouse Models of Human Cancer database (MMHCdb) (formerly Mouse Tumor Biology (MTB)), Gene Ontology (GO)
Citing These Resources
Funding Information
Warranty Disclaimer, Privacy Notice, Licensing, & Copyright
Send questions and comments to User Support.
last database update
12/30/2025
MGI 6.24
The Jackson Laboratory