About   Help   FAQ
Gene Expression Data
Assay Details
Assay
Reference: J:122989 Visel A, et al., GenePaint.org: an atlas of gene expression patterns in the mouse embryo. Nucleic Acids Res. 2004 Jan 1;32(Database issue):D552-6
Assay type: RNA in situ
MGI Accession ID: MGI:5421799
Gene symbol: Acot7
Gene name: acyl-CoA thioesterase 7
Probe: T30143
Probe preparation: Antisense labelled with digoxigenin RNA
Visualized with: Alkaline phosphatase
Assay notes: Cryosections of fresh frozen material were fixed in 4% paraformaldehyde for 20 min. before further processing. A tyramide-biotin/streptavidin amplification step was included in the in situ hybridization procedure. These data were downloaded from GenePaint.org on 1/30/12.
Results
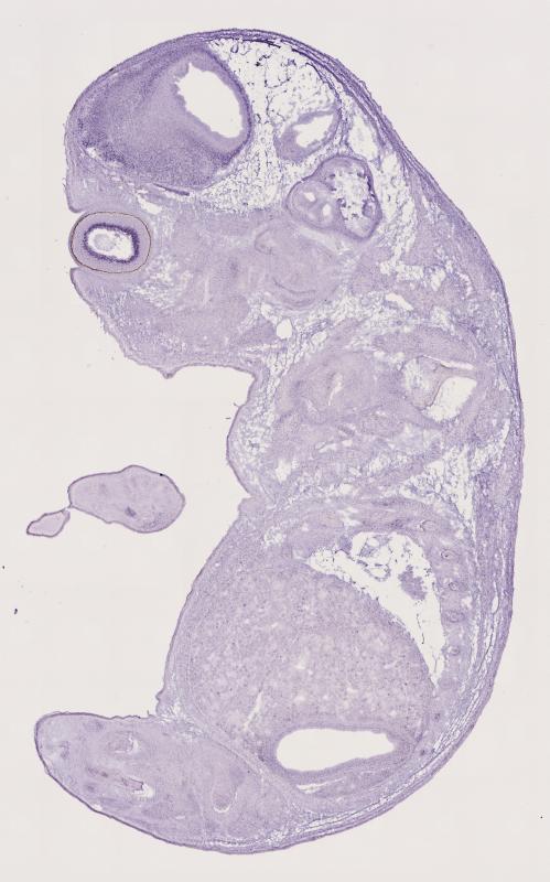
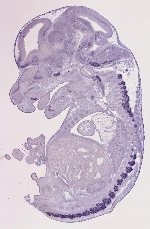
Specimen EH3555; Specimen C3473: embryonic day 14.5 (more )
Structure Level Pattern Image Note
TS22: nervous system Strong Regionally restricted Embryo_C3473_4_3B
TS22: central nervous system Strong Regionally restricted Embryo_C3473_4_4D
TS22: telencephalon Strong Regionally restricted Embryo_C3473_4_3D
TS22: cerebral cortex Strong Regionally restricted Embryo_C3473_4_4D
TS22: neocortex Absent
TS22: olfactory cortex Strong Regionally restricted Embryo_C3473_4_4D
TS22: main olfactory bulb Strong Regionally restricted Embryo_C3473_4_4D
TS22: piriform cortex Weak Ubiquitous Embryo_C3473_4_2A
TS22: hippocampus Strong Regionally restricted Embryo_C3473_4_2C
TS22: basal ganglia Strong Regionally restricted Embryo_C3473_4_3D
TS22: corpus striatum Strong Regionally restricted Embryo_C3473_4_3D Expression was strong in the corpus striatum (lateral ganglionic eminence).
TS22: basal forebrain Absent
TS22: amygdala Weak Ubiquitous Embryo_C3473_4_1D
TS22: telencephalon septum Strong Regionally restricted Embryo_C3473_4_3D
TS22: pallidum Absent Expression was not detected in the pallidum (medial ganglionic eminence).
TS22: diencephalon Strong Regionally restricted Embryo_C3473_4_3C
TS22: thalamus Moderate Regionally restricted Embryo_C3473_4_3C
TS22: hypothalamus Strong Regionally restricted Embryo_C3473_4_3C
TS22: midbrain Strong Regionally restricted Embryo_C3473_4_3D
TS22: pretectum Weak Ubiquitous Embryo_C3473_4_3C
TS22: superior colliculus Moderate Regionally restricted Embryo_C3473_4_4C
TS22: inferior colliculus Strong Regionally restricted Embryo_C3473_4_4C
TS22: midbrain tegmentum Strong Regionally restricted Embryo_C3473_4_3D
TS22: hindbrain Strong Regionally restricted Embryo_C3473_4_3A
TS22: cerebellum Strong Regionally restricted Embryo_C3473_4_3C
TS22: pons Strong Ubiquitous Embryo_C3473_4_3A
TS22: medulla oblongata Strong Regionally restricted Embryo_C3473_4_3C
TS22: spinal cord Strong Ubiquitous Embryo_C3473_4_4B
TS22: choroid plexus Absent
TS22: meninges Absent
TS22: peripheral nervous system Strong Ubiquitous Embryo_C3473_4_3B
TS22: cranial ganglion Strong Ubiquitous Embryo_C3473_4_2A
TS22: dorsal root ganglion Strong Ubiquitous Embryo_C3473_4_3B
TS22: eye Strong Regionally restricted Embryo_C3473_4_1B
TS22: retina Strong Regionally restricted Embryo_C3473_4_1B
TS22: lens Absent
TS22: cornea Absent
TS22: optic nerve Absent
TS22: nose Absent
TS22: olfactory epithelium Absent
TS22: ear Strong Regionally restricted Embryo_C3473_4_2D
TS22: inner ear Strong Regionally restricted Embryo_C3473_4_2D
TS22: cochlea Strong Regionally restricted Embryo_C3473_4_2D
TS22: inner ear labyrinth Absent
TS22: middle ear Absent
TS22: alimentary system Moderate Regionally restricted Embryo_C3473_4_2C Expression was detected in the digestive system.
TS22: intestine Absent
TS22: salivary gland Moderate Ubiquitous Embryo_C3473_4_2C
TS22: tongue Strong Regionally restricted Embryo_C3473_4_3D
TS22: tooth Strong Regionally restricted Embryo_C3473_4_4D
TS22: palatal shelf Absent
TS22: esophagus Absent
TS22: stomach Absent
TS22: liver Weak Scattered Embryo_C3473_4_5C
TS22: respiratory system Moderate Regionally restricted Embryo_C3473_4_4D
TS22: pharynx Absent
TS22: larynx Absent
TS22: trachea Absent
TS22: main bronchus Absent
TS22: lung Moderate Regionally restricted Embryo_C3473_4_4D
TS22: urinary system Weak Regionally restricted Embryo_C3473_4_4C Expression was weak in the genito-urinary system.
TS22: metanephros Weak Ubiquitous Embryo_C3473_4_5A
TS22: ureter Absent
TS22: bladder Absent
TS22: urethra Absent
TS22: reproductive system Absent
TS22: genital tubercle Weak Regionally restricted Embryo_C3473_4_4C
TS22: gonad Absent
TS22: gland Weak Regionally restricted Embryo_C3473_4_3C Expression was weak in the endocrine system.
TS22: thyroid gland Weak Regionally restricted Embryo_C3473_4_3C
TS22: pituitary gland Absent
TS22: pancreas Absent
TS22: adrenal gland Absent
TS22: cardiovascular system Strong Regionally restricted Embryo_C3473_4_3C
TS22: heart Absent
TS22: heart atrium Absent
TS22: heart ventricle Absent
TS22: blood vessel Strong Regionally restricted Embryo_C3473_4_3C
TS22: hemolymphoid system Moderate Regionally restricted Embryo_C3473_4_3C Expression was detected in the immune system.
TS22: spleen primordium Absent
TS22: thymus primordium Moderate Ubiquitous Embryo_C3473_4_3C
TS22: appendicular skeleton Absent Expression was not detected in the skeleton (limbs, shoulder, hip).
TS22: musculature Absent
TS22: face Absent Expression was not detected in the face/soft tissues.
TS22: facial bone primordium Moderate Regionally restricted Embryo_C3473_4_3D
TS22: cranium Absent Expression was not detected in the skull (base and vault).
TS22: axial skeleton Absent
TS22: tail Absent
TS22: forelimb Absent
TS22: hindlimb Weak Regionally restricted Embryo_C3473_4_1D
TS22: integumental system Absent
TS22: skin Absent
TS22: hair Absent
TS22: vibrissa follicle Absent Expression was not detected in whisker follicle.


Contributing Projects:
Mouse Genome Database (MGD), Gene Expression Database (GXD), Mouse Models of Human Cancer database (MMHCdb) (formerly Mouse Tumor Biology (MTB)), Gene Ontology (GO)
Citing These Resources
Funding Information
Warranty Disclaimer, Privacy Notice, Licensing, & Copyright
Send questions and comments to User Support.
last database update
12/30/2025
MGI 6.24
The Jackson Laboratory