About   Help   FAQ
Gene Expression Data
Assay Details
Assay
Reference: J:122989 Visel A, et al., GenePaint.org: an atlas of gene expression patterns in the mouse embryo. Nucleic Acids Res. 2004 Jan 1;32(Database issue):D552-6
Assay type: RNA in situ
MGI Accession ID: MGI:5421782
Gene symbol: Atp1b1
Gene name: ATPase, Na+/K+ transporting, beta 1 polypeptide
Probe: EH187 probe 264
Probe preparation: Antisense labelled with digoxigenin RNA
Visualized with: Alkaline phosphatase
Assay notes: Cryosections of fresh frozen material were fixed in 4% paraformaldehyde for 20 min. before further processing. A tyramide-biotin/streptavidin amplification step was included in the in situ hybridization procedure. These data were downloaded from GenePaint.org on 1/30/12.
Results
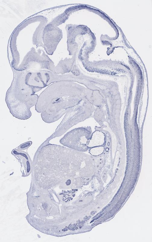
Specimen EH187; Specimen C2154: embryonic day 14.5 (more )
Structure Level Pattern Image Note
TS22: nervous system Strong Regionally restricted Embryo_C2154_5_4A
TS22: central nervous system Strong Regionally restricted Embryo_C2154_5_4A
TS22: telencephalon Strong Regionally restricted Embryo_C2154_5_3D
TS22: cerebral cortex Strong Regionally restricted Embryo_C2154_5_3D
TS22: neocortex Moderate Regionally restricted Embryo_C2154_5_3D
TS22: olfactory cortex Strong Regionally restricted Embryo_C2154_5_3D
TS22: main olfactory bulb Strong Regionally restricted Embryo_C2154_5_3D
TS22: piriform cortex Absent
TS22: hippocampus Absent
TS22: basal ganglia Moderate Regionally restricted Embryo_C2154_5_1D
TS22: corpus striatum Weak Regionally restricted Embryo_C2154_5_1D Expression was weak in the corpus striatum (lateral ganglionic eminence).
TS22: basal forebrain Strong Regionally restricted Embryo_C2154_5_1D
TS22: amygdala Moderate Regionally restricted Embryo_C2154_5_1D
TS22: telencephalon septum Absent
TS22: pallidum Absent Expression was not detected in the pallidum (medial ganglionic eminence).
TS22: diencephalon Weak Regionally restricted Embryo_C2154_5_4C
TS22: thalamus Weak Regionally restricted Embryo_C2154_5_4C
TS22: hypothalamus Weak Regionally restricted Embryo_C2154_5_4C
TS22: midbrain Strong Regionally restricted Embryo_C2154_5_4A
TS22: pretectum Weak Regionally restricted Embryo_C2154_5_4C
TS22: superior colliculus Strong Regionally restricted Embryo_C2154_5_4A
TS22: inferior colliculus Strong Regionally restricted Embryo_C2154_5_4A
TS22: midbrain tegmentum Moderate Regionally restricted Embryo_C2154_5_4C
TS22: hindbrain Moderate Regionally restricted Embryo_C2154_5_4C
TS22: cerebellum Weak Regionally restricted Embryo_C2154_5_4C
TS22: pons Moderate Regionally restricted Embryo_C2154_5_4C
TS22: medulla oblongata Moderate Regionally restricted Embryo_C2154_5_4C
TS22: spinal cord Moderate Regionally restricted Embryo_C2154_5_4C
TS22: choroid plexus Moderate Regionally restricted Embryo_C2154_5_4B
TS22: meninges Absent
TS22: peripheral nervous system Strong Ubiquitous Embryo_C2154_5_2D
TS22: cranial ganglion Strong Ubiquitous Embryo_C2154_5_2D
TS22: dorsal root ganglion Strong Ubiquitous Embryo_C2154_5_2D
TS22: eye Absent
TS22: retina Absent
TS22: lens Absent
TS22: cornea Absent
TS22: optic nerve Absent
TS22: nose Moderate Regionally restricted Embryo_C2154_5_3D
TS22: olfactory epithelium Moderate Regionally restricted Embryo_C2154_5_3D
TS22: ear Strong Regionally restricted Embryo_C2154_5_1D
TS22: inner ear Strong Regionally restricted Embryo_C2154_5_1D
TS22: cochlea Weak Regionally restricted Embryo_C2154_5_2D
TS22: inner ear labyrinth Strong Regionally restricted Embryo_C2154_5_1D
TS22: middle ear Absent
TS22: alimentary system Strong Regionally restricted Embryo_C2154_5_4C Expression was strong in the digestive system.
TS22: intestine Strong Regionally restricted Embryo_C2154_5_4D
TS22: salivary gland Absent
TS22: tongue Strong Regionally restricted Embryo_C2154_5_4C
TS22: tooth Absent
TS22: palatal shelf Absent
TS22: esophagus Weak Regionally restricted Embryo_C2154_5_4A
TS22: stomach Strong Regionally restricted Embryo_C2154_5_2C
TS22: liver Absent
TS22: respiratory system Moderate Regionally restricted Embryo_C2154_5_4B
TS22: pharynx Weak Regionally restricted Embryo_C2154_5_4B
TS22: larynx Weak Regionally restricted Embryo_C2154_5_4B
TS22: trachea Moderate Regionally restricted Embryo_C2154_5_4B
TS22: main bronchus Moderate Regionally restricted Embryo_C2154_5_3C
TS22: lung Moderate Regionally restricted Embryo_C2154_5_2D
TS22: urinary system Strong Regionally restricted Embryo_C2154_5_4D Expression was strong in the genito-urinary system.
TS22: metanephros Strong Regionally restricted Embryo_C2154_5_3B
TS22: ureter Strong Regionally restricted Embryo_C2154_5_5C
TS22: bladder Strong Regionally restricted Embryo_C2154_5_4D
TS22: urethra Strong Regionally restricted Embryo_C2154_5_4D
TS22: reproductive system Moderate Regionally restricted Embryo_C2154_5_2C
TS22: genital tubercle Absent
TS22: gonad Moderate Regionally restricted Embryo_C2154_5_2C
TS22: gland Strong Regionally restricted Embryo_C2154_5_3C Expression was strong in the endocrine system.
TS22: thyroid gland Strong Regionally restricted Embryo_C2154_5_3C
TS22: pituitary gland Strong Regionally restricted Embryo_C2154_5_4C
TS22: pancreas Strong Regionally restricted Embryo_C2154_5_3C
TS22: adrenal gland Moderate Regionally restricted Embryo_C2154_5_3B
TS22: cardiovascular system Strong Regionally restricted Embryo_C2154_5_3D
TS22: heart Strong Regionally restricted Embryo_C2154_5_3D
TS22: heart atrium Strong Regionally restricted Embryo_C2154_5_3D
TS22: heart ventricle Moderate Regionally restricted Embryo_C2154_5_3D
TS22: blood vessel Absent
TS22: hemolymphoid system Strong Regionally restricted Embryo_C2154_5_3C Expression was strong in the immune system.
TS22: spleen primordium Absent
TS22: thymus primordium Strong Regionally restricted Embryo_C2154_5_3C
TS22: appendicular skeleton Absent Expression was not detected in the skeleton (limbs, shoulder, hip).
TS22: musculature Absent
TS22: face Absent Expression was not detected in the face/soft tissues.
TS22: facial bone primordium Absent
TS22: cranium Absent Expression was not detected in the skull (base and vault).
TS22: axial skeleton Absent
TS22: tail Weak Regionally restricted Embryo_C2154_5_4C
TS22: forelimb Absent
TS22: hindlimb Absent
TS22: integumental system Absent
TS22: skin Absent
TS22: hair Absent
TS22: vibrissa follicle Absent Expression was not detected in whisker follicle.


Contributing Projects:
Mouse Genome Database (MGD), Gene Expression Database (GXD), Mouse Models of Human Cancer database (MMHCdb) (formerly Mouse Tumor Biology (MTB)), Gene Ontology (GO)
Citing These Resources
Funding Information
Warranty Disclaimer, Privacy Notice, Licensing, & Copyright
Send questions and comments to User Support.
last database update
01/20/2026
MGI 6.24
The Jackson Laboratory