About   Help   FAQ
Gene Expression Data
Assay Details
Assay
Reference: J:122989 Visel A, et al., GenePaint.org: an atlas of gene expression patterns in the mouse embryo. Nucleic Acids Res. 2004 Jan 1;32(Database issue):D552-6
Assay type: RNA in situ
MGI Accession ID: MGI:5421762
Gene symbol: Actc1
Gene name: actin, alpha, cardiac muscle 1
Probe: DC37 probe 0
Probe preparation: Antisense labelled with digoxigenin RNA
Visualized with: Alkaline phosphatase
Assay notes: Cryosections of fresh frozen material were fixed in 4% paraformaldehyde for 20 min. before further processing. A tyramide-biotin/streptavidin amplification step was included in the in situ hybridization procedure. These data were downloaded from GenePaint.org on 1/30/12.
Results
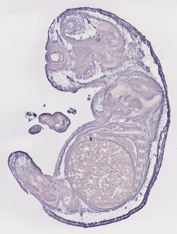
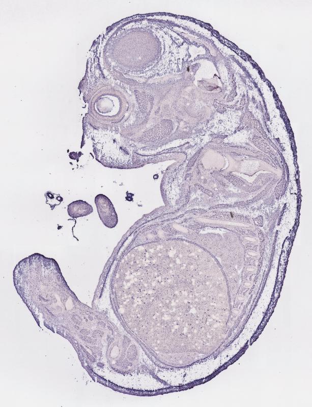
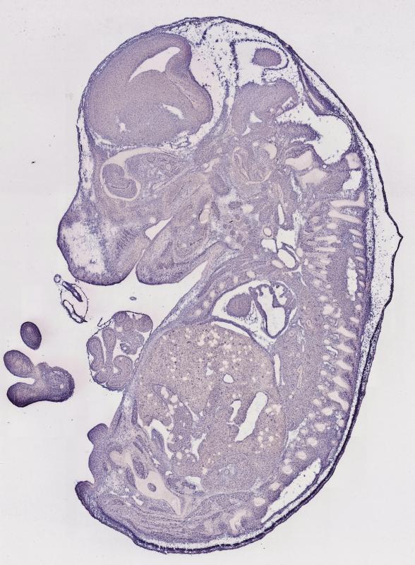
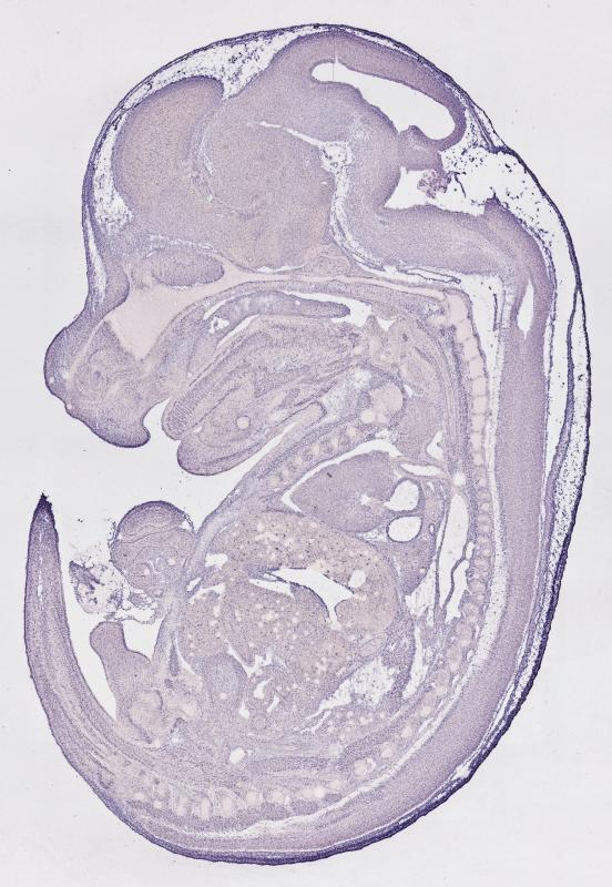
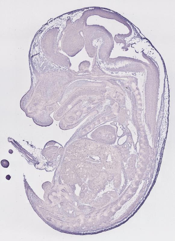
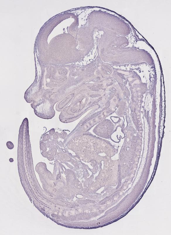
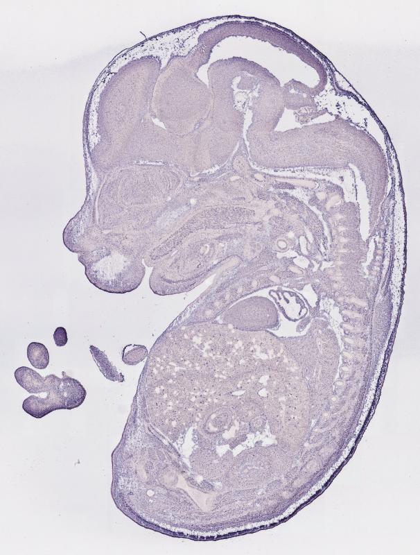
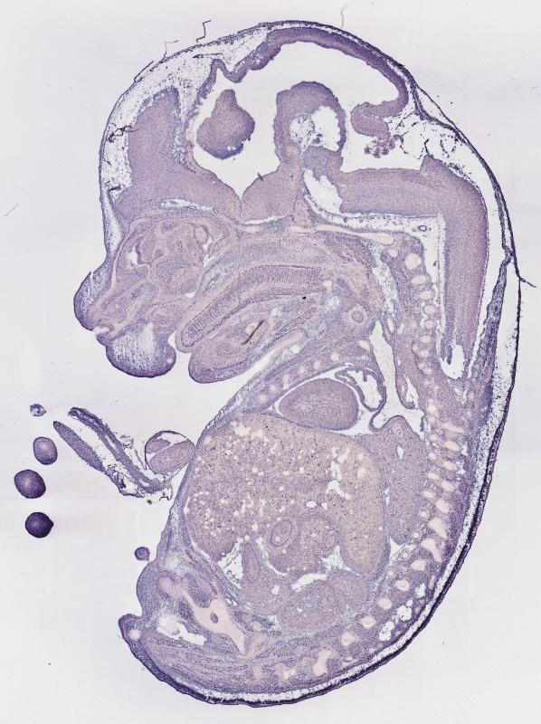
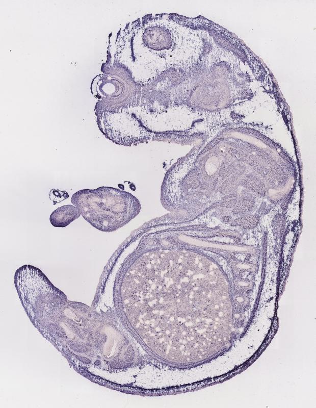
Specimen DC37; Specimen C1379: embryonic day 14.5 (more )
Structure Level Pattern Image Note
TS22: nervous system Strong Regionally restricted Embryo_C1379_4_6A
TS22: central nervous system Strong Regionally restricted Embryo_C1379_4_6A
TS22: telencephalon Moderate Regionally restricted Embryo_C1379_4_6A
TS22: cerebral cortex Moderate Regionally restricted Embryo_C1379_4_6A
TS22: neocortex Moderate Regionally restricted Embryo_C1379_4_6A
TS22: olfactory cortex Moderate Regionally restricted Embryo_C1379_4_4A
TS22: main olfactory bulb Moderate Regionally restricted Embryo_C1379_4_4A
TS22: piriform cortex Weak Regionally restricted Embryo_C1379_4_3A
TS22: hippocampus Moderate Regionally restricted Embryo_C1379_4_6B
TS22: basal ganglia Moderate Regionally restricted Embryo_C1379_4_4D
TS22: corpus striatum Weak Regionally restricted Embryo_C1379_4_3A Expression was weak in the corpus striatum (lateral ganglionic eminence).
TS22: basal forebrain Absent
TS22: amygdala Weak Regionally restricted Embryo_C1379_4_2D
TS22: telencephalon septum Moderate Regionally restricted Embryo_C1379_4_4D
TS22: pallidum Weak Regionally restricted Embryo_C1379_4_4B Expression was weak in the pallidum (medial ganglionic eminence).
TS22: diencephalon Moderate Regionally restricted Embryo_C1379_4_5A
TS22: thalamus Moderate Regionally restricted Embryo_C1379_4_5A
TS22: hypothalamus Moderate Regionally restricted Embryo_C1379_4_4D
TS22: midbrain Moderate Regionally restricted Embryo_C1379_4_5A
TS22: pretectum Moderate Regionally restricted Embryo_C1379_4_5A
TS22: superior colliculus Moderate Regionally restricted Embryo_C1379_4_5A
TS22: inferior colliculus Moderate Regionally restricted Embryo_C1379_4_5A
TS22: midbrain tegmentum Moderate Regionally restricted Embryo_C1379_4_5A
TS22: hindbrain Moderate Regionally restricted Embryo_C1379_4_5A
TS22: cerebellum Weak Regionally restricted Embryo_C1379_4_5A
TS22: pons Moderate Regionally restricted Embryo_C1379_4_5A
TS22: medulla oblongata Moderate Regionally restricted Embryo_C1379_4_3C
TS22: spinal cord Moderate Regionally restricted Embryo_C1379_4_4A
TS22: choroid plexus Moderate Regionally restricted Embryo_C1379_4_5A
TS22: meninges Strong Regionally restricted Embryo_C1379_4_6A
TS22: peripheral nervous system Moderate Regionally restricted Embryo_C1379_4_3B
TS22: cranial ganglion Weak Regionally restricted Embryo_C1379_4_2B
TS22: dorsal root ganglion Moderate Regionally restricted Embryo_C1379_4_3B
TS22: eye Strong Regionally restricted Embryo_C1379_4_1A
TS22: retina Moderate Regionally restricted Embryo_C1379_4_1B
TS22: lens Moderate Regionally restricted Embryo_C1379_4_1C
TS22: cornea Strong Regionally restricted Embryo_C1379_4_1A
TS22: optic nerve Absent
TS22: nose Moderate Regionally restricted Embryo_C1379_4_5A
TS22: olfactory epithelium Moderate Regionally restricted Embryo_C1379_4_5A
TS22: ear Moderate Regionally restricted Embryo_C1379_4_2C
TS22: inner ear Moderate Regionally restricted Embryo_C1379_4_2C
TS22: cochlea Moderate Regionally restricted Embryo_C1379_4_3C
TS22: inner ear labyrinth Moderate Regionally restricted Embryo_C1379_4_2C
TS22: middle ear Weak Regionally restricted Embryo_C1379_4_1C
TS22: alimentary system Moderate Regionally restricted Embryo_C1379_4_3A Expression was detected in the digestive system.
TS22: intestine Moderate Regionally restricted Embryo_C1379_4_3A
TS22: salivary gland Moderate Regionally restricted Embryo_C1379_4_3A
TS22: tongue Moderate Regionally restricted Embryo_C1379_4_5A
TS22: tooth Weak Regionally restricted Embryo_C1379_4_4D
TS22: palatal shelf Moderate Regionally restricted Embryo_C1379_4_4C
TS22: esophagus Moderate Regionally restricted Embryo_C1379_4_4B
TS22: stomach Moderate Regionally restricted Embryo_C1379_4_6A
TS22: liver Moderate Scattered Embryo_C1379_4_2A
TS22: respiratory system Moderate Regionally restricted Embryo_C1379_4_4C
TS22: pharynx Weak Regionally restricted Embryo_C1379_4_4B
TS22: larynx Moderate Regionally restricted Embryo_C1379_4_4C
TS22: trachea Moderate Regionally restricted Embryo_C1379_4_4B
TS22: main bronchus Moderate Regionally restricted Embryo_C1379_4_5A
TS22: lung Moderate Regionally restricted Embryo_C1379_4_6A
TS22: urinary system Moderate Regionally restricted Embryo_C1379_4_3B Expression was detected in the genito-urinary system.
TS22: metanephros Weak Regionally restricted Embryo_C1379_4_5A
TS22: ureter Weak Regionally restricted Embryo_C1379_4_4A
TS22: bladder Moderate Regionally restricted Embryo_C1379_4_4B
TS22: urethra Weak Regionally restricted Embryo_C1379_4_4A
TS22: reproductive system Moderate Regionally restricted Embryo_C1379_4_3B
TS22: genital tubercle Moderate Regionally restricted Embryo_C1379_4_3B
TS22: gonad Moderate Regionally restricted Embryo_C1379_4_6B
TS22: gland Moderate Regionally restricted Embryo_C1379_4_5A Expression was detected in the endocrine system.
TS22: thyroid gland Weak Regionally restricted Embryo_C1379_4_4D
TS22: pituitary gland Moderate Regionally restricted Embryo_C1379_4_5A
TS22: pancreas Weak Regionally restricted Embryo_C1379_4_5B
TS22: adrenal gland Weak Regionally restricted Embryo_C1379_4_5A
TS22: cardiovascular system Strong Regionally restricted Embryo_C1379_4_3A
TS22: heart Strong Regionally restricted Embryo_C1379_4_3A
TS22: heart atrium Strong Regionally restricted Embryo_C1379_4_3A
TS22: heart ventricle Moderate Regionally restricted Embryo_C1379_4_3A
TS22: blood vessel Moderate Regionally restricted Embryo_C1379_4_4A
TS22: hemolymphoid system Moderate Regionally restricted Embryo_C1379_4_6B Expression was detected in the immune system.
TS22: spleen primordium Moderate Regionally restricted Embryo_C1379_4_6B
TS22: thymus primordium Weak Regionally restricted Embryo_C1379_4_3C
TS22: appendicular skeleton Moderate Regionally restricted Embryo_C1379_4_5A Expression was detected in the skeleton (limbs, shoulder, hip).
TS22: musculature Moderate Regionally restricted Embryo_C1379_4_2A
TS22: face Moderate Regionally restricted Embryo_C1379_4_6A Expression was detected in the face/soft tissues.
TS22: facial bone primordium Absent
TS22: cranium Weak Regionally restricted Embryo_C1379_4_4B Expression was weak in the skull (base and vault).
TS22: axial skeleton Strong Regionally restricted Embryo_C1379_4_4A
TS22: tail Moderate Regionally restricted Embryo_C1379_4_3B
TS22: forelimb Strong Regionally restricted Embryo_C1379_4_2A
TS22: hindlimb Strong Regionally restricted Embryo_C1379_4_6A
TS22: integumental system Strong Regionally restricted Embryo_C1379_4_6A
TS22: skin Strong Regionally restricted Embryo_C1379_4_6A
TS22: hair Moderate Regionally restricted Embryo_C1379_4_6B
TS22: vibrissa follicle Moderate Regionally restricted Embryo_C1379_4_6B Expression was detected in whisker follicle.


Contributing Projects:
Mouse Genome Database (MGD), Gene Expression Database (GXD), Mouse Models of Human Cancer database (MMHCdb) (formerly Mouse Tumor Biology (MTB)), Gene Ontology (GO)
Citing These Resources
Funding Information
Warranty Disclaimer, Privacy Notice, Licensing, & Copyright
Send questions and comments to User Support.
last database update
04/14/2026
MGI 6.24
The Jackson Laboratory