About   Help   FAQ
Gene Expression Data
Assay Details
Assay
Reference: J:122989 Visel A, et al., GenePaint.org: an atlas of gene expression patterns in the mouse embryo. Nucleic Acids Res. 2004 Jan 1;32(Database issue):D552-6
Assay type: RNA in situ
MGI Accession ID: MGI:5421755
Gene symbol: Pofut2
Gene name: protein O-fucosyltransferase 2
Probe: MY306 probe 162
Probe preparation: Antisense labelled with digoxigenin RNA
Visualized with: Alkaline phosphatase
Assay notes: Cryosections of fresh frozen material were fixed in 4% paraformaldehyde for 20 min. before further processing. A tyramide-biotin/streptavidin amplification step was included in the in situ hybridization procedure. These data were downloaded from GenePaint.org on 1/30/12.
Results
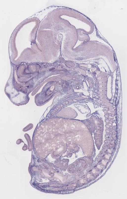
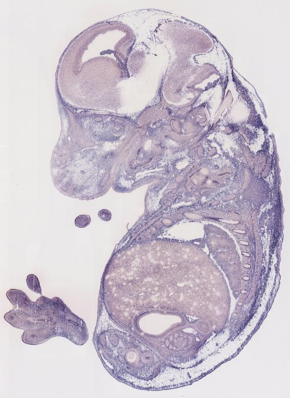
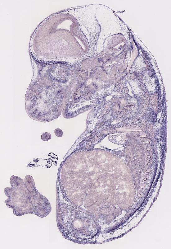
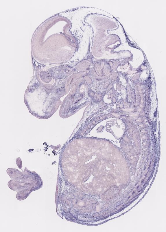
Specimen MY306; Specimen C1577: embryonic day 14.5 (more )
Structure Level Pattern Image Note
TS22: nervous system Strong Regionally restricted Embryo_C1577_4_4A
TS22: central nervous system Strong Regionally restricted Embryo_C1577_4_4A
TS22: telencephalon Moderate Regionally restricted Embryo_C1577_4_4B
TS22: cerebral cortex Weak Regionally restricted Embryo_C1577_4_3A
TS22: neocortex Weak Regionally restricted Embryo_C1577_4_3A
TS22: olfactory cortex Weak Regionally restricted Embryo_C1577_4_3C
TS22: main olfactory bulb Weak Regionally restricted Embryo_C1577_4_3C
TS22: piriform cortex Absent
TS22: hippocampus Weak Regionally restricted Embryo_C1577_4_2A
TS22: basal ganglia Moderate Regionally restricted Embryo_C1577_4_4B
TS22: corpus striatum Weak Regionally restricted Embryo_C1577_4_2A Expression was weak in the corpus striatum (lateral ganglionic eminence).
TS22: basal forebrain Absent
TS22: amygdala Weak Regionally restricted Embryo_C1577_4_2B
TS22: telencephalon septum Moderate Regionally restricted Embryo_C1577_4_4B
TS22: pallidum Weak Regionally restricted Embryo_C1577_4_3C Expression was weak in the pallidum (medial ganglionic eminence).
TS22: diencephalon Strong Regionally restricted Embryo_C1577_4_4B
TS22: thalamus Strong Regionally restricted Embryo_C1577_4_4B
TS22: hypothalamus Moderate Regionally restricted Embryo_C1577_4_4B
TS22: midbrain Strong Regionally restricted Embryo_C1577_4_4A
TS22: pretectum Strong Regionally restricted Embryo_C1577_4_4B
TS22: superior colliculus Moderate Regionally restricted Embryo_C1577_4_4B
TS22: inferior colliculus Weak Regionally restricted Embryo_C1577_4_4A
TS22: midbrain tegmentum Strong Regionally restricted Embryo_C1577_4_4A
TS22: hindbrain Strong Regionally restricted Embryo_C1577_4_4B
TS22: cerebellum Weak Regionally restricted Embryo_C1577_4_3A
TS22: pons Moderate Regionally restricted Embryo_C1577_4_4B
TS22: medulla oblongata Strong Regionally restricted Embryo_C1577_4_4B
TS22: spinal cord Strong Regionally restricted Embryo_C1577_4_4A
TS22: choroid plexus Moderate Regionally restricted Embryo_C1577_4_4B
TS22: meninges Moderate Regionally restricted Embryo_C1577_4_2C
TS22: peripheral nervous system Weak Regionally restricted Embryo_C1577_4_3A
TS22: cranial ganglion Weak Regionally restricted Embryo_C1577_4_2B
TS22: dorsal root ganglion Weak Regionally restricted Embryo_C1577_4_3A
TS22: eye Weak Regionally restricted Embryo_C1577_4_1A
TS22: retina Weak Regionally restricted Embryo_C1577_4_1A
TS22: lens Weak Regionally restricted Embryo_C1577_4_1A
TS22: cornea Weak Regionally restricted Embryo_C1577_4_1A
TS22: optic nerve Absent
TS22: nose Absent
TS22: olfactory epithelium Absent
TS22: ear Moderate Regionally restricted Embryo_C1577_4_3A
TS22: inner ear Moderate Regionally restricted Embryo_C1577_4_3A
TS22: cochlea Moderate Regionally restricted Embryo_C1577_4_3A
TS22: inner ear labyrinth Moderate Regionally restricted Embryo_C1577_4_3A
TS22: middle ear Absent
TS22: alimentary system Strong Regionally restricted Embryo_C1577_4_4A Expression was strong in the digestive system.
TS22: intestine Moderate Regionally restricted Embryo_C1577_4_4A
TS22: salivary gland Weak Regionally restricted Embryo_C1577_4_5B
TS22: tongue Moderate Regionally restricted Embryo_C1577_4_4A
TS22: tooth Moderate Regionally restricted Embryo_C1577_4_3B
TS22: palatal shelf Moderate Regionally restricted Embryo_C1577_4_4B
TS22: esophagus Moderate Regionally restricted Embryo_C1577_4_4A
TS22: stomach Moderate Regionally restricted Embryo_C1577_4_6A
TS22: liver Strong Regionally restricted Embryo_C1577_4_4A
TS22: respiratory system Moderate Regionally restricted Embryo_C1577_4_4A
TS22: pharynx Weak Regionally restricted Embryo_C1577_4_4A
TS22: larynx Weak Regionally restricted Embryo_C1577_4_4A
TS22: trachea Moderate Regionally restricted Embryo_C1577_4_4A
TS22: main bronchus Absent
TS22: lung Moderate Regionally restricted Embryo_C1577_4_3A
TS22: urinary system Moderate Regionally restricted Embryo_C1577_4_3A Expression was detected in the genito-urinary system.
TS22: metanephros Moderate Regionally restricted Embryo_C1577_4_3A
TS22: ureter Weak Regionally restricted Embryo_C1577_4_3C
TS22: bladder Moderate Regionally restricted Embryo_C1577_4_4A
TS22: urethra Absent
TS22: reproductive system Moderate Regionally restricted Embryo_C1577_4_3A
TS22: genital tubercle Moderate Regionally restricted Embryo_C1577_4_3A
TS22: gonad Weak Regionally restricted Embryo_C1577_4_2A
TS22: gland Moderate Regionally restricted Embryo_C1577_4_3A Expression was detected in the endocrine system.
TS22: thyroid gland Absent
TS22: pituitary gland Weak Regionally restricted Embryo_C1577_4_4A
TS22: pancreas Weak Regionally restricted Embryo_C1577_4_5A
TS22: adrenal gland Moderate Regionally restricted Embryo_C1577_4_3A
TS22: cardiovascular system Moderate Regionally restricted Embryo_C1577_4_4A
TS22: heart Moderate Regionally restricted Embryo_C1577_4_4A
TS22: heart atrium Moderate Regionally restricted Embryo_C1577_4_4A
TS22: heart ventricle Moderate Regionally restricted Embryo_C1577_4_4B
TS22: blood vessel Moderate Regionally restricted Embryo_C1577_4_3B
TS22: hemolymphoid system Absent Expression was not detected in the immune system.
TS22: spleen primordium Absent
TS22: thymus primordium Absent
TS22: appendicular skeleton Strong Regionally restricted Embryo_C1577_4_3A Expression was strong in the skeleton (limbs, shoulder, hip).
TS22: musculature Weak Regionally restricted Embryo_C1577_4_1A
TS22: face Moderate Regionally restricted Embryo_C1577_4_5B Expression was detected in the face/soft tissues.
TS22: facial bone primordium Absent
TS22: cranium Strong Regionally restricted Embryo_C1577_4_4B Expression was strong in the skull (base and vault).
TS22: axial skeleton Strong Regionally restricted Embryo_C1577_4_2A
TS22: tail Moderate Regionally restricted Embryo_C1577_4_4A
TS22: forelimb Moderate Regionally restricted Embryo_C1577_4_1A
TS22: hindlimb Moderate Regionally restricted Embryo_C1577_4_1B
TS22: integumental system Moderate Regionally restricted Embryo_C1577_4_4A
TS22: skin Moderate Regionally restricted Embryo_C1577_4_4A
TS22: hair Weak Regionally restricted Embryo_C1577_4_2A
TS22: vibrissa follicle Weak Regionally restricted Embryo_C1577_4_2A Expression was weak in whisker follicle.


Contributing Projects:
Mouse Genome Database (MGD), Gene Expression Database (GXD), Mouse Models of Human Cancer database (MMHCdb) (formerly Mouse Tumor Biology (MTB)), Gene Ontology (GO)
Citing These Resources
Funding Information
Warranty Disclaimer, Privacy Notice, Licensing, & Copyright
Send questions and comments to User Support.
last database update
03/31/2026
MGI 6.24
The Jackson Laboratory