About   Help   FAQ
Gene Expression Data
Assay Details
Assay
Reference: J:122989 Visel A, et al., GenePaint.org: an atlas of gene expression patterns in the mouse embryo. Nucleic Acids Res. 2004 Jan 1;32(Database issue):D552-6
Assay type: RNA in situ
MGI Accession ID: MGI:5421729
Gene symbol: Fgf2
Gene name: fibroblast growth factor 2
Probe: FG39 probe 25
Probe preparation: Antisense labelled with digoxigenin RNA
Visualized with: Alkaline phosphatase
Assay notes: Cryosections of fresh frozen material were fixed in 4% paraformaldehyde for 20 min. before further processing. A tyramide-biotin/streptavidin amplification step was included in the in situ hybridization procedure. These data were downloaded from GenePaint.org on 1/30/12.
Results
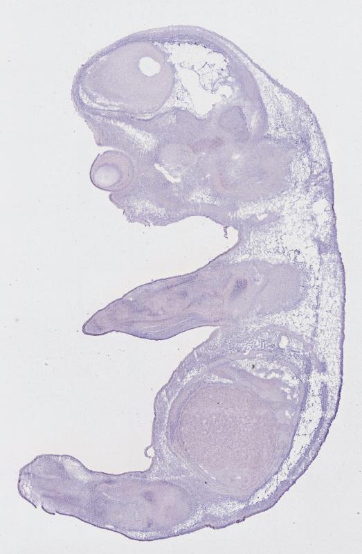
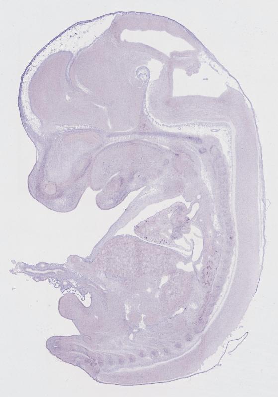
Specimen FG39; Specimen Ex212: embryonic day 14.5 (more )
Structure Level Pattern Image Note
TS22: nervous system Moderate Regionally restricted Embryo_Ex212_1_1C
TS22: central nervous system Weak Regionally restricted Embryo_Ex212_1_2D
TS22: telencephalon Absent
TS22: cerebral cortex Absent
TS22: neocortex Absent
TS22: olfactory cortex Absent
TS22: main olfactory bulb Absent
TS22: piriform cortex Absent
TS22: hippocampus Absent
TS22: basal ganglia Absent
TS22: corpus striatum Absent Expression was not detected in the corpus striatum (lateral ganglionic eminence).
TS22: basal forebrain Absent
TS22: amygdala Absent
TS22: telencephalon septum Absent
TS22: pallidum Absent Expression was not detected in the pallidum (medial ganglionic eminence).
TS22: diencephalon Absent
TS22: thalamus Absent
TS22: hypothalamus Absent
TS22: midbrain Absent
TS22: pretectum Absent
TS22: superior colliculus Absent
TS22: inferior colliculus Absent
TS22: midbrain tegmentum Absent
TS22: hindbrain Absent
TS22: cerebellum Absent
TS22: pons Absent
TS22: medulla oblongata Absent
TS22: spinal cord Absent
TS22: choroid plexus Weak Regionally restricted Embryo_Ex212_1_2D
TS22: meninges Weak Regionally restricted Embryo_Ex212_1_4B
TS22: peripheral nervous system Absent
TS22: cranial ganglion Absent
TS22: dorsal root ganglion Absent
TS22: eye Moderate Regionally restricted Embryo_Ex212_1_1A
TS22: retina Absent
TS22: lens Absent
TS22: cornea Moderate Regionally restricted Embryo_Ex212_1_1A
TS22: optic nerve Absent
TS22: nose Weak Regionally restricted Embryo_Ex212_1_4C
TS22: olfactory epithelium Weak Regionally restricted Embryo_Ex212_1_4C
TS22: ear Moderate Regionally restricted Embryo_Ex212_1_1C
TS22: inner ear Moderate Regionally restricted Embryo_Ex212_1_1C
TS22: cochlea Absent
TS22: inner ear labyrinth Moderate Regionally restricted Embryo_Ex212_1_1C
TS22: middle ear Absent
TS22: alimentary system Moderate Regionally restricted Embryo_Ex212_1_4A Expression was detected in the digestive system.
TS22: intestine Absent
TS22: salivary gland Absent
TS22: tongue Weak Regionally restricted Embryo_Ex212_1_4A
TS22: tooth Absent
TS22: palatal shelf Absent
TS22: esophagus Moderate Regionally restricted Embryo_Ex212_1_4A
TS22: stomach Weak Regionally restricted Embryo_Ex212_1_2B
TS22: liver Weak Regionally restricted Embryo_Ex212_1_6A
TS22: respiratory system Moderate Regionally restricted Embryo_Ex212_1_3B
TS22: pharynx Absent
TS22: larynx Weak Regionally restricted Embryo_Ex212_1_4A
TS22: trachea Absent
TS22: main bronchus Absent
TS22: lung Moderate Regionally restricted Embryo_Ex212_1_3B
TS22: urinary system Weak Regionally restricted Embryo_Ex212_1_4A Expression was weak in the genito-urinary system.
TS22: metanephros Absent
TS22: ureter Absent
TS22: bladder Absent
TS22: urethra Weak Regionally restricted Embryo_Ex212_1_4A
TS22: reproductive system Weak Regionally restricted Embryo_Ex212_1_4B
TS22: genital tubercle Weak Regionally restricted Embryo_Ex212_1_4B
TS22: gonad Weak Regionally restricted Embryo_Ex212_1_2D
TS22: gland Moderate Regionally restricted Embryo_Ex212_1_3D Expression was detected in the endocrine system.
TS22: thyroid gland Absent
TS22: pituitary gland Moderate Regionally restricted Embryo_Ex212_1_3D
TS22: pancreas Absent
TS22: adrenal gland Weak Regionally restricted Embryo_Ex212_1_2C
TS22: cardiovascular system Moderate Regionally restricted Embryo_Ex212_1_4B
TS22: heart Moderate Regionally restricted Embryo_Ex212_1_4B
TS22: heart atrium Moderate Regionally restricted Embryo_Ex212_1_4B
TS22: heart ventricle Absent
TS22: blood vessel Weak Regionally restricted Embryo_Ex212_1_3A
TS22: hemolymphoid system Absent Expression was not detected in the immune system.
TS22: spleen primordium Absent
TS22: thymus primordium Absent
TS22: appendicular skeleton Strong Regionally restricted Embryo_Ex212_1_6A Expression was strong in the skeleton (limbs, shoulder, hip).
TS22: musculature Absent
TS22: face Weak Regionally restricted Embryo_Ex212_1_4B Expression was weak in the face/soft tissues.
TS22: facial bone primordium Moderate Regionally restricted Embryo_Ex212_1_2B
TS22: cranium Weak Regionally restricted Embryo_Ex212_1_4A Expression was weak in the skull (base and vault).
TS22: axial skeleton Moderate Regionally restricted Embryo_Ex212_1_5A
TS22: tail Moderate Regionally restricted Embryo_Ex212_1_2B
TS22: forelimb Moderate Regionally restricted Embryo_Ex212_1_6B
TS22: hindlimb Moderate Regionally restricted Embryo_Ex212_1_6A
TS22: integumental system Weak Regionally restricted Embryo_Ex212_1_3B
TS22: skin Weak Regionally restricted Embryo_Ex212_1_3B
TS22: hair Absent
TS22: vibrissa follicle Absent Expression was not detected in whisker follicle.


Contributing Projects:
Mouse Genome Database (MGD), Gene Expression Database (GXD), Mouse Models of Human Cancer database (MMHCdb) (formerly Mouse Tumor Biology (MTB)), Gene Ontology (GO)
Citing These Resources
Funding Information
Warranty Disclaimer, Privacy Notice, Licensing, & Copyright
Send questions and comments to User Support.
last database update
04/14/2026
MGI 6.24
The Jackson Laboratory