About   Help   FAQ
Gene Expression Data
Assay Details
Assay
Reference: J:122989 Visel A, et al., GenePaint.org: an atlas of gene expression patterns in the mouse embryo. Nucleic Acids Res. 2004 Jan 1;32(Database issue):D552-6
Assay type: RNA in situ
MGI Accession ID: MGI:5421705
Gene symbol: Ptprt
Gene name: protein tyrosine phosphatase receptor type T
Probe: ST60 probe 20
Probe preparation: Antisense labelled with digoxigenin RNA
Visualized with: Alkaline phosphatase
Assay notes: Cryosections of fresh frozen material were fixed in 4% paraformaldehyde for 20 min. before further processing. A tyramide-biotin/streptavidin amplification step was included in the in situ hybridization procedure. These data were downloaded from GenePaint.org on 1/30/12.
Results
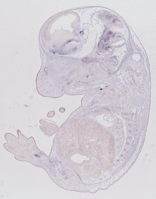
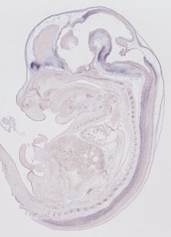
Specimen ST60; Specimen EX135: embryonic day 14.5 (more )
Structure Level Pattern Image Note
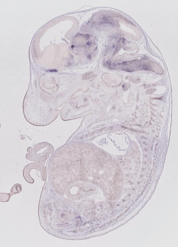
TS22: nervous system Strong Regionally restricted Embryo_EX135_5_3D
TS22: central nervous system Strong Regionally restricted Embryo_EX135_5_3D
TS22: telencephalon Strong Regionally restricted Embryo_EX135_5_3C
TS22: cerebral cortex Strong Regionally restricted Embryo_EX135_5_3C
TS22: neocortex Weak Regionally restricted Embryo_EX135_5_5B
TS22: olfactory cortex Strong Regionally restricted Embryo_EX135_5_3C
TS22: main olfactory bulb Strong Regionally restricted Embryo_EX135_5_3C
TS22: piriform cortex Moderate Regionally restricted Embryo_EX135_5_6C
TS22: hippocampus Weak Regionally restricted Embryo_EX135_5_5B
TS22: basal ganglia Strong Regionally restricted Embryo_EX135_5_3D
TS22: corpus striatum Weak Regionally restricted Embryo_EX135_5_1D Expression was weak in the corpus striatum (lateral ganglionic eminence).
TS22: basal forebrain Moderate Regionally restricted Embryo_EX135_5_5A
TS22: amygdala Moderate Regionally restricted Embryo_EX135_5_6B
TS22: telencephalon septum Strong Regionally restricted Embryo_EX135_5_3D
TS22: pallidum Weak Regionally restricted Embryo_EX135_5_5A Expression was weak in the pallidum (medial ganglionic eminence).
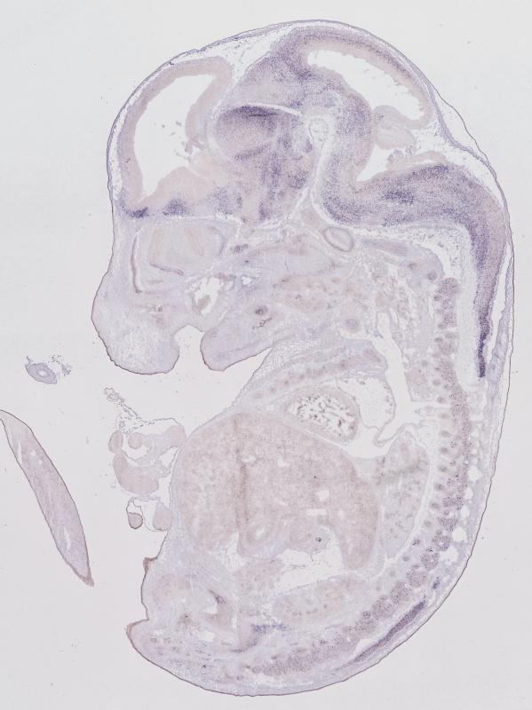
TS22: diencephalon Strong Regionally restricted Embryo_EX135_5_2C
TS22: thalamus Strong Regionally restricted Embryo_EX135_5_2C
TS22: hypothalamus Strong Regionally restricted Embryo_EX135_5_3C
TS22: midbrain Strong Regionally restricted Embryo_EX135_5_4A
TS22: pretectum Moderate Regionally restricted Embryo_EX135_5_2D
TS22: superior colliculus Moderate Regionally restricted Embryo_EX135_5_3C
TS22: inferior colliculus Weak Regionally restricted Embryo_EX135_5_3C
TS22: midbrain tegmentum Strong Regionally restricted Embryo_EX135_5_4A
TS22: hindbrain Strong Regionally restricted Embryo_EX135_5_3D
TS22: cerebellum Moderate Regionally restricted Embryo_EX135_5_2D
TS22: pons Strong Regionally restricted Embryo_EX135_5_3D
TS22: medulla oblongata Strong Regionally restricted Embryo_EX135_5_2C
TS22: spinal cord Strong Regionally restricted Embryo_EX135_5_3C
TS22: choroid plexus Weak Regionally restricted Embryo_EX135_5_2D
TS22: meninges Absent
TS22: peripheral nervous system Strong Regionally restricted Embryo_EX135_5_2D
TS22: cranial ganglion Strong Scattered Embryo_EX135_5_2D
TS22: dorsal root ganglion Weak Scattered Embryo_EX135_5_3B
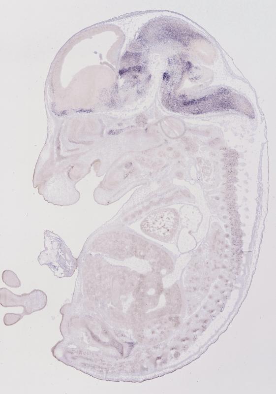
TS22: eye Moderate Regionally restricted Embryo_EX135_5_1B
TS22: retina Weak Scattered Embryo_EX135_5_1B
TS22: lens Moderate Regionally restricted Embryo_EX135_5_1B
TS22: cornea Absent
TS22: optic nerve Absent
TS22: nose Weak Regionally restricted Embryo_EX135_5_3C
TS22: olfactory epithelium Weak Regionally restricted Embryo_EX135_5_3C
TS22: ear Absent
TS22: inner ear Absent
TS22: cochlea Absent
TS22: inner ear labyrinth Absent
TS22: middle ear Absent
TS22: alimentary system Weak Regionally restricted Embryo_EX135_5_4A Expression was weak in the digestive system.
TS22: intestine Absent
TS22: salivary gland Absent
TS22: tongue Weak Regionally restricted Embryo_EX135_5_4A
TS22: tooth Weak Regionally restricted Embryo_EX135_5_3C
TS22: palatal shelf Absent
TS22: esophagus Weak Regionally restricted Embryo_EX135_5_4A
TS22: stomach Absent
TS22: liver Absent
TS22: respiratory system Weak Regionally restricted Embryo_EX135_5_2D
TS22: pharynx Absent
TS22: larynx Absent
TS22: trachea Absent
TS22: main bronchus Absent
TS22: lung Weak Regionally restricted Embryo_EX135_5_2D
TS22: urinary system Weak Regionally restricted Embryo_EX135_5_2D Expression was weak in the genito-urinary system.
TS22: metanephros Weak Regionally restricted Embryo_EX135_5_2D
TS22: ureter Absent
TS22: bladder Absent
TS22: urethra Absent
TS22: reproductive system Absent
TS22: genital tubercle Absent
TS22: gonad Absent
TS22: gland Moderate Regionally restricted Embryo_EX135_5_4B Expression was detected in the endocrine system.
TS22: thyroid gland Absent
TS22: pituitary gland Moderate Regionally restricted Embryo_EX135_5_4B
TS22: pancreas Absent
TS22: adrenal gland Absent
TS22: cardiovascular system Absent
TS22: heart Absent
TS22: heart atrium Absent
TS22: heart ventricle Absent
TS22: blood vessel Absent
TS22: hemolymphoid system Absent Expression was not detected in the immune system.
TS22: spleen primordium Absent
TS22: thymus primordium Absent
TS22: appendicular skeleton Weak Regionally restricted Embryo_EX135_5_6C Expression was weak in the skeleton (limbs, shoulder, hip).
TS22: musculature Absent
TS22: face Absent Expression was not detected in the face/soft tissues.
TS22: facial bone primordium Weak Regionally restricted Embryo_EX135_5_2B
TS22: cranium Weak Regionally restricted Embryo_EX135_5_3D Expression was weak in the skull (base and vault).
TS22: axial skeleton Weak Regionally restricted Embryo_EX135_5_2D
TS22: tail Weak Regionally restricted Embryo_EX135_5_3C
TS22: forelimb Weak Regionally restricted Embryo_EX135_5_1A
TS22: hindlimb Moderate Regionally restricted Embryo_EX135_5_2B
TS22: integumental system Absent
TS22: skin Absent
TS22: hair Absent
TS22: vibrissa follicle Absent Expression was not detected in whisker follicle.


Contributing Projects:
Mouse Genome Database (MGD), Gene Expression Database (GXD), Mouse Models of Human Cancer database (MMHCdb) (formerly Mouse Tumor Biology (MTB)), Gene Ontology (GO)
Citing These Resources
Funding Information
Warranty Disclaimer, Privacy Notice, Licensing, & Copyright
Send questions and comments to User Support.
last database update
12/30/2025
MGI 6.24
The Jackson Laboratory