About   Help   FAQ
Gene Expression Data
Assay Details
Assay
Reference: J:122989 Visel A, et al., GenePaint.org: an atlas of gene expression patterns in the mouse embryo. Nucleic Acids Res. 2004 Jan 1;32(Database issue):D552-6
Assay type: RNA in situ
MGI Accession ID: MGI:5421680
Gene symbol: Dusp9
Gene name: dual specificity phosphatase 9
Probe: MH2168 probe 1161
Probe preparation: Antisense labelled with digoxigenin RNA
Visualized with: Alkaline phosphatase
Assay notes: Cryosections of fresh frozen material were fixed in 4% paraformaldehyde for 20 min. before further processing. A tyramide-biotin/streptavidin amplification step was included in the in situ hybridization procedure. These data were downloaded from GenePaint.org on 1/30/12.
Results
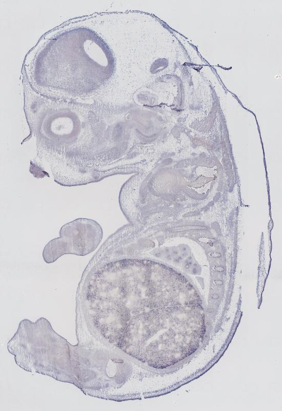
Specimen MH2168; Specimen C1536: embryonic day 14.5 (more )
Structure Level Pattern Image Note
TS22: nervous system Moderate Regionally restricted Embryo_C1536_1_4A
TS22: central nervous system Moderate Regionally restricted Embryo_C1536_1_4A
TS22: telencephalon Moderate Regionally restricted Embryo_C1536_1_4A
TS22: cerebral cortex Moderate Regionally restricted Embryo_C1536_1_5A
TS22: neocortex Moderate Regionally restricted Embryo_C1536_1_2B
TS22: olfactory cortex Moderate Regionally restricted Embryo_C1536_1_5A
TS22: main olfactory bulb Moderate Regionally restricted Embryo_C1536_1_5A
TS22: piriform cortex Moderate Regionally restricted Embryo_C1536_1_6A
TS22: hippocampus Moderate Regionally restricted Embryo_C1536_1_2B
TS22: basal ganglia Moderate Regionally restricted Embryo_C1536_1_4A
TS22: corpus striatum Moderate Regionally restricted Embryo_C1536_1_2A Expression was detected in the corpus striatum (lateral ganglionic eminence).
TS22: basal forebrain Absent
TS22: amygdala Weak Regionally restricted Embryo_C1536_1_6A
TS22: telencephalon septum Moderate Regionally restricted Embryo_C1536_1_4A
TS22: pallidum Weak Regionally restricted Embryo_C1536_1_5B Expression was weak in the pallidum (medial ganglionic eminence).
TS22: diencephalon Moderate Regionally restricted Embryo_C1536_1_4A
TS22: thalamus Moderate Regionally restricted Embryo_C1536_1_4A
TS22: hypothalamus Moderate Regionally restricted Embryo_C1536_1_4A
TS22: midbrain Moderate Regionally restricted Embryo_C1536_1_4A
TS22: pretectum Moderate Regionally restricted Embryo_C1536_1_4A
TS22: superior colliculus Moderate Regionally restricted Embryo_C1536_1_4A
TS22: inferior colliculus Moderate Regionally restricted Embryo_C1536_1_4B
TS22: midbrain tegmentum Moderate Regionally restricted Embryo_C1536_1_4A
TS22: hindbrain Moderate Regionally restricted Embryo_C1536_1_4A
TS22: cerebellum Moderate Regionally restricted Embryo_C1536_1_4A
TS22: pons Moderate Regionally restricted Embryo_C1536_1_4A
TS22: medulla oblongata Moderate Regionally restricted Embryo_C1536_1_4A
TS22: spinal cord Moderate Regionally restricted Embryo_C1536_1_4A
TS22: choroid plexus Moderate Regionally restricted Embryo_C1536_1_4A
TS22: meninges Moderate Regionally restricted Embryo_C1536_1_2B
TS22: peripheral nervous system Moderate Regionally restricted Embryo_C1536_1_2A
TS22: cranial ganglion Moderate Regionally restricted Embryo_C1536_1_2A
TS22: dorsal root ganglion Moderate Regionally restricted Embryo_C1536_1_4D
TS22: eye Weak Regionally restricted Embryo_C1536_1_1A
TS22: retina Weak Regionally restricted Embryo_C1536_1_1A
TS22: lens Weak Regionally restricted Embryo_C1536_1_1A
TS22: optic nerve Absent
TS22: nose Absent
TS22: olfactory epithelium Absent
TS22: ear Moderate Regionally restricted Embryo_C1536_1_1A
TS22: inner ear Weak Regionally restricted Embryo_C1536_1_2C
TS22: cochlea Weak Regionally restricted Embryo_C1536_1_2C
TS22: inner ear labyrinth Weak Regionally restricted Embryo_C1536_1_1B
TS22: middle ear Moderate Regionally restricted Embryo_C1536_1_1A
TS22: alimentary system Strong Regionally restricted Embryo_C1536_1_4C Expression was strong in the digestive system.
TS22: intestine Moderate Regionally restricted Embryo_C1536_1_4A
TS22: salivary gland Moderate Regionally restricted Embryo_C1536_1_5B
TS22: tongue Moderate Regionally restricted Embryo_C1536_1_4A
TS22: tooth Moderate Regionally restricted Embryo_C1536_1_3C
TS22: palatal shelf Weak Regionally restricted Embryo_C1536_1_3B
TS22: esophagus Absent
TS22: stomach Moderate Regionally restricted Embryo_C1536_1_5C
TS22: liver Strong Regionally restricted Embryo_C1536_1_4C
TS22: respiratory system Moderate Regionally restricted Embryo_C1536_1_4D
TS22: pharynx Weak Regionally restricted Embryo_C1536_1_4A
TS22: larynx Weak Regionally restricted Embryo_C1536_1_4A
TS22: trachea Weak Regionally restricted Embryo_C1536_1_3C
TS22: main bronchus Weak Regionally restricted Embryo_C1536_1_3A
TS22: lung Moderate Regionally restricted Embryo_C1536_1_4D
TS22: urinary system Strong Regionally restricted Embryo_C1536_1_5C Expression was strong in the genito-urinary system.
TS22: metanephros Strong Regionally restricted Embryo_C1536_1_5C
TS22: ureter Weak Regionally restricted Embryo_C1536_1_4A
TS22: bladder Moderate Regionally restricted Embryo_C1536_1_3C
TS22: urethra Weak Regionally restricted Embryo_C1536_1_3D
TS22: reproductive system Moderate Regionally restricted Embryo_C1536_1_4A
TS22: genital tubercle Moderate Regionally restricted Embryo_C1536_1_4A
TS22: gonad Moderate Regionally restricted Embryo_C1536_1_5D
TS22: gland Moderate Regionally restricted Embryo_C1536_1_4D Expression was detected in the endocrine system.
TS22: thyroid gland Absent
TS22: pituitary gland Weak Regionally restricted Embryo_C1536_1_4A
TS22: pancreas Moderate Regionally restricted Embryo_C1536_1_4D
TS22: adrenal gland Absent
TS22: cardiovascular system Weak Regionally restricted Embryo_C1536_1_4A
TS22: heart Weak Regionally restricted Embryo_C1536_1_4A
TS22: heart atrium Weak Regionally restricted Embryo_C1536_1_4A
TS22: heart ventricle Weak Regionally restricted Embryo_C1536_1_4A
TS22: blood vessel Weak Regionally restricted Embryo_C1536_1_4A
TS22: hemolymphoid system Absent Expression was not detected in the immune system.
TS22: spleen primordium Absent
TS22: thymus primordium Absent
TS22: appendicular skeleton Moderate Regionally restricted Embryo_C1536_1_2C Expression was detected in the skeleton (limbs, shoulder, hip).
TS22: musculature Absent
TS22: face Moderate Regionally restricted Embryo_C1536_1_5A Expression was detected in the face/soft tissues.
TS22: facial bone primordium Absent
TS22: cranium Weak Regionally restricted Embryo_C1536_1_4C Expression was weak in the skull (base and vault).
TS22: axial skeleton Moderate Regionally restricted Embryo_C1536_1_1A
TS22: tail Moderate Regionally restricted Embryo_C1536_1_4A
TS22: forelimb Strong Regionally restricted Embryo_C1536_1_6A
TS22: hindlimb Moderate Regionally restricted Embryo_C1536_1_2A
TS22: integumental system Strong Regionally restricted Embryo_C1536_1_5A
TS22: skin Strong Regionally restricted Embryo_C1536_1_5A
TS22: hair Weak Regionally restricted Embryo_C1536_1_6A
TS22: vibrissa follicle Weak Regionally restricted Embryo_C1536_1_6A Expression was weak in whisker follicle.


Contributing Projects:
Mouse Genome Database (MGD), Gene Expression Database (GXD), Mouse Models of Human Cancer database (MMHCdb) (formerly Mouse Tumor Biology (MTB)), Gene Ontology (GO)
Citing These Resources
Funding Information
Warranty Disclaimer, Privacy Notice, Licensing, & Copyright
Send questions and comments to User Support.
last database update
01/20/2026
MGI 6.24
The Jackson Laboratory