About   Help   FAQ
Gene Expression Data
Assay Details
Assay
Reference: J:122989 Visel A, et al., GenePaint.org: an atlas of gene expression patterns in the mouse embryo. Nucleic Acids Res. 2004 Jan 1;32(Database issue):D552-6
Assay type: RNA in situ
MGI Accession ID: MGI:5421634
Gene symbol: Rrm1
Gene name: ribonucleotide reductase M1
Probe: MH1636 probe 1307
Probe preparation: Antisense labelled with digoxigenin RNA
Visualized with: Alkaline phosphatase
Assay notes: Cryosections of fresh frozen material were fixed in 4% paraformaldehyde for 20 min. before further processing. A tyramide-biotin/streptavidin amplification step was included in the in situ hybridization procedure. These data were downloaded from GenePaint.org on 1/30/12.
Results
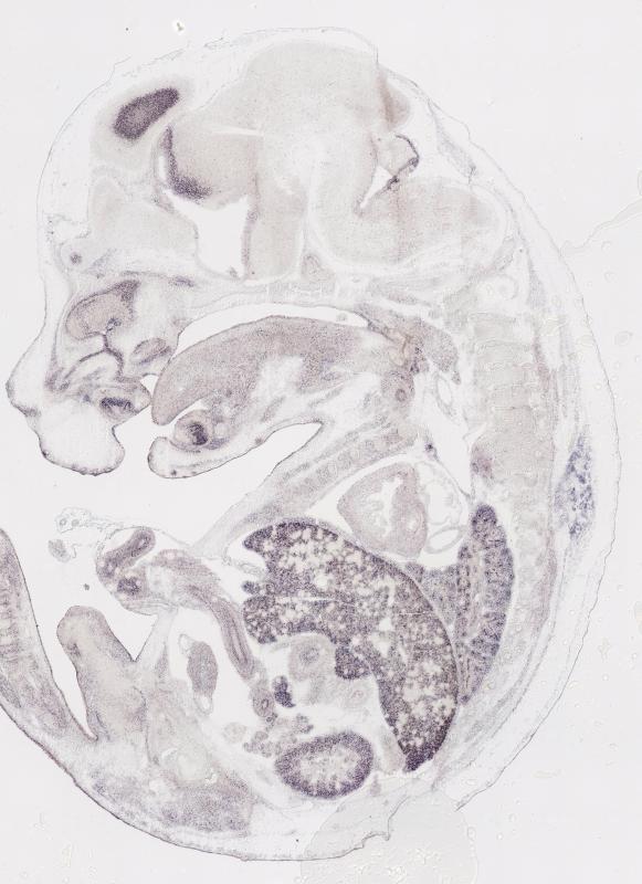
Specimen MH1636; Specimen C1769: embryonic day 14.5 (more )
Structure Level Pattern Image Note
TS22: nervous system Strong Regionally restricted Embryo_C1769_1_3C
TS22: central nervous system Strong Regionally restricted Embryo_C1769_1_3C
TS22: telencephalon Strong Regionally restricted Embryo_C1769_1_3A
TS22: cerebral cortex Strong Regionally restricted Embryo_C1769_1_3B
TS22: neocortex Strong Regionally restricted Embryo_C1769_1_3B
TS22: olfactory cortex Strong Regionally restricted Embryo_C1769_1_4A
TS22: main olfactory bulb Strong Regionally restricted Embryo_C1769_1_4A
TS22: piriform cortex Absent
TS22: hippocampus Strong Regionally restricted Embryo_C1769_1_3B
TS22: basal ganglia Strong Regionally restricted Embryo_C1769_1_3A
TS22: corpus striatum Strong Regionally restricted Embryo_C1769_1_3A Expression was strong in the corpus striatum (lateral ganglionic eminence).
TS22: basal forebrain Moderate Regionally restricted Embryo_C1769_1_3D
TS22: amygdala Weak Scattered Embryo_C1769_1_2A
TS22: telencephalon septum Moderate Regionally restricted Embryo_C1769_1_4A
TS22: pallidum Strong Regionally restricted Embryo_C1769_1_4A Expression was strong in the pallidum (medial ganglionic eminence).
TS22: diencephalon Moderate Regionally restricted Embryo_C1769_1_4A
TS22: thalamus Moderate Regionally restricted Embryo_C1769_1_4A
TS22: hypothalamus Moderate Regionally restricted Embryo_C1769_1_4B
TS22: midbrain Strong Regionally restricted Embryo_C1769_1_3C
TS22: pretectum Weak Scattered Embryo_C1769_1_3A
TS22: superior colliculus Weak Regionally restricted Embryo_C1769_1_2D
TS22: inferior colliculus Strong Ubiquitous Embryo_C1769_1_3C
TS22: midbrain tegmentum Weak Scattered Embryo_C1769_1_2D
TS22: hindbrain Moderate Regionally restricted Embryo_C1769_1_1A
TS22: cerebellum Moderate Regionally restricted Embryo_C1769_1_1A
TS22: pons Moderate Regionally restricted Embryo_C1769_1_1A
TS22: medulla oblongata Weak Regionally restricted Embryo_C1769_1_3B
TS22: spinal cord Strong Regionally restricted Embryo_C1769_1_3A
TS22: choroid plexus Weak Scattered Embryo_C1769_1_5D
TS22: meninges Absent
TS22: peripheral nervous system Absent
TS22: cranial ganglion Absent
TS22: dorsal root ganglion Absent
TS22: eye Moderate Regionally restricted Embryo_C1769_1_1D
TS22: retina Moderate Regionally restricted Embryo_C1769_1_1D
TS22: lens Weak Regionally restricted Embryo_C1769_1_1B
TS22: cornea Absent
TS22: optic nerve Weak Scattered Embryo_C1769_1_2C
TS22: nose Strong Regionally restricted Embryo_C1769_1_3D
TS22: olfactory epithelium Strong Regionally restricted Embryo_C1769_1_3D
TS22: ear Moderate Regionally restricted Embryo_C1769_1_2A
TS22: inner ear Moderate Regionally restricted Embryo_C1769_1_2A
TS22: cochlea Moderate Regionally restricted Embryo_C1769_1_2A
TS22: inner ear labyrinth Weak Regionally restricted Embryo_C1769_1_1C
TS22: middle ear Weak Regionally restricted Embryo_C1769_1_1A
TS22: alimentary system Strong Regionally restricted Embryo_C1769_1_4D Expression was strong in the digestive system.
TS22: intestine Moderate Regionally restricted Embryo_C1769_1_3C
TS22: salivary gland Strong Regionally restricted Embryo_C1769_1_3A
TS22: tongue Weak Regionally restricted Embryo_C1769_1_5D
TS22: tooth Strong Regionally restricted Embryo_C1769_1_4B
TS22: palatal shelf Moderate Regionally restricted Embryo_C1769_1_4A
TS22: esophagus Weak Regionally restricted Embryo_C1769_1_3C
TS22: stomach Moderate Scattered Embryo_C1769_1_5C
TS22: liver Strong Regionally restricted Embryo_C1769_1_4D
TS22: respiratory system Strong Regionally restricted Embryo_C1769_1_1D
TS22: pharynx Weak Regionally restricted Embryo_C1769_1_3D
TS22: larynx Moderate Regionally restricted Embryo_C1769_1_3D
TS22: trachea Moderate Regionally restricted Embryo_C1769_1_3C
TS22: main bronchus Weak Regionally restricted Embryo_C1769_1_4A
TS22: lung Strong Regionally restricted Embryo_C1769_1_1D
TS22: urinary system Strong Regionally restricted Embryo_C1769_1_4C Expression was strong in the genito-urinary system.
TS22: metanephros Strong Regionally restricted Embryo_C1769_1_4C
TS22: ureter Absent
TS22: bladder Weak Regionally restricted Embryo_C1769_1_4A
TS22: urethra Weak Regionally restricted Embryo_C1769_1_4A
TS22: reproductive system Moderate Regionally restricted Embryo_C1769_1_4D
TS22: genital tubercle Moderate Regionally restricted Embryo_C1769_1_4D
TS22: gonad Weak Regionally restricted Embryo_C1769_1_1A
TS22: gland Moderate Regionally restricted Embryo_C1769_1_3B Expression was detected in the endocrine system.
TS22: thyroid gland Moderate Regionally restricted Embryo_C1769_1_3B
TS22: pituitary gland Moderate Regionally restricted Embryo_C1769_1_4B
TS22: pancreas Moderate Regionally restricted Embryo_C1769_1_4D
TS22: adrenal gland Weak Regionally restricted Embryo_C1769_1_2A
TS22: cardiovascular system Weak Regionally restricted Embryo_C1769_1_4B
TS22: heart Weak Regionally restricted Embryo_C1769_1_4B
TS22: heart atrium Weak Scattered Embryo_C1769_1_3A
TS22: heart ventricle Weak Regionally restricted Embryo_C1769_1_4B
TS22: blood vessel Absent
TS22: hemolymphoid system Strong Regionally restricted Embryo_C1769_1_3B Expression was strong in the immune system.
TS22: spleen primordium Weak Scattered Embryo_C1769_1_5D
TS22: thymus primordium Strong Regionally restricted Embryo_C1769_1_3B
TS22: appendicular skeleton Weak Regionally restricted Embryo_C1769_1_3A Expression was weak in the skeleton (limbs, shoulder, hip).
TS22: musculature Weak Ubiquitous Embryo_C1769_1_1C
TS22: face Weak Regionally restricted Embryo_C1769_1_2A Expression was weak in the face/soft tissues.
TS22: facial bone primordium Absent
TS22: cranium Absent Expression was not detected in the skull (base and vault).
TS22: axial skeleton Absent
TS22: tail Moderate Regionally restricted Embryo_C1769_1_3A
TS22: forelimb Weak Regionally restricted Embryo_C1769_1_1A
TS22: hindlimb Moderate Regionally restricted Embryo_C1769_1_2A
TS22: integumental system Strong Regionally restricted Embryo_C1769_1_3A
TS22: skin Moderate Regionally restricted Embryo_C1769_1_4B
TS22: hair Strong Regionally restricted Embryo_C1769_1_3A
TS22: vibrissa follicle Strong Regionally restricted Embryo_C1769_1_3A Expression was strong in whisker follicle.


Contributing Projects:
Mouse Genome Database (MGD), Gene Expression Database (GXD), Mouse Models of Human Cancer database (MMHCdb) (formerly Mouse Tumor Biology (MTB)), Gene Ontology (GO)
Citing These Resources
Funding Information
Warranty Disclaimer, Privacy Notice, Licensing, & Copyright
Send questions and comments to User Support.
last database update
03/31/2026
MGI 6.24
The Jackson Laboratory