About   Help   FAQ
Gene Expression Data
Assay Details
Assay
Reference: J:122989 Visel A, et al., GenePaint.org: an atlas of gene expression patterns in the mouse embryo. Nucleic Acids Res. 2004 Jan 1;32(Database issue):D552-6
Assay type: RNA in situ
MGI Accession ID: MGI:5421631
Gene symbol: Rdh13
Gene name: retinol dehydrogenase 13 (all-trans and 9-cis)
Probe: MH1632 probe 1302
Probe preparation: Antisense labelled with digoxigenin RNA
Visualized with: Alkaline phosphatase
Assay notes: Cryosections of fresh frozen material were fixed in 4% paraformaldehyde for 20 min. before further processing. A tyramide-biotin/streptavidin amplification step was included in the in situ hybridization procedure. These data were downloaded from GenePaint.org on 1/30/12.
Results
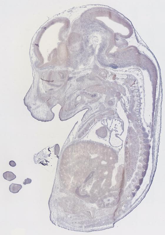
Specimen MH1632; Specimen C1749: embryonic day 14.5 (more )
Structure Level Pattern Image Note
TS22: nervous system Moderate Regionally restricted Embryo_C1749_1_3A
TS22: central nervous system Moderate Regionally restricted Embryo_C1749_1_3A
TS22: telencephalon Weak Regionally restricted Embryo_C1749_1_4D
TS22: cerebral cortex Weak Regionally restricted Embryo_C1749_1_4D
TS22: neocortex Weak Regionally restricted Embryo_C1749_1_3B
TS22: olfactory cortex Weak Regionally restricted Embryo_C1749_1_4D
TS22: main olfactory bulb Weak Regionally restricted Embryo_C1749_1_4D
TS22: piriform cortex Weak Regionally restricted Embryo_C1749_1_1D
TS22: hippocampus Weak Regionally restricted Embryo_C1749_1_1D
TS22: basal ganglia Weak Regionally restricted Embryo_C1749_1_1C
TS22: corpus striatum Weak Regionally restricted Embryo_C1749_1_1C Expression was weak in the corpus striatum (lateral ganglionic eminence).
TS22: basal forebrain Absent
TS22: amygdala Weak Regionally restricted Embryo_C1749_1_1C
TS22: telencephalon septum Weak Regionally restricted Embryo_C1749_1_4A
TS22: pallidum Absent Expression was not detected in the pallidum (medial ganglionic eminence).
TS22: diencephalon Moderate Regionally restricted Embryo_C1749_1_4A
TS22: thalamus Weak Regionally restricted Embryo_C1749_1_2C
TS22: hypothalamus Moderate Regionally restricted Embryo_C1749_1_4A
TS22: midbrain Moderate Regionally restricted Embryo_C1749_1_3C
TS22: pretectum Weak Regionally restricted Embryo_C1749_1_3A
TS22: superior colliculus Absent
TS22: inferior colliculus Absent
TS22: midbrain tegmentum Moderate Regionally restricted Embryo_C1749_1_3C
TS22: hindbrain Moderate Regionally restricted Embryo_C1749_1_3A
TS22: cerebellum Weak Regionally restricted Embryo_C1749_1_2D
TS22: pons Moderate Regionally restricted Embryo_C1749_1_3C
TS22: medulla oblongata Moderate Regionally restricted Embryo_C1749_1_3A
TS22: spinal cord Moderate Regionally restricted Embryo_C1749_1_4C
TS22: choroid plexus Weak Regionally restricted Embryo_C1749_1_3D
TS22: meninges Moderate Regionally restricted Embryo_C1749_1_6A
TS22: peripheral nervous system Moderate Regionally restricted Embryo_C1749_1_2B
TS22: cranial ganglion Moderate Regionally restricted Embryo_C1749_1_2B
TS22: dorsal root ganglion Moderate Regionally restricted Embryo_C1749_1_3A
TS22: eye Weak Regionally restricted Embryo_C1749_1_1C
TS22: retina Weak Regionally restricted Embryo_C1749_1_1C
TS22: lens Absent
TS22: cornea Absent
TS22: optic nerve Absent
TS22: nose Weak Regionally restricted Embryo_C1749_1_4D
TS22: olfactory epithelium Weak Regionally restricted Embryo_C1749_1_4D
TS22: ear Weak Regionally restricted Embryo_C1749_1_5C
TS22: inner ear Weak Regionally restricted Embryo_C1749_1_5C
TS22: cochlea Weak Regionally restricted Embryo_C1749_1_5C
TS22: inner ear labyrinth Absent
TS22: middle ear Absent
TS22: alimentary system Moderate Regionally restricted Embryo_C1749_1_2D Expression was detected in the digestive system.
TS22: intestine Weak Regionally restricted Embryo_C1749_1_4B
TS22: salivary gland Moderate Regionally restricted Embryo_C1749_1_2D
TS22: tongue Weak Regionally restricted Embryo_C1749_1_3D
TS22: tooth Weak Regionally restricted Embryo_C1749_1_3C
TS22: palatal shelf Absent
TS22: esophagus Absent
TS22: stomach Moderate Scattered Embryo_C1749_1_5C
TS22: liver Absent
TS22: respiratory system Absent
TS22: pharynx Absent
TS22: larynx Absent
TS22: trachea Absent
TS22: main bronchus Absent
TS22: lung Absent
TS22: urinary system Weak Regionally restricted Embryo_C1749_1_5B Expression was weak in the genito-urinary system.
TS22: metanephros Weak Regionally restricted Embryo_C1749_1_5B
TS22: ureter Absent
TS22: bladder Absent
TS22: urethra Absent
TS22: reproductive system Weak Regionally restricted Embryo_C1749_1_4A
TS22: genital tubercle Weak Regionally restricted Embryo_C1749_1_4A
TS22: gonad Absent
TS22: gland Absent Expression was not detected in the endocrine system.
TS22: thyroid gland Absent
TS22: pituitary gland Absent
TS22: pancreas Absent
TS22: adrenal gland Absent
TS22: cardiovascular system Absent
TS22: heart Absent
TS22: heart atrium Absent
TS22: heart ventricle Absent
TS22: blood vessel Absent
TS22: hemolymphoid system Weak Regionally restricted Embryo_C1749_1_3D Expression was weak in the immune system.
TS22: spleen primordium Absent
TS22: thymus primordium Weak Regionally restricted Embryo_C1749_1_3D
TS22: appendicular skeleton Weak Regionally restricted Embryo_C1749_1_4D Expression was weak in the skeleton (limbs, shoulder, hip).
TS22: musculature Absent
TS22: face Weak Regionally restricted Embryo_C1749_1_3B Expression was weak in the face/soft tissues.
TS22: facial bone primordium Absent
TS22: cranium Absent Expression was not detected in the skull (base and vault).
TS22: axial skeleton Absent
TS22: tail Weak Regionally restricted Embryo_C1749_1_4A
TS22: forelimb Moderate Regionally restricted Embryo_C1749_1_6A
TS22: hindlimb Moderate Regionally restricted Embryo_C1749_1_6A
TS22: integumental system Moderate Regionally restricted Embryo_C1749_1_6A
TS22: skin Moderate Regionally restricted Embryo_C1749_1_6A
TS22: hair Absent
TS22: vibrissa follicle Absent Expression was not detected in whisker follicle.


Contributing Projects:
Mouse Genome Database (MGD), Gene Expression Database (GXD), Mouse Models of Human Cancer database (MMHCdb) (formerly Mouse Tumor Biology (MTB)), Gene Ontology (GO)
Citing These Resources
Funding Information
Warranty Disclaimer, Privacy Notice, Licensing, & Copyright
Send questions and comments to User Support.
last database update
01/20/2026
MGI 6.24
The Jackson Laboratory