About   Help   FAQ
Gene Expression Data
Assay Details
Assay
Reference: J:122989 Visel A, et al., GenePaint.org: an atlas of gene expression patterns in the mouse embryo. Nucleic Acids Res. 2004 Jan 1;32(Database issue):D552-6
Assay type: RNA in situ
MGI Accession ID: MGI:5421601
Gene symbol: Ass1
Gene name: argininosuccinate synthetase 1
Probe: MH1600 probe 1266
Probe preparation: Antisense labelled with digoxigenin RNA
Visualized with: Alkaline phosphatase
Assay notes: Cryosections of fresh frozen material were fixed in 4% paraformaldehyde for 20 min. before further processing. A tyramide-biotin/streptavidin amplification step was included in the in situ hybridization procedure. These data were downloaded from GenePaint.org on 1/30/12.
Results
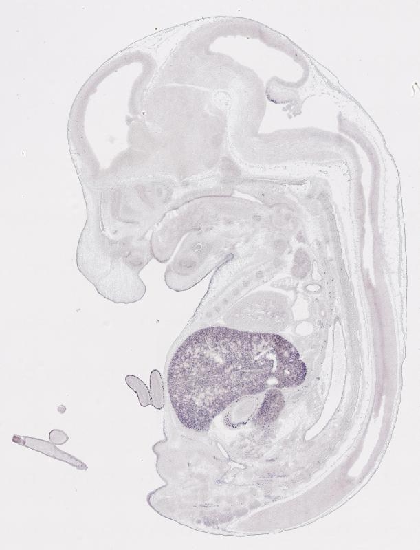
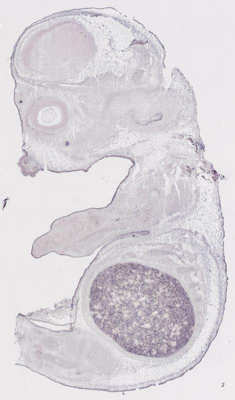
Specimen MH1600; Specimen C1143: embryonic day 14.5 (more )
Structure Level Pattern Image Note
TS22: nervous system Strong Regionally restricted Embryo_C1143_5_6D
TS22: central nervous system Strong Regionally restricted Embryo_C1143_5_4B
TS22: telencephalon Moderate Regionally restricted Embryo_C1143_5_3A
TS22: cerebral cortex Moderate Regionally restricted Embryo_C1143_5_2A
TS22: neocortex Moderate Scattered Embryo_C1143_5_2A
TS22: olfactory cortex Absent
TS22: main olfactory bulb Absent
TS22: piriform cortex Absent
TS22: hippocampus Moderate Scattered Embryo_C1143_5_2A
TS22: basal ganglia Moderate Regionally restricted Embryo_C1143_5_3A
TS22: corpus striatum Moderate Scattered Embryo_C1143_5_5A Expression was detected in the corpus striatum (lateral ganglionic eminence).
TS22: basal forebrain Absent
TS22: amygdala Absent
TS22: telencephalon septum Moderate Scattered Embryo_C1143_5_3A
TS22: pallidum Moderate Scattered Embryo_C1143_5_3A Expression was detected in the pallidum (medial ganglionic eminence).
TS22: diencephalon Moderate Scattered Embryo_C1143_5_3A
TS22: thalamus Moderate Scattered Embryo_C1143_5_3A
TS22: hypothalamus Weak Scattered Embryo_C1143_5_4B
TS22: midbrain Moderate Regionally restricted Embryo_C1143_5_3D
TS22: pretectum Moderate Regionally restricted Embryo_C1143_5_3D
TS22: superior colliculus Moderate Scattered Embryo_C1143_5_3A
TS22: inferior colliculus Moderate Scattered Embryo_C1143_5_3C
TS22: midbrain tegmentum Weak Scattered Embryo_C1143_5_4C
TS22: hindbrain Strong Scattered Embryo_C1143_5_4B
TS22: cerebellum Strong Scattered Embryo_C1143_5_4B
TS22: pons Weak Scattered Embryo_C1143_5_2B
TS22: medulla oblongata Weak Scattered Embryo_C1143_5_3B
TS22: spinal cord Weak Scattered Embryo_C1143_5_4A
TS22: choroid plexus Weak Scattered Embryo_C1143_5_4C
TS22: meninges Weak Regionally restricted Embryo_C1143_5_1B
TS22: peripheral nervous system Moderate Scattered Embryo_C1143_5_2C
TS22: cranial ganglion Moderate Scattered Embryo_C1143_5_2C
TS22: dorsal root ganglion Moderate Scattered Embryo_C1143_5_3B
TS22: eye Strong Regionally restricted Embryo_C1143_5_6D
TS22: retina Moderate Scattered Embryo_C1143_5_1B
TS22: lens Strong Regionally restricted Embryo_C1143_5_6D
TS22: cornea Absent
TS22: optic nerve Absent
TS22: nose Absent
TS22: olfactory epithelium Absent
TS22: ear Moderate Regionally restricted Embryo_C1143_5_1A
TS22: inner ear Absent
TS22: cochlea Absent
TS22: inner ear labyrinth Absent
TS22: middle ear Moderate Regionally restricted Embryo_C1143_5_1A
TS22: alimentary system Strong Regionally restricted Embryo_C1143_5_3B Expression was strong in the digestive system.
TS22: intestine Strong Regionally restricted Embryo_C1143_5_3B
TS22: salivary gland Moderate Scattered Embryo_C1143_5_2D
TS22: tongue Strong Scattered Embryo_C1143_5_3C
TS22: tooth Weak Regionally restricted Embryo_C1143_5_3A
TS22: palatal shelf Moderate Regionally restricted Embryo_C1143_5_3C
TS22: esophagus Strong Scattered Embryo_C1143_5_4B
TS22: stomach Strong Scattered Embryo_C1143_5_5A
TS22: liver Moderate Regionally restricted Embryo_C1143_5_3A
TS22: respiratory system Moderate Regionally restricted Embryo_C1143_5_5D
TS22: pharynx Absent
TS22: larynx Absent
TS22: trachea Absent
TS22: main bronchus Absent
TS22: lung Moderate Scattered Embryo_C1143_5_5D
TS22: urinary system Moderate Regionally restricted Embryo_C1143_5_4A Expression was detected in the genito-urinary system.
TS22: metanephros Moderate Regionally restricted Embryo_C1143_5_2D
TS22: ureter Absent
TS22: bladder Absent
TS22: urethra Moderate Regionally restricted Embryo_C1143_5_3D
TS22: reproductive system Moderate Regionally restricted Embryo_C1143_5_4A
TS22: genital tubercle Moderate Regionally restricted Embryo_C1143_5_4A
TS22: gonad Weak Scattered Embryo_C1143_5_6A
TS22: gland Moderate Regionally restricted Embryo_C1143_5_4D Expression was detected in the endocrine system.
TS22: thyroid gland Weak Regionally restricted Embryo_C1143_5_4C
TS22: pituitary gland Absent
TS22: pancreas Moderate Scattered Embryo_C1143_5_4D
TS22: adrenal gland Weak Scattered Embryo_C1143_5_5C
TS22: cardiovascular system Moderate Regionally restricted Embryo_C1143_5_4C
TS22: heart Moderate Regionally restricted Embryo_C1143_5_3D
TS22: heart atrium Moderate Regionally restricted Embryo_C1143_5_3D
TS22: heart ventricle Moderate Regionally restricted Embryo_C1143_5_3C
TS22: blood vessel Weak Regionally restricted Embryo_C1143_5_4C
TS22: hemolymphoid system Moderate Regionally restricted Embryo_C1143_5_4A Expression was detected in the immune system.
TS22: spleen primordium Absent
TS22: thymus primordium Moderate Scattered Embryo_C1143_5_4A
TS22: appendicular skeleton Absent Expression was not detected in the skeleton (limbs, shoulder, hip).
TS22: musculature Absent
TS22: face Absent Expression was not detected in the face/soft tissues.
TS22: facial bone primordium Absent
TS22: cranium Absent Expression was not detected in the skull (base and vault).
TS22: axial skeleton Weak Regionally restricted Embryo_C1143_5_4B
TS22: tail Moderate Regionally restricted Embryo_C1143_5_4B
TS22: forelimb Moderate Regionally restricted Embryo_C1143_5_6B
TS22: hindlimb Moderate Regionally restricted Embryo_C1143_5_6B
TS22: integumental system Strong Regionally restricted Embryo_C1143_5_1C
TS22: skin Moderate Regionally restricted Embryo_C1143_5_6B
TS22: hair Strong Regionally restricted Embryo_C1143_5_1C
TS22: vibrissa follicle Strong Regionally restricted Embryo_C1143_5_1C Expression was strong in whisker follicle.


Contributing Projects:
Mouse Genome Database (MGD), Gene Expression Database (GXD), Mouse Models of Human Cancer database (MMHCdb) (formerly Mouse Tumor Biology (MTB)), Gene Ontology (GO)
Citing These Resources
Funding Information
Warranty Disclaimer, Privacy Notice, Licensing, & Copyright
Send questions and comments to User Support.
last database update
01/20/2026
MGI 6.24
The Jackson Laboratory