About   Help   FAQ
Gene Expression Data
Assay Details
Assay
Reference: J:122989 Visel A, et al., GenePaint.org: an atlas of gene expression patterns in the mouse embryo. Nucleic Acids Res. 2004 Jan 1;32(Database issue):D552-6
Assay type: RNA in situ
MGI Accession ID: MGI:5421596
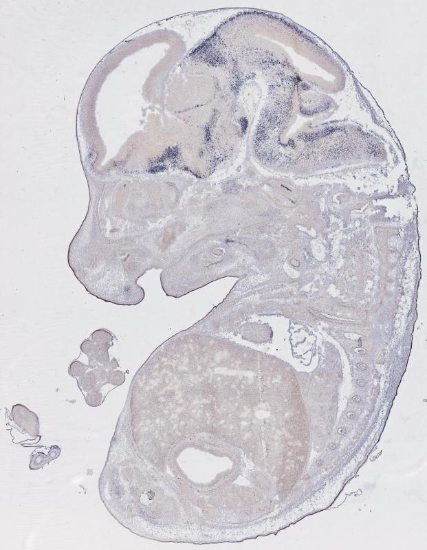
Gene symbol: Adarb2
Gene name: adenosine deaminase, RNA-specific, B2
Probe: MH1592 probe 1257
Probe preparation: Antisense labelled with digoxigenin RNA
Visualized with: Alkaline phosphatase
Assay notes: Cryosections of fresh frozen material were fixed in 4% paraformaldehyde for 20 min. before further processing. A tyramide-biotin/streptavidin amplification step was included in the in situ hybridization procedure. These data were downloaded from GenePaint.org on 1/30/12.
Results
Specimen MH1592; Specimen C1124: embryonic day 14.5 (more )
Structure Level Pattern Image Note
TS22: nervous system Strong Regionally restricted Embryo_C1124_2_3C
TS22: central nervous system Strong Regionally restricted Embryo_C1124_2_3C
TS22: telencephalon Strong Regionally restricted Embryo_C1124_2_6A
TS22: cerebral cortex Moderate Regionally restricted Embryo_C1124_2_5D
TS22: neocortex Moderate Scattered Embryo_C1124_2_1C
TS22: olfactory cortex Moderate Regionally restricted Embryo_C1124_2_5D
TS22: main olfactory bulb Moderate Scattered Embryo_C1124_2_5A
TS22: piriform cortex Moderate Regionally restricted Embryo_C1124_2_5D
TS22: hippocampus Absent
TS22: basal ganglia Strong Regionally restricted Embryo_C1124_2_6A
TS22: corpus striatum Strong Regionally restricted Embryo_C1124_2_6A Expression was strong in the corpus striatum (lateral ganglionic eminence).
TS22: basal forebrain Moderate Scattered Embryo_C1124_2_3B
TS22: amygdala Moderate Regionally restricted Embryo_C1124_2_2B
TS22: telencephalon septum Strong Regionally restricted Embryo_C1124_2_4A
TS22: pallidum Weak Scattered Embryo_C1124_2_3C Expression was weak in the pallidum (medial ganglionic eminence).
TS22: diencephalon Strong Regionally restricted Embryo_C1124_2_4D
TS22: thalamus Strong Regionally restricted Embryo_C1124_2_3B
TS22: hypothalamus Strong Regionally restricted Embryo_C1124_2_4D
TS22: midbrain Strong Regionally restricted Embryo_C1124_2_3C
TS22: pretectum Strong Regionally restricted Embryo_C1124_2_3C
TS22: superior colliculus Strong Regionally restricted Embryo_C1124_2_3C
TS22: inferior colliculus Moderate Scattered Embryo_C1124_2_5B
TS22: midbrain tegmentum Strong Regionally restricted Embryo_C1124_2_4D
TS22: hindbrain Strong Regionally restricted Embryo_C1124_2_5C
TS22: cerebellum Strong Regionally restricted Embryo_C1124_2_5C
TS22: pons Strong Regionally restricted Embryo_C1124_2_4A
TS22: medulla oblongata Strong Regionally restricted Embryo_C1124_2_5B
TS22: spinal cord Strong Regionally restricted Embryo_C1124_2_3C
TS22: choroid plexus Absent
TS22: meninges Weak Ubiquitous Embryo_C1124_2_1C
TS22: peripheral nervous system Moderate Regionally restricted Embryo_C1124_2_3A
TS22: cranial ganglion Moderate Regionally restricted Embryo_C1124_2_3A
TS22: dorsal root ganglion Weak Scattered Embryo_C1124_2_2C
TS22: eye Moderate Regionally restricted Embryo_C1124_2_1C
TS22: retina Moderate Regionally restricted Embryo_C1124_2_1C
TS22: lens Absent
TS22: cornea Weak Regionally restricted Embryo_C1124_2_1B
TS22: optic nerve Absent
TS22: nose Absent
TS22: olfactory epithelium Absent
TS22: ear Strong Regionally restricted Embryo_C1124_2_2D
TS22: inner ear Strong Regionally restricted Embryo_C1124_2_2D
TS22: cochlea Strong Regionally restricted Embryo_C1124_2_2D
TS22: inner ear labyrinth Moderate Regionally restricted Embryo_C1124_2_2A
TS22: middle ear Absent
TS22: alimentary system Weak Regionally restricted Embryo_C1124_2_4B Expression was weak in the digestive system.
TS22: intestine Weak Scattered Embryo_C1124_2_3C
TS22: salivary gland Absent
TS22: tongue Weak Regionally restricted Embryo_C1124_2_4C
TS22: tooth Absent
TS22: palatal shelf Absent
TS22: esophagus Absent
TS22: stomach Weak Scattered Embryo_C1124_2_4B
TS22: liver Absent
TS22: respiratory system Weak Regionally restricted Embryo_C1124_2_3D
TS22: pharynx Absent
TS22: larynx Weak Scattered Embryo_C1124_2_3D
TS22: trachea Absent
TS22: main bronchus Absent
TS22: lung Absent
TS22: urinary system Moderate Regionally restricted Embryo_C1124_2_3B Expression was detected in the genito-urinary system.
TS22: metanephros Absent
TS22: ureter Absent
TS22: bladder Absent
TS22: urethra Absent
TS22: reproductive system Moderate Regionally restricted Embryo_C1124_2_3B
TS22: genital tubercle Moderate Regionally restricted Embryo_C1124_2_3B
TS22: gonad Absent
TS22: gland Weak Regionally restricted Embryo_C1124_2_4D Expression was weak in the endocrine system.
TS22: thyroid gland Absent
TS22: pituitary gland Weak Scattered Embryo_C1124_2_4D
TS22: pancreas Weak Regionally restricted Embryo_C1124_2_4B
TS22: adrenal gland Absent
TS22: cardiovascular system Weak Regionally restricted Embryo_C1124_2_4B
TS22: heart Weak Regionally restricted Embryo_C1124_2_4B
TS22: heart atrium Weak Regionally restricted Embryo_C1124_2_4B
TS22: heart ventricle Weak Regionally restricted Embryo_C1124_2_4B
TS22: blood vessel Weak Regionally restricted Embryo_C1124_2_4B
TS22: hemolymphoid system Absent Expression was not detected in the immune system.
TS22: spleen primordium Absent
TS22: thymus primordium Absent
TS22: appendicular skeleton Weak Regionally restricted Embryo_C1124_2_5A Expression was weak in the skeleton (limbs, shoulder, hip).
TS22: musculature Absent
TS22: face Moderate Regionally restricted Embryo_C1124_2_2D Expression was detected in the face/soft tissues.
TS22: facial bone primordium Absent
TS22: cranium Weak Scattered Embryo_C1124_2_3D Expression was weak in the skull (base and vault).
TS22: axial skeleton Moderate Regionally restricted Embryo_C1124_2_1B
TS22: tail Strong Regionally restricted Embryo_C1124_2_3B
TS22: forelimb Strong Regionally restricted Embryo_C1124_2_1A
TS22: hindlimb Strong Regionally restricted Embryo_C1124_2_6B
TS22: integumental system Strong Regionally restricted Embryo_C1124_2_3B
TS22: skin Strong Regionally restricted Embryo_C1124_2_3B
TS22: hair Weak Regionally restricted Embryo_C1124_2_6C
TS22: vibrissa follicle Weak Regionally restricted Embryo_C1124_2_6C Expression was weak in whisker follicle.


Contributing Projects:
Mouse Genome Database (MGD), Gene Expression Database (GXD), Mouse Models of Human Cancer database (MMHCdb) (formerly Mouse Tumor Biology (MTB)), Gene Ontology (GO)
Citing These Resources
Funding Information
Warranty Disclaimer, Privacy Notice, Licensing, & Copyright
Send questions and comments to User Support.
last database update
03/24/2026
MGI 6.24
The Jackson Laboratory