About   Help   FAQ
Gene Expression Data
Assay Details
Assay
Reference: J:122989 Visel A, et al., GenePaint.org: an atlas of gene expression patterns in the mouse embryo. Nucleic Acids Res. 2004 Jan 1;32(Database issue):D552-6
Assay type: RNA in situ
MGI Accession ID: MGI:5421592
Gene symbol: Dgat2
Gene name: diacylglycerol O-acyltransferase 2
Probe: MH1550 probe 1218
Probe preparation: Antisense labelled with digoxigenin RNA
Visualized with: Alkaline phosphatase
Assay notes: Cryosections of fresh frozen material were fixed in 4% paraformaldehyde for 20 min. before further processing. A tyramide-biotin/streptavidin amplification step was included in the in situ hybridization procedure. These data were downloaded from GenePaint.org on 1/30/12.
Results
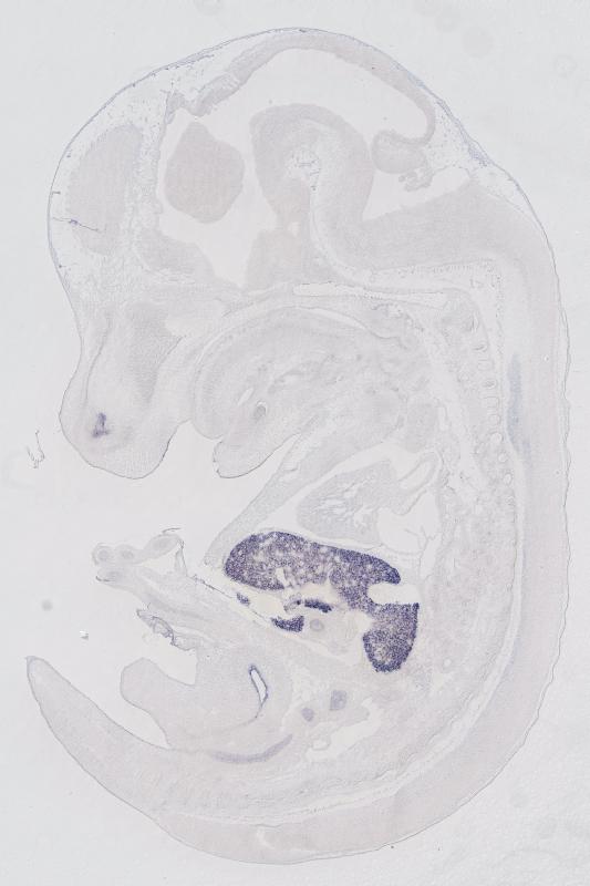
Specimen MH1550; Specimen C1139: embryonic day 14.5 (more )
Structure Level Pattern Image Note
TS22: nervous system Moderate Regionally restricted Embryo_C1139_2_3A
TS22: central nervous system Weak Regionally restricted Embryo_C1139_2_4A
TS22: telencephalon Weak Regionally restricted Embryo_C1139_2_4A
TS22: cerebral cortex Weak Regionally restricted Embryo_C1139_2_1A
TS22: neocortex Absent
TS22: olfactory cortex Weak Regionally restricted Embryo_C1139_2_1A
TS22: main olfactory bulb Absent
TS22: piriform cortex Weak Regionally restricted Embryo_C1139_2_1A
TS22: hippocampus Weak Regionally restricted Embryo_C1139_2_2B
TS22: basal ganglia Weak Regionally restricted Embryo_C1139_2_4A
TS22: corpus striatum Absent Expression was not detected in the corpus striatum (lateral ganglionic eminence).
TS22: basal forebrain Absent
TS22: amygdala Absent
TS22: telencephalon septum Weak Regionally restricted Embryo_C1139_2_4A
TS22: pallidum Absent Expression was not detected in the pallidum (medial ganglionic eminence).
TS22: diencephalon Weak Regionally restricted Embryo_C1139_2_3B
TS22: thalamus Weak Regionally restricted Embryo_C1139_2_3B
TS22: hypothalamus Absent
TS22: midbrain Absent
TS22: pretectum Absent
TS22: superior colliculus Absent
TS22: inferior colliculus Absent
TS22: midbrain tegmentum Absent
TS22: hindbrain Weak Regionally restricted Embryo_C1139_2_3A
TS22: cerebellum Absent
TS22: pons Weak Regionally restricted Embryo_C1139_2_3A
TS22: medulla oblongata Weak Regionally restricted Embryo_C1139_2_5A
TS22: spinal cord Weak Regionally restricted Embryo_C1139_2_5A
TS22: choroid plexus Absent
TS22: meninges Weak Regionally restricted Embryo_C1139_2_2B
TS22: peripheral nervous system Weak Regionally restricted Embryo_C1139_2_5A
TS22: cranial ganglion Weak Regionally restricted Embryo_C1139_2_2B
TS22: dorsal root ganglion Weak Regionally restricted Embryo_C1139_2_5A
TS22: eye Absent
TS22: retina Absent
TS22: lens Absent
TS22: optic nerve Absent
TS22: nose Moderate Regionally restricted Embryo_C1139_2_3A
TS22: olfactory epithelium Moderate Regionally restricted Embryo_C1139_2_3A
TS22: ear Weak Regionally restricted Embryo_C1139_2_5A
TS22: inner ear Weak Regionally restricted Embryo_C1139_2_5A
TS22: cochlea Weak Regionally restricted Embryo_C1139_2_5A
TS22: inner ear labyrinth Weak Regionally restricted Embryo_C1139_2_2B
TS22: middle ear Weak Regionally restricted Embryo_C1139_2_1A
TS22: alimentary system Strong Regionally restricted Embryo_C1139_2_4A Expression was strong in the digestive system.
TS22: intestine Weak Regionally restricted Embryo_C1139_2_3A
TS22: salivary gland Weak Regionally restricted Embryo_C1139_2_2D
TS22: tongue Moderate Regionally restricted Embryo_C1139_2_4A
TS22: tooth Weak Regionally restricted Embryo_C1139_2_4B
TS22: palatal shelf Absent
TS22: esophagus Absent
TS22: stomach Absent
TS22: liver Strong Regionally restricted Embryo_C1139_2_4A
TS22: respiratory system Weak Regionally restricted Embryo_C1139_2_4A
TS22: pharynx Weak Regionally restricted Embryo_C1139_2_4A
TS22: larynx Weak Regionally restricted Embryo_C1139_2_4A
TS22: trachea Absent
TS22: main bronchus Absent
TS22: lung Weak Regionally restricted Embryo_C1139_2_5A
TS22: urinary system Moderate Regionally restricted Embryo_C1139_2_3A Expression was detected in the genito-urinary system.
TS22: metanephros Weak Regionally restricted Embryo_C1139_2_5C
TS22: ureter Weak Regionally restricted Embryo_C1139_2_3C
TS22: bladder Moderate Regionally restricted Embryo_C1139_2_3C
TS22: urethra Weak Regionally restricted Embryo_C1139_2_3D
TS22: reproductive system Moderate Regionally restricted Embryo_C1139_2_3A
TS22: genital tubercle Moderate Regionally restricted Embryo_C1139_2_3A
TS22: gonad Weak Regionally restricted Embryo_C1139_2_2A
TS22: gland Absent Expression was not detected in the endocrine system.
TS22: thyroid gland Absent
TS22: pituitary gland Absent
TS22: pancreas Absent
TS22: adrenal gland Absent
TS22: cardiovascular system Absent
TS22: heart Absent
TS22: heart atrium Absent
TS22: heart ventricle Absent
TS22: blood vessel Absent
TS22: hemolymphoid system Absent Expression was not detected in the immune system.
TS22: spleen primordium Absent
TS22: thymus primordium Absent
TS22: appendicular skeleton Weak Regionally restricted Embryo_C1139_2_2A Expression was weak in the skeleton (limbs, shoulder, hip).
TS22: musculature Weak Regionally restricted Embryo_C1139_2_2A
TS22: face Absent Expression was not detected in the face/soft tissues.
TS22: facial bone primordium Weak Regionally restricted Embryo_C1139_2_3D
TS22: cranium Absent Expression was not detected in the skull (base and vault).
TS22: axial skeleton Weak Regionally restricted Embryo_C1139_2_6A
TS22: tail Strong Regionally restricted Embryo_C1139_2_3A
TS22: forelimb Strong Regionally restricted Embryo_C1139_2_6A
TS22: hindlimb Moderate Regionally restricted Embryo_C1139_2_6A
TS22: integumental system Strong Regionally restricted Embryo_C1139_2_6A
TS22: skin Strong Regionally restricted Embryo_C1139_2_6A
TS22: hair Moderate Regionally restricted Embryo_C1139_2_1A
TS22: vibrissa follicle Moderate Regionally restricted Embryo_C1139_2_1A Expression was detected in whisker follicle.


Contributing Projects:
Mouse Genome Database (MGD), Gene Expression Database (GXD), Mouse Models of Human Cancer database (MMHCdb) (formerly Mouse Tumor Biology (MTB)), Gene Ontology (GO)
Citing These Resources
Funding Information
Warranty Disclaimer, Privacy Notice, Licensing, & Copyright
Send questions and comments to User Support.
last database update
04/14/2026
MGI 6.24
The Jackson Laboratory