About   Help   FAQ
Gene Expression Data
Assay Details
Assay
Reference: J:122989 Visel A, et al., GenePaint.org: an atlas of gene expression patterns in the mouse embryo. Nucleic Acids Res. 2004 Jan 1;32(Database issue):D552-6
Assay type: RNA in situ
MGI Accession ID: MGI:5421590
Gene symbol: Uqcrc1
Gene name: ubiquinol-cytochrome c reductase core protein 1
Probe: MH1548 probe 1254
Probe preparation: Antisense labelled with digoxigenin RNA
Visualized with: Alkaline phosphatase
Assay notes: Cryosections of fresh frozen material were fixed in 4% paraformaldehyde for 20 min. before further processing. A tyramide-biotin/streptavidin amplification step was included in the in situ hybridization procedure. These data were downloaded from GenePaint.org on 1/30/12.
Results
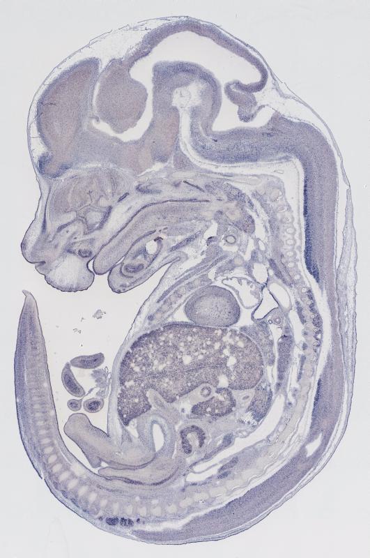
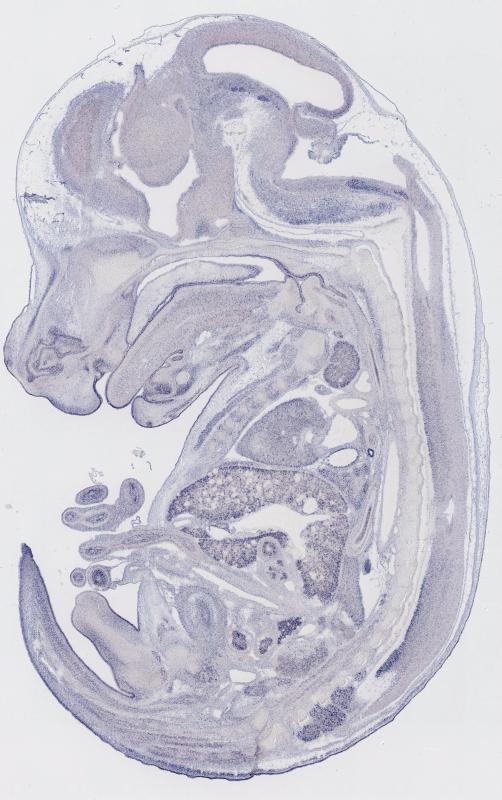
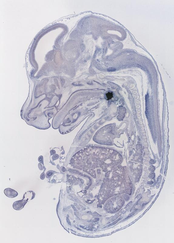
Specimen MH1548; Specimen C1527: embryonic day 14.5 (more )
Structure Level Pattern Image Note
TS22: nervous system Strong Regionally restricted Embryo_C1527_2_3A
TS22: central nervous system Strong Regionally restricted Embryo_C1527_2_3A
TS22: telencephalon Moderate Regionally restricted Embryo_C1527_2_4C
TS22: cerebral cortex Moderate Regionally restricted Embryo_C1527_2_4C
TS22: neocortex Weak Regionally restricted Embryo_C1527_2_3B
TS22: olfactory cortex Moderate Regionally restricted Embryo_C1527_2_4C
TS22: main olfactory bulb Moderate Regionally restricted Embryo_C1527_2_4C
TS22: piriform cortex Weak Regionally restricted Embryo_C1527_2_6C
TS22: hippocampus Weak Regionally restricted Embryo_C1527_2_2B
TS22: basal ganglia Weak Regionally restricted Embryo_C1527_2_2B
TS22: corpus striatum Weak Regionally restricted Embryo_C1527_2_2B Expression was weak in the corpus striatum (lateral ganglionic eminence).
TS22: basal forebrain Weak Regionally restricted Embryo_C1527_2_2D
TS22: amygdala Weak Regionally restricted Embryo_C1527_2_6B
TS22: telencephalon septum Weak Regionally restricted Embryo_C1527_2_3D
TS22: pallidum Weak Regionally restricted Embryo_C1527_2_3A Expression was weak in the pallidum (medial ganglionic eminence).
TS22: diencephalon Moderate Regionally restricted Embryo_C1527_2_4A
TS22: thalamus Weak Regionally restricted Embryo_C1527_2_4A
TS22: hypothalamus Moderate Regionally restricted Embryo_C1527_2_4A
TS22: midbrain Moderate Regionally restricted Embryo_C1527_2_3D
TS22: pretectum Moderate Regionally restricted Embryo_C1527_2_4A
TS22: superior colliculus Moderate Regionally restricted Embryo_C1527_2_4D
TS22: inferior colliculus Moderate Regionally restricted Embryo_C1527_2_3C
TS22: midbrain tegmentum Moderate Regionally restricted Embryo_C1527_2_4A
TS22: hindbrain Moderate Regionally restricted Embryo_C1527_2_3A
TS22: cerebellum Moderate Regionally restricted Embryo_C1527_2_4D
TS22: pons Moderate Regionally restricted Embryo_C1527_2_4A
TS22: medulla oblongata Moderate Regionally restricted Embryo_C1527_2_3A
TS22: spinal cord Strong Regionally restricted Embryo_C1527_2_3A
TS22: choroid plexus Moderate Regionally restricted Embryo_C1527_2_4A
TS22: meninges Weak Regionally restricted Embryo_C1527_2_2A
TS22: peripheral nervous system Strong Regionally restricted Embryo_C1527_2_2A
TS22: cranial ganglion Strong Regionally restricted Embryo_C1527_2_5B
TS22: dorsal root ganglion Strong Regionally restricted Embryo_C1527_2_2C
TS22: eye Weak Regionally restricted Embryo_C1527_2_6D
TS22: retina Weak Regionally restricted Embryo_C1527_2_1A
TS22: lens Weak Regionally restricted Embryo_C1527_2_6D
TS22: optic nerve Weak Regionally restricted Embryo_C1527_2_2A
TS22: nose Strong Regionally restricted Embryo_C1527_2_5B
TS22: olfactory epithelium Strong Regionally restricted Embryo_C1527_2_5B
TS22: ear Moderate Regionally restricted Embryo_C1527_2_2A
TS22: inner ear Moderate Regionally restricted Embryo_C1527_2_2A
TS22: cochlea Moderate Regionally restricted Embryo_C1527_2_5A
TS22: inner ear labyrinth Moderate Regionally restricted Embryo_C1527_2_2A
TS22: middle ear Moderate Regionally restricted Embryo_C1527_2_1A
TS22: alimentary system Strong Regionally restricted Embryo_C1527_2_2B Expression was strong in the digestive system.
TS22: intestine Strong Regionally restricted Embryo_C1527_2_3B
TS22: salivary gland Strong Regionally restricted Embryo_C1527_2_2B
TS22: tongue Strong Regionally restricted Embryo_C1527_2_3C
TS22: tooth Strong Regionally restricted Embryo_C1527_2_4A
TS22: palatal shelf Moderate Regionally restricted Embryo_C1527_2_4A
TS22: esophagus Moderate Regionally restricted Embryo_C1527_2_3C
TS22: stomach Moderate Regionally restricted Embryo_C1527_2_6A
TS22: liver Strong Regionally restricted Embryo_C1527_2_2B
TS22: respiratory system Strong Regionally restricted Embryo_C1527_2_3C
TS22: pharynx Strong Regionally restricted Embryo_C1527_2_3C
TS22: larynx Strong Regionally restricted Embryo_C1527_2_3C
TS22: trachea Weak Regionally restricted Embryo_C1527_2_3C
TS22: main bronchus Weak Regionally restricted Embryo_C1527_2_4A
TS22: lung Moderate Regionally restricted Embryo_C1527_2_5B
TS22: urinary system Strong Regionally restricted Embryo_C1527_2_3D Expression was strong in the genito-urinary system.
TS22: metanephros Moderate Regionally restricted Embryo_C1527_2_5B
TS22: ureter Absent
TS22: bladder Weak Regionally restricted Embryo_C1527_2_4A
TS22: urethra Moderate Regionally restricted Embryo_C1527_2_4B
TS22: reproductive system Strong Regionally restricted Embryo_C1527_2_3D
TS22: genital tubercle Strong Regionally restricted Embryo_C1527_2_3D
TS22: gonad Moderate Regionally restricted Embryo_C1527_2_2C
TS22: gland Moderate Regionally restricted Embryo_C1527_2_3A Expression was detected in the endocrine system.
TS22: thyroid gland Moderate Regionally restricted Embryo_C1527_2_4A
TS22: pituitary gland Weak Regionally restricted Embryo_C1527_2_3D
TS22: pancreas Moderate Regionally restricted Embryo_C1527_2_5A
TS22: adrenal gland Weak Regionally restricted Embryo_C1527_2_3A
TS22: cardiovascular system Strong Regionally restricted Embryo_C1527_2_4B
TS22: heart Moderate Regionally restricted Embryo_C1527_2_3C
TS22: heart atrium Moderate Regionally restricted Embryo_C1527_2_3C
TS22: heart ventricle Moderate Regionally restricted Embryo_C1527_2_4A
TS22: blood vessel Strong Regionally restricted Embryo_C1527_2_4B
TS22: hemolymphoid system Moderate Regionally restricted Embryo_C1527_2_3A Expression was detected in the immune system.
TS22: spleen primordium Weak Regionally restricted Embryo_C1527_2_6B
TS22: thymus primordium Moderate Regionally restricted Embryo_C1527_2_3A
TS22: appendicular skeleton Weak Regionally restricted Embryo_C1527_2_2C Expression was weak in the skeleton (limbs, shoulder, hip).
TS22: musculature Moderate Regionally restricted Embryo_C1527_2_6A
TS22: face Moderate Regionally restricted Embryo_C1527_2_3B Expression was detected in the face/soft tissues.
TS22: facial bone primordium Absent
TS22: cranium Absent Expression was not detected in the skull (base and vault).
TS22: axial skeleton Weak Regionally restricted Embryo_C1527_2_4D
TS22: tail Strong Regionally restricted Embryo_C1527_2_4B
TS22: forelimb Strong Regionally restricted Embryo_C1527_2_6C
TS22: hindlimb Strong Regionally restricted Embryo_C1527_2_6B
TS22: integumental system Strong Regionally restricted Embryo_C1527_2_2B
TS22: skin Strong Regionally restricted Embryo_C1527_2_2B
TS22: hair Strong Regionally restricted Embryo_C1527_2_1C
TS22: vibrissa follicle Strong Regionally restricted Embryo_C1527_2_1C Expression was strong in whisker follicle.


Contributing Projects:
Mouse Genome Database (MGD), Gene Expression Database (GXD), Mouse Models of Human Cancer database (MMHCdb) (formerly Mouse Tumor Biology (MTB)), Gene Ontology (GO)
Citing These Resources
Funding Information
Warranty Disclaimer, Privacy Notice, Licensing, & Copyright
Send questions and comments to User Support.
last database update
03/24/2026
MGI 6.24
The Jackson Laboratory