About   Help   FAQ
Gene Expression Data
Assay Details
Assay
Reference: J:122989 Visel A, et al., GenePaint.org: an atlas of gene expression patterns in the mouse embryo. Nucleic Acids Res. 2004 Jan 1;32(Database issue):D552-6
Assay type: RNA in situ
MGI Accession ID: MGI:5421558
Gene symbol: Pnpo
Gene name: pyridoxine 5'-phosphate oxidase
Probe: MH1502 probe 1214
Probe preparation: Antisense labelled with digoxigenin RNA
Visualized with: Alkaline phosphatase
Assay notes: Cryosections of fresh frozen material were fixed in 4% paraformaldehyde for 20 min. before further processing. A tyramide-biotin/streptavidin amplification step was included in the in situ hybridization procedure. These data were downloaded from GenePaint.org on 1/30/12.
Results
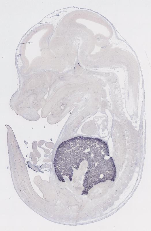
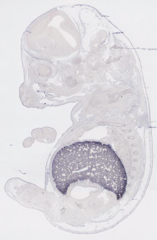
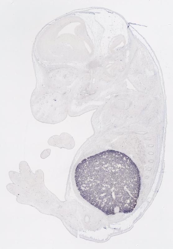
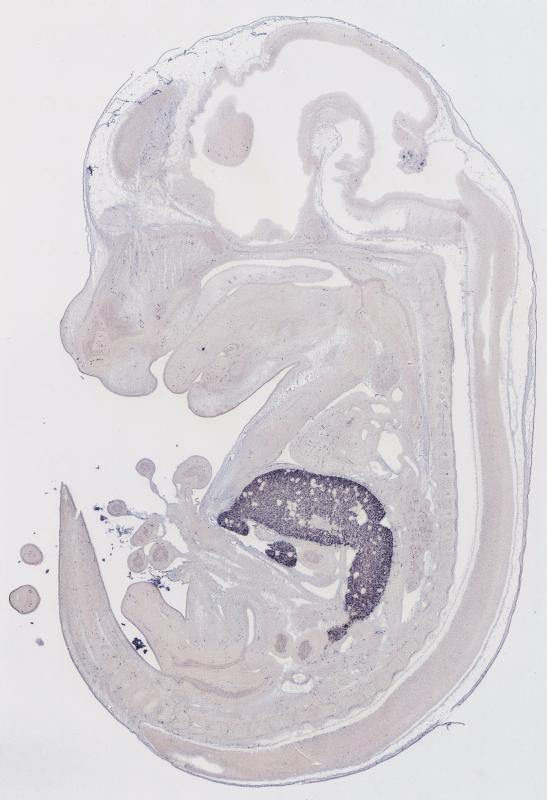
Specimen MH1502; Specimen C1524: embryonic day 14.5 (more )
Structure Level Pattern Image Note
TS22: nervous system Strong Regionally restricted Embryo_C1524_3_5A
TS22: central nervous system Strong Regionally restricted Embryo_C1524_3_5A
TS22: telencephalon Strong Scattered Embryo_C1524_3_5A
TS22: cerebral cortex Strong Scattered Embryo_C1524_3_5A
TS22: neocortex Strong Scattered Embryo_C1524_3_5A
TS22: olfactory cortex Moderate Scattered Embryo_C1524_3_3A
TS22: main olfactory bulb Moderate Scattered Embryo_C1524_3_3A
TS22: piriform cortex Moderate Scattered Embryo_C1524_3_1D
TS22: hippocampus Strong Scattered Embryo_C1524_3_6B
TS22: basal ganglia Strong Scattered Embryo_C1524_3_3B
TS22: corpus striatum Strong Scattered Embryo_C1524_3_2A Expression was strong in the corpus striatum (lateral ganglionic eminence).
TS22: basal forebrain Moderate Scattered Embryo_C1524_3_3A
TS22: amygdala Moderate Scattered Embryo_C1524_3_1C
TS22: telencephalon septum Strong Scattered Embryo_C1524_3_3B
TS22: pallidum Strong Scattered Embryo_C1524_3_3B Expression was strong in the pallidum (medial ganglionic eminence).
TS22: diencephalon Strong Scattered Embryo_C1524_3_2C
TS22: thalamus Strong Scattered Embryo_C1524_3_2C
TS22: hypothalamus Strong Scattered Embryo_C1524_3_4B
TS22: midbrain Strong Scattered Embryo_C1524_3_4A
TS22: pretectum Strong Scattered Embryo_C1524_3_4B
TS22: superior colliculus Strong Scattered Embryo_C1524_3_4A
TS22: inferior colliculus Strong Scattered Embryo_C1524_3_4A
TS22: midbrain tegmentum Strong Scattered Embryo_C1524_3_3B
TS22: hindbrain Strong Scattered Embryo_C1524_3_3A
TS22: cerebellum Strong Scattered Embryo_C1524_3_4A
TS22: pons Strong Scattered Embryo_C1524_3_3A
TS22: medulla oblongata Strong Scattered Embryo_C1524_3_5B
TS22: spinal cord Strong Scattered Embryo_C1524_3_3C
TS22: choroid plexus Strong Regionally restricted Embryo_C1524_3_4A
TS22: meninges Absent
TS22: peripheral nervous system Strong Scattered Embryo_C1524_3_2A
TS22: cranial ganglion Strong Scattered Embryo_C1524_3_2A
TS22: dorsal root ganglion Moderate Scattered Embryo_C1524_3_3A
TS22: eye Moderate Scattered Embryo_C1524_3_1B
TS22: retina Moderate Scattered Embryo_C1524_3_1B
TS22: lens Absent
TS22: optic nerve Absent
TS22: nose Absent
TS22: olfactory epithelium Absent
TS22: ear Strong Scattered Embryo_C1524_3_5A
TS22: inner ear Strong Scattered Embryo_C1524_3_5A
TS22: cochlea Strong Scattered Embryo_C1524_3_5A
TS22: inner ear labyrinth Strong Scattered Embryo_C1524_3_2A
TS22: middle ear Absent
TS22: alimentary system Strong Regionally restricted Embryo_C1524_3_4B Expression was strong in the digestive system.
TS22: intestine Strong Scattered Embryo_C1524_3_4A
TS22: salivary gland Moderate Scattered Embryo_C1524_3_5A
TS22: tongue Strong Scattered Embryo_C1524_3_4B
TS22: tooth Strong Scattered Embryo_C1524_3_4B
TS22: palatal shelf Moderate Scattered Embryo_C1524_3_3B
TS22: esophagus Strong Scattered Embryo_C1524_3_4B
TS22: stomach Moderate Scattered Embryo_C1524_3_6A
TS22: liver Strong Regionally restricted Embryo_C1524_3_6A
TS22: respiratory system Strong Regionally restricted Embryo_C1524_3_5A
TS22: pharynx Absent
TS22: larynx Weak Regionally restricted Embryo_C1524_3_4A
TS22: trachea Weak Scattered Embryo_C1524_3_3D
TS22: main bronchus Weak Scattered Embryo_C1524_3_5A
TS22: lung Strong Scattered Embryo_C1524_3_5A
TS22: urinary system Strong Regionally restricted Embryo_C1524_3_4B Expression was strong in the genito-urinary system.
TS22: metanephros Moderate Scattered Embryo_C1524_3_3A
TS22: ureter Absent
TS22: bladder Moderate Scattered Embryo_C1524_3_4A
TS22: urethra Absent
TS22: reproductive system Strong Scattered Embryo_C1524_3_4B
TS22: genital tubercle Strong Scattered Embryo_C1524_3_4B
TS22: gonad Moderate Scattered Embryo_C1524_3_6B
TS22: gland Strong Regionally restricted Embryo_C1524_3_3C Expression was strong in the endocrine system.
TS22: thyroid gland Strong Scattered Embryo_C1524_3_4C
TS22: pituitary gland Strong Regionally restricted Embryo_C1524_3_3C
TS22: pancreas Moderate Scattered Embryo_C1524_3_5C
TS22: adrenal gland Moderate Scattered Embryo_C1524_3_3A
TS22: cardiovascular system Moderate Scattered Embryo_C1524_3_4A
TS22: heart Moderate Scattered Embryo_C1524_3_4A
TS22: heart atrium Moderate Scattered Embryo_C1524_3_3A
TS22: heart ventricle Moderate Scattered Embryo_C1524_3_4A
TS22: blood vessel Moderate Scattered Embryo_C1524_3_4C
TS22: hemolymphoid system Strong Scattered Embryo_C1524_3_6A Expression was strong in the immune system.
TS22: spleen primordium Strong Scattered Embryo_C1524_3_6A
TS22: thymus primordium Moderate Scattered Embryo_C1524_3_4A
TS22: appendicular skeleton Absent Expression was not detected in the skeleton (limbs, shoulder, hip).
TS22: musculature Moderate Scattered Embryo_C1524_3_6B
TS22: face Moderate Scattered Embryo_C1524_3_4B Expression was detected in the face/soft tissues.
TS22: facial bone primordium Absent
TS22: cranium Absent Expression was not detected in the skull (base and vault).
TS22: axial skeleton Absent
TS22: tail Strong Scattered Embryo_C1524_3_3B
TS22: forelimb Moderate Scattered Embryo_C1524_3_1B
TS22: hindlimb Moderate Scattered Embryo_C1524_3_1B
TS22: integumental system Absent
TS22: skin Absent
TS22: hair Absent
TS22: vibrissa follicle Absent Expression was not detected in whisker follicle.


Contributing Projects:
Mouse Genome Database (MGD), Gene Expression Database (GXD), Mouse Models of Human Cancer database (MMHCdb) (formerly Mouse Tumor Biology (MTB)), Gene Ontology (GO)
Citing These Resources
Funding Information
Warranty Disclaimer, Privacy Notice, Licensing, & Copyright
Send questions and comments to User Support.
last database update
01/28/2026
MGI 6.24
The Jackson Laboratory