About   Help   FAQ
Gene Expression Data
Assay Details
Assay
Reference: J:122989 Visel A, et al., GenePaint.org: an atlas of gene expression patterns in the mouse embryo. Nucleic Acids Res. 2004 Jan 1;32(Database issue):D552-6
Assay type: RNA in situ
MGI Accession ID: MGI:5421501
Gene symbol: Sdhc
Gene name: succinate dehydrogenase complex, subunit C, integral membrane protein
Probe: MH1427 probe 1144
Probe preparation: Antisense labelled with digoxigenin RNA
Visualized with: Alkaline phosphatase
Assay notes: Cryosections of fresh frozen material were fixed in 4% paraformaldehyde for 20 min. before further processing. A tyramide-biotin/streptavidin amplification step was included in the in situ hybridization procedure. These data were downloaded from GenePaint.org on 1/30/12.
Results
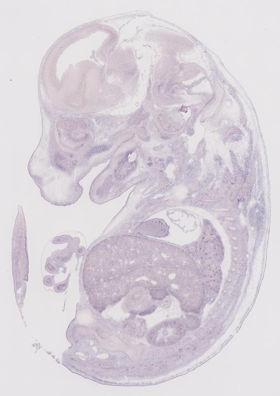
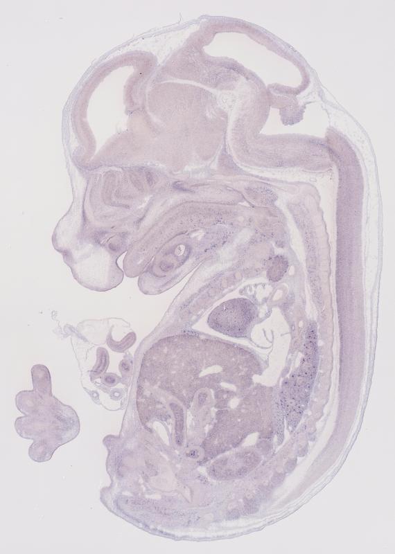
Specimen MH1427; Specimen C1565: embryonic day 14.5 (more )
Structure Level Pattern Image Note
TS22: nervous system Moderate Regionally restricted Embryo_C1565_2_4A
TS22: central nervous system Moderate Regionally restricted Embryo_C1565_2_4A
TS22: telencephalon Weak Regionally restricted Embryo_C1565_2_5A
TS22: cerebral cortex Weak Regionally restricted Embryo_C1565_2_5A
TS22: neocortex Weak Regionally restricted Embryo_C1565_2_5A
TS22: olfactory cortex Weak Regionally restricted Embryo_C1565_2_5A
TS22: main olfactory bulb Weak Regionally restricted Embryo_C1565_2_5A
TS22: piriform cortex Weak Regionally restricted Embryo_C1565_2_2A
TS22: hippocampus Weak Regionally restricted Embryo_C1565_2_5A
TS22: basal ganglia Weak Regionally restricted Embryo_C1565_2_2A
TS22: corpus striatum Weak Regionally restricted Embryo_C1565_2_2A Expression was weak in the corpus striatum (lateral ganglionic eminence).
TS22: basal forebrain Absent
TS22: amygdala Absent
TS22: telencephalon septum Weak Regionally restricted Embryo_C1565_2_4B
TS22: pallidum Weak Regionally restricted Embryo_C1565_2_3B Expression was weak in the pallidum (medial ganglionic eminence).
TS22: diencephalon Weak Regionally restricted Embryo_C1565_2_4A
TS22: thalamus Weak Regionally restricted Embryo_C1565_2_4B
TS22: hypothalamus Weak Regionally restricted Embryo_C1565_2_4A
TS22: midbrain Moderate Regionally restricted Embryo_C1565_2_3D
TS22: pretectum Moderate Regionally restricted Embryo_C1565_2_3D
TS22: superior colliculus Weak Regionally restricted Embryo_C1565_2_3D
TS22: inferior colliculus Weak Regionally restricted Embryo_C1565_2_4A
TS22: midbrain tegmentum Weak Regionally restricted Embryo_C1565_2_4B
TS22: hindbrain Moderate Regionally restricted Embryo_C1565_2_4A
TS22: cerebellum Absent
TS22: pons Moderate Regionally restricted Embryo_C1565_2_2D
TS22: medulla oblongata Moderate Regionally restricted Embryo_C1565_2_4A
TS22: spinal cord Moderate Regionally restricted Embryo_C1565_2_3B
TS22: choroid plexus Weak Regionally restricted Embryo_C1565_2_3C
TS22: meninges Absent
TS22: peripheral nervous system Weak Regionally restricted Embryo_C1565_2_2D
TS22: cranial ganglion Weak Regionally restricted Embryo_C1565_2_2A
TS22: dorsal root ganglion Weak Regionally restricted Embryo_C1565_2_2D
TS22: eye Moderate Regionally restricted Embryo_C1565_2_1A
TS22: retina Moderate Regionally restricted Embryo_C1565_2_1A
TS22: lens Absent
TS22: cornea Weak Regionally restricted Embryo_C1565_2_1A
TS22: optic nerve Absent
TS22: nose Weak Regionally restricted Embryo_C1565_2_5A
TS22: olfactory epithelium Weak Regionally restricted Embryo_C1565_2_5A
TS22: ear Weak Regionally restricted Embryo_C1565_2_5C
TS22: inner ear Weak Regionally restricted Embryo_C1565_2_5C
TS22: cochlea Weak Regionally restricted Embryo_C1565_2_5C
TS22: inner ear labyrinth Weak Regionally restricted Embryo_C1565_2_1B
TS22: middle ear Weak Regionally restricted Embryo_C1565_2_1A
TS22: alimentary system Moderate Regionally restricted Embryo_C1565_2_2C Expression was detected in the digestive system.
TS22: intestine Moderate Regionally restricted Embryo_C1565_2_4C
TS22: salivary gland Moderate Regionally restricted Embryo_C1565_2_2C
TS22: tongue Moderate Regionally restricted Embryo_C1565_2_4A
TS22: tooth Weak Regionally restricted Embryo_C1565_2_3C
TS22: palatal shelf Weak Regionally restricted Embryo_C1565_2_3C
TS22: esophagus Weak Regionally restricted Embryo_C1565_2_4B
TS22: stomach Weak Regionally restricted Embryo_C1565_2_6C
TS22: liver Weak Regionally restricted Embryo_C1565_2_3A
TS22: respiratory system Moderate Regionally restricted Embryo_C1565_2_3B
TS22: pharynx Weak Regionally restricted Embryo_C1565_2_3D
TS22: larynx Weak Regionally restricted Embryo_C1565_2_3D
TS22: trachea Absent
TS22: main bronchus Weak Regionally restricted Embryo_C1565_2_4C
TS22: lung Moderate Regionally restricted Embryo_C1565_2_3B
TS22: urinary system Weak Regionally restricted Embryo_C1565_2_4C Expression was weak in the genito-urinary system.
TS22: metanephros Weak Regionally restricted Embryo_C1565_2_6A
TS22: ureter Absent
TS22: bladder Weak Regionally restricted Embryo_C1565_2_4C
TS22: urethra Weak Regionally restricted Embryo_C1565_2_4C
TS22: reproductive system Weak Regionally restricted Embryo_C1565_2_4C
TS22: genital tubercle Weak Regionally restricted Embryo_C1565_2_4C
TS22: gonad Weak Regionally restricted Embryo_C1565_2_2B
TS22: gland Weak Regionally restricted Embryo_C1565_2_5D Expression was weak in the endocrine system.
TS22: thyroid gland Weak Regionally restricted Embryo_C1565_2_4B
TS22: pituitary gland Weak Regionally restricted Embryo_C1565_2_4B
TS22: pancreas Weak Regionally restricted Embryo_C1565_2_5D
TS22: adrenal gland Weak Regionally restricted Embryo_C1565_2_3A
TS22: cardiovascular system Moderate Regionally restricted Embryo_C1565_2_3B
TS22: heart Moderate Regionally restricted Embryo_C1565_2_3B
TS22: heart atrium Weak Regionally restricted Embryo_C1565_2_4B
TS22: heart ventricle Moderate Regionally restricted Embryo_C1565_2_3B
TS22: blood vessel Absent
TS22: hemolymphoid system Weak Regionally restricted Embryo_C1565_2_3D Expression was weak in the immune system.
TS22: spleen primordium Absent
TS22: thymus primordium Weak Regionally restricted Embryo_C1565_2_3D
TS22: appendicular skeleton Weak Regionally restricted Embryo_C1565_2_2D Expression was weak in the skeleton (limbs, shoulder, hip).
TS22: musculature Moderate Regionally restricted Embryo_C1565_2_1A
TS22: face Weak Regionally restricted Embryo_C1565_2_3A Expression was weak in the face/soft tissues.
TS22: facial bone primordium Absent
TS22: cranium Absent Expression was not detected in the skull (base and vault).
TS22: axial skeleton Weak Regionally restricted Embryo_C1565_2_3D
TS22: tail Weak Regionally restricted Embryo_C1565_2_5A
TS22: forelimb Weak Regionally restricted Embryo_C1565_2_1B
TS22: hindlimb Weak Regionally restricted Embryo_C1565_2_1A
TS22: integumental system Weak Regionally restricted Embryo_C1565_2_4B
TS22: skin Weak Regionally restricted Embryo_C1565_2_4B
TS22: hair Weak Regionally restricted Embryo_C1565_2_6C
TS22: vibrissa follicle Weak Regionally restricted Embryo_C1565_2_6C Expression was weak in whisker follicle.


Contributing Projects:
Mouse Genome Database (MGD), Gene Expression Database (GXD), Mouse Models of Human Cancer database (MMHCdb) (formerly Mouse Tumor Biology (MTB)), Gene Ontology (GO)
Citing These Resources
Funding Information
Warranty Disclaimer, Privacy Notice, Licensing, & Copyright
Send questions and comments to User Support.
last database update
03/24/2026
MGI 6.24
The Jackson Laboratory