About   Help   FAQ
Gene Expression Data
Assay Details
Assay
Reference: J:122989 Visel A, et al., GenePaint.org: an atlas of gene expression patterns in the mouse embryo. Nucleic Acids Res. 2004 Jan 1;32(Database issue):D552-6
Assay type: RNA in situ
MGI Accession ID: MGI:5421497
Gene symbol: Mapk8ip2
Gene name: mitogen-activated protein kinase 8 interacting protein 2
Probe: MH1415 probe 1135
Probe preparation: Antisense labelled with digoxigenin RNA
Visualized with: Alkaline phosphatase
Assay notes: Cryosections of fresh frozen material were fixed in 4% paraformaldehyde for 20 min. before further processing. A tyramide-biotin/streptavidin amplification step was included in the in situ hybridization procedure. These data were downloaded from GenePaint.org on 1/30/12.
Results
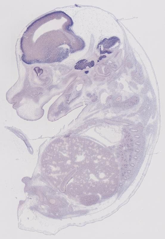
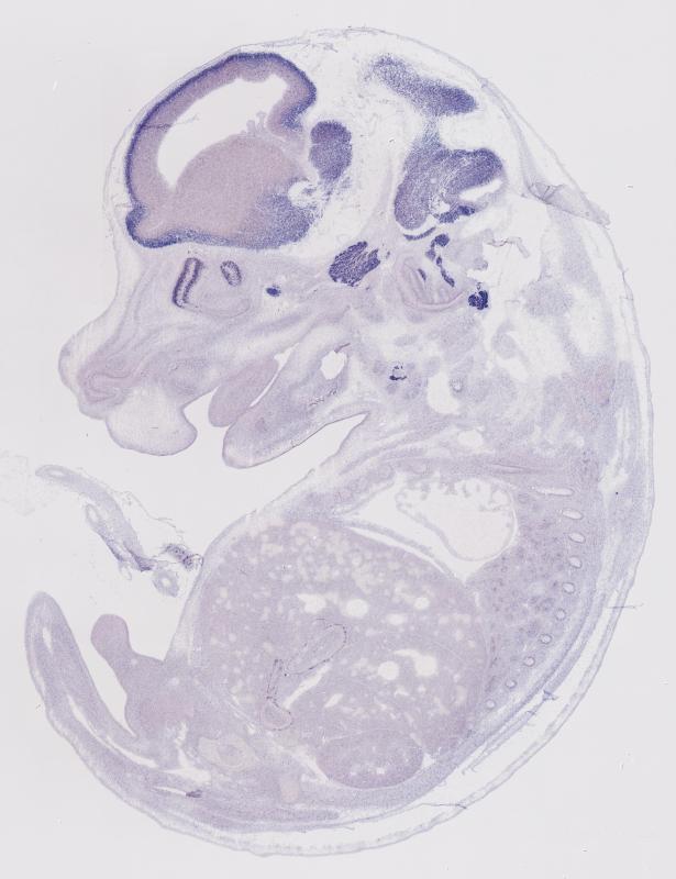
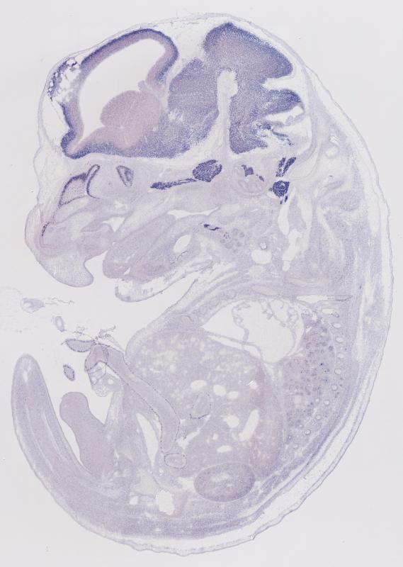
Specimen MH1415; Specimen C1559: embryonic day 14.5 (more )
Structure Level Pattern Image Note
TS22: nervous system Strong Regionally restricted Embryo_C1559_5_4A
TS22: central nervous system Strong Regionally restricted Embryo_C1559_5_4A
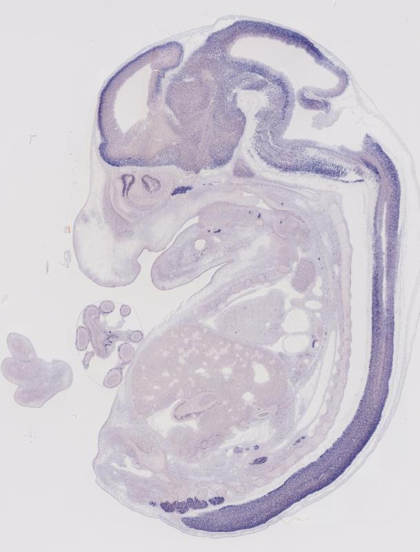
TS22: telencephalon Moderate Regionally restricted Embryo_C1559_5_2C
TS22: cerebral cortex Moderate Regionally restricted Embryo_C1559_5_2C
TS22: neocortex Moderate Regionally restricted Embryo_C1559_5_2C
TS22: olfactory cortex Moderate Regionally restricted Embryo_C1559_5_2C
TS22: main olfactory bulb Moderate Regionally restricted Embryo_C1559_5_2C
TS22: piriform cortex Moderate Regionally restricted Embryo_C1559_5_6B
TS22: hippocampus Moderate Regionally restricted Embryo_C1559_5_2C
TS22: basal ganglia Moderate Regionally restricted Embryo_C1559_5_4A
TS22: corpus striatum Weak Regionally restricted Embryo_C1559_5_6A Expression was weak in the corpus striatum (lateral ganglionic eminence).
TS22: basal forebrain Weak Regionally restricted Embryo_C1559_5_2B
TS22: amygdala Weak Regionally restricted Embryo_C1559_5_2A
TS22: telencephalon septum Moderate Regionally restricted Embryo_C1559_5_4A
TS22: pallidum Absent Expression was not detected in the pallidum (medial ganglionic eminence).
TS22: diencephalon Strong Regionally restricted Embryo_C1559_5_4A
TS22: thalamus Weak Regionally restricted Embryo_C1559_5_4A
TS22: hypothalamus Strong Regionally restricted Embryo_C1559_5_4A
TS22: midbrain Strong Regionally restricted Embryo_C1559_5_4A
TS22: pretectum Strong Regionally restricted Embryo_C1559_5_4A
TS22: superior colliculus Moderate Regionally restricted Embryo_C1559_5_4A
TS22: inferior colliculus Moderate Regionally restricted Embryo_C1559_5_4A
TS22: midbrain tegmentum Moderate Regionally restricted Embryo_C1559_5_4A
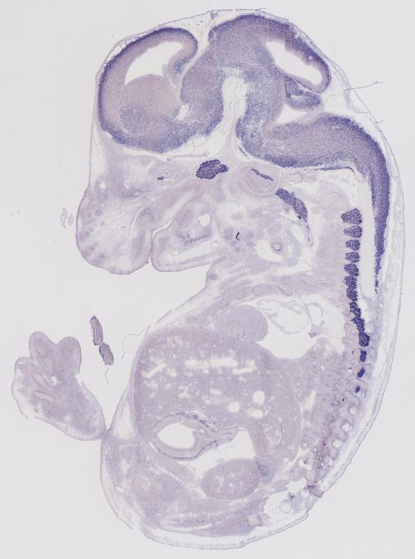
TS22: hindbrain Strong Regionally restricted Embryo_C1559_5_3B
TS22: cerebellum Moderate Regionally restricted Embryo_C1559_5_4B
TS22: pons Moderate Regionally restricted Embryo_C1559_5_3A
TS22: medulla oblongata Strong Regionally restricted Embryo_C1559_5_3B
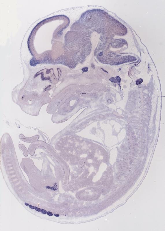
TS22: spinal cord Strong Regionally restricted Embryo_C1559_5_3D
TS22: choroid plexus Absent
TS22: meninges Absent
TS22: peripheral nervous system Strong Regionally restricted Embryo_C1559_5_3A
TS22: cranial ganglion Strong Regionally restricted Embryo_C1559_5_3A
TS22: dorsal root ganglion Strong Regionally restricted Embryo_C1559_5_3C
TS22: eye Moderate Regionally restricted Embryo_C1559_5_1A
TS22: retina Moderate Regionally restricted Embryo_C1559_5_1A
TS22: lens Absent
TS22: optic nerve Absent
TS22: nose Moderate Regionally restricted Embryo_C1559_5_4B
TS22: olfactory epithelium Moderate Regionally restricted Embryo_C1559_5_4B
TS22: ear Moderate Regionally restricted Embryo_C1559_5_5B
TS22: inner ear Moderate Regionally restricted Embryo_C1559_5_5B
TS22: cochlea Moderate Regionally restricted Embryo_C1559_5_5B
TS22: inner ear labyrinth Weak Regionally restricted Embryo_C1559_5_6B
TS22: middle ear Weak Regionally restricted Embryo_C1559_5_6D
TS22: alimentary system Moderate Regionally restricted Embryo_C1559_5_5A Expression was detected in the digestive system.
TS22: intestine Moderate Scattered Embryo_C1559_5_3A
TS22: salivary gland Weak Regionally restricted Embryo_C1559_5_2B
TS22: tongue Moderate Regionally restricted Embryo_C1559_5_3A
TS22: tooth Absent
TS22: palatal shelf Absent
TS22: esophagus Moderate Scattered Embryo_C1559_5_4B
TS22: stomach Moderate Regionally restricted Embryo_C1559_5_5A
TS22: liver Absent
TS22: respiratory system Weak Regionally restricted Embryo_C1559_5_3D
TS22: pharynx Absent
TS22: larynx Absent
TS22: trachea Weak Scattered Embryo_C1559_5_4B
TS22: main bronchus Weak Scattered Embryo_C1559_5_4C
TS22: lung Weak Regionally restricted Embryo_C1559_5_3D
TS22: urinary system Weak Regionally restricted Embryo_C1559_5_3B Expression was weak in the genito-urinary system.
TS22: metanephros Weak Regionally restricted Embryo_C1559_5_5B
TS22: ureter Absent
TS22: bladder Absent
TS22: urethra Absent
TS22: reproductive system Weak Regionally restricted Embryo_C1559_5_3B
TS22: genital tubercle Weak Regionally restricted Embryo_C1559_5_3B
TS22: gonad Absent
TS22: gland Moderate Regionally restricted Embryo_C1559_5_4A Expression was detected in the endocrine system.
TS22: thyroid gland Weak Regionally restricted Embryo_C1559_5_3D
TS22: pituitary gland Moderate Regionally restricted Embryo_C1559_5_4A
TS22: pancreas Absent
TS22: adrenal gland Weak Regionally restricted Embryo_C1559_5_5B
TS22: cardiovascular system Absent
TS22: heart Absent
TS22: heart atrium Absent
TS22: heart ventricle Absent
TS22: blood vessel Absent
TS22: hemolymphoid system Weak Regionally restricted Embryo_C1559_5_3D Expression was weak in the immune system.
TS22: spleen primordium Absent
TS22: thymus primordium Weak Regionally restricted Embryo_C1559_5_3D
TS22: appendicular skeleton Weak Regionally restricted Embryo_C1559_5_3A Expression was weak in the skeleton (limbs, shoulder, hip).
TS22: musculature Weak Regionally restricted Embryo_C1559_5_2D
TS22: face Absent Expression was not detected in the face/soft tissues.
TS22: facial bone primordium Absent
TS22: cranium Weak Regionally restricted Embryo_C1559_5_4A Expression was weak in the skull (base and vault).
TS22: axial skeleton Weak Regionally restricted Embryo_C1559_5_6B
TS22: tail Weak Regionally restricted Embryo_C1559_5_3B
TS22: forelimb Weak Regionally restricted Embryo_C1559_5_1A
TS22: hindlimb Weak Regionally restricted Embryo_C1559_5_1A
TS22: integumental system Weak Regionally restricted Embryo_C1559_5_5A
TS22: skin Weak Regionally restricted Embryo_C1559_5_1A
TS22: hair Weak Regionally restricted Embryo_C1559_5_5A
TS22: vibrissa follicle Weak Regionally restricted Embryo_C1559_5_5A Expression was weak in whisker follicle.


Contributing Projects:
Mouse Genome Database (MGD), Gene Expression Database (GXD), Mouse Models of Human Cancer database (MMHCdb) (formerly Mouse Tumor Biology (MTB)), Gene Ontology (GO)
Citing These Resources
Funding Information
Warranty Disclaimer, Privacy Notice, Licensing, & Copyright
Send questions and comments to User Support.
last database update
12/30/2025
MGI 6.24
The Jackson Laboratory