About   Help   FAQ
Gene Expression Data
Assay Details
Assay
Reference: J:122989 Visel A, et al., GenePaint.org: an atlas of gene expression patterns in the mouse embryo. Nucleic Acids Res. 2004 Jan 1;32(Database issue):D552-6
Assay type: RNA in situ
MGI Accession ID: MGI:5421491
Gene symbol: Aco2
Gene name: aconitase 2, mitochondrial
Probe: MH1404 probe 1126
Probe preparation: Antisense labelled with digoxigenin RNA
Visualized with: Alkaline phosphatase
Assay notes: Cryosections of fresh frozen material were fixed in 4% paraformaldehyde for 20 min. before further processing. A tyramide-biotin/streptavidin amplification step was included in the in situ hybridization procedure. These data were downloaded from GenePaint.org on 1/30/12.
Results
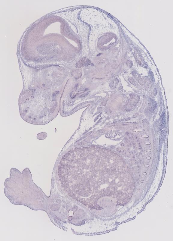
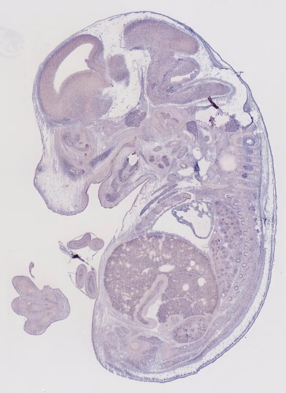
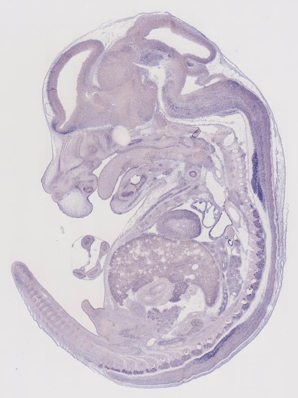
Specimen MH1404; Specimen C1566: embryonic day 14.5 (more )
Structure Level Pattern Image Note
TS22: nervous system Strong Regionally restricted Embryo_C1566_1_4B
TS22: central nervous system Strong Regionally restricted Embryo_C1566_1_4B
TS22: telencephalon Moderate Regionally restricted Embryo_C1566_1_6A
TS22: cerebral cortex Moderate Regionally restricted Embryo_C1566_1_6A
TS22: neocortex Moderate Regionally restricted Embryo_C1566_1_6A
TS22: olfactory cortex Moderate Regionally restricted Embryo_C1566_1_4C
TS22: main olfactory bulb Moderate Regionally restricted Embryo_C1566_1_4C
TS22: piriform cortex Weak Regionally restricted Embryo_C1566_1_1C
TS22: hippocampus Weak Regionally restricted Embryo_C1566_1_6A
TS22: basal ganglia Moderate Regionally restricted Embryo_C1566_1_6A
TS22: corpus striatum Moderate Regionally restricted Embryo_C1566_1_6A Expression was detected in the corpus striatum (lateral ganglionic eminence).
TS22: basal forebrain Weak Regionally restricted Embryo_C1566_1_2D
TS22: amygdala Weak Regionally restricted Embryo_C1566_1_1D
TS22: telencephalon septum Weak Regionally restricted Embryo_C1566_1_4A
TS22: pallidum Weak Regionally restricted Embryo_C1566_1_3A Expression was weak in the pallidum (medial ganglionic eminence).
TS22: diencephalon Weak Regionally restricted Embryo_C1566_1_4A
TS22: thalamus Weak Regionally restricted Embryo_C1566_1_4A
TS22: hypothalamus Weak Regionally restricted Embryo_C1566_1_4A
TS22: midbrain Moderate Regionally restricted Embryo_C1566_1_4B
TS22: pretectum Weak Regionally restricted Embryo_C1566_1_4A
TS22: superior colliculus Weak Regionally restricted Embryo_C1566_1_3D
TS22: inferior colliculus Weak Regionally restricted Embryo_C1566_1_4A
TS22: midbrain tegmentum Moderate Regionally restricted Embryo_C1566_1_4B
TS22: hindbrain Moderate Regionally restricted Embryo_C1566_1_5A
TS22: cerebellum Weak Regionally restricted Embryo_C1566_1_2C
TS22: pons Moderate Regionally restricted Embryo_C1566_1_4C
TS22: medulla oblongata Moderate Regionally restricted Embryo_C1566_1_5A
TS22: spinal cord Strong Regionally restricted Embryo_C1566_1_4B
TS22: choroid plexus Weak Regionally restricted Embryo_C1566_1_3C
TS22: meninges Weak Regionally restricted Embryo_C1566_1_2A
TS22: peripheral nervous system Moderate Regionally restricted Embryo_C1566_1_3A
TS22: cranial ganglion Moderate Regionally restricted Embryo_C1566_1_2C
TS22: dorsal root ganglion Moderate Regionally restricted Embryo_C1566_1_3A
TS22: eye Weak Regionally restricted Embryo_C1566_1_6C
TS22: retina Weak Regionally restricted Embryo_C1566_1_6C
TS22: lens Absent
TS22: optic nerve Absent
TS22: nose Weak Regionally restricted Embryo_C1566_1_4B
TS22: olfactory epithelium Weak Regionally restricted Embryo_C1566_1_4B
TS22: ear Weak Regionally restricted Embryo_C1566_1_2D
TS22: inner ear Weak Regionally restricted Embryo_C1566_1_2D
TS22: cochlea Weak Regionally restricted Embryo_C1566_1_2D
TS22: inner ear labyrinth Weak Regionally restricted Embryo_C1566_1_1D
TS22: middle ear Weak Regionally restricted Embryo_C1566_1_1A
TS22: alimentary system Moderate Regionally restricted Embryo_C1566_1_3A Expression was detected in the digestive system.
TS22: intestine Moderate Regionally restricted Embryo_C1566_1_3A
TS22: salivary gland Moderate Regionally restricted Embryo_C1566_1_2C
TS22: tongue Weak Regionally restricted Embryo_C1566_1_4A
TS22: tooth Moderate Regionally restricted Embryo_C1566_1_4C
TS22: palatal shelf Weak Regionally restricted Embryo_C1566_1_3A
TS22: esophagus Absent
TS22: stomach Weak Regionally restricted Embryo_C1566_1_5C
TS22: liver Moderate Regionally restricted Embryo_C1566_1_6A
TS22: respiratory system Weak Regionally restricted Embryo_C1566_1_2C
TS22: pharynx Weak Regionally restricted Embryo_C1566_1_3C
TS22: larynx Weak Regionally restricted Embryo_C1566_1_4A
TS22: trachea Absent
TS22: main bronchus Absent
TS22: lung Weak Regionally restricted Embryo_C1566_1_2C
TS22: urinary system Moderate Regionally restricted Embryo_C1566_1_3A Expression was detected in the genito-urinary system.
TS22: metanephros Weak Regionally restricted Embryo_C1566_1_2D
TS22: ureter Absent
TS22: bladder Weak Regionally restricted Embryo_C1566_1_4A
TS22: urethra Weak Regionally restricted Embryo_C1566_1_4A
TS22: reproductive system Moderate Regionally restricted Embryo_C1566_1_3A
TS22: genital tubercle Moderate Regionally restricted Embryo_C1566_1_3A
TS22: gonad Weak Regionally restricted Embryo_C1566_1_5C
TS22: gland Weak Regionally restricted Embryo_C1566_1_4C Expression was weak in the endocrine system.
TS22: thyroid gland Weak Regionally restricted Embryo_C1566_1_3B
TS22: pituitary gland Weak Regionally restricted Embryo_C1566_1_4A
TS22: pancreas Weak Regionally restricted Embryo_C1566_1_4C
TS22: adrenal gland Absent
TS22: cardiovascular system Moderate Regionally restricted Embryo_C1566_1_4C
TS22: heart Moderate Regionally restricted Embryo_C1566_1_2A
TS22: heart atrium Moderate Regionally restricted Embryo_C1566_1_2A
TS22: heart ventricle Moderate Regionally restricted Embryo_C1566_1_3A
TS22: blood vessel Moderate Regionally restricted Embryo_C1566_1_4C
TS22: hemolymphoid system Weak Regionally restricted Embryo_C1566_1_3B Expression was weak in the immune system.
TS22: spleen primordium Absent
TS22: thymus primordium Weak Regionally restricted Embryo_C1566_1_3B
TS22: appendicular skeleton Moderate Regionally restricted Embryo_C1566_1_4C Expression was detected in the skeleton (limbs, shoulder, hip).
TS22: musculature Weak Regionally restricted Embryo_C1566_1_6A
TS22: face Weak Regionally restricted Embryo_C1566_1_2A Expression was weak in the face/soft tissues.
TS22: facial bone primordium Absent
TS22: cranium Absent Expression was not detected in the skull (base and vault).
TS22: axial skeleton Moderate Regionally restricted Embryo_C1566_1_5A
TS22: tail Moderate Regionally restricted Embryo_C1566_1_5A
TS22: forelimb Weak Regionally restricted Embryo_C1566_1_6A
TS22: hindlimb Moderate Regionally restricted Embryo_C1566_1_6C
TS22: integumental system Moderate Regionally restricted Embryo_C1566_1_6A
TS22: skin Moderate Regionally restricted Embryo_C1566_1_3A
TS22: hair Moderate Regionally restricted Embryo_C1566_1_6A
TS22: vibrissa follicle Moderate Regionally restricted Embryo_C1566_1_6A Expression was detected in whisker follicle.


Contributing Projects:
Mouse Genome Database (MGD), Gene Expression Database (GXD), Mouse Models of Human Cancer database (MMHCdb) (formerly Mouse Tumor Biology (MTB)), Gene Ontology (GO)
Citing These Resources
Funding Information
Warranty Disclaimer, Privacy Notice, Licensing, & Copyright
Send questions and comments to User Support.
last database update
12/30/2025
MGI 6.24
The Jackson Laboratory