About   Help   FAQ
Gene Expression Data
Assay Details
Assay
Reference: J:122989 Visel A, et al., GenePaint.org: an atlas of gene expression patterns in the mouse embryo. Nucleic Acids Res. 2004 Jan 1;32(Database issue):D552-6
Assay type: RNA in situ
MGI Accession ID: MGI:5421489
Gene symbol: Ebf1
Gene name: early B cell factor 1
Probe: MH1369 probe 724
Probe preparation: Antisense labelled with digoxigenin RNA
Visualized with: Alkaline phosphatase
Assay notes: Cryosections of fresh frozen material were fixed in 4% paraformaldehyde for 20 min. before further processing. A tyramide-biotin/streptavidin amplification step was included in the in situ hybridization procedure. These data were downloaded from GenePaint.org on 1/30/12.
Results
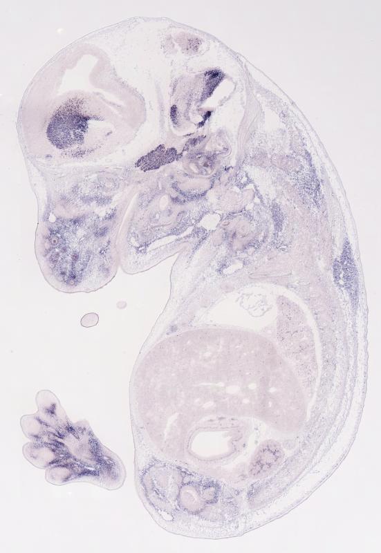
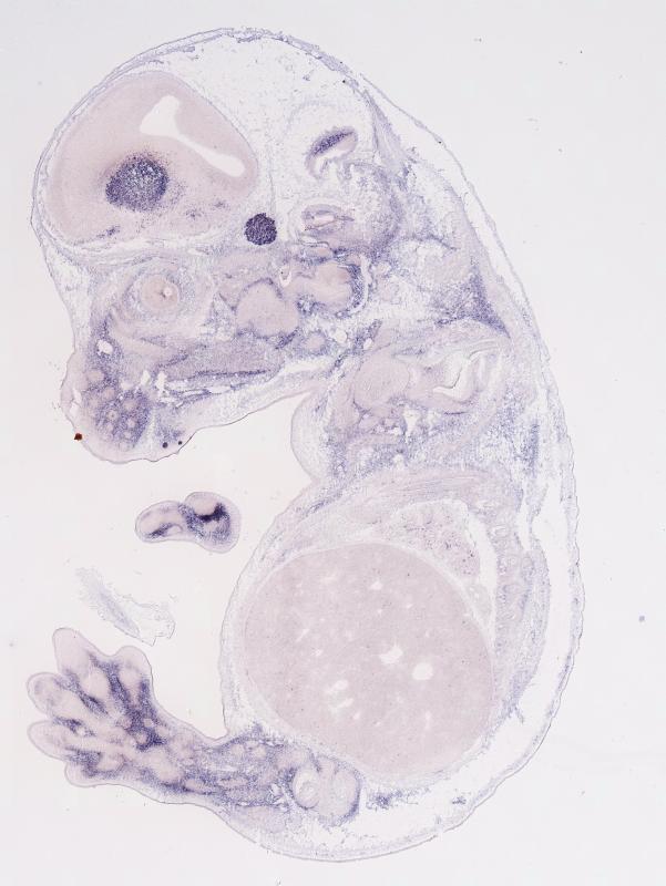
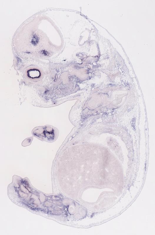
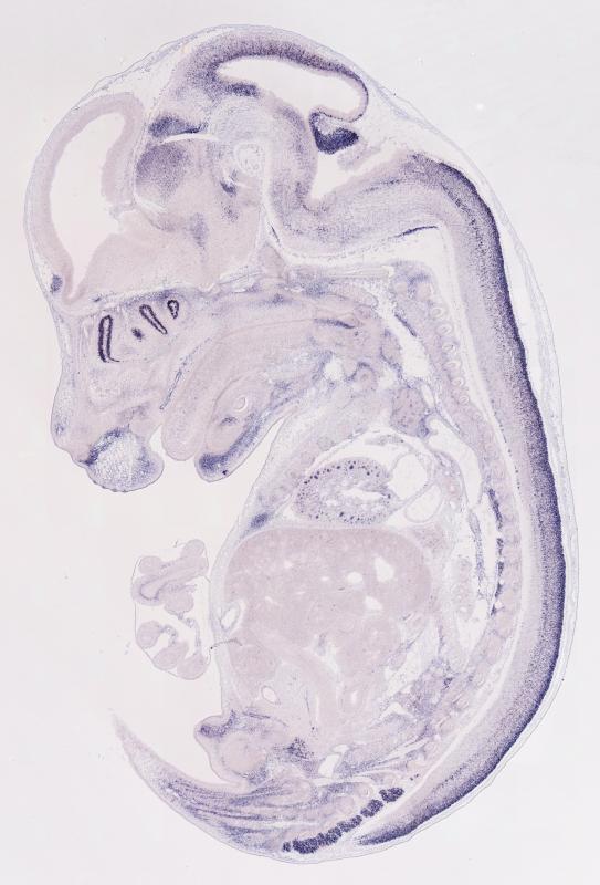
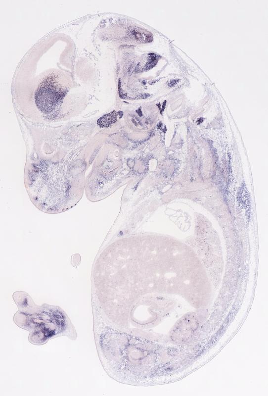
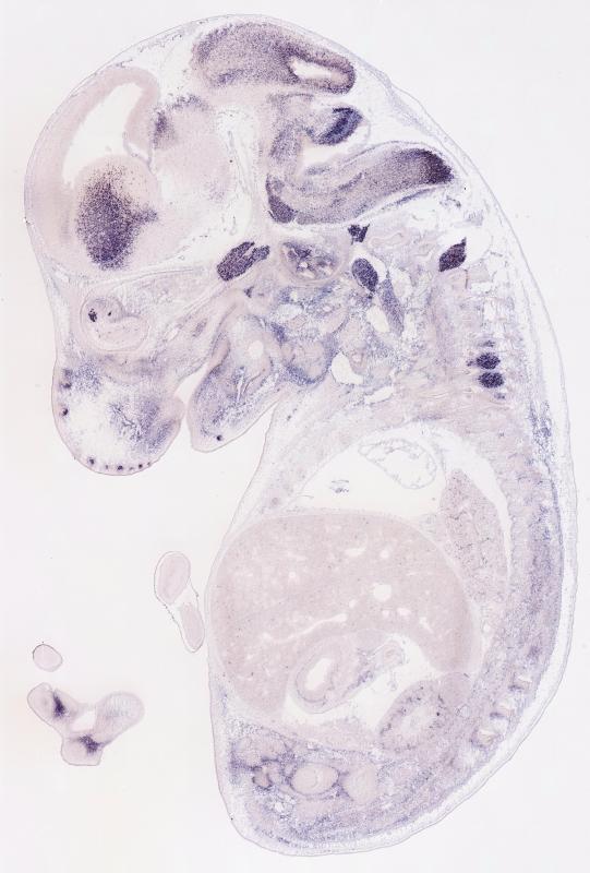
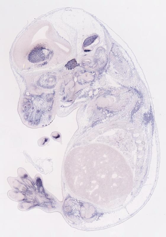
Specimen MH1369; Specimen C1294: embryonic day 14.5 (more )
Structure Level Pattern Image Note
TS22: nervous system Strong Regionally restricted Embryo_C1294_5_3A
TS22: central nervous system Strong Regionally restricted Embryo_C1294_5_4A
TS22: telencephalon Moderate Regionally restricted Embryo_C1294_5_5A
TS22: cerebral cortex Weak Regionally restricted Embryo_C1294_5_1A
TS22: neocortex Absent
TS22: olfactory cortex Weak Regionally restricted Embryo_C1294_5_4A
TS22: main olfactory bulb Weak Regionally restricted Embryo_C1294_5_4A
TS22: piriform cortex Weak Regionally restricted Embryo_C1294_5_1B
TS22: hippocampus Absent
TS22: basal ganglia Moderate Regionally restricted Embryo_C1294_5_5A
TS22: corpus striatum Moderate Regionally restricted Embryo_C1294_5_5A Expression was detected in the corpus striatum (lateral ganglionic eminence).
TS22: basal forebrain Absent
TS22: amygdala Weak Regionally restricted Embryo_C1294_5_5C
TS22: telencephalon septum Absent
TS22: pallidum Absent Expression was not detected in the pallidum (medial ganglionic eminence).
TS22: diencephalon Moderate Regionally restricted Embryo_C1294_5_4C
TS22: thalamus Moderate Regionally restricted Embryo_C1294_5_4C
TS22: hypothalamus Moderate Regionally restricted Embryo_C1294_5_4C
TS22: midbrain Moderate Regionally restricted Embryo_C1294_5_4C
TS22: pretectum Moderate Regionally restricted Embryo_C1294_5_4D
TS22: superior colliculus Moderate Regionally restricted Embryo_C1294_5_4A
TS22: inferior colliculus Weak Regionally restricted Embryo_C1294_5_4A
TS22: midbrain tegmentum Moderate Regionally restricted Embryo_C1294_5_4C
TS22: hindbrain Strong Regionally restricted Embryo_C1294_5_4A
TS22: cerebellum Strong Regionally restricted Embryo_C1294_5_4A
TS22: pons Moderate Regionally restricted Embryo_C1294_5_2A
TS22: medulla oblongata Strong Regionally restricted Embryo_C1294_5_2C
TS22: spinal cord Strong Scattered Embryo_C1294_5_3B
TS22: choroid plexus Absent
TS22: meninges Weak Regionally restricted Embryo_C1294_5_1A
TS22: peripheral nervous system Strong Regionally restricted Embryo_C1294_5_3A
TS22: cranial ganglion Moderate Regionally restricted Embryo_C1294_5_2A
TS22: dorsal root ganglion Strong Regionally restricted Embryo_C1294_5_3A
TS22: eye Strong Regionally restricted Embryo_C1294_5_6B
TS22: retina Strong Regionally restricted Embryo_C1294_5_6B
TS22: lens Absent
TS22: cornea Absent
TS22: optic nerve Absent
TS22: nose Strong Scattered Embryo_C1294_5_3A
TS22: olfactory epithelium Strong Scattered Embryo_C1294_5_3A
TS22: ear Weak Regionally restricted Embryo_C1294_5_5B
TS22: inner ear Weak Regionally restricted Embryo_C1294_5_4C
TS22: cochlea Weak Regionally restricted Embryo_C1294_5_5B
TS22: inner ear labyrinth Weak Regionally restricted Embryo_C1294_5_1C
TS22: middle ear Absent
TS22: alimentary system Weak Regionally restricted Embryo_C1294_5_4A Expression was weak in the digestive system.
TS22: intestine Absent
TS22: salivary gland Absent
TS22: tongue Weak Regionally restricted Embryo_C1294_5_4A
TS22: tooth Weak Regionally restricted Embryo_C1294_5_4A
TS22: palatal shelf Absent
TS22: esophagus Absent
TS22: stomach Weak Regionally restricted Embryo_C1294_5_5B
TS22: liver Absent
TS22: respiratory system Weak Regionally restricted Embryo_C1294_5_2B
TS22: pharynx Absent
TS22: larynx Weak Regionally restricted Embryo_C1294_5_3C
TS22: trachea Absent
TS22: main bronchus Absent
TS22: lung Absent
TS22: urinary system Weak Regionally restricted Embryo_C1294_5_2D Expression was weak in the genito-urinary system.
TS22: metanephros Weak Regionally restricted Embryo_C1294_5_5A
TS22: ureter Absent
TS22: bladder Absent
TS22: urethra Absent
TS22: reproductive system Weak Regionally restricted Embryo_C1294_5_2D
TS22: genital tubercle Weak Regionally restricted Embryo_C1294_5_2D
TS22: gonad Absent
TS22: gland Absent Expression was not detected in the endocrine system.
TS22: thyroid gland Absent
TS22: pituitary gland Absent
TS22: pancreas Absent
TS22: adrenal gland Absent
TS22: cardiovascular system Absent
TS22: heart Absent
TS22: heart atrium Absent
TS22: heart ventricle Absent
TS22: blood vessel Absent
TS22: hemolymphoid system Weak Regionally restricted Embryo_C1294_5_4B Expression was weak in the immune system.
TS22: spleen primordium Absent
TS22: thymus primordium Weak Regionally restricted Embryo_C1294_5_4B
TS22: appendicular skeleton Absent Expression was not detected in the skeleton (limbs, shoulder, hip).
TS22: musculature Weak Regionally restricted Embryo_C1294_5_2A
TS22: face Moderate Regionally restricted Embryo_C1294_5_2B Expression was detected in the face/soft tissues.
TS22: facial bone primordium Absent
TS22: cranium Absent Expression was not detected in the skull (base and vault).
TS22: axial skeleton Absent
TS22: tail Moderate Regionally restricted Embryo_C1294_5_3B
TS22: forelimb Strong Regionally restricted Embryo_C1294_5_6A
TS22: hindlimb Moderate Regionally restricted Embryo_C1294_5_6A
TS22: integumental system Moderate Regionally restricted Embryo_C1294_5_5A
TS22: skin Weak Regionally restricted Embryo_C1294_5_3A
TS22: hair Moderate Regionally restricted Embryo_C1294_5_5A
TS22: vibrissa follicle Moderate Regionally restricted Embryo_C1294_5_5A Expression was detected in whisker follicle.


Contributing Projects:
Mouse Genome Database (MGD), Gene Expression Database (GXD), Mouse Models of Human Cancer database (MMHCdb) (formerly Mouse Tumor Biology (MTB)), Gene Ontology (GO)
Citing These Resources
Funding Information
Warranty Disclaimer, Privacy Notice, Licensing, & Copyright
Send questions and comments to User Support.
last database update
12/30/2025
MGI 6.24
The Jackson Laboratory