About   Help   FAQ
Gene Expression Data
Assay Details
Assay
Reference: J:122989 Visel A, et al., GenePaint.org: an atlas of gene expression patterns in the mouse embryo. Nucleic Acids Res. 2004 Jan 1;32(Database issue):D552-6
Assay type: RNA in situ
MGI Accession ID: MGI:5421466
Gene symbol: Hgd
Gene name: homogentisate 1, 2-dioxygenase
Probe: MH1271 probe 1038
Probe preparation: Antisense labelled with digoxigenin RNA
Visualized with: Alkaline phosphatase
Assay notes: Cryosections of fresh frozen material were fixed in 4% paraformaldehyde for 20 min. before further processing. A tyramide-biotin/streptavidin amplification step was included in the in situ hybridization procedure. These data were downloaded from GenePaint.org on 1/30/12.
Results
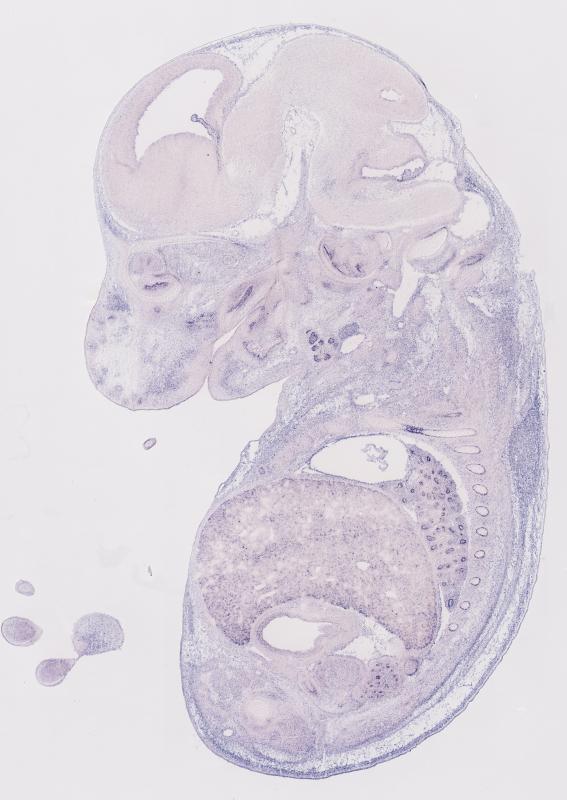
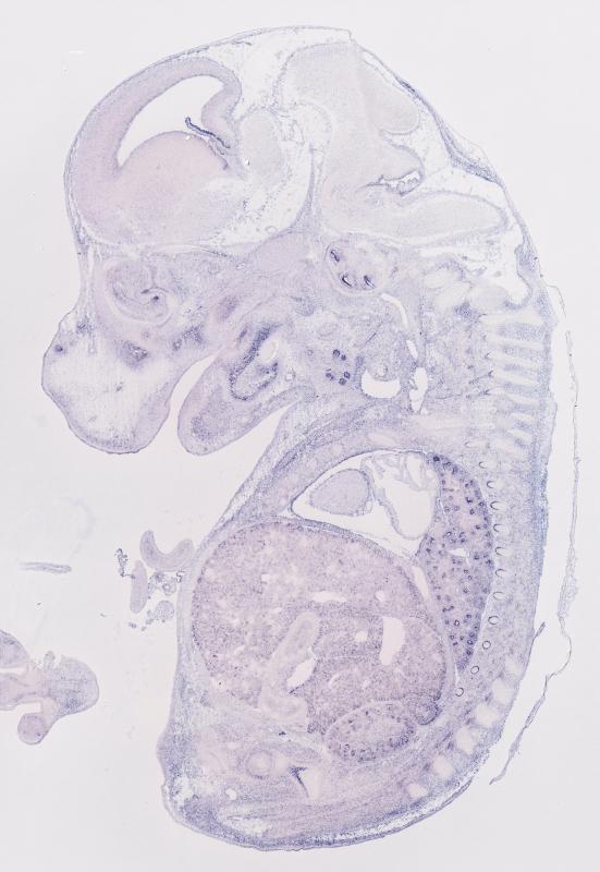
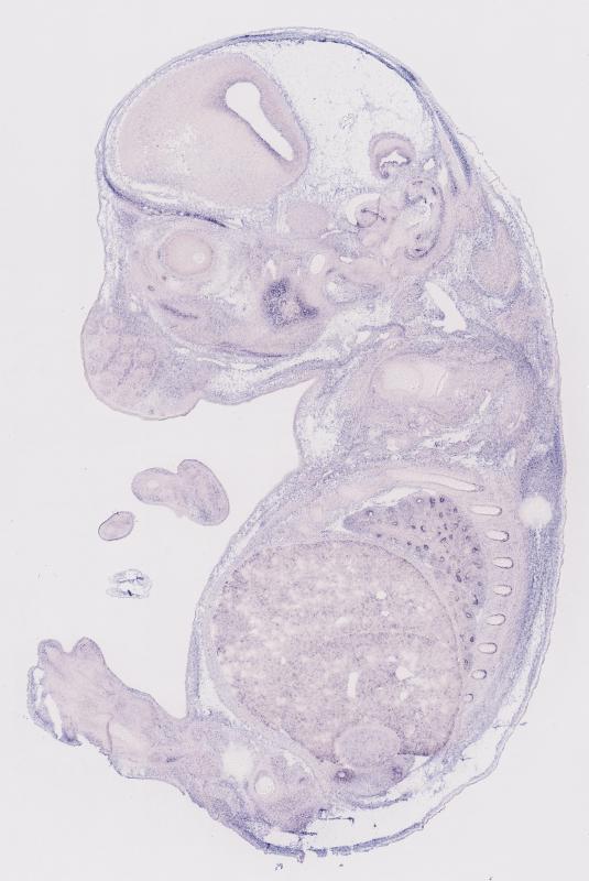
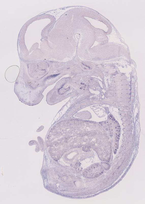
Specimen MH1271; Specimen C1577: embryonic day 14.5 (more )
Structure Level Pattern Image Note
TS22: nervous system Strong Regionally restricted Embryo_C1577_2_2D
TS22: central nervous system Moderate Regionally restricted Embryo_C1577_2_4C
TS22: telencephalon Moderate Regionally restricted Embryo_C1577_2_4A
TS22: cerebral cortex Moderate Regionally restricted Embryo_C1577_2_4A
TS22: neocortex Weak Regionally restricted Embryo_C1577_2_5A
TS22: olfactory cortex Moderate Regionally restricted Embryo_C1577_2_4A
TS22: main olfactory bulb Moderate Regionally restricted Embryo_C1577_2_4A
TS22: piriform cortex Weak Regionally restricted Embryo_C1577_2_2A
TS22: hippocampus Weak Regionally restricted Embryo_C1577_2_5A
TS22: basal ganglia Moderate Regionally restricted Embryo_C1577_2_4C
TS22: corpus striatum Moderate Regionally restricted Embryo_C1577_2_1D Expression was detected in the corpus striatum (lateral ganglionic eminence).
TS22: basal forebrain Absent
TS22: amygdala Weak Regionally restricted Embryo_C1577_2_2A
TS22: telencephalon septum Moderate Regionally restricted Embryo_C1577_2_4C
TS22: pallidum Weak Regionally restricted Embryo_C1577_2_3D Expression was weak in the pallidum (medial ganglionic eminence).
TS22: diencephalon Moderate Regionally restricted Embryo_C1577_2_4D
TS22: thalamus Moderate Regionally restricted Embryo_C1577_2_4D
TS22: hypothalamus Weak Regionally restricted Embryo_C1577_2_4B
TS22: midbrain Moderate Regionally restricted Embryo_C1577_2_4C
TS22: pretectum Weak Regionally restricted Embryo_C1577_2_4B
TS22: superior colliculus Weak Regionally restricted Embryo_C1577_2_3C
TS22: inferior colliculus Weak Regionally restricted Embryo_C1577_2_5B
TS22: midbrain tegmentum Moderate Regionally restricted Embryo_C1577_2_4C
TS22: hindbrain Moderate Regionally restricted Embryo_C1577_2_4C
TS22: cerebellum Absent
TS22: pons Moderate Regionally restricted Embryo_C1577_2_4C
TS22: medulla oblongata Moderate Regionally restricted Embryo_C1577_2_4B
TS22: spinal cord Moderate Regionally restricted Embryo_C1577_2_4A
TS22: choroid plexus Strong Regionally restricted Embryo_C1577_2_2D
TS22: meninges Absent
TS22: peripheral nervous system Weak Regionally restricted Embryo_C1577_2_3A
TS22: cranial ganglion Weak Regionally restricted Embryo_C1577_2_3A
TS22: dorsal root ganglion Weak Regionally restricted Embryo_C1577_2_3A
TS22: eye Moderate Regionally restricted Embryo_C1577_2_1A
TS22: retina Moderate Regionally restricted Embryo_C1577_2_1A
TS22: lens Moderate Regionally restricted Embryo_C1577_2_1A
TS22: optic nerve Weak Regionally restricted Embryo_C1577_2_2C
TS22: nose Moderate Regionally restricted Embryo_C1577_2_5D
TS22: olfactory epithelium Moderate Regionally restricted Embryo_C1577_2_5D
TS22: ear Strong Regionally restricted Embryo_C1577_2_2D
TS22: inner ear Strong Regionally restricted Embryo_C1577_2_2D
TS22: cochlea Strong Regionally restricted Embryo_C1577_2_2D
TS22: inner ear labyrinth Strong Regionally restricted Embryo_C1577_2_2A
TS22: middle ear Weak Regionally restricted Embryo_C1577_2_1A
TS22: alimentary system Strong Regionally restricted Embryo_C1577_2_2C Expression was strong in the digestive system.
TS22: intestine Weak Regionally restricted Embryo_C1577_2_3C
TS22: salivary gland Strong Regionally restricted Embryo_C1577_2_2C
TS22: tongue Weak Regionally restricted Embryo_C1577_2_4B
TS22: tooth Moderate Regionally restricted Embryo_C1577_2_4C
TS22: palatal shelf Weak Regionally restricted Embryo_C1577_2_4C
TS22: esophagus Absent
TS22: stomach Weak Regionally restricted Embryo_C1577_2_5D
TS22: liver Moderate Regionally restricted Embryo_C1577_2_4D
TS22: respiratory system Strong Regionally restricted Embryo_C1577_2_2D
TS22: pharynx Absent
TS22: larynx Absent
TS22: trachea Weak Regionally restricted Embryo_C1577_2_4A
TS22: main bronchus Weak Regionally restricted Embryo_C1577_2_4C
TS22: lung Strong Regionally restricted Embryo_C1577_2_2D
TS22: urinary system Moderate Regionally restricted Embryo_C1577_2_3A Expression was detected in the genito-urinary system.
TS22: metanephros Moderate Regionally restricted Embryo_C1577_2_5B
TS22: ureter Absent
TS22: bladder Weak Regionally restricted Embryo_C1577_2_4A
TS22: urethra Absent
TS22: reproductive system Moderate Regionally restricted Embryo_C1577_2_3A
TS22: genital tubercle Moderate Regionally restricted Embryo_C1577_2_3A
TS22: gonad Weak Regionally restricted Embryo_C1577_2_5D
TS22: gland Moderate Regionally restricted Embryo_C1577_2_5A Expression was detected in the endocrine system.
TS22: thyroid gland Moderate Regionally restricted Embryo_C1577_2_4C
TS22: pituitary gland Weak Regionally restricted Embryo_C1577_2_4A
TS22: pancreas Moderate Regionally restricted Embryo_C1577_2_5A
TS22: adrenal gland Moderate Regionally restricted Embryo_C1577_2_5B
TS22: cardiovascular system Weak Regionally restricted Embryo_C1577_2_3D
TS22: heart Weak Regionally restricted Embryo_C1577_2_3D
TS22: heart atrium Weak Regionally restricted Embryo_C1577_2_3D
TS22: heart ventricle Weak Regionally restricted Embryo_C1577_2_3D
TS22: blood vessel Weak Regionally restricted Embryo_C1577_2_4C
TS22: hemolymphoid system Weak Regionally restricted Embryo_C1577_2_4C Expression was weak in the immune system.
TS22: spleen primordium Absent
TS22: thymus primordium Weak Regionally restricted Embryo_C1577_2_4C
TS22: appendicular skeleton Moderate Regionally restricted Embryo_C1577_2_5A Expression was detected in the skeleton (limbs, shoulder, hip).
TS22: musculature Weak Regionally restricted Embryo_C1577_2_1D
TS22: face Moderate Regionally restricted Embryo_C1577_2_5B Expression was detected in the face/soft tissues.
TS22: facial bone primordium Absent
TS22: cranium Moderate Regionally restricted Embryo_C1577_2_4C Expression was detected in the skull (base and vault).
TS22: axial skeleton Strong Regionally restricted Embryo_C1577_2_2D
TS22: tail Weak Regionally restricted Embryo_C1577_2_4A
TS22: forelimb Moderate Regionally restricted Embryo_C1577_2_1A
TS22: hindlimb Moderate Regionally restricted Embryo_C1577_2_2A
TS22: integumental system Strong Regionally restricted Embryo_C1577_2_2A
TS22: skin Moderate Regionally restricted Embryo_C1577_2_5B
TS22: hair Strong Regionally restricted Embryo_C1577_2_2A
TS22: vibrissa follicle Strong Regionally restricted Embryo_C1577_2_2A Expression was strong in whisker follicle.


Contributing Projects:
Mouse Genome Database (MGD), Gene Expression Database (GXD), Mouse Models of Human Cancer database (MMHCdb) (formerly Mouse Tumor Biology (MTB)), Gene Ontology (GO)
Citing These Resources
Funding Information
Warranty Disclaimer, Privacy Notice, Licensing, & Copyright
Send questions and comments to User Support.
last database update
04/14/2026
MGI 6.24
The Jackson Laboratory