About   Help   FAQ
Gene Expression Data
Assay Details
Assay
Reference: J:122989 Visel A, et al., GenePaint.org: an atlas of gene expression patterns in the mouse embryo. Nucleic Acids Res. 2004 Jan 1;32(Database issue):D552-6
Assay type: RNA in situ
MGI Accession ID: MGI:5421431
Gene symbol: Gm20186
Gene name: predicted gene, 20186
Probe: MH1198 probe 996
Probe preparation: Antisense labelled with digoxigenin RNA
Visualized with: Alkaline phosphatase
Assay notes: Cryosections of fresh frozen material were fixed in 4% paraformaldehyde for 20 min. before further processing. A tyramide-biotin/streptavidin amplification step was included in the in situ hybridization procedure. These data were downloaded from GenePaint.org on 1/30/12.
Results
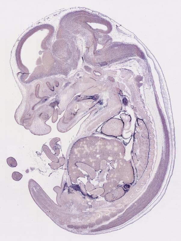
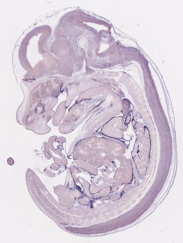
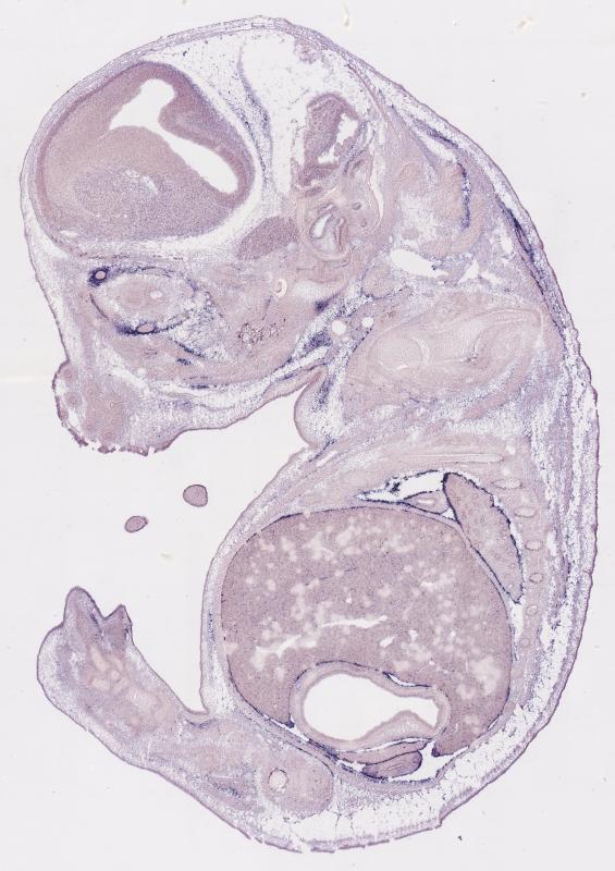
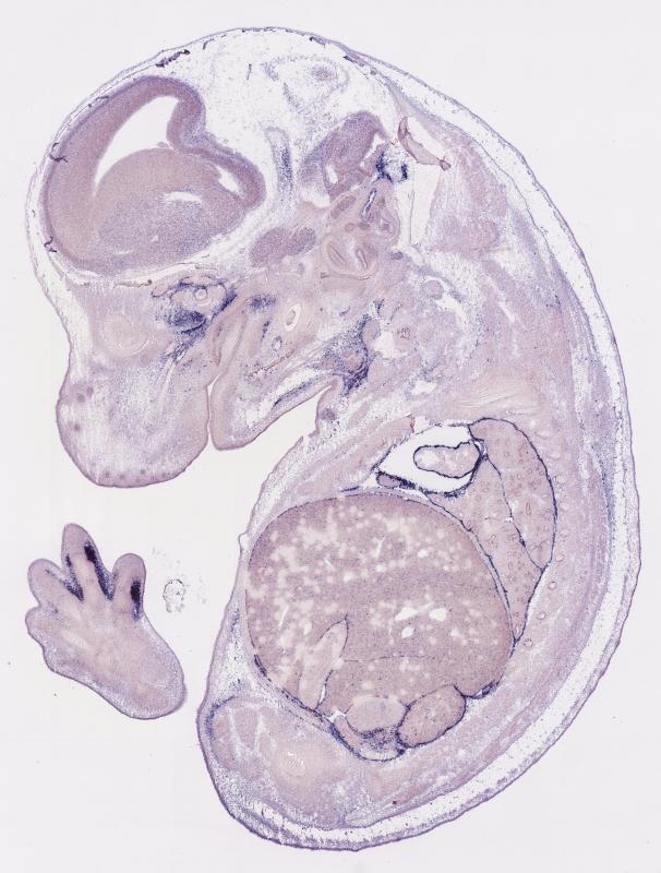
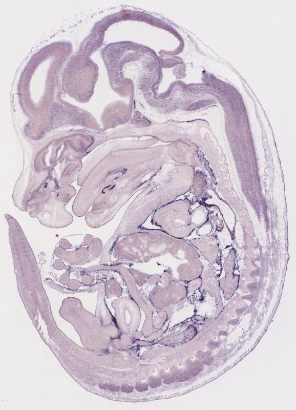
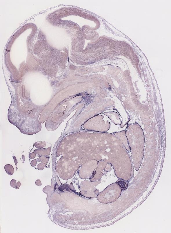
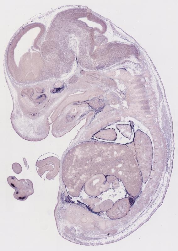
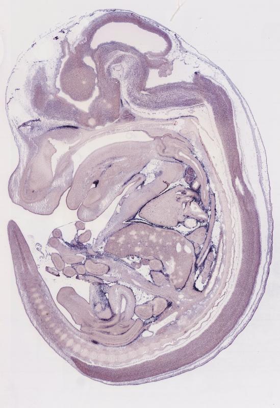
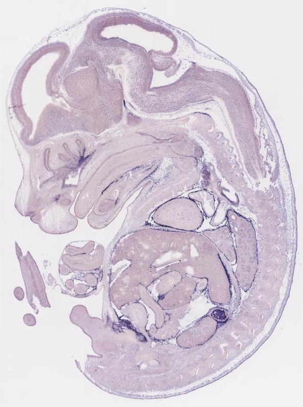
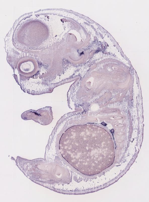
Specimen MH1198; Specimen C1548: embryonic day 14.5 (more )
Structure Level Pattern Image Note
TS22: nervous system Moderate Regionally restricted Embryo_C1548_1_4B
TS22: central nervous system Moderate Regionally restricted Embryo_C1548_1_4B
TS22: telencephalon Weak Regionally restricted Embryo_C1548_1_3A
TS22: cerebral cortex Weak Regionally restricted Embryo_C1548_1_3A
TS22: neocortex Weak Regionally restricted Embryo_C1548_1_3C
TS22: olfactory cortex Weak Regionally restricted Embryo_C1548_1_3A
TS22: main olfactory bulb Weak Regionally restricted Embryo_C1548_1_3A
TS22: piriform cortex Absent
TS22: hippocampus Weak Regionally restricted Embryo_C1548_1_3B
TS22: basal ganglia Weak Regionally restricted Embryo_C1548_1_4D
TS22: corpus striatum Absent Expression was not detected in the corpus striatum (lateral ganglionic eminence).
TS22: basal forebrain Weak Regionally restricted Embryo_C1548_1_3A
TS22: amygdala Weak Regionally restricted Embryo_C1548_1_1D
TS22: telencephalon septum Weak Regionally restricted Embryo_C1548_1_4D
TS22: pallidum Absent Expression was not detected in the pallidum (medial ganglionic eminence).
TS22: diencephalon Weak Regionally restricted Embryo_C1548_1_4C
TS22: thalamus Weak Regionally restricted Embryo_C1548_1_4C
TS22: hypothalamus Weak Regionally restricted Embryo_C1548_1_4C
TS22: midbrain Moderate Regionally restricted Embryo_C1548_1_4B
TS22: pretectum Weak Regionally restricted Embryo_C1548_1_4D
TS22: superior colliculus Weak Regionally restricted Embryo_C1548_1_4C
TS22: inferior colliculus Weak Regionally restricted Embryo_C1548_1_4C
TS22: midbrain tegmentum Moderate Regionally restricted Embryo_C1548_1_4B
TS22: hindbrain Moderate Regionally restricted Embryo_C1548_1_4B
TS22: cerebellum Weak Regionally restricted Embryo_C1548_1_5D
TS22: pons Moderate Regionally restricted Embryo_C1548_1_4B
TS22: medulla oblongata Moderate Regionally restricted Embryo_C1548_1_4B
TS22: spinal cord Moderate Regionally restricted Embryo_C1548_1_4B
TS22: choroid plexus Weak Regionally restricted Embryo_C1548_1_5C
TS22: meninges Absent
TS22: peripheral nervous system Weak Regionally restricted Embryo_C1548_1_6B
TS22: cranial ganglion Weak Regionally restricted Embryo_C1548_1_6B
TS22: dorsal root ganglion Weak Regionally restricted Embryo_C1548_1_5B
TS22: eye Moderate Regionally restricted Embryo_C1548_1_2D
TS22: retina Weak Regionally restricted Embryo_C1548_1_1A
TS22: lens Weak Regionally restricted Embryo_C1548_1_1A
TS22: optic nerve Moderate Regionally restricted Embryo_C1548_1_2D
TS22: nose Weak Regionally restricted Embryo_C1548_1_4C
TS22: olfactory epithelium Weak Regionally restricted Embryo_C1548_1_4C
TS22: ear Weak Regionally restricted Embryo_C1548_1_3A
TS22: inner ear Weak Regionally restricted Embryo_C1548_1_3A
TS22: cochlea Weak Regionally restricted Embryo_C1548_1_3A
TS22: inner ear labyrinth Weak Regionally restricted Embryo_C1548_1_6B
TS22: middle ear Weak Regionally restricted Embryo_C1548_1_1B
TS22: alimentary system Strong Regionally restricted Embryo_C1548_1_4B Expression was strong in the digestive system.
TS22: intestine Strong Regionally restricted Embryo_C1548_1_4A
TS22: salivary gland Weak Regionally restricted Embryo_C1548_1_5A
TS22: tongue Moderate Regionally restricted Embryo_C1548_1_4C
TS22: tooth Absent
TS22: palatal shelf Strong Regionally restricted Embryo_C1548_1_4B
TS22: esophagus Strong Regionally restricted Embryo_C1548_1_4B
TS22: stomach Strong Regionally restricted Embryo_C1548_1_6A
TS22: liver Strong Regionally restricted Embryo_C1548_1_1A
TS22: respiratory system Strong Regionally restricted Embryo_C1548_1_5C
TS22: pharynx Weak Regionally restricted Embryo_C1548_1_4C
TS22: larynx Weak Regionally restricted Embryo_C1548_1_4B
TS22: trachea Strong Regionally restricted Embryo_C1548_1_4A
TS22: main bronchus Absent
TS22: lung Strong Regionally restricted Embryo_C1548_1_5C
TS22: urinary system Strong Regionally restricted Embryo_C1548_1_6A Expression was strong in the genito-urinary system.
TS22: metanephros Strong Regionally restricted Embryo_C1548_1_5A
TS22: ureter Moderate Regionally restricted Embryo_C1548_1_4C
TS22: bladder Strong Regionally restricted Embryo_C1548_1_4A
TS22: urethra Moderate Regionally restricted Embryo_C1548_1_4A
TS22: reproductive system Strong Regionally restricted Embryo_C1548_1_6A
TS22: genital tubercle Weak Regionally restricted Embryo_C1548_1_4B
TS22: gonad Strong Regionally restricted Embryo_C1548_1_6A
TS22: gland Strong Regionally restricted Embryo_C1548_1_5A Expression was strong in the endocrine system.
TS22: thyroid gland Weak Regionally restricted Embryo_C1548_1_3C
TS22: pituitary gland Weak Regionally restricted Embryo_C1548_1_4B
TS22: pancreas Absent
TS22: adrenal gland Strong Regionally restricted Embryo_C1548_1_5A
TS22: cardiovascular system Strong Regionally restricted Embryo_C1548_1_4B
TS22: heart Strong Regionally restricted Embryo_C1548_1_4B
TS22: heart atrium Strong Regionally restricted Embryo_C1548_1_3A
TS22: heart ventricle Strong Regionally restricted Embryo_C1548_1_4B
TS22: blood vessel Strong Regionally restricted Embryo_C1548_1_4A
TS22: hemolymphoid system Strong Regionally restricted Embryo_C1548_1_6C Expression was strong in the immune system.
TS22: spleen primordium Strong Regionally restricted Embryo_C1548_1_6C
TS22: thymus primordium Moderate Regionally restricted Embryo_C1548_1_3C
TS22: appendicular skeleton Absent Expression was not detected in the skeleton (limbs, shoulder, hip).
TS22: musculature Absent
TS22: face Strong Regionally restricted Embryo_C1548_1_3A Expression was strong in the face/soft tissues.
TS22: facial bone primordium Absent
TS22: cranium Absent Expression was not detected in the skull (base and vault).
TS22: axial skeleton Weak Regionally restricted Embryo_C1548_1_6A
TS22: tail Absent
TS22: forelimb Strong Regionally restricted Embryo_C1548_1_1A
TS22: hindlimb Strong Regionally restricted Embryo_C1548_1_2B
TS22: integumental system Absent
TS22: skin Absent
TS22: hair Absent
TS22: vibrissa follicle Absent Expression was not detected in whisker follicle.


Contributing Projects:
Mouse Genome Database (MGD), Gene Expression Database (GXD), Mouse Models of Human Cancer database (MMHCdb) (formerly Mouse Tumor Biology (MTB)), Gene Ontology (GO)
Citing These Resources
Funding Information
Warranty Disclaimer, Privacy Notice, Licensing, & Copyright
Send questions and comments to User Support.
last database update
04/14/2026
MGI 6.24
The Jackson Laboratory