About   Help   FAQ
Gene Expression Data
Assay Details
Assay
Reference: J:122989 Visel A, et al., GenePaint.org: an atlas of gene expression patterns in the mouse embryo. Nucleic Acids Res. 2004 Jan 1;32(Database issue):D552-6
Assay type: RNA in situ
MGI Accession ID: MGI:5421408
Gene symbol: Fhl1
Gene name: four and a half LIM domains 1
Probe: MH1102 probe 931
Probe preparation: Antisense labelled with digoxigenin RNA
Visualized with: Alkaline phosphatase
Assay notes: Cryosections of fresh frozen material were fixed in 4% paraformaldehyde for 20 min. before further processing. A tyramide-biotin/streptavidin amplification step was included in the in situ hybridization procedure. These data were downloaded from GenePaint.org on 1/30/12.
Results
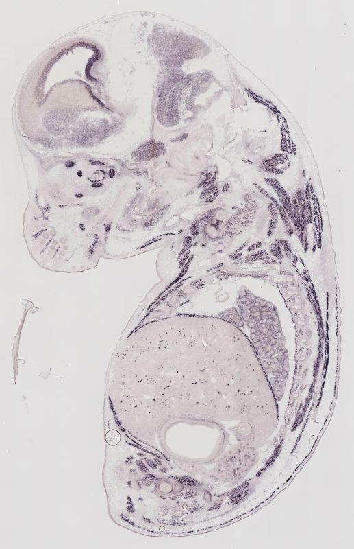
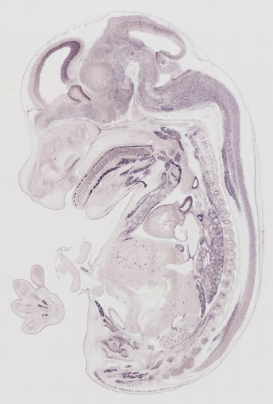
Specimen MH1102; Specimen C1626: embryonic day 14.5 (more )
Structure Level Pattern Image Note
TS22: nervous system Strong Regionally restricted Embryo_C1626_3_4B
TS22: central nervous system Strong Regionally restricted Embryo_C1626_3_4B
TS22: telencephalon Strong Regionally restricted Embryo_C1626_3_2C
TS22: cerebral cortex Strong Regionally restricted Embryo_C1626_3_2C
TS22: neocortex Moderate Regionally restricted Embryo_C1626_3_5B
TS22: olfactory cortex Weak Regionally restricted Embryo_C1626_3_4C
TS22: main olfactory bulb Weak Regionally restricted Embryo_C1626_3_4C
TS22: piriform cortex Weak Regionally restricted Embryo_C1626_3_1C
TS22: hippocampus Strong Scattered Embryo_C1626_3_2C
TS22: basal ganglia Moderate Regionally restricted Embryo_C1626_3_4C
TS22: corpus striatum Moderate Regionally restricted Embryo_C1626_3_2B Expression was detected in the corpus striatum (lateral ganglionic eminence).
TS22: basal forebrain Weak Regionally restricted Embryo_C1626_3_2D
TS22: amygdala Weak Regionally restricted Embryo_C1626_3_2A
TS22: telencephalon septum Moderate Regionally restricted Embryo_C1626_3_4C
TS22: pallidum Moderate Regionally restricted Embryo_C1626_3_3B Expression was detected in the pallidum (medial ganglionic eminence).
TS22: diencephalon Weak Regionally restricted Embryo_C1626_3_4D
TS22: thalamus Weak Regionally restricted Embryo_C1626_3_4D
TS22: hypothalamus Weak Regionally restricted Embryo_C1626_3_4D
TS22: midbrain Strong Regionally restricted Embryo_C1626_3_4B
TS22: pretectum Weak Regionally restricted Embryo_C1626_3_4D
TS22: superior colliculus Weak Regionally restricted Embryo_C1626_3_4C
TS22: inferior colliculus Weak Regionally restricted Embryo_C1626_3_4C
TS22: midbrain tegmentum Strong Regionally restricted Embryo_C1626_3_4B
TS22: hindbrain Strong Regionally restricted Embryo_C1626_3_4B
TS22: cerebellum Absent
TS22: pons Strong Regionally restricted Embryo_C1626_3_4B
TS22: medulla oblongata Strong Regionally restricted Embryo_C1626_3_4B
TS22: spinal cord Strong Regionally restricted Embryo_C1626_3_4B
TS22: choroid plexus Absent
TS22: meninges Weak Regionally restricted Embryo_C1626_3_6B
TS22: peripheral nervous system Moderate Regionally restricted Embryo_C1626_3_2A
TS22: cranial ganglion Moderate Regionally restricted Embryo_C1626_3_2A
TS22: dorsal root ganglion Weak Regionally restricted Embryo_C1626_3_5A
TS22: eye Moderate Regionally restricted Embryo_C1626_3_1A
TS22: retina Moderate Regionally restricted Embryo_C1626_3_1A
TS22: lens Absent
TS22: cornea Absent
TS22: optic nerve Moderate Regionally restricted Embryo_C1626_3_2B
TS22: nose Weak Regionally restricted Embryo_C1626_3_3A
TS22: olfactory epithelium Weak Regionally restricted Embryo_C1626_3_3A
TS22: ear Weak Regionally restricted Embryo_C1626_3_1B
TS22: inner ear Weak Regionally restricted Embryo_C1626_3_3A
TS22: cochlea Weak Regionally restricted Embryo_C1626_3_3A
TS22: inner ear labyrinth Weak Regionally restricted Embryo_C1626_3_1B
TS22: middle ear Weak Regionally restricted Embryo_C1626_3_2C
TS22: alimentary system Strong Regionally restricted Embryo_C1626_3_3C Expression was strong in the digestive system.
TS22: intestine Absent
TS22: salivary gland Absent
TS22: tongue Strong Regionally restricted Embryo_C1626_3_3C
TS22: tooth Absent
TS22: palatal shelf Weak Regionally restricted Embryo_C1626_3_2D
TS22: esophagus Weak Regionally restricted Embryo_C1626_3_4B
TS22: stomach Weak Regionally restricted Embryo_C1626_3_6A
TS22: liver Weak Regionally restricted Embryo_C1626_3_6A
TS22: respiratory system Moderate Regionally restricted Embryo_C1626_3_3A
TS22: pharynx Absent
TS22: larynx Weak Regionally restricted Embryo_C1626_3_4A
TS22: trachea Absent
TS22: main bronchus Absent
TS22: lung Moderate Regionally restricted Embryo_C1626_3_3A
TS22: urinary system Moderate Regionally restricted Embryo_C1626_3_4C Expression was detected in the genito-urinary system.
TS22: metanephros Moderate Regionally restricted Embryo_C1626_3_6A
TS22: ureter Absent
TS22: bladder Moderate Regionally restricted Embryo_C1626_3_4B
TS22: urethra Absent
TS22: reproductive system Moderate Regionally restricted Embryo_C1626_3_4C
TS22: genital tubercle Moderate Regionally restricted Embryo_C1626_3_4C
TS22: gonad Absent
TS22: gland Weak Regionally restricted Embryo_C1626_3_4B Expression was weak in the endocrine system.
TS22: thyroid gland Absent
TS22: pituitary gland Weak Regionally restricted Embryo_C1626_3_4B
TS22: pancreas Absent
TS22: adrenal gland Absent
TS22: cardiovascular system Moderate Regionally restricted Embryo_C1626_3_3C
TS22: heart Moderate Regionally restricted Embryo_C1626_3_3C
TS22: heart atrium Weak Regionally restricted Embryo_C1626_3_3C
TS22: heart ventricle Moderate Regionally restricted Embryo_C1626_3_3C
TS22: blood vessel Moderate Regionally restricted Embryo_C1626_3_4C
TS22: hemolymphoid system Absent Expression was not detected in the immune system.
TS22: spleen primordium Absent
TS22: thymus primordium Absent
TS22: appendicular skeleton Moderate Regionally restricted Embryo_C1626_3_3A Expression was detected in the skeleton (limbs, shoulder, hip).
TS22: musculature Strong Regionally restricted Embryo_C1626_3_2A
TS22: face Moderate Regionally restricted Embryo_C1626_3_5A Expression was detected in the face/soft tissues.
TS22: facial bone primordium Absent
TS22: cranium Absent Expression was not detected in the skull (base and vault).
TS22: axial skeleton Absent
TS22: tail Strong Regionally restricted Embryo_C1626_3_4C
TS22: forelimb Strong Regionally restricted Embryo_C1626_3_1A
TS22: hindlimb Strong Regionally restricted Embryo_C1626_3_2A
TS22: integumental system Weak Regionally restricted Embryo_C1626_3_2A
TS22: skin Weak Regionally restricted Embryo_C1626_3_2A
TS22: hair Weak Regionally restricted Embryo_C1626_3_2A
TS22: vibrissa follicle Weak Regionally restricted Embryo_C1626_3_2A Expression was weak in whisker follicle.


Contributing Projects:
Mouse Genome Database (MGD), Gene Expression Database (GXD), Mouse Models of Human Cancer database (MMHCdb) (formerly Mouse Tumor Biology (MTB)), Gene Ontology (GO)
Citing These Resources
Funding Information
Warranty Disclaimer, Privacy Notice, Licensing, & Copyright
Send questions and comments to User Support.
last database update
12/30/2025
MGI 6.24
The Jackson Laboratory