About   Help   FAQ
Gene Expression Data
Assay Details
Assay
Reference: J:122989 Visel A, et al., GenePaint.org: an atlas of gene expression patterns in the mouse embryo. Nucleic Acids Res. 2004 Jan 1;32(Database issue):D552-6
Assay type: RNA in situ
MGI Accession ID: MGI:5421407
Gene symbol: Tomm70a
Gene name: translocase of outer mitochondrial membrane 70A
Probe: MH1100 probe 943
Probe preparation: Antisense labelled with digoxigenin RNA
Visualized with: Alkaline phosphatase
Assay notes: Cryosections of fresh frozen material were fixed in 4% paraformaldehyde for 20 min. before further processing. A tyramide-biotin/streptavidin amplification step was included in the in situ hybridization procedure. These data were downloaded from GenePaint.org on 1/30/12.
Results
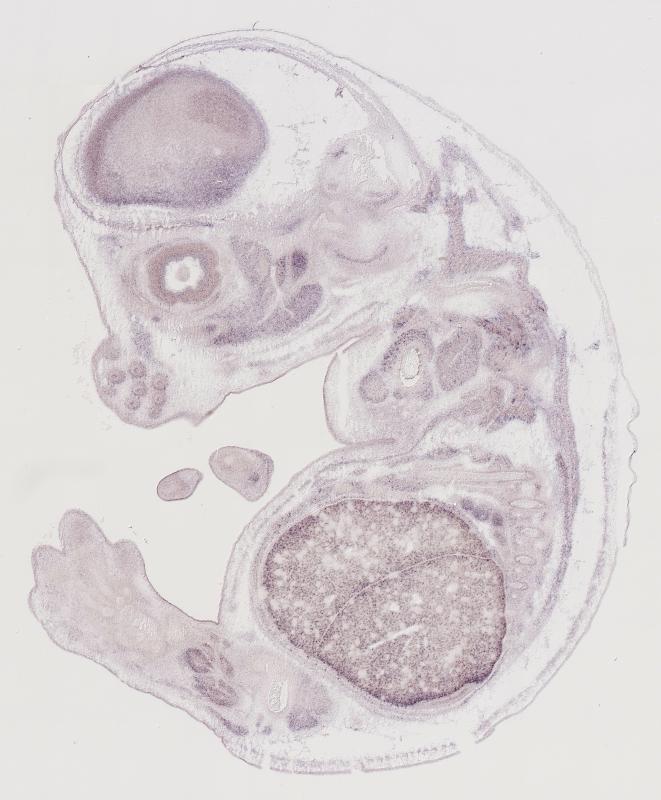
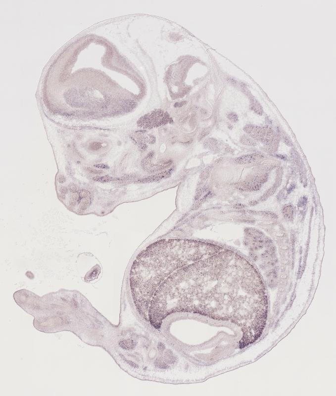
Specimen MH1100; Specimen C1653: embryonic day 14.5 (more )
Structure Level Pattern Image Note
TS22: nervous system Strong Regionally restricted Embryo_C1653_1_4B
TS22: central nervous system Strong Regionally restricted Embryo_C1653_1_4B
TS22: telencephalon Moderate Regionally restricted Embryo_C1653_1_4C
TS22: cerebral cortex Moderate Regionally restricted Embryo_C1653_1_4C
TS22: neocortex Weak Regionally restricted Embryo_C1653_1_3B
TS22: olfactory cortex Moderate Regionally restricted Embryo_C1653_1_4C
TS22: main olfactory bulb Moderate Regionally restricted Embryo_C1653_1_4C
TS22: piriform cortex Moderate Regionally restricted Embryo_C1653_1_1B
TS22: hippocampus Weak Regionally restricted Embryo_C1653_1_5C
TS22: basal ganglia Weak Regionally restricted Embryo_C1653_1_4B
TS22: corpus striatum Weak Regionally restricted Embryo_C1653_1_6A Expression was weak in the corpus striatum (lateral ganglionic eminence).
TS22: basal forebrain Weak Regionally restricted Embryo_C1653_1_4D
TS22: amygdala Weak Regionally restricted Embryo_C1653_1_1C
TS22: telencephalon septum Weak Regionally restricted Embryo_C1653_1_4B
TS22: pallidum Weak Regionally restricted Embryo_C1653_1_5B Expression was weak in the pallidum (medial ganglionic eminence).
TS22: diencephalon Moderate Regionally restricted Embryo_C1653_1_4A
TS22: thalamus Weak Regionally restricted Embryo_C1653_1_4B
TS22: hypothalamus Moderate Regionally restricted Embryo_C1653_1_4A
TS22: midbrain Moderate Regionally restricted Embryo_C1653_1_4C
TS22: pretectum Weak Regionally restricted Embryo_C1653_1_4C
TS22: superior colliculus Weak Regionally restricted Embryo_C1653_1_4B
TS22: inferior colliculus Moderate Regionally restricted Embryo_C1653_1_4C
TS22: midbrain tegmentum Moderate Regionally restricted Embryo_C1653_1_4C
TS22: hindbrain Strong Regionally restricted Embryo_C1653_1_4B
TS22: cerebellum Weak Regionally restricted Embryo_C1653_1_4C
TS22: pons Moderate Regionally restricted Embryo_C1653_1_5B
TS22: medulla oblongata Strong Regionally restricted Embryo_C1653_1_4B
TS22: spinal cord Strong Regionally restricted Embryo_C1653_1_4B
TS22: choroid plexus Weak Regionally restricted Embryo_C1653_1_4A
TS22: meninges Absent
TS22: peripheral nervous system Moderate Regionally restricted Embryo_C1653_1_4C
TS22: cranial ganglion Moderate Regionally restricted Embryo_C1653_1_5C
TS22: dorsal root ganglion Moderate Regionally restricted Embryo_C1653_1_4C
TS22: eye Weak Regionally restricted Embryo_C1653_1_1A
TS22: retina Weak Regionally restricted Embryo_C1653_1_1A
TS22: lens Absent
TS22: optic nerve Weak Regionally restricted Embryo_C1653_1_5C
TS22: nose Moderate Regionally restricted Embryo_C1653_1_5B
TS22: olfactory epithelium Moderate Regionally restricted Embryo_C1653_1_5B
TS22: ear Weak Regionally restricted Embryo_C1653_1_5B
TS22: inner ear Weak Regionally restricted Embryo_C1653_1_5B
TS22: cochlea Weak Regionally restricted Embryo_C1653_1_5B
TS22: inner ear labyrinth Weak Regionally restricted Embryo_C1653_1_5C
TS22: middle ear Weak Regionally restricted Embryo_C1653_1_1A
TS22: alimentary system Strong Regionally restricted Embryo_C1653_1_4C Expression was strong in the digestive system.
TS22: intestine Moderate Regionally restricted Embryo_C1653_1_4A
TS22: salivary gland Moderate Regionally restricted Embryo_C1653_1_3B
TS22: tongue Moderate Regionally restricted Embryo_C1653_1_4B
TS22: tooth Moderate Regionally restricted Embryo_C1653_1_4C
TS22: palatal shelf Weak Regionally restricted Embryo_C1653_1_3B
TS22: esophagus Weak Regionally restricted Embryo_C1653_1_4B
TS22: stomach Weak Regionally restricted Embryo_C1653_1_5C
TS22: liver Strong Regionally restricted Embryo_C1653_1_4C
TS22: respiratory system Strong Regionally restricted Embryo_C1653_1_4C
TS22: pharynx Absent
TS22: larynx Weak Regionally restricted Embryo_C1653_1_4A
TS22: trachea Moderate Regionally restricted Embryo_C1653_1_4B
TS22: main bronchus Moderate Regionally restricted Embryo_C1653_1_4B
TS22: lung Strong Regionally restricted Embryo_C1653_1_4C
TS22: urinary system Moderate Regionally restricted Embryo_C1653_1_5A Expression was detected in the genito-urinary system.
TS22: metanephros Moderate Regionally restricted Embryo_C1653_1_5A
TS22: ureter Weak Regionally restricted Embryo_C1653_1_4A
TS22: bladder Weak Regionally restricted Embryo_C1653_1_4A
TS22: urethra Weak Regionally restricted Embryo_C1653_1_4A
TS22: reproductive system Weak Regionally restricted Embryo_C1653_1_4B
TS22: genital tubercle Weak Regionally restricted Embryo_C1653_1_4B
TS22: gonad Weak Regionally restricted Embryo_C1653_1_6A
TS22: gland Moderate Regionally restricted Embryo_C1653_1_4D Expression was detected in the endocrine system.
TS22: thyroid gland Weak Regionally restricted Embryo_C1653_1_4D
TS22: pituitary gland Weak Regionally restricted Embryo_C1653_1_4C
TS22: pancreas Moderate Regionally restricted Embryo_C1653_1_4D
TS22: adrenal gland Weak Regionally restricted Embryo_C1653_1_5A
TS22: cardiovascular system Weak Regionally restricted Embryo_C1653_1_4B
TS22: heart Weak Regionally restricted Embryo_C1653_1_4B
TS22: heart atrium Weak Regionally restricted Embryo_C1653_1_4B
TS22: heart ventricle Weak Regionally restricted Embryo_C1653_1_5A
TS22: blood vessel Weak Regionally restricted Embryo_C1653_1_5A
TS22: hemolymphoid system Moderate Regionally restricted Embryo_C1653_1_4C Expression was detected in the immune system.
TS22: spleen primordium Weak Regionally restricted Embryo_C1653_1_6B
TS22: thymus primordium Moderate Regionally restricted Embryo_C1653_1_4C
TS22: appendicular skeleton Absent Expression was not detected in the skeleton (limbs, shoulder, hip).
TS22: musculature Strong Regionally restricted Embryo_C1653_1_1B
TS22: face Moderate Regionally restricted Embryo_C1653_1_4B Expression was detected in the face/soft tissues.
TS22: facial bone primordium Absent
TS22: cranium Absent Expression was not detected in the skull (base and vault).
TS22: axial skeleton Absent
TS22: tail Moderate Regionally restricted Embryo_C1653_1_4C
TS22: forelimb Weak Regionally restricted Embryo_C1653_1_1B
TS22: hindlimb Weak Regionally restricted Embryo_C1653_1_6C
TS22: integumental system Moderate Regionally restricted Embryo_C1653_1_6A
TS22: skin Weak Regionally restricted Embryo_C1653_1_4C
TS22: hair Moderate Regionally restricted Embryo_C1653_1_6A
TS22: vibrissa follicle Moderate Regionally restricted Embryo_C1653_1_6A Expression was detected in whisker follicle.


Contributing Projects:
Mouse Genome Database (MGD), Gene Expression Database (GXD), Mouse Models of Human Cancer database (MMHCdb) (formerly Mouse Tumor Biology (MTB)), Gene Ontology (GO)
Citing These Resources
Funding Information
Warranty Disclaimer, Privacy Notice, Licensing, & Copyright
Send questions and comments to User Support.
last database update
03/24/2026
MGI 6.24
The Jackson Laboratory