About   Help   FAQ
Gene Expression Data
Assay Details
Assay
Reference: J:122989 Visel A, et al., GenePaint.org: an atlas of gene expression patterns in the mouse embryo. Nucleic Acids Res. 2004 Jan 1;32(Database issue):D552-6
Assay type: RNA in situ
MGI Accession ID: MGI:5421394
Gene symbol: Nkx2-1
Gene name: NK2 homeobox 1
Probe: MH1011 probe 773
Probe preparation: Antisense labelled with digoxigenin RNA
Visualized with: Alkaline phosphatase
Assay notes: Cryosections of fresh frozen material were fixed in 4% paraformaldehyde for 20 min. before further processing. A tyramide-biotin/streptavidin amplification step was included in the in situ hybridization procedure. These data were downloaded from GenePaint.org on 1/30/12.
Results
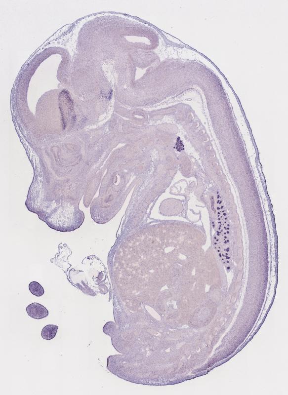
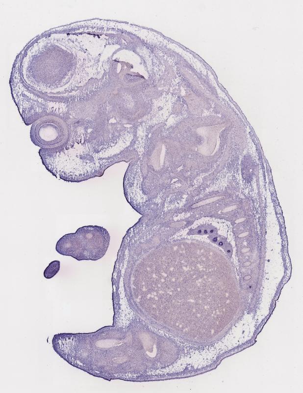
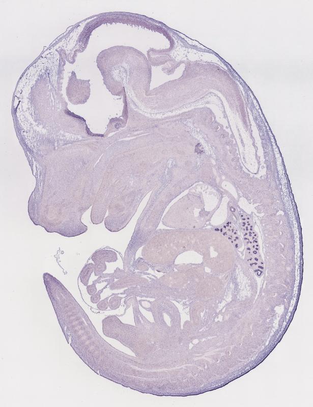
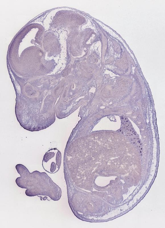
Specimen MH1011; Specimen C1370: embryonic day 14.5 (more )
Structure Level Pattern Image Note
TS22: nervous system Moderate Regionally restricted Embryo_C1370_4_3B
TS22: central nervous system Moderate Regionally restricted Embryo_C1370_4_3B
TS22: telencephalon Moderate Regionally restricted Embryo_C1370_4_3B
TS22: cerebral cortex Absent
TS22: neocortex Absent
TS22: olfactory cortex Absent
TS22: main olfactory bulb Absent
TS22: piriform cortex Absent
TS22: hippocampus Absent
TS22: basal ganglia Moderate Regionally restricted Embryo_C1370_4_3B
TS22: corpus striatum Moderate Regionally restricted Embryo_C1370_4_3B Expression was detected in the corpus striatum (lateral ganglionic eminence).
TS22: basal forebrain Absent
TS22: amygdala Weak Regionally restricted Embryo_C1370_4_2B
TS22: telencephalon septum Moderate Regionally restricted Embryo_C1370_4_4C
TS22: pallidum Moderate Regionally restricted Embryo_C1370_4_3B Expression was detected in the pallidum (medial ganglionic eminence).
TS22: diencephalon Moderate Regionally restricted Embryo_C1370_4_3D
TS22: thalamus Absent
TS22: hypothalamus Moderate Regionally restricted Embryo_C1370_4_3D
TS22: midbrain Weak Regionally restricted Embryo_C1370_4_4B
TS22: pretectum Absent
TS22: superior colliculus Weak Regionally restricted Embryo_C1370_4_4B
TS22: inferior colliculus Weak Regionally restricted Embryo_C1370_4_4B
TS22: midbrain tegmentum Weak Regionally restricted Embryo_C1370_4_4B
TS22: hindbrain Weak Regionally restricted Embryo_C1370_4_4A
TS22: cerebellum Absent
TS22: pons Weak Regionally restricted Embryo_C1370_4_4A
TS22: medulla oblongata Weak Regionally restricted Embryo_C1370_4_4A
TS22: spinal cord Moderate Regionally restricted Embryo_C1370_4_3D
TS22: choroid plexus Absent
TS22: meninges Weak Regionally restricted Embryo_C1370_4_2A
TS22: peripheral nervous system Weak Regionally restricted Embryo_C1370_4_2A
TS22: cranial ganglion Weak Regionally restricted Embryo_C1370_4_2A
TS22: dorsal root ganglion Weak Regionally restricted Embryo_C1370_4_2D
TS22: eye Weak Regionally restricted Embryo_C1370_4_1B
TS22: retina Weak Regionally restricted Embryo_C1370_4_1B
TS22: lens Weak Regionally restricted Embryo_C1370_4_1B
TS22: optic nerve Weak Regionally restricted Embryo_C1370_4_6A
TS22: nose Weak Regionally restricted Embryo_C1370_4_3A
TS22: olfactory epithelium Weak Regionally restricted Embryo_C1370_4_3A
TS22: ear Weak Regionally restricted Embryo_C1370_4_2A
TS22: inner ear Weak Regionally restricted Embryo_C1370_4_2A
TS22: cochlea Weak Regionally restricted Embryo_C1370_4_5B
TS22: inner ear labyrinth Weak Regionally restricted Embryo_C1370_4_2A
TS22: middle ear Absent
TS22: alimentary system Moderate Regionally restricted Embryo_C1370_4_4A Expression was detected in the digestive system.
TS22: intestine Weak Regionally restricted Embryo_C1370_4_4A
TS22: salivary gland Absent
TS22: tongue Moderate Regionally restricted Embryo_C1370_4_4A
TS22: tooth Weak Regionally restricted Embryo_C1370_4_5A
TS22: palatal shelf Weak Regionally restricted Embryo_C1370_4_4B
TS22: esophagus Absent
TS22: stomach Weak Regionally restricted Embryo_C1370_4_6A
TS22: liver Absent
TS22: respiratory system Strong Regionally restricted Embryo_C1370_4_2A
TS22: pharynx Absent
TS22: larynx Weak Regionally restricted Embryo_C1370_4_4A
TS22: trachea Moderate Regionally restricted Embryo_C1370_4_3D
TS22: main bronchus Weak Regionally restricted Embryo_C1370_4_4B
TS22: lung Strong Regionally restricted Embryo_C1370_4_2A
TS22: urinary system Moderate Regionally restricted Embryo_C1370_4_5A Expression was detected in the genito-urinary system.
TS22: metanephros Weak Regionally restricted Embryo_C1370_4_5A
TS22: ureter Absent
TS22: bladder Weak Regionally restricted Embryo_C1370_4_4A
TS22: urethra Absent
TS22: reproductive system Moderate Regionally restricted Embryo_C1370_4_5A
TS22: genital tubercle Moderate Regionally restricted Embryo_C1370_4_5A
TS22: gonad Weak Regionally restricted Embryo_C1370_4_6A
TS22: gland Moderate Regionally restricted Embryo_C1370_4_3B Expression was detected in the endocrine system.
TS22: thyroid gland Moderate Regionally restricted Embryo_C1370_4_3B
TS22: pituitary gland Weak Regionally restricted Embryo_C1370_4_4B
TS22: pancreas Absent
TS22: adrenal gland Absent
TS22: cardiovascular system Weak Regionally restricted Embryo_C1370_4_4D
TS22: heart Weak Regionally restricted Embryo_C1370_4_4B
TS22: heart atrium Weak Regionally restricted Embryo_C1370_4_4B
TS22: heart ventricle Weak Regionally restricted Embryo_C1370_4_4C
TS22: blood vessel Weak Regionally restricted Embryo_C1370_4_4D
TS22: hemolymphoid system Absent Expression was not detected in the immune system.
TS22: spleen primordium Absent
TS22: thymus primordium Absent
TS22: appendicular skeleton Weak Regionally restricted Embryo_C1370_4_2B Expression was weak in the skeleton (limbs, shoulder, hip).
TS22: musculature Absent
TS22: face Moderate Regionally restricted Embryo_C1370_4_3A Expression was detected in the face/soft tissues.
TS22: facial bone primordium Weak Regionally restricted Embryo_C1370_4_5B
TS22: cranium Weak Regionally restricted Embryo_C1370_4_4B Expression was weak in the skull (base and vault).
TS22: axial skeleton Weak Regionally restricted Embryo_C1370_4_1A
TS22: tail Strong Regionally restricted Embryo_C1370_4_5A
TS22: forelimb Strong Regionally restricted Embryo_C1370_4_1A
TS22: hindlimb Strong Regionally restricted Embryo_C1370_4_1A
TS22: integumental system Strong Regionally restricted Embryo_C1370_4_1D
TS22: skin Strong Regionally restricted Embryo_C1370_4_1D
TS22: hair Moderate Regionally restricted Embryo_C1370_4_2A
TS22: vibrissa follicle Moderate Regionally restricted Embryo_C1370_4_2A Expression was detected in whisker follicle.


Contributing Projects:
Mouse Genome Database (MGD), Gene Expression Database (GXD), Mouse Models of Human Cancer database (MMHCdb) (formerly Mouse Tumor Biology (MTB)), Gene Ontology (GO)
Citing These Resources
Funding Information
Warranty Disclaimer, Privacy Notice, Licensing, & Copyright
Send questions and comments to User Support.
last database update
03/31/2026
MGI 6.24
The Jackson Laboratory