About   Help   FAQ
Gene Expression Data
Assay Details
Assay
Reference: J:122989 Visel A, et al., GenePaint.org: an atlas of gene expression patterns in the mouse embryo. Nucleic Acids Res. 2004 Jan 1;32(Database issue):D552-6
Assay type: RNA in situ
MGI Accession ID: MGI:5421384
Gene symbol: Esco2
Gene name: establishment of sister chromatid cohesion N-acetyltransferase 2
Probe: MH996 probe 514
Probe preparation: Antisense labelled with digoxigenin RNA
Visualized with: Alkaline phosphatase
Assay notes: Cryosections of fresh frozen material were fixed in 4% paraformaldehyde for 20 min. before further processing. A tyramide-biotin/streptavidin amplification step was included in the in situ hybridization procedure. These data were downloaded from GenePaint.org on 1/30/12.
Results
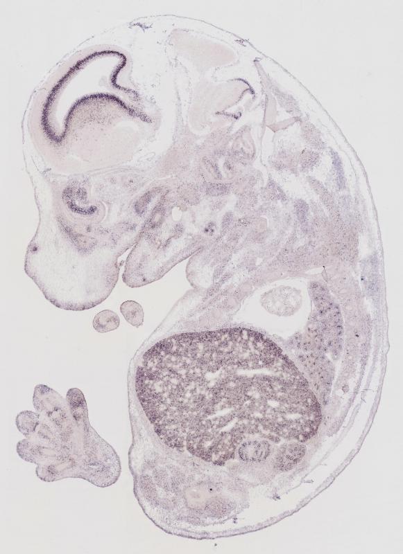
Specimen MH996; Specimen C1344: embryonic day 14.5 (more )
Structure Level Pattern Image Note
TS22: nervous system Strong Regionally restricted Embryo_C1344_1_2D
TS22: central nervous system Strong Regionally restricted Embryo_C1344_1_2D
TS22: telencephalon Strong Regionally restricted Embryo_C1344_1_2D
TS22: cerebral cortex Strong Regionally restricted Embryo_C1344_1_2D
TS22: neocortex Strong Regionally restricted Embryo_C1344_1_2D
TS22: olfactory cortex Strong Regionally restricted Embryo_C1344_1_3A
TS22: main olfactory bulb Strong Regionally restricted Embryo_C1344_1_3A
TS22: piriform cortex Absent
TS22: hippocampus Strong Regionally restricted Embryo_C1344_1_2D
TS22: basal ganglia Strong Regionally restricted Embryo_C1344_1_3B
TS22: corpus striatum Strong Regionally restricted Embryo_C1344_1_2C Expression was strong in the corpus striatum (lateral ganglionic eminence).
TS22: basal forebrain Absent
TS22: amygdala Absent
TS22: telencephalon septum Strong Regionally restricted Embryo_C1344_1_3B
TS22: pallidum Strong Regionally restricted Embryo_C1344_1_3B Expression was strong in the pallidum (medial ganglionic eminence).
TS22: diencephalon Moderate Regionally restricted Embryo_C1344_1_4C
TS22: thalamus Moderate Regionally restricted Embryo_C1344_1_4C
TS22: hypothalamus Moderate Regionally restricted Embryo_C1344_1_4C
TS22: midbrain Strong Regionally restricted Embryo_C1344_1_4B
TS22: pretectum Absent
TS22: superior colliculus Moderate Regionally restricted Embryo_C1344_1_3D
TS22: inferior colliculus Strong Regionally restricted Embryo_C1344_1_4B
TS22: midbrain tegmentum Moderate Regionally restricted Embryo_C1344_1_4B
TS22: hindbrain Strong Regionally restricted Embryo_C1344_1_3A
TS22: cerebellum Moderate Regionally restricted Embryo_C1344_1_4B
TS22: pons Strong Regionally restricted Embryo_C1344_1_3A
TS22: medulla oblongata Weak Regionally restricted Embryo_C1344_1_4C
TS22: spinal cord Moderate Regionally restricted Embryo_C1344_1_4B
TS22: choroid plexus Absent
TS22: meninges Absent
TS22: peripheral nervous system Absent
TS22: cranial ganglion Absent
TS22: dorsal root ganglion Absent
TS22: eye Strong Regionally restricted Embryo_C1344_1_1A
TS22: retina Strong Regionally restricted Embryo_C1344_1_1A
TS22: lens Absent
TS22: optic nerve Moderate Regionally restricted Embryo_C1344_1_2A
TS22: nose Strong Regionally restricted Embryo_C1344_1_2C
TS22: olfactory epithelium Strong Regionally restricted Embryo_C1344_1_2C
TS22: ear Moderate Regionally restricted Embryo_C1344_1_3B
TS22: inner ear Moderate Regionally restricted Embryo_C1344_1_3B
TS22: cochlea Moderate Regionally restricted Embryo_C1344_1_3B
TS22: inner ear labyrinth Weak Regionally restricted Embryo_C1344_1_6B
TS22: middle ear Weak Regionally restricted Embryo_C1344_1_2B
TS22: alimentary system Strong Regionally restricted Embryo_C1344_1_3B Expression was strong in the digestive system.
TS22: intestine Moderate Regionally restricted Embryo_C1344_1_4B
TS22: salivary gland Strong Regionally restricted Embryo_C1344_1_3B
TS22: tongue Weak Regionally restricted Embryo_C1344_1_3C
TS22: tooth Moderate Regionally restricted Embryo_C1344_1_3B
TS22: palatal shelf Weak Regionally restricted Embryo_C1344_1_4D
TS22: esophagus Weak Regionally restricted Embryo_C1344_1_4C
TS22: stomach Weak Regionally restricted Embryo_C1344_1_6B
TS22: liver Moderate Regionally restricted Embryo_C1344_1_6B
TS22: respiratory system Weak Regionally restricted Embryo_C1344_1_5A
TS22: pharynx Weak Regionally restricted Embryo_C1344_1_4B
TS22: larynx Weak Regionally restricted Embryo_C1344_1_4B
TS22: trachea Weak Regionally restricted Embryo_C1344_1_4A
TS22: main bronchus Weak Regionally restricted Embryo_C1344_1_5C
TS22: lung Weak Regionally restricted Embryo_C1344_1_5A
TS22: urinary system Strong Regionally restricted Embryo_C1344_1_6B Expression was strong in the genito-urinary system.
TS22: metanephros Moderate Regionally restricted Embryo_C1344_1_3A
TS22: ureter Absent
TS22: bladder Absent
TS22: urethra Absent
TS22: reproductive system Strong Regionally restricted Embryo_C1344_1_6B
TS22: genital tubercle Weak Regionally restricted Embryo_C1344_1_4B
TS22: gonad Strong Regionally restricted Embryo_C1344_1_6B
TS22: gland Strong Regionally restricted Embryo_C1344_1_3C Expression was strong in the endocrine system.
TS22: thyroid gland Strong Regionally restricted Embryo_C1344_1_3C
TS22: pituitary gland Weak Regionally restricted Embryo_C1344_1_4B
TS22: pancreas Absent
TS22: adrenal gland Weak Regionally restricted Embryo_C1344_1_3A
TS22: cardiovascular system Weak Regionally restricted Embryo_C1344_1_3B
TS22: heart Weak Regionally restricted Embryo_C1344_1_3B
TS22: heart atrium Weak Regionally restricted Embryo_C1344_1_3B
TS22: heart ventricle Weak Regionally restricted Embryo_C1344_1_3D
TS22: blood vessel Absent
TS22: hemolymphoid system Moderate Regionally restricted Embryo_C1344_1_3D Expression was detected in the immune system.
TS22: spleen primordium Absent
TS22: thymus primordium Moderate Regionally restricted Embryo_C1344_1_3D
TS22: appendicular skeleton Weak Regionally restricted Embryo_C1344_1_2A Expression was weak in the skeleton (limbs, shoulder, hip).
TS22: musculature Absent
TS22: face Absent Expression was not detected in the face/soft tissues.
TS22: facial bone primordium Absent
TS22: cranium Absent Expression was not detected in the skull (base and vault).
TS22: axial skeleton Absent
TS22: tail Weak Regionally restricted Embryo_C1344_1_4B
TS22: forelimb Moderate Regionally restricted Embryo_C1344_1_1A
TS22: hindlimb Moderate Regionally restricted Embryo_C1344_1_3C
TS22: integumental system Moderate Regionally restricted
TS22: skin Weak Regionally restricted Embryo_C1344_1_3D
TS22: hair Strong Regionally restricted
TS22: vibrissa follicle Strong Regionally restricted Expression was strong in whisker follicle.


Contributing Projects:
Mouse Genome Database (MGD), Gene Expression Database (GXD), Mouse Models of Human Cancer database (MMHCdb) (formerly Mouse Tumor Biology (MTB)), Gene Ontology (GO)
Citing These Resources
Funding Information
Warranty Disclaimer, Privacy Notice, Licensing, & Copyright
Send questions and comments to User Support.
last database update
01/20/2026
MGI 6.24
The Jackson Laboratory