About   Help   FAQ
Gene Expression Data
Assay Details
Assay
Reference: J:122989 Visel A, et al., GenePaint.org: an atlas of gene expression patterns in the mouse embryo. Nucleic Acids Res. 2004 Jan 1;32(Database issue):D552-6
Assay type: RNA in situ
MGI Accession ID: MGI:5421370
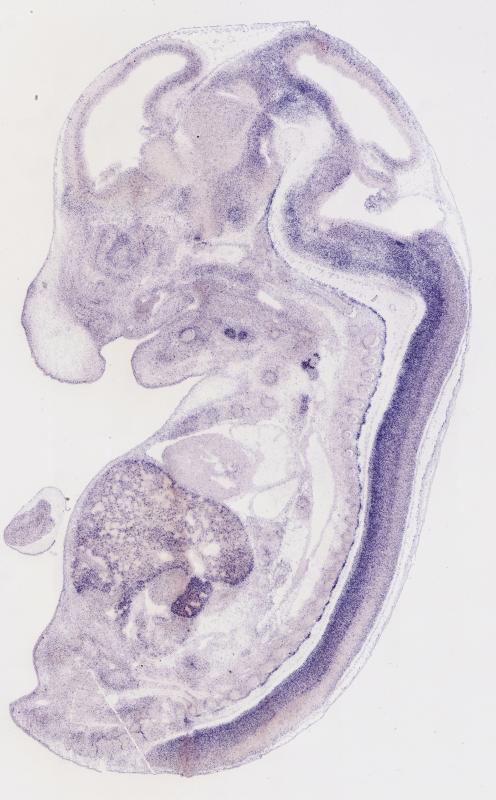
Gene symbol: Pdxk
Gene name: pyridoxal (pyridoxine, vitamin B6) kinase
Probe: MH967 probe 272
Probe preparation: Antisense labelled with digoxigenin RNA
Visualized with: Alkaline phosphatase
Assay notes: Cryosections of fresh frozen material were fixed in 4% paraformaldehyde for 20 min. before further processing. A tyramide-biotin/streptavidin amplification step was included in the in situ hybridization procedure. These data were downloaded from GenePaint.org on 1/30/12.
Results
Specimen MH967; Specimen C1101: embryonic day 14.5 (more )
Structure Level Pattern Image Note
TS22: nervous system Strong Regionally restricted Embryo_C1101_7_3A
TS22: central nervous system Strong Regionally restricted Embryo_C1101_7_3A
TS22: telencephalon Weak Regionally restricted Embryo_C1101_7_3A
TS22: cerebral cortex Weak Regionally restricted Embryo_C1101_7_1C
TS22: neocortex Absent
TS22: olfactory cortex Weak Regionally restricted Embryo_C1101_7_1C
TS22: main olfactory bulb Absent
TS22: piriform cortex Weak Regionally restricted Embryo_C1101_7_1C
TS22: hippocampus Weak Regionally restricted Embryo_C1101_7_5A
TS22: basal ganglia Weak Regionally restricted Embryo_C1101_7_1D
TS22: corpus striatum Absent Expression was not detected in the corpus striatum (lateral ganglionic eminence).
TS22: basal forebrain Absent
TS22: amygdala Weak Regionally restricted Embryo_C1101_7_1D
TS22: telencephalon septum Absent
TS22: pallidum Absent Expression was not detected in the pallidum (medial ganglionic eminence).
TS22: diencephalon Weak Regionally restricted Embryo_C1101_7_3A
TS22: thalamus Absent
TS22: hypothalamus Weak Regionally restricted Embryo_C1101_7_3A
TS22: midbrain Moderate Regionally restricted Embryo_C1101_7_3A
TS22: pretectum Moderate Regionally restricted Embryo_C1101_7_3A
TS22: superior colliculus Weak Regionally restricted Embryo_C1101_7_4A
TS22: inferior colliculus Weak Regionally restricted Embryo_C1101_7_3D
TS22: midbrain tegmentum Moderate Regionally restricted Embryo_C1101_7_3A
TS22: hindbrain Moderate Regionally restricted Embryo_C1101_7_2B
TS22: cerebellum Weak Regionally restricted Embryo_C1101_7_3A
TS22: pons Moderate Regionally restricted Embryo_C1101_7_2B
TS22: medulla oblongata Moderate Regionally restricted Embryo_C1101_7_2B
TS22: spinal cord Strong Regionally restricted Embryo_C1101_7_3A
TS22: choroid plexus Moderate Regionally restricted Embryo_C1101_7_3A
TS22: meninges Moderate Regionally restricted Embryo_C1101_7_1C
TS22: peripheral nervous system Strong Regionally restricted Embryo_C1101_7_4A
TS22: cranial ganglion Absent
TS22: dorsal root ganglion Strong Regionally restricted Embryo_C1101_7_4A
TS22: eye Moderate Regionally restricted Embryo_C1101_7_1A
TS22: retina Moderate Regionally restricted Embryo_C1101_7_1A
TS22: lens Moderate Regionally restricted Embryo_C1101_7_1A
TS22: cornea Absent
TS22: optic nerve Absent
TS22: nose Absent
TS22: olfactory epithelium Absent
TS22: ear Absent
TS22: inner ear Absent
TS22: cochlea Absent
TS22: inner ear labyrinth Absent
TS22: middle ear Absent
TS22: alimentary system Moderate Regionally restricted Embryo_C1101_7_5C Expression was detected in the digestive system.
TS22: intestine Absent
TS22: salivary gland Moderate Regionally restricted Embryo_C1101_7_2C
TS22: tongue Absent
TS22: tooth Weak Regionally restricted Embryo_C1101_7_4C
TS22: palatal shelf Absent
TS22: esophagus Absent
TS22: stomach Absent
TS22: liver Moderate Regionally restricted Embryo_C1101_7_5C
TS22: respiratory system Weak Regionally restricted Embryo_C1101_7_4A
TS22: pharynx Absent
TS22: larynx Absent
TS22: trachea Absent
TS22: main bronchus Absent
TS22: lung Weak Regionally restricted Embryo_C1101_7_4A
TS22: urinary system Moderate Regionally restricted Embryo_C1101_7_2B Expression was detected in the genito-urinary system.
TS22: metanephros Moderate Regionally restricted Embryo_C1101_7_2B
TS22: ureter Absent
TS22: bladder Weak Regionally restricted Embryo_C1101_7_4A
TS22: urethra Absent
TS22: reproductive system Weak Regionally restricted Embryo_C1101_7_4A
TS22: genital tubercle Weak Regionally restricted Embryo_C1101_7_4A
TS22: gonad Absent
TS22: gland Weak Regionally restricted Embryo_C1101_7_2D Expression was weak in the endocrine system.
TS22: thyroid gland Absent
TS22: pituitary gland Absent
TS22: pancreas Weak Regionally restricted Embryo_C1101_7_2D
TS22: adrenal gland Weak Regionally restricted Embryo_C1101_7_2B
TS22: cardiovascular system Absent
TS22: heart Absent
TS22: heart atrium Absent
TS22: heart ventricle Absent
TS22: blood vessel Absent
TS22: hemolymphoid system Strong Regionally restricted Embryo_C1101_7_4A Expression was strong in the immune system.
TS22: spleen primordium Absent
TS22: thymus primordium Strong Regionally restricted Embryo_C1101_7_4A
TS22: appendicular skeleton Absent Expression was not detected in the skeleton (limbs, shoulder, hip).
TS22: musculature Weak Regionally restricted Embryo_C1101_7_1C
TS22: face Absent Expression was not detected in the face/soft tissues.
TS22: facial bone primordium Absent
TS22: cranium Absent Expression was not detected in the skull (base and vault).
TS22: axial skeleton Weak Regionally restricted Embryo_C1101_7_5C
TS22: tail Absent
TS22: forelimb Weak Regionally restricted Embryo_C1101_7_1B
TS22: hindlimb Weak Regionally restricted Embryo_C1101_7_1B
TS22: integumental system Absent
TS22: skin Absent
TS22: hair Absent
TS22: vibrissa follicle Absent Expression was not detected in whisker follicle.


Contributing Projects:
Mouse Genome Database (MGD), Gene Expression Database (GXD), Mouse Models of Human Cancer database (MMHCdb) (formerly Mouse Tumor Biology (MTB)), Gene Ontology (GO)
Citing These Resources
Funding Information
Warranty Disclaimer, Privacy Notice, Licensing, & Copyright
Send questions and comments to User Support.
last database update
12/30/2025
MGI 6.24
The Jackson Laboratory