About   Help   FAQ
Gene Expression Data
Assay Details
Assay
Reference: J:122989 Visel A, et al., GenePaint.org: an atlas of gene expression patterns in the mouse embryo. Nucleic Acids Res. 2004 Jan 1;32(Database issue):D552-6
Assay type: RNA in situ
MGI Accession ID: MGI:5421355
Gene symbol: Srebf1
Gene name: sterol regulatory element binding transcription factor 1
Probe: MH946 probe 831
Probe preparation: Antisense labelled with digoxigenin RNA
Visualized with: Alkaline phosphatase
Assay notes: Cryosections of fresh frozen material were fixed in 4% paraformaldehyde for 20 min. before further processing. A tyramide-biotin/streptavidin amplification step was included in the in situ hybridization procedure. These data were downloaded from GenePaint.org on 1/30/12.
Results
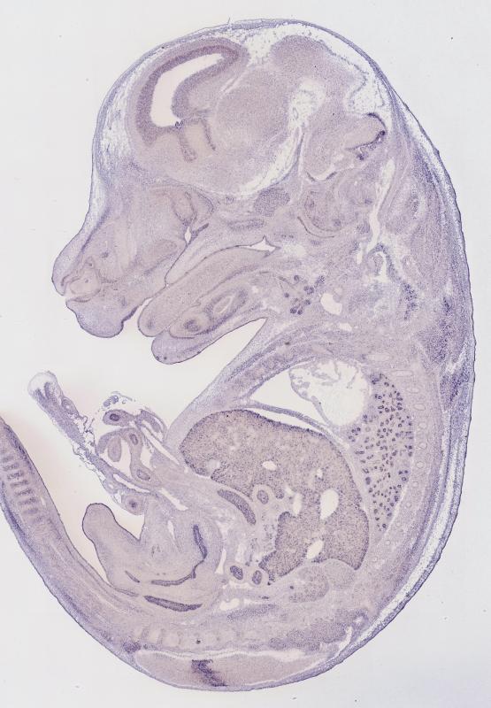
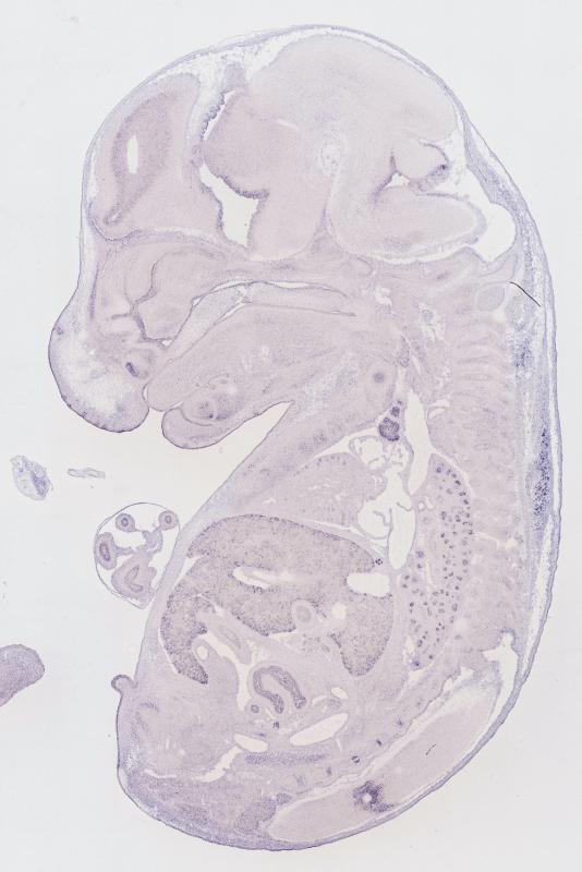
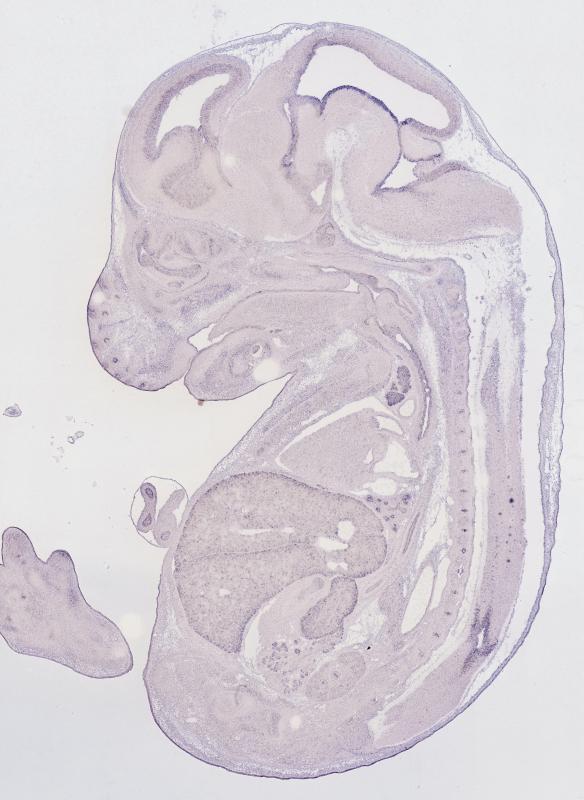
Specimen MH946; Specimen C1413: embryonic day 14.5 (more )
Structure Level Pattern Image Note
TS22: nervous system Moderate Regionally restricted Embryo_C1413_1_4A
TS22: central nervous system Moderate Regionally restricted Embryo_C1413_1_4A
TS22: telencephalon Weak Regionally restricted Embryo_C1413_1_4A
TS22: cerebral cortex Weak Regionally restricted Embryo_C1413_1_4A
TS22: neocortex Weak Regionally restricted Embryo_C1413_1_4A
TS22: olfactory cortex Weak Regionally restricted Embryo_C1413_1_4A
TS22: main olfactory bulb Weak Regionally restricted Embryo_C1413_1_4A
TS22: piriform cortex Absent
TS22: hippocampus Weak Regionally restricted Embryo_C1413_1_2B
TS22: basal ganglia Weak Regionally restricted Embryo_C1413_1_2A
TS22: corpus striatum Weak Regionally restricted Embryo_C1413_1_2A Expression was weak in the corpus striatum (lateral ganglionic eminence).
TS22: basal forebrain Absent
TS22: amygdala Weak Regionally restricted Embryo_C1413_1_2A
TS22: telencephalon septum Weak Regionally restricted Embryo_C1413_1_3D
TS22: pallidum Weak Regionally restricted Embryo_C1413_1_3A Expression was weak in the pallidum (medial ganglionic eminence).
TS22: diencephalon Moderate Regionally restricted Embryo_C1413_1_4A
TS22: thalamus Moderate Regionally restricted Embryo_C1413_1_4A
TS22: hypothalamus Moderate Regionally restricted Embryo_C1413_1_4A
TS22: midbrain Moderate Regionally restricted Embryo_C1413_1_4C
TS22: pretectum Weak Regionally restricted Embryo_C1413_1_4B
TS22: superior colliculus Weak Regionally restricted Embryo_C1413_1_4A
TS22: inferior colliculus Moderate Regionally restricted Embryo_C1413_1_4B
TS22: midbrain tegmentum Moderate Regionally restricted Embryo_C1413_1_4C
TS22: hindbrain Moderate Regionally restricted Embryo_C1413_1_4C
TS22: cerebellum Moderate Regionally restricted Embryo_C1413_1_3C
TS22: pons Moderate Regionally restricted Embryo_C1413_1_4C
TS22: medulla oblongata Moderate Regionally restricted Embryo_C1413_1_5B
TS22: spinal cord Moderate Regionally restricted Embryo_C1413_1_4C
TS22: choroid plexus Weak Regionally restricted Embryo_C1413_1_2D
TS22: meninges Weak Regionally restricted Embryo_C1413_1_2B
TS22: peripheral nervous system Weak Regionally restricted Embryo_C1413_1_6A
TS22: cranial ganglion Weak Regionally restricted Embryo_C1413_1_6A
TS22: dorsal root ganglion Weak Regionally restricted Embryo_C1413_1_6B
TS22: eye Moderate Regionally restricted Embryo_C1413_1_6C
TS22: retina Weak Regionally restricted Embryo_C1413_1_6D
TS22: lens Moderate Regionally restricted Embryo_C1413_1_6C
TS22: cornea Weak Regionally restricted Embryo_C1413_1_6D
TS22: optic nerve Weak Regionally restricted Embryo_C1413_1_3A
TS22: nose Moderate Regionally restricted Embryo_C1413_1_2B
TS22: olfactory epithelium Moderate Regionally restricted Embryo_C1413_1_2B
TS22: ear Moderate Regionally restricted Embryo_C1413_1_2A
TS22: inner ear Moderate Regionally restricted Embryo_C1413_1_2A
TS22: cochlea Moderate Regionally restricted Embryo_C1413_1_5C
TS22: inner ear labyrinth Moderate Regionally restricted Embryo_C1413_1_2A
TS22: middle ear Weak Regionally restricted Embryo_C1413_1_1A
TS22: alimentary system Moderate Regionally restricted Embryo_C1413_1_3A Expression was detected in the digestive system.
TS22: intestine Moderate Regionally restricted Embryo_C1413_1_3A
TS22: salivary gland Moderate Regionally restricted Embryo_C1413_1_2C
TS22: tongue Moderate Regionally restricted Embryo_C1413_1_3A
TS22: tooth Moderate Regionally restricted Embryo_C1413_1_4A
TS22: palatal shelf Moderate Regionally restricted Embryo_C1413_1_3C
TS22: esophagus Weak Regionally restricted Embryo_C1413_1_4C
TS22: stomach Moderate Regionally restricted Embryo_C1413_1_6B
TS22: liver Moderate Regionally restricted Embryo_C1413_1_6C
TS22: respiratory system Moderate Regionally restricted Embryo_C1413_1_2B
TS22: pharynx Weak Regionally restricted Embryo_C1413_1_4B
TS22: larynx Weak Regionally restricted Embryo_C1413_1_4B
TS22: trachea Weak Regionally restricted Embryo_C1413_1_4C
TS22: main bronchus Weak Regionally restricted Embryo_C1413_1_4A
TS22: lung Moderate Regionally restricted Embryo_C1413_1_2B
TS22: urinary system Moderate Regionally restricted Embryo_C1413_1_3A Expression was detected in the genito-urinary system.
TS22: metanephros Weak Regionally restricted Embryo_C1413_1_3A
TS22: ureter Moderate Regionally restricted Embryo_C1413_1_3A
TS22: bladder Moderate Regionally restricted Embryo_C1413_1_3A
TS22: urethra Moderate Regionally restricted Embryo_C1413_1_3A
TS22: reproductive system Moderate Regionally restricted Embryo_C1413_1_3B
TS22: genital tubercle Moderate Regionally restricted Embryo_C1413_1_3B
TS22: gonad Absent
TS22: gland Moderate Regionally restricted Embryo_C1413_1_4A Expression was detected in the endocrine system.
TS22: thyroid gland Weak Regionally restricted Embryo_C1413_1_4A
TS22: pituitary gland Weak Regionally restricted Embryo_C1413_1_4A
TS22: pancreas Moderate Regionally restricted Embryo_C1413_1_4A
TS22: adrenal gland Absent
TS22: cardiovascular system Weak Regionally restricted Embryo_C1413_1_4A
TS22: heart Weak Regionally restricted Embryo_C1413_1_4A
TS22: heart atrium Weak Regionally restricted Embryo_C1413_1_4A
TS22: heart ventricle Absent
TS22: blood vessel Absent
TS22: hemolymphoid system Moderate Regionally restricted Embryo_C1413_1_4A Expression was detected in the immune system.
TS22: spleen primordium Absent
TS22: thymus primordium Moderate Regionally restricted Embryo_C1413_1_4A
TS22: appendicular skeleton Weak Regionally restricted Embryo_C1413_1_5A Expression was weak in the skeleton (limbs, shoulder, hip).
TS22: musculature Strong Regionally restricted Embryo_C1413_1_3C
TS22: face Moderate Regionally restricted Embryo_C1413_1_2A Expression was detected in the face/soft tissues.
TS22: facial bone primordium Weak Regionally restricted Embryo_C1413_1_5B
TS22: cranium Weak Regionally restricted Embryo_C1413_1_4C Expression was weak in the skull (base and vault).
TS22: axial skeleton Strong Regionally restricted Embryo_C1413_1_5A
TS22: tail Strong Regionally restricted Embryo_C1413_1_2C
TS22: forelimb Moderate Regionally restricted Embryo_C1413_1_6C
TS22: hindlimb Moderate Regionally restricted Embryo_C1413_1_1A
TS22: integumental system Moderate Regionally restricted Embryo_C1413_1_2C
TS22: skin Moderate Regionally restricted Embryo_C1413_1_2C
TS22: hair Moderate Regionally restricted Embryo_C1413_1_1A
TS22: vibrissa follicle Moderate Regionally restricted Embryo_C1413_1_1A Expression was detected in whisker follicle.


Contributing Projects:
Mouse Genome Database (MGD), Gene Expression Database (GXD), Mouse Models of Human Cancer database (MMHCdb) (formerly Mouse Tumor Biology (MTB)), Gene Ontology (GO)
Citing These Resources
Funding Information
Warranty Disclaimer, Privacy Notice, Licensing, & Copyright
Send questions and comments to User Support.
last database update
04/14/2026
MGI 6.24
The Jackson Laboratory