About   Help   FAQ
Gene Expression Data
Assay Details
Assay
Reference: J:122989 Visel A, et al., GenePaint.org: an atlas of gene expression patterns in the mouse embryo. Nucleic Acids Res. 2004 Jan 1;32(Database issue):D552-6
Assay type: RNA in situ
MGI Accession ID: MGI:5421347
Gene symbol: Ezr
Gene name: ezrin
Probe: MH937 probe 627
Probe preparation: Antisense labelled with digoxigenin RNA
Visualized with: Alkaline phosphatase
Assay notes: Cryosections of fresh frozen material were fixed in 4% paraformaldehyde for 20 min. before further processing. A tyramide-biotin/streptavidin amplification step was included in the in situ hybridization procedure. These data were downloaded from GenePaint.org on 1/30/12.
Results
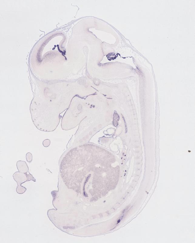
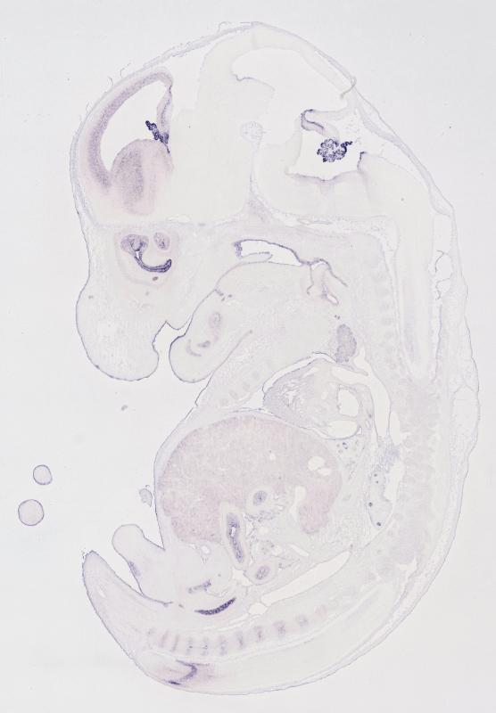
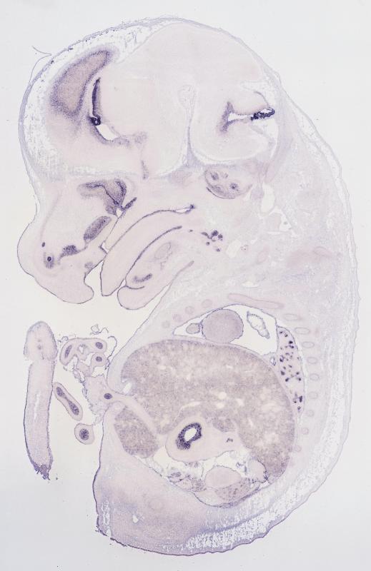
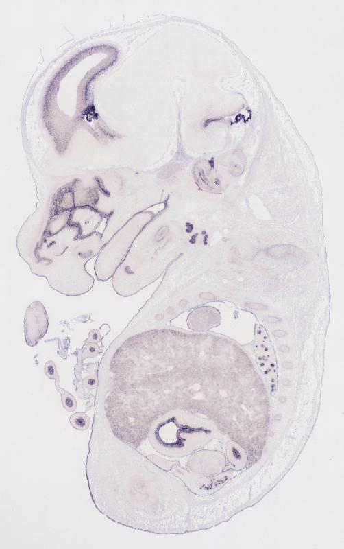
Specimen MH937; Specimen C1417: embryonic day 14.5 (more )
Structure Level Pattern Image Note
TS22: nervous system Strong Regionally restricted Embryo_C1417_6_3B
TS22: central nervous system Strong Regionally restricted Embryo_C1417_6_3B
TS22: telencephalon Moderate Regionally restricted Embryo_C1417_6_4B
TS22: cerebral cortex Moderate Regionally restricted Embryo_C1417_6_4B
TS22: neocortex Moderate Regionally restricted Embryo_C1417_6_4B
TS22: olfactory cortex Weak Regionally restricted Embryo_C1417_6_4B
TS22: main olfactory bulb Weak Regionally restricted Embryo_C1417_6_4B
TS22: piriform cortex Absent
TS22: hippocampus Moderate Regionally restricted Embryo_C1417_6_4B
TS22: basal ganglia Moderate Regionally restricted Embryo_C1417_6_6D
TS22: corpus striatum Moderate Regionally restricted Embryo_C1417_6_6D Expression was detected in the corpus striatum (lateral ganglionic eminence).
TS22: basal forebrain Absent
TS22: amygdala Weak Regionally restricted Embryo_C1417_6_6D
TS22: telencephalon septum Moderate Regionally restricted Embryo_C1417_6_5B
TS22: pallidum Moderate Regionally restricted Embryo_C1417_6_4B Expression was detected in the pallidum (medial ganglionic eminence).
TS22: diencephalon Strong Regionally restricted Embryo_C1417_6_4C
TS22: thalamus Weak Regionally restricted Embryo_C1417_6_4D
TS22: hypothalamus Moderate Regionally restricted Embryo_C1417_6_4B
TS22: midbrain Moderate Regionally restricted Embryo_C1417_6_3B
TS22: pretectum Absent
TS22: superior colliculus Absent
TS22: inferior colliculus Weak Regionally restricted Embryo_C1417_6_4B
TS22: midbrain tegmentum Moderate Regionally restricted Embryo_C1417_6_3B
TS22: hindbrain Moderate Regionally restricted Embryo_C1417_6_3A
TS22: cerebellum Moderate Regionally restricted Embryo_C1417_6_3D
TS22: pons Moderate Regionally restricted Embryo_C1417_6_2C
TS22: medulla oblongata Moderate Regionally restricted Embryo_C1417_6_3A
TS22: spinal cord Strong Regionally restricted Embryo_C1417_6_2D
TS22: choroid plexus Strong Regionally restricted Embryo_C1417_6_3B
TS22: meninges Absent
TS22: peripheral nervous system Absent
TS22: cranial ganglion Absent
TS22: dorsal root ganglion Absent
TS22: eye Strong Regionally restricted Embryo_C1417_6_1D
TS22: retina Moderate Regionally restricted Embryo_C1417_6_2C
TS22: lens Strong Regionally restricted Embryo_C1417_6_1D
TS22: cornea Absent
TS22: optic nerve Weak Regionally restricted Embryo_C1417_6_3A
TS22: nose Strong Regionally restricted Embryo_C1417_6_6B
TS22: olfactory epithelium Strong Regionally restricted Embryo_C1417_6_6B
TS22: ear Strong Regionally restricted Embryo_C1417_6_5C
TS22: inner ear Strong Regionally restricted Embryo_C1417_6_5C
TS22: cochlea Strong Regionally restricted Embryo_C1417_6_5C
TS22: inner ear labyrinth Weak Regionally restricted Embryo_C1417_6_6B
TS22: middle ear Moderate Regionally restricted
TS22: alimentary system Strong Regionally restricted Embryo_C1417_6_4A Expression was strong in the digestive system.
TS22: intestine Strong Regionally restricted Embryo_C1417_6_4A
TS22: salivary gland Strong Regionally restricted Embryo_C1417_6_5C
TS22: tongue Moderate Regionally restricted Embryo_C1417_6_5B
TS22: tooth Moderate Regionally restricted Embryo_C1417_6_4A
TS22: palatal shelf Weak Regionally restricted Embryo_C1417_6_5A
TS22: esophagus Moderate Regionally restricted Embryo_C1417_6_3C
TS22: stomach Strong Regionally restricted Embryo_C1417_6_5C
TS22: liver Weak Regionally restricted
TS22: respiratory system Strong Regionally restricted Embryo_C1417_6_4A
TS22: pharynx Strong Regionally restricted Embryo_C1417_6_3C
TS22: larynx Moderate Regionally restricted Embryo_C1417_6_3C
TS22: trachea Moderate Regionally restricted Embryo_C1417_6_3B
TS22: main bronchus Moderate Regionally restricted Embryo_C1417_6_3C
TS22: lung Strong Regionally restricted Embryo_C1417_6_4A
TS22: urinary system Strong Regionally restricted Embryo_C1417_6_4A Expression was strong in the genito-urinary system.
TS22: metanephros Strong Regionally restricted Embryo_C1417_6_5A
TS22: ureter Moderate Regionally restricted Embryo_C1417_6_4B
TS22: bladder Strong Regionally restricted Embryo_C1417_6_4A
TS22: urethra Strong Regionally restricted Embryo_C1417_6_4A
TS22: reproductive system Strong Regionally restricted Embryo_C1417_6_3C
TS22: genital tubercle Strong Regionally restricted Embryo_C1417_6_3C
TS22: gonad Absent
TS22: gland Moderate Regionally restricted Embryo_C1417_6_4A Expression was detected in the endocrine system.
TS22: thyroid gland Moderate Regionally restricted Embryo_C1417_6_4A
TS22: pituitary gland Moderate Regionally restricted Embryo_C1417_6_4A
TS22: pancreas Weak Regionally restricted Embryo_C1417_6_5A
TS22: adrenal gland Absent
TS22: cardiovascular system Moderate Regionally restricted Embryo_C1417_6_3B
TS22: heart Moderate Regionally restricted Embryo_C1417_6_3B
TS22: heart atrium Moderate Regionally restricted Embryo_C1417_6_3B
TS22: heart ventricle Moderate Regionally restricted Embryo_C1417_6_5B
TS22: blood vessel Absent
TS22: hemolymphoid system Moderate Regionally restricted Embryo_C1417_6_4A Expression was detected in the immune system.
TS22: spleen primordium Moderate Regionally restricted Embryo_C1417_6_6B
TS22: thymus primordium Moderate Regionally restricted Embryo_C1417_6_4A
TS22: appendicular skeleton Weak Regionally restricted Expression was weak in the skeleton (limbs, shoulder, hip).
TS22: musculature Absent
TS22: face Absent Expression was not detected in the face/soft tissues.
TS22: facial bone primordium Weak Regionally restricted Embryo_C1417_6_5C
TS22: cranium Absent Expression was not detected in the skull (base and vault).
TS22: axial skeleton Weak Regionally restricted
TS22: tail Moderate Regionally restricted Embryo_C1417_6_4B
TS22: forelimb Moderate Regionally restricted Embryo_C1417_6_6C
TS22: hindlimb Moderate Regionally restricted Embryo_C1417_6_6C
TS22: integumental system Moderate Regionally restricted Embryo_C1417_6_4B
TS22: skin Moderate Regionally restricted Embryo_C1417_6_4B
TS22: hair Moderate Regionally restricted Embryo_C1417_6_2D
TS22: vibrissa follicle Moderate Regionally restricted Embryo_C1417_6_2D Expression was detected in whisker follicle.


Contributing Projects:
Mouse Genome Database (MGD), Gene Expression Database (GXD), Mouse Models of Human Cancer database (MMHCdb) (formerly Mouse Tumor Biology (MTB)), Gene Ontology (GO)
Citing These Resources
Funding Information
Warranty Disclaimer, Privacy Notice, Licensing, & Copyright
Send questions and comments to User Support.
last database update
03/31/2026
MGI 6.24
The Jackson Laboratory