About   Help   FAQ
Gene Expression Data
Assay Details
Assay
Reference: J:122989 Visel A, et al., GenePaint.org: an atlas of gene expression patterns in the mouse embryo. Nucleic Acids Res. 2004 Jan 1;32(Database issue):D552-6
Assay type: RNA in situ
MGI Accession ID: MGI:5421336
Gene symbol: Gpr101
Gene name: G protein-coupled receptor 101
Probe: MH922 probe 803
Probe preparation: Antisense labelled with digoxigenin RNA
Visualized with: Alkaline phosphatase
Assay notes: Cryosections of fresh frozen material were fixed in 4% paraformaldehyde for 20 min. before further processing. A tyramide-biotin/streptavidin amplification step was included in the in situ hybridization procedure. These data were downloaded from GenePaint.org on 1/30/12.
Results
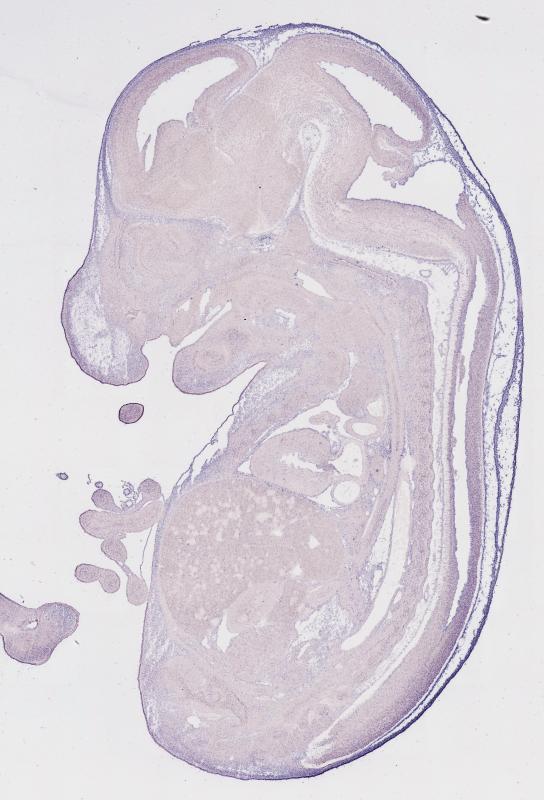
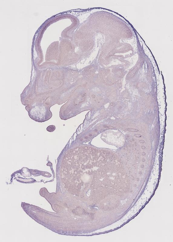
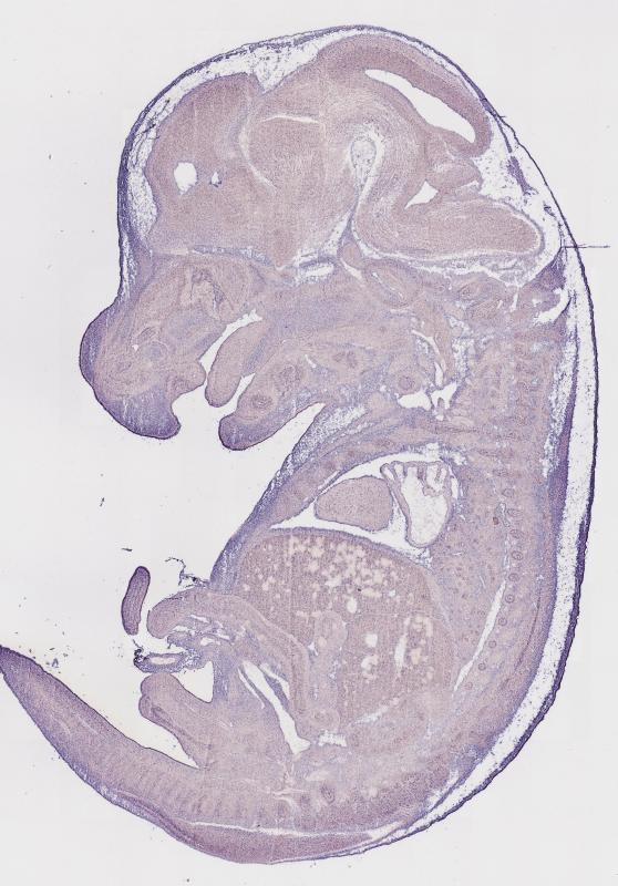
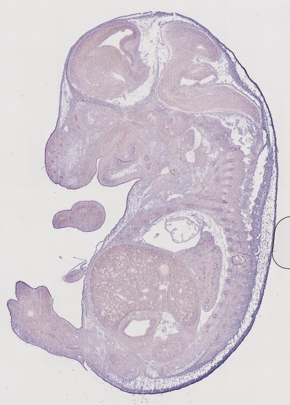
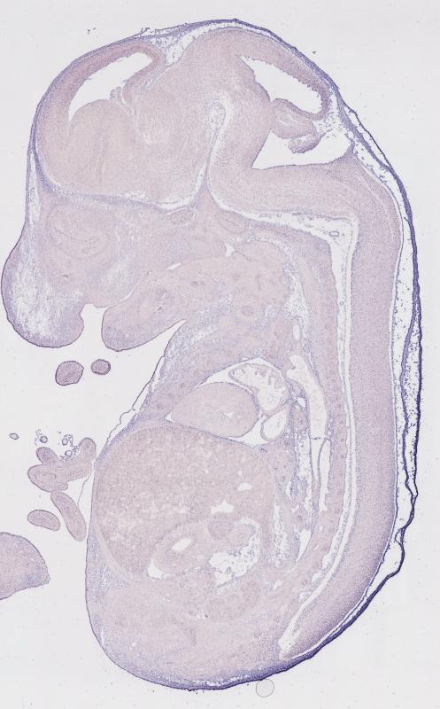
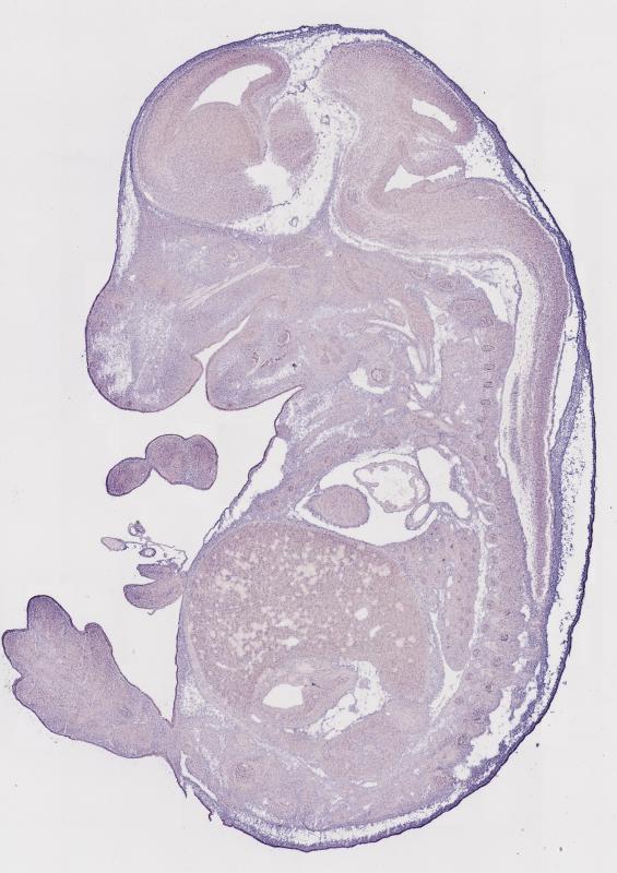
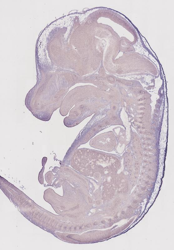
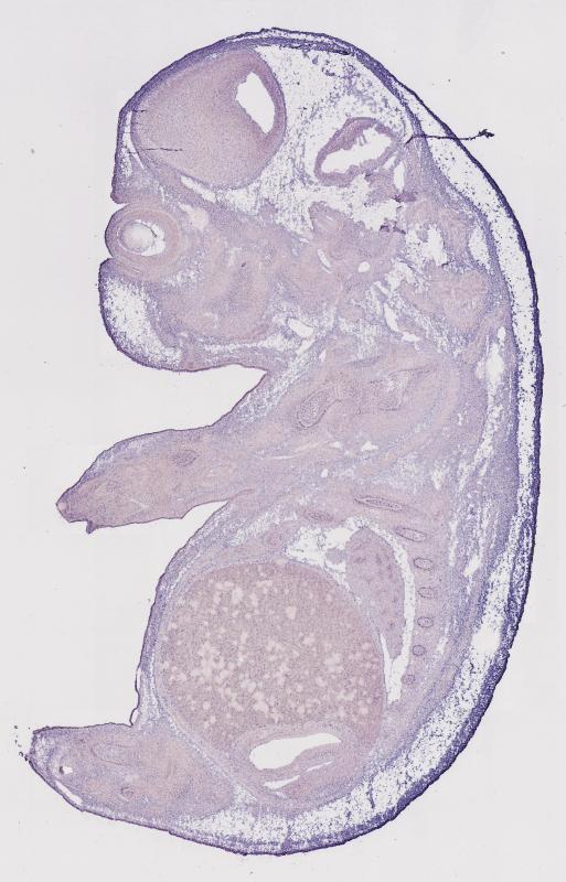
Specimen MH922; Specimen C1368: embryonic day 14.5 (more )
Structure Level Pattern Image Note
TS22: nervous system Strong Regionally restricted Embryo_C1368_2_4B
TS22: central nervous system Strong Regionally restricted Embryo_C1368_2_4B
TS22: telencephalon Moderate Regionally restricted Embryo_C1368_2_2D
TS22: cerebral cortex Moderate Regionally restricted Embryo_C1368_2_1D
TS22: neocortex Moderate Regionally restricted Embryo_C1368_2_2D
TS22: olfactory cortex Weak Regionally restricted Embryo_C1368_2_2D
TS22: main olfactory bulb Weak Regionally restricted Embryo_C1368_2_2C
TS22: piriform cortex Weak Regionally restricted Embryo_C1368_2_2D
TS22: hippocampus Weak Regionally restricted Embryo_C1368_2_4D
TS22: basal ganglia Weak Regionally restricted Embryo_C1368_2_2C
TS22: corpus striatum Weak Regionally restricted Embryo_C1368_2_1D Expression was weak in the corpus striatum (lateral ganglionic eminence).
TS22: basal forebrain Absent
TS22: amygdala Absent
TS22: telencephalon septum Weak Regionally restricted Embryo_C1368_2_2C
TS22: pallidum Weak Regionally restricted Embryo_C1368_2_2C Expression was weak in the pallidum (medial ganglionic eminence).
TS22: diencephalon Weak Regionally restricted Embryo_C1368_2_3A
TS22: thalamus Weak Regionally restricted Embryo_C1368_2_3A
TS22: hypothalamus Weak Regionally restricted Embryo_C1368_2_3D
TS22: midbrain Moderate Regionally restricted Embryo_C1368_2_4B
TS22: pretectum Moderate Regionally restricted Embryo_C1368_2_3D
TS22: superior colliculus Moderate Regionally restricted Embryo_C1368_2_3C
TS22: inferior colliculus Moderate Regionally restricted Embryo_C1368_2_3D
TS22: midbrain tegmentum Moderate Regionally restricted Embryo_C1368_2_3D
TS22: hindbrain Weak Regionally restricted Embryo_C1368_2_5B
TS22: cerebellum Weak Regionally restricted Embryo_C1368_2_4D
TS22: pons Weak Regionally restricted Embryo_C1368_2_5B
TS22: medulla oblongata Weak Regionally restricted Embryo_C1368_2_5B
TS22: spinal cord Moderate Regionally restricted Embryo_C1368_2_4C
TS22: choroid plexus Weak Regionally restricted Embryo_C1368_2_4B
TS22: meninges Strong Regionally restricted Embryo_C1368_2_4B
TS22: peripheral nervous system Weak Regionally restricted Embryo_C1368_2_5B
TS22: cranial ganglion Weak Regionally restricted Embryo_C1368_2_5B
TS22: dorsal root ganglion Weak Regionally restricted Embryo_C1368_2_5B
TS22: eye Strong Regionally restricted Embryo_C1368_2_6C
TS22: retina Weak Regionally restricted Embryo_C1368_2_6C
TS22: lens Weak Regionally restricted Embryo_C1368_2_6C
TS22: cornea Strong Regionally restricted Embryo_C1368_2_6C
TS22: nose Weak Regionally restricted Embryo_C1368_2_2D
TS22: olfactory epithelium Weak Regionally restricted Embryo_C1368_2_2D
TS22: ear Absent
TS22: inner ear Absent
TS22: cochlea Absent
TS22: inner ear labyrinth Absent
TS22: middle ear Absent
TS22: alimentary system Weak Regionally restricted Embryo_C1368_2_2D Expression was weak in the digestive system.
TS22: intestine Weak Regionally restricted Embryo_C1368_2_4B
TS22: salivary gland Weak Regionally restricted Embryo_C1368_2_2D
TS22: tongue Absent
TS22: tooth Weak Regionally restricted Embryo_C1368_2_3B
TS22: palatal shelf Absent
TS22: esophagus Absent
TS22: stomach Absent
TS22: liver Absent
TS22: respiratory system Weak Regionally restricted Embryo_C1368_2_2A
TS22: pharynx Absent
TS22: larynx Absent
TS22: trachea Absent
TS22: main bronchus Absent
TS22: lung Weak Regionally restricted Embryo_C1368_2_2A
TS22: urinary system Weak Regionally restricted Embryo_C1368_2_3C Expression was weak in the genito-urinary system.
TS22: metanephros Absent
TS22: ureter Absent
TS22: bladder Absent
TS22: urethra Absent
TS22: reproductive system Weak Regionally restricted Embryo_C1368_2_3C
TS22: genital tubercle Weak Regionally restricted Embryo_C1368_2_3C
TS22: gonad Absent
TS22: gland Absent Expression was not detected in the endocrine system.
TS22: thyroid gland Absent
TS22: pituitary gland Absent
TS22: pancreas Absent
TS22: adrenal gland Absent
TS22: cardiovascular system Weak Regionally restricted Embryo_C1368_2_4B
TS22: heart Weak Regionally restricted Embryo_C1368_2_4B
TS22: heart atrium Weak Regionally restricted Embryo_C1368_2_4B
TS22: heart ventricle Weak Regionally restricted Embryo_C1368_2_4B
TS22: blood vessel Weak Regionally restricted Embryo_C1368_2_4C
TS22: hemolymphoid system Weak Regionally restricted Embryo_C1368_2_4B Expression was weak in the immune system.
TS22: spleen primordium Absent
TS22: thymus primordium Weak Regionally restricted Embryo_C1368_2_4B
TS22: appendicular skeleton Weak Regionally restricted Embryo_C1368_2_5C Expression was weak in the skeleton (limbs, shoulder, hip).
TS22: musculature Weak Regionally restricted Embryo_C1368_2_2C
TS22: face Strong Regionally restricted Embryo_C1368_2_2D Expression was strong in the face/soft tissues.
TS22: facial bone primordium Weak Regionally restricted Embryo_C1368_2_2D
TS22: cranium Weak Regionally restricted Embryo_C1368_2_2A Expression was weak in the skull (base and vault).
TS22: axial skeleton Weak Regionally restricted Embryo_C1368_2_3D
TS22: tail Weak Regionally restricted Embryo_C1368_2_3C
TS22: forelimb Moderate Regionally restricted Embryo_C1368_2_1C
TS22: hindlimb Moderate Regionally restricted Embryo_C1368_2_1C
TS22: integumental system Strong Regionally restricted Embryo_C1368_2_5C
TS22: skin Strong Regionally restricted Embryo_C1368_2_5C
TS22: hair Weak Regionally restricted Embryo_C1368_2_5C
TS22: vibrissa follicle Weak Regionally restricted Embryo_C1368_2_5C Expression was weak in whisker follicle.


Contributing Projects:
Mouse Genome Database (MGD), Gene Expression Database (GXD), Mouse Models of Human Cancer database (MMHCdb) (formerly Mouse Tumor Biology (MTB)), Gene Ontology (GO)
Citing These Resources
Funding Information
Warranty Disclaimer, Privacy Notice, Licensing, & Copyright
Send questions and comments to User Support.
last database update
12/30/2025
MGI 6.24
The Jackson Laboratory