About   Help   FAQ
Gene Expression Data
Assay Details
Assay
Reference: J:122989 Visel A, et al., GenePaint.org: an atlas of gene expression patterns in the mouse embryo. Nucleic Acids Res. 2004 Jan 1;32(Database issue):D552-6
Assay type: RNA in situ
MGI Accession ID: MGI:5421325
Gene symbol: Ywhag
Gene name: tyrosine 3-monooxygenase/tryptophan 5-monooxygenase activation protein, gamma polypeptide
Probe: MH888 probe 780
Probe preparation: Antisense labelled with digoxigenin RNA
Visualized with: Alkaline phosphatase
Assay notes: Cryosections of fresh frozen material were fixed in 4% paraformaldehyde for 20 min. before further processing. A tyramide-biotin/streptavidin amplification step was included in the in situ hybridization procedure. These data were downloaded from GenePaint.org on 1/30/12.
Results
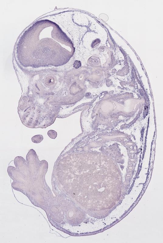
Specimen MH888; Specimen C1330: embryonic day 14.5 (more )
Structure Level Pattern Image Note
TS22: nervous system Strong Regionally restricted Embryo_C1330_4_3C
TS22: central nervous system Strong Regionally restricted Embryo_C1330_4_3C
TS22: telencephalon Strong Regionally restricted Embryo_C1330_4_1A
TS22: cerebral cortex Strong Regionally restricted Embryo_C1330_4_1A
TS22: neocortex Strong Regionally restricted Embryo_C1330_4_5B
TS22: olfactory cortex Moderate Regionally restricted Embryo_C1330_4_3D
TS22: main olfactory bulb Moderate Regionally restricted Embryo_C1330_4_3D
TS22: piriform cortex Moderate Regionally restricted Embryo_C1330_4_1A
TS22: hippocampus Strong Regionally restricted Embryo_C1330_4_1A
TS22: basal ganglia Moderate Regionally restricted Embryo_C1330_4_2B
TS22: corpus striatum Weak Regionally restricted Embryo_C1330_4_6B Expression was weak in the corpus striatum (lateral ganglionic eminence).
TS22: basal forebrain Weak Regionally restricted Embryo_C1330_4_2C
TS22: amygdala Moderate Regionally restricted Embryo_C1330_4_6A
TS22: telencephalon septum Moderate Regionally restricted Embryo_C1330_4_3D
TS22: pallidum Weak Regionally restricted Embryo_C1330_4_2D Expression was weak in the pallidum (medial ganglionic eminence).
TS22: diencephalon Moderate Regionally restricted Embryo_C1330_4_3D
TS22: thalamus Moderate Regionally restricted Embryo_C1330_4_2A
TS22: hypothalamus Moderate Regionally restricted Embryo_C1330_4_3D
TS22: midbrain Strong Regionally restricted Embryo_C1330_4_3C
TS22: pretectum Strong Regionally restricted Embryo_C1330_4_3C
TS22: superior colliculus Strong Regionally restricted Embryo_C1330_4_3C
TS22: inferior colliculus Strong Regionally restricted Embryo_C1330_4_3C
TS22: midbrain tegmentum Moderate Regionally restricted Embryo_C1330_4_3B
TS22: hindbrain Strong Regionally restricted Embryo_C1330_4_3A
TS22: cerebellum Strong Regionally restricted Embryo_C1330_4_2A
TS22: pons Strong Regionally restricted Embryo_C1330_4_6B
TS22: medulla oblongata Strong Regionally restricted Embryo_C1330_4_3A
TS22: spinal cord Strong Regionally restricted Embryo_C1330_4_3C
TS22: choroid plexus Weak Regionally restricted Embryo_C1330_4_2B
TS22: meninges Moderate Regionally restricted Embryo_C1330_4_6B
TS22: peripheral nervous system Strong Regionally restricted Embryo_C1330_4_3A
TS22: cranial ganglion Strong Regionally restricted Embryo_C1330_4_5B
TS22: dorsal root ganglion Strong Regionally restricted Embryo_C1330_4_3A
TS22: eye Strong Regionally restricted Embryo_C1330_4_6B
TS22: retina Strong Regionally restricted Embryo_C1330_4_6B
TS22: lens Weak Regionally restricted Embryo_C1330_4_6D
TS22: cornea Weak Regionally restricted Embryo_C1330_4_6D
TS22: optic nerve Weak Regionally restricted Embryo_C1330_4_2B
TS22: nose Weak Regionally restricted Embryo_C1330_4_2B
TS22: olfactory epithelium Weak Regionally restricted Embryo_C1330_4_2B
TS22: ear Moderate Regionally restricted Embryo_C1330_4_2C
TS22: inner ear Moderate Regionally restricted Embryo_C1330_4_2C
TS22: cochlea Moderate Regionally restricted Embryo_C1330_4_2C
TS22: inner ear labyrinth Weak Regionally restricted Embryo_C1330_4_1B
TS22: middle ear Weak Regionally restricted Embryo_C1330_4_1B
TS22: alimentary system Strong Regionally restricted Embryo_C1330_4_3A Expression was strong in the digestive system.
TS22: intestine Strong Scattered Embryo_C1330_4_3A
TS22: salivary gland Moderate Regionally restricted Embryo_C1330_4_5A
TS22: tongue Moderate Regionally restricted Embryo_C1330_4_3B
TS22: tooth Weak Regionally restricted Embryo_C1330_4_3A
TS22: palatal shelf Moderate Regionally restricted Embryo_C1330_4_3B
TS22: esophagus Weak Regionally restricted Embryo_C1330_4_4A
TS22: stomach Strong Scattered Embryo_C1330_4_6A
TS22: liver Moderate Regionally restricted Embryo_C1330_4_6A
TS22: respiratory system Strong Regionally restricted Embryo_C1330_4_5A
TS22: pharynx Weak Regionally restricted Embryo_C1330_4_3C
TS22: larynx Weak Regionally restricted Embryo_C1330_4_3C
TS22: trachea Weak Regionally restricted Embryo_C1330_4_4A
TS22: main bronchus Weak Regionally restricted Embryo_C1330_4_4B
TS22: lung Strong Regionally restricted Embryo_C1330_4_5A
TS22: urinary system Moderate Regionally restricted Embryo_C1330_4_3B Expression was detected in the genito-urinary system.
TS22: metanephros Moderate Regionally restricted Embryo_C1330_4_5C
TS22: ureter Absent
TS22: bladder Weak Regionally restricted Embryo_C1330_4_3C
TS22: urethra Weak Regionally restricted Embryo_C1330_4_3C
TS22: reproductive system Moderate Regionally restricted Embryo_C1330_4_3B
TS22: genital tubercle Moderate Regionally restricted Embryo_C1330_4_3B
TS22: gonad Weak Regionally restricted Embryo_C1330_4_6B
TS22: gland Moderate Regionally restricted Embryo_C1330_4_5B Expression was detected in the endocrine system.
TS22: thyroid gland Weak Regionally restricted Embryo_C1330_4_3B
TS22: pituitary gland Weak Regionally restricted Embryo_C1330_4_3B
TS22: pancreas Weak Regionally restricted Embryo_C1330_4_5A
TS22: adrenal gland Moderate Regionally restricted Embryo_C1330_4_5B
TS22: cardiovascular system Moderate Regionally restricted Embryo_C1330_4_5A
TS22: heart Weak Regionally restricted Embryo_C1330_4_3C
TS22: heart atrium Weak Regionally restricted Embryo_C1330_4_3C
TS22: heart ventricle Weak Regionally restricted Embryo_C1330_4_3B
TS22: blood vessel Moderate Regionally restricted Embryo_C1330_4_5A
TS22: hemolymphoid system Weak Regionally restricted Embryo_C1330_4_3B Expression was weak in the immune system.
TS22: spleen primordium Weak Regionally restricted Embryo_C1330_4_6C
TS22: thymus primordium Weak Regionally restricted Embryo_C1330_4_3B
TS22: appendicular skeleton Weak Regionally restricted Embryo_C1330_4_2C Expression was weak in the skeleton (limbs, shoulder, hip).
TS22: musculature Moderate Regionally restricted Embryo_C1330_4_6B
TS22: face Moderate Regionally restricted Embryo_C1330_4_5B Expression was detected in the face/soft tissues.
TS22: facial bone primordium Absent
TS22: cranium Absent Expression was not detected in the skull (base and vault).
TS22: axial skeleton Moderate Regionally restricted Embryo_C1330_4_1A
TS22: tail Moderate Regionally restricted Embryo_C1330_4_4C
TS22: forelimb Moderate Regionally restricted Embryo_C1330_4_6B
TS22: hindlimb Moderate Regionally restricted Embryo_C1330_4_6B
TS22: integumental system Moderate Regionally restricted Embryo_C1330_4_1B
TS22: skin Moderate Regionally restricted Embryo_C1330_4_5B
TS22: hair Moderate Regionally restricted Embryo_C1330_4_1B
TS22: vibrissa follicle Moderate Regionally restricted Embryo_C1330_4_1B Expression was detected in whisker follicle.


Contributing Projects:
Mouse Genome Database (MGD), Gene Expression Database (GXD), Mouse Models of Human Cancer database (MMHCdb) (formerly Mouse Tumor Biology (MTB)), Gene Ontology (GO)
Citing These Resources
Funding Information
Warranty Disclaimer, Privacy Notice, Licensing, & Copyright
Send questions and comments to User Support.
last database update
04/14/2026
MGI 6.24
The Jackson Laboratory