About   Help   FAQ
Gene Expression Data
Assay Details
Assay
Reference: J:122989 Visel A, et al., GenePaint.org: an atlas of gene expression patterns in the mouse embryo. Nucleic Acids Res. 2004 Jan 1;32(Database issue):D552-6
Assay type: RNA in situ
MGI Accession ID: MGI:5421323
Gene symbol: Slc32a1
Gene name: solute carrier family 32 (GABA vesicular transporter), member 1
Probe: MH885 probe 768
Probe preparation: Antisense labelled with digoxigenin RNA
Visualized with: Alkaline phosphatase
Assay notes: Cryosections of fresh frozen material were fixed in 4% paraformaldehyde for 20 min. before further processing. A tyramide-biotin/streptavidin amplification step was included in the in situ hybridization procedure. These data were downloaded from GenePaint.org on 1/30/12.
Results
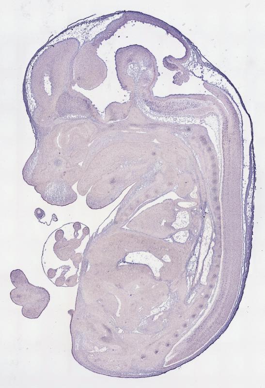
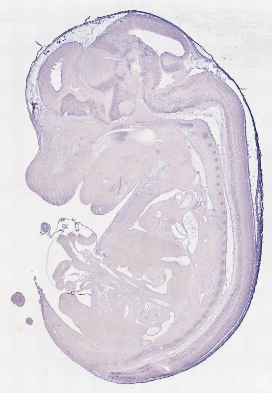
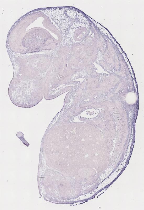
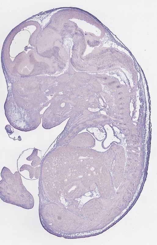
Specimen MH885; Specimen C1376: embryonic day 14.5 (more )
Structure Level Pattern Image Note
TS22: nervous system Moderate Regionally restricted Embryo_C1376_2_4A
TS22: central nervous system Moderate Regionally restricted Embryo_C1376_2_4A
TS22: telencephalon Moderate Regionally restricted Embryo_C1376_2_2B
TS22: cerebral cortex Moderate Regionally restricted Embryo_C1376_2_4D
TS22: neocortex Moderate Regionally restricted Embryo_C1376_2_4D
TS22: olfactory cortex Weak Regionally restricted Embryo_C1376_2_3A
TS22: main olfactory bulb Weak Regionally restricted Embryo_C1376_2_3A
TS22: piriform cortex Weak Regionally restricted Embryo_C1376_2_1D
TS22: hippocampus Moderate Regionally restricted Embryo_C1376_2_2B
TS22: basal ganglia Moderate Regionally restricted Embryo_C1376_2_3A
TS22: corpus striatum Moderate Regionally restricted Embryo_C1376_2_2B Expression was detected in the corpus striatum (lateral ganglionic eminence).
TS22: basal forebrain Moderate Regionally restricted Embryo_C1376_2_3A
TS22: amygdala Weak Regionally restricted Embryo_C1376_2_1D
TS22: telencephalon septum Moderate Regionally restricted Embryo_C1376_2_4A
TS22: pallidum Weak Regionally restricted Embryo_C1376_2_3A Expression was weak in the pallidum (medial ganglionic eminence).
TS22: diencephalon Moderate Regionally restricted Embryo_C1376_2_4B
TS22: thalamus Moderate Regionally restricted Embryo_C1376_2_2D
TS22: hypothalamus Moderate Regionally restricted Embryo_C1376_2_4B
TS22: midbrain Moderate Regionally restricted Embryo_C1376_2_4B
TS22: pretectum Absent
TS22: superior colliculus Moderate Regionally restricted Embryo_C1376_2_4A
TS22: inferior colliculus Moderate Regionally restricted Embryo_C1376_2_5A
TS22: midbrain tegmentum Moderate Regionally restricted Embryo_C1376_2_4B
TS22: hindbrain Moderate Regionally restricted Embryo_C1376_2_4A
TS22: cerebellum Moderate Regionally restricted Embryo_C1376_2_3A
TS22: pons Moderate Regionally restricted Embryo_C1376_2_4A
TS22: medulla oblongata Moderate Regionally restricted Embryo_C1376_2_4A
TS22: spinal cord Weak Regionally restricted Embryo_C1376_2_3C
TS22: choroid plexus Weak Regionally restricted Embryo_C1376_2_5B
TS22: meninges Moderate Regionally restricted Embryo_C1376_2_4B
TS22: peripheral nervous system Moderate Regionally restricted Embryo_C1376_2_3A
TS22: cranial ganglion Absent
TS22: dorsal root ganglion Moderate Regionally restricted Embryo_C1376_2_3A
TS22: eye Weak Regionally restricted Embryo_C1376_2_1A
TS22: retina Absent
TS22: lens Weak Regionally restricted Embryo_C1376_2_1A
TS22: optic nerve Absent
TS22: nose Absent
TS22: olfactory epithelium Absent
TS22: ear Absent
TS22: inner ear Absent
TS22: cochlea Absent
TS22: inner ear labyrinth Absent
TS22: middle ear Absent
TS22: alimentary system Weak Regionally restricted Embryo_C1376_2_5C Expression was weak in the digestive system.
TS22: intestine Absent
TS22: salivary gland Absent
TS22: tongue Absent
TS22: tooth Absent
TS22: palatal shelf Weak Regionally restricted Embryo_C1376_2_3C
TS22: esophagus Absent
TS22: stomach Weak Regionally restricted Embryo_C1376_2_5C
TS22: liver Weak Regionally restricted Embryo_C1376_2_4B
TS22: respiratory system Weak Regionally restricted Embryo_C1376_2_2D
TS22: pharynx Absent
TS22: larynx Absent
TS22: trachea Absent
TS22: main bronchus Absent
TS22: lung Weak Regionally restricted Embryo_C1376_2_2D
TS22: urinary system Moderate Regionally restricted Embryo_C1376_2_4A Expression was detected in the genito-urinary system.
TS22: metanephros Absent
TS22: ureter Absent
TS22: bladder Weak Regionally restricted Embryo_C1376_2_3D
TS22: urethra Absent
TS22: reproductive system Moderate Regionally restricted Embryo_C1376_2_4A
TS22: genital tubercle Moderate Regionally restricted Embryo_C1376_2_4A
TS22: gonad Absent
TS22: gland Absent Expression was not detected in the endocrine system.
TS22: thyroid gland Absent
TS22: pituitary gland Absent
TS22: pancreas Absent
TS22: adrenal gland Absent
TS22: cardiovascular system Moderate Regionally restricted Embryo_C1376_2_5A
TS22: heart Weak Regionally restricted Embryo_C1376_2_3A
TS22: heart atrium Weak Regionally restricted Embryo_C1376_2_3A
TS22: heart ventricle Absent
TS22: blood vessel Moderate Regionally restricted Embryo_C1376_2_5A
TS22: hemolymphoid system Absent Expression was not detected in the immune system.
TS22: spleen primordium Absent
TS22: thymus primordium Absent
TS22: appendicular skeleton Moderate Regionally restricted Embryo_C1376_2_1A Expression was detected in the skeleton (limbs, shoulder, hip).
TS22: musculature Absent
TS22: face Moderate Regionally restricted Embryo_C1376_2_3A Expression was detected in the face/soft tissues.
TS22: facial bone primordium Moderate Regionally restricted Embryo_C1376_2_3A
TS22: cranium Moderate Regionally restricted Embryo_C1376_2_4B Expression was detected in the skull (base and vault).
TS22: axial skeleton Moderate Regionally restricted Embryo_C1376_2_3A
TS22: tail Strong Regionally restricted Embryo_C1376_2_3A
TS22: forelimb Strong Regionally restricted Embryo_C1376_2_1A
TS22: hindlimb Strong Regionally restricted Embryo_C1376_2_1A
TS22: integumental system Strong Regionally restricted Embryo_C1376_2_3A
TS22: skin Strong Regionally restricted Embryo_C1376_2_3A
TS22: hair Absent
TS22: vibrissa follicle Absent Expression was not detected in whisker follicle.


Contributing Projects:
Mouse Genome Database (MGD), Gene Expression Database (GXD), Mouse Models of Human Cancer database (MMHCdb) (formerly Mouse Tumor Biology (MTB)), Gene Ontology (GO)
Citing These Resources
Funding Information
Warranty Disclaimer, Privacy Notice, Licensing, & Copyright
Send questions and comments to User Support.
last database update
01/20/2026
MGI 6.24
The Jackson Laboratory