About   Help   FAQ
Gene Expression Data
Assay Details
Assay
Reference: J:122989 Visel A, et al., GenePaint.org: an atlas of gene expression patterns in the mouse embryo. Nucleic Acids Res. 2004 Jan 1;32(Database issue):D552-6
Assay type: RNA in situ
MGI Accession ID: MGI:5421316
Gene symbol: Pgrmc1
Gene name: progesterone receptor membrane component 1
Probe: MH872 probe 767
Probe preparation: Antisense labelled with digoxigenin RNA
Visualized with: Alkaline phosphatase
Assay notes: Cryosections of fresh frozen material were fixed in 4% paraformaldehyde for 20 min. before further processing. A tyramide-biotin/streptavidin amplification step was included in the in situ hybridization procedure. These data were downloaded from GenePaint.org on 1/30/12.
Results
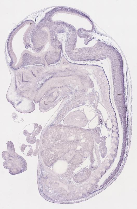
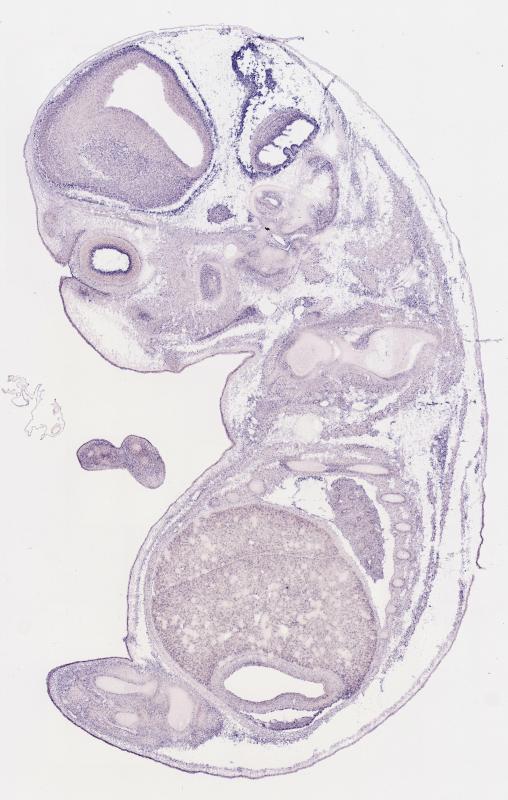
Specimen MH872; Specimen C1376: embryonic day 14.5 (more )
Structure Level Pattern Image Note
TS22: nervous system Strong Regionally restricted Embryo_C1376_3_2A
TS22: central nervous system Strong Regionally restricted Embryo_C1376_3_2A
TS22: telencephalon Moderate Regionally restricted Embryo_C1376_3_3A
TS22: cerebral cortex Moderate Regionally restricted Embryo_C1376_3_3A
TS22: neocortex Moderate Regionally restricted Embryo_C1376_3_3A
TS22: olfactory cortex Moderate Regionally restricted Embryo_C1376_3_3A
TS22: main olfactory bulb Moderate Regionally restricted Embryo_C1376_3_3A
TS22: piriform cortex Moderate Regionally restricted Embryo_C1376_3_2B
TS22: hippocampus Moderate Regionally restricted Embryo_C1376_3_2A
TS22: basal ganglia Moderate Regionally restricted Embryo_C1376_3_3A
TS22: corpus striatum Weak Regionally restricted Embryo_C1376_3_1D Expression was weak in the corpus striatum (lateral ganglionic eminence).
TS22: basal forebrain Moderate Regionally restricted Embryo_C1376_3_3A
TS22: amygdala Weak Regionally restricted Embryo_C1376_3_1D
TS22: telencephalon septum Moderate Regionally restricted Embryo_C1376_3_4A
TS22: pallidum Weak Regionally restricted Embryo_C1376_3_3A Expression was weak in the pallidum (medial ganglionic eminence).
TS22: diencephalon Moderate Regionally restricted Embryo_C1376_3_4A
TS22: thalamus Moderate Regionally restricted Embryo_C1376_3_3A
TS22: hypothalamus Moderate Regionally restricted Embryo_C1376_3_4A
TS22: midbrain Strong Regionally restricted Embryo_C1376_3_3B
TS22: pretectum Moderate Regionally restricted Embryo_C1376_3_3B
TS22: superior colliculus Moderate Regionally restricted Embryo_C1376_3_3B
TS22: inferior colliculus Strong Regionally restricted Embryo_C1376_3_3B
TS22: midbrain tegmentum Moderate Regionally restricted Embryo_C1376_3_3B
TS22: hindbrain Strong Regionally restricted Embryo_C1376_3_3A
TS22: cerebellum Moderate Regionally restricted Embryo_C1376_3_3B
TS22: pons Moderate Regionally restricted Embryo_C1376_3_4A
TS22: medulla oblongata Strong Regionally restricted Embryo_C1376_3_3A
TS22: spinal cord Strong Regionally restricted Embryo_C1376_3_4A
TS22: choroid plexus Strong Regionally restricted Embryo_C1376_3_2B
TS22: meninges Strong Regionally restricted Embryo_C1376_3_2A
TS22: peripheral nervous system Moderate Regionally restricted Embryo_C1376_3_3A
TS22: cranial ganglion Weak Regionally restricted Embryo_C1376_3_2C
TS22: dorsal root ganglion Moderate Regionally restricted Embryo_C1376_3_3A
TS22: eye Moderate Regionally restricted Embryo_C1376_3_6C
TS22: retina Moderate Regionally restricted Embryo_C1376_3_6C
TS22: lens Absent
TS22: optic nerve Weak Regionally restricted Embryo_C1376_3_2B
TS22: nose Moderate Regionally restricted Embryo_C1376_3_3A
TS22: olfactory epithelium Moderate Regionally restricted Embryo_C1376_3_3A
TS22: ear Moderate Regionally restricted Embryo_C1376_3_3A
TS22: inner ear Moderate Regionally restricted Embryo_C1376_3_3A
TS22: cochlea Moderate Regionally restricted Embryo_C1376_3_3A
TS22: inner ear labyrinth Weak Regionally restricted Embryo_C1376_3_1C
TS22: middle ear Weak Regionally restricted Embryo_C1376_3_1A
TS22: alimentary system Moderate Regionally restricted Embryo_C1376_3_6A Expression was detected in the digestive system.
TS22: intestine Weak Regionally restricted Embryo_C1376_3_3C
TS22: salivary gland Moderate Regionally restricted Embryo_C1376_3_2B
TS22: tongue Moderate Regionally restricted Embryo_C1376_3_3A
TS22: tooth Weak Regionally restricted Embryo_C1376_3_3A
TS22: palatal shelf Moderate Regionally restricted Embryo_C1376_3_4A
TS22: esophagus Absent
TS22: stomach Moderate Regionally restricted Embryo_C1376_3_6A
TS22: liver Weak Regionally restricted Embryo_C1376_3_6C
TS22: respiratory system Moderate Regionally restricted Embryo_C1376_3_4C
TS22: pharynx Weak Regionally restricted Embryo_C1376_3_3D
TS22: larynx Weak Regionally restricted Embryo_C1376_3_4A
TS22: trachea Moderate Regionally restricted Embryo_C1376_3_4A
TS22: main bronchus Weak Regionally restricted Embryo_C1376_3_4D
TS22: lung Moderate Regionally restricted Embryo_C1376_3_2C
TS22: urinary system Strong Regionally restricted Embryo_C1376_3_3B Expression was strong in the genito-urinary system.
TS22: metanephros Weak Regionally restricted Embryo_C1376_3_5A
TS22: ureter Absent
TS22: bladder Weak Regionally restricted Embryo_C1376_3_3C
TS22: urethra Absent
TS22: reproductive system Strong Regionally restricted Embryo_C1376_3_3B
TS22: genital tubercle Strong Regionally restricted Embryo_C1376_3_3B
TS22: gonad Moderate Regionally restricted Embryo_C1376_3_1C
TS22: gland Moderate Regionally restricted Embryo_C1376_3_2C Expression was detected in the endocrine system.
TS22: thyroid gland Weak Regionally restricted Embryo_C1376_3_3B
TS22: pituitary gland Weak Regionally restricted Embryo_C1376_3_4B
TS22: pancreas Weak Regionally restricted Embryo_C1376_3_4C
TS22: adrenal gland Moderate Regionally restricted Embryo_C1376_3_2C
TS22: cardiovascular system Weak Regionally restricted Embryo_C1376_3_3C
TS22: heart Weak Regionally restricted Embryo_C1376_3_3C
TS22: heart atrium Weak Regionally restricted Embryo_C1376_3_3C
TS22: heart ventricle Weak Regionally restricted Embryo_C1376_3_3C
TS22: blood vessel Weak Regionally restricted Embryo_C1376_3_5A
TS22: hemolymphoid system Weak Regionally restricted Embryo_C1376_3_3B Expression was weak in the immune system.
TS22: spleen primordium Weak Regionally restricted Embryo_C1376_3_6B
TS22: thymus primordium Weak Regionally restricted Embryo_C1376_3_3B
TS22: appendicular skeleton Weak Regionally restricted Embryo_C1376_3_3A Expression was weak in the skeleton (limbs, shoulder, hip).
TS22: musculature Absent
TS22: face Weak Regionally restricted Embryo_C1376_3_4A Expression was weak in the face/soft tissues.
TS22: facial bone primordium Absent
TS22: cranium Absent Expression was not detected in the skull (base and vault).
TS22: axial skeleton Absent
TS22: tail Moderate Regionally restricted Embryo_C1376_3_2B
TS22: forelimb Moderate Regionally restricted Embryo_C1376_3_6B
TS22: hindlimb Moderate Regionally restricted Embryo_C1376_3_1A
TS22: integumental system Strong Regionally restricted Embryo_C1376_3_3A
TS22: skin Strong Regionally restricted Embryo_C1376_3_3A
TS22: hair Moderate Regionally restricted Embryo_C1376_3_1C
TS22: vibrissa follicle Moderate Regionally restricted Embryo_C1376_3_1C Expression was detected in whisker follicle.


Contributing Projects:
Mouse Genome Database (MGD), Gene Expression Database (GXD), Mouse Models of Human Cancer database (MMHCdb) (formerly Mouse Tumor Biology (MTB)), Gene Ontology (GO)
Citing These Resources
Funding Information
Warranty Disclaimer, Privacy Notice, Licensing, & Copyright
Send questions and comments to User Support.
last database update
03/24/2026
MGI 6.24
The Jackson Laboratory