About   Help   FAQ
Gene Expression Data
Assay Details
Assay
Reference: J:122989 Visel A, et al., GenePaint.org: an atlas of gene expression patterns in the mouse embryo. Nucleic Acids Res. 2004 Jan 1;32(Database issue):D552-6
Assay type: RNA in situ
MGI Accession ID: MGI:5421315
Gene symbol: Lancl1
Gene name: LanC (bacterial lantibiotic synthetase component C)-like 1
Probe: MH868 probe 771
Probe preparation: Antisense labelled with digoxigenin RNA
Visualized with: Alkaline phosphatase
Assay notes: Cryosections of fresh frozen material were fixed in 4% paraformaldehyde for 20 min. before further processing. A tyramide-biotin/streptavidin amplification step was included in the in situ hybridization procedure. These data were downloaded from GenePaint.org on 1/30/12.
Results
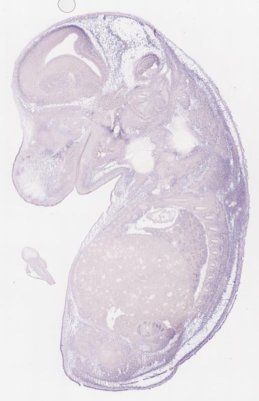
Specimen MH868; Specimen C1376: embryonic day 14.5 (more )
Structure Level Pattern Image Note
TS22: nervous system Strong Regionally restricted Embryo_C1376_4_2D
TS22: central nervous system Strong Regionally restricted Embryo_C1376_4_2C
TS22: telencephalon Strong Regionally restricted Embryo_C1376_4_2C
TS22: cerebral cortex Strong Regionally restricted Embryo_C1376_4_2C
TS22: neocortex Strong Regionally restricted Embryo_C1376_4_2C
TS22: olfactory cortex Weak Regionally restricted Embryo_C1376_4_2D
TS22: main olfactory bulb Weak Regionally restricted Embryo_C1376_4_2D
TS22: piriform cortex Weak Regionally restricted Embryo_C1376_4_2A
TS22: hippocampus Moderate Regionally restricted Embryo_C1376_4_2B
TS22: basal ganglia Moderate Regionally restricted Embryo_C1376_4_2B
TS22: corpus striatum Moderate Regionally restricted Embryo_C1376_4_2B Expression was detected in the corpus striatum (lateral ganglionic eminence).
TS22: basal forebrain Weak Regionally restricted Embryo_C1376_4_2A
TS22: amygdala Weak Regionally restricted Embryo_C1376_4_1B
TS22: telencephalon septum Weak Regionally restricted Embryo_C1376_4_4A
TS22: pallidum Weak Regionally restricted Embryo_C1376_4_3A Expression was weak in the pallidum (medial ganglionic eminence).
TS22: diencephalon Weak Regionally restricted Embryo_C1376_4_4A
TS22: thalamus Weak Regionally restricted Embryo_C1376_4_4A
TS22: hypothalamus Weak Regionally restricted Embryo_C1376_4_4A
TS22: midbrain Strong Regionally restricted Embryo_C1376_4_4A
TS22: pretectum Weak Regionally restricted Embryo_C1376_4_3C
TS22: superior colliculus Moderate Regionally restricted Embryo_C1376_4_4A
TS22: inferior colliculus Strong Regionally restricted Embryo_C1376_4_4A
TS22: midbrain tegmentum Moderate Regionally restricted Embryo_C1376_4_4B
TS22: hindbrain Moderate Regionally restricted Embryo_C1376_4_3A
TS22: cerebellum Weak Regionally restricted Embryo_C1376_4_3A
TS22: pons Moderate Regionally restricted Embryo_C1376_4_4A
TS22: medulla oblongata Moderate Regionally restricted Embryo_C1376_4_3A
TS22: spinal cord Strong Regionally restricted Embryo_C1376_4_4A
TS22: choroid plexus Moderate Regionally restricted Embryo_C1376_4_4A
TS22: meninges Moderate Regionally restricted Embryo_C1376_4_2B
TS22: peripheral nervous system Strong Regionally restricted Embryo_C1376_4_3A
TS22: cranial ganglion Weak Regionally restricted Embryo_C1376_4_5A
TS22: dorsal root ganglion Strong Regionally restricted Embryo_C1376_4_3A
TS22: eye Weak Regionally restricted Embryo_C1376_4_1A
TS22: retina Weak Regionally restricted Embryo_C1376_4_1A
TS22: lens Absent
TS22: cornea Weak Regionally restricted Embryo_C1376_4_6D
TS22: optic nerve Absent
TS22: nose Moderate Regionally restricted Embryo_C1376_4_2C
TS22: olfactory epithelium Moderate Regionally restricted Embryo_C1376_4_2C
TS22: ear Strong Regionally restricted Embryo_C1376_4_2D
TS22: inner ear Strong Regionally restricted Embryo_C1376_4_2D
TS22: cochlea Strong Regionally restricted Embryo_C1376_4_2D
TS22: inner ear labyrinth Absent
TS22: middle ear Weak Regionally restricted Embryo_C1376_4_1A
TS22: alimentary system Moderate Regionally restricted Embryo_C1376_4_4A Expression was detected in the digestive system.
TS22: intestine Weak Regionally restricted Embryo_C1376_4_2B
TS22: salivary gland Absent
TS22: tongue Moderate Regionally restricted Embryo_C1376_4_3A
TS22: tooth Moderate Regionally restricted Embryo_C1376_4_3A
TS22: palatal shelf Weak Regionally restricted Embryo_C1376_4_3D
TS22: esophagus Moderate Regionally restricted Embryo_C1376_4_4A
TS22: stomach Weak Regionally restricted Embryo_C1376_4_5D
TS22: liver Absent
TS22: respiratory system Weak Regionally restricted Embryo_C1376_4_2B
TS22: pharynx Weak Regionally restricted Embryo_C1376_4_4A
TS22: larynx Weak Regionally restricted Embryo_C1376_4_4A
TS22: trachea Absent
TS22: main bronchus Weak Regionally restricted Embryo_C1376_4_5A
TS22: lung Weak Regionally restricted Embryo_C1376_4_2B
TS22: urinary system Moderate Regionally restricted Embryo_C1376_4_3D Expression was detected in the genito-urinary system.
TS22: metanephros Absent
TS22: ureter Absent
TS22: bladder Moderate Regionally restricted Embryo_C1376_4_3C
TS22: urethra Moderate Regionally restricted Embryo_C1376_4_3B
TS22: reproductive system Moderate Regionally restricted Embryo_C1376_4_3D
TS22: genital tubercle Moderate Regionally restricted Embryo_C1376_4_3D
TS22: gonad Moderate Regionally restricted Embryo_C1376_4_1D
TS22: gland Absent Expression was not detected in the endocrine system.
TS22: thyroid gland Absent
TS22: pituitary gland Absent
TS22: pancreas Absent
TS22: adrenal gland Absent
TS22: cardiovascular system Weak Regionally restricted Embryo_C1376_4_3C
TS22: heart Weak Regionally restricted Embryo_C1376_4_3C
TS22: heart atrium Weak Regionally restricted Embryo_C1376_4_2A
TS22: heart ventricle Weak Regionally restricted Embryo_C1376_4_3C
TS22: blood vessel Weak Regionally restricted Embryo_C1376_4_3A
TS22: hemolymphoid system Weak Regionally restricted Embryo_C1376_4_3B Expression was weak in the immune system.
TS22: spleen primordium Absent
TS22: thymus primordium Weak Regionally restricted Embryo_C1376_4_3B
TS22: appendicular skeleton Absent Expression was not detected in the skeleton (limbs, shoulder, hip).
TS22: musculature Weak Regionally restricted Embryo_C1376_4_1C
TS22: face Moderate Regionally restricted Embryo_C1376_4_2A Expression was detected in the face/soft tissues.
TS22: facial bone primordium Absent
TS22: cranium Absent Expression was not detected in the skull (base and vault).
TS22: axial skeleton Weak Regionally restricted Embryo_C1376_4_3D
TS22: tail Moderate Regionally restricted Embryo_C1376_4_3A
TS22: forelimb Moderate Regionally restricted Embryo_C1376_4_6D
TS22: hindlimb Moderate Regionally restricted Embryo_C1376_4_5A
TS22: integumental system Strong Regionally restricted Embryo_C1376_4_4A
TS22: skin Strong Regionally restricted Embryo_C1376_4_4A
TS22: hair Moderate Regionally restricted Embryo_C1376_4_1C
TS22: vibrissa follicle Moderate Regionally restricted Embryo_C1376_4_1C Expression was detected in whisker follicle.


Contributing Projects:
Mouse Genome Database (MGD), Gene Expression Database (GXD), Mouse Models of Human Cancer database (MMHCdb) (formerly Mouse Tumor Biology (MTB)), Gene Ontology (GO)
Citing These Resources
Funding Information
Warranty Disclaimer, Privacy Notice, Licensing, & Copyright
Send questions and comments to User Support.
last database update
03/24/2026
MGI 6.24
The Jackson Laboratory