About   Help   FAQ
Gene Expression Data
Assay Details
Assay
Reference: J:122989 Visel A, et al., GenePaint.org: an atlas of gene expression patterns in the mouse embryo. Nucleic Acids Res. 2004 Jan 1;32(Database issue):D552-6
Assay type: RNA in situ
MGI Accession ID: MGI:5421297
Gene symbol: Pld3
Gene name: phospholipase D family member 3
Probe: MH838 probe 729
Probe preparation: Antisense labelled with digoxigenin RNA
Visualized with: Alkaline phosphatase
Assay notes: Cryosections of fresh frozen material were fixed in 4% paraformaldehyde for 20 min. before further processing. A tyramide-biotin/streptavidin amplification step was included in the in situ hybridization procedure. These data were downloaded from GenePaint.org on 1/30/12.
Results
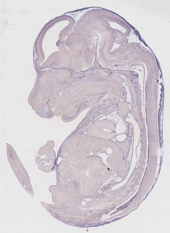
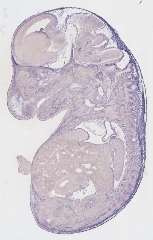
Specimen MH838; Specimen C1242: embryonic day 14.5 (more )
Structure Level Pattern Image Note
TS22: nervous system Moderate Regionally restricted Embryo_C1242_5_4A
TS22: central nervous system Moderate Regionally restricted Embryo_C1242_5_4A
TS22: telencephalon Moderate Regionally restricted Embryo_C1242_5_4C
TS22: cerebral cortex Moderate Regionally restricted Embryo_C1242_5_4C
TS22: neocortex Moderate Regionally restricted Embryo_C1242_5_4C
TS22: olfactory cortex Moderate Regionally restricted Embryo_C1242_5_4C
TS22: main olfactory bulb Moderate Regionally restricted Embryo_C1242_5_4C
TS22: piriform cortex Moderate Regionally restricted Embryo_C1242_5_6B
TS22: hippocampus Weak Regionally restricted Embryo_C1242_5_5C
TS22: basal ganglia Moderate Regionally restricted Embryo_C1242_5_4A
TS22: corpus striatum Absent Expression was not detected in the corpus striatum (lateral ganglionic eminence).
TS22: basal forebrain Absent
TS22: amygdala Absent
TS22: telencephalon septum Moderate Regionally restricted Embryo_C1242_5_4A
TS22: pallidum Absent Expression was not detected in the pallidum (medial ganglionic eminence).
TS22: diencephalon Moderate Regionally restricted Embryo_C1242_5_4A
TS22: thalamus Moderate Regionally restricted Embryo_C1242_5_4A
TS22: hypothalamus Moderate Regionally restricted Embryo_C1242_5_4A
TS22: midbrain Moderate Regionally restricted Embryo_C1242_5_4A
TS22: pretectum Weak Regionally restricted Embryo_C1242_5_3C
TS22: superior colliculus Weak Regionally restricted Embryo_C1242_5_4A
TS22: inferior colliculus Weak Regionally restricted Embryo_C1242_5_4A
TS22: midbrain tegmentum Moderate Regionally restricted Embryo_C1242_5_4A
TS22: hindbrain Moderate Regionally restricted Embryo_C1242_5_4A
TS22: cerebellum Weak Regionally restricted Embryo_C1242_5_4C
TS22: pons Moderate Regionally restricted Embryo_C1242_5_5A
TS22: medulla oblongata Moderate Regionally restricted Embryo_C1242_5_4A
TS22: spinal cord Moderate Regionally restricted Embryo_C1242_5_4C
TS22: choroid plexus Moderate Regionally restricted Embryo_C1242_5_5B
TS22: meninges Weak Regionally restricted Embryo_C1242_5_5C
TS22: peripheral nervous system Moderate Regionally restricted Embryo_C1242_5_2B
TS22: cranial ganglion Moderate Regionally restricted Embryo_C1242_5_2B
TS22: dorsal root ganglion Moderate Regionally restricted Embryo_C1242_5_5A
TS22: eye Strong Regionally restricted Embryo_C1242_5_1A
TS22: retina Absent
TS22: lens Strong Regionally restricted Embryo_C1242_5_1A
TS22: optic nerve Absent
TS22: nose Absent
TS22: olfactory epithelium Absent
TS22: ear Weak Regionally restricted Embryo_C1242_5_5A
TS22: inner ear Weak Regionally restricted Embryo_C1242_5_5A
TS22: cochlea Weak Regionally restricted Embryo_C1242_5_5A
TS22: inner ear labyrinth Weak Regionally restricted Embryo_C1242_5_1A
TS22: middle ear Absent
TS22: alimentary system Moderate Regionally restricted Embryo_C1242_5_4A Expression was detected in the digestive system.
TS22: intestine Absent
TS22: salivary gland Absent
TS22: tongue Moderate Regionally restricted Embryo_C1242_5_4A
TS22: tooth Absent
TS22: palatal shelf Moderate Regionally restricted Embryo_C1242_5_4A
TS22: esophagus Weak Regionally restricted Embryo_C1242_5_4B
TS22: stomach Weak Regionally restricted Embryo_C1242_5_6B
TS22: liver Moderate Regionally restricted Embryo_C1242_5_4B
TS22: respiratory system Weak Regionally restricted Embryo_C1242_5_6A
TS22: pharynx Absent
TS22: larynx Weak Regionally restricted Embryo_C1242_5_4A
TS22: trachea Absent
TS22: main bronchus Absent
TS22: lung Weak Regionally restricted Embryo_C1242_5_6A
TS22: urinary system Moderate Regionally restricted Embryo_C1242_5_4A Expression was detected in the genito-urinary system.
TS22: metanephros Weak Regionally restricted Embryo_C1242_5_3A
TS22: ureter Absent
TS22: bladder Moderate Regionally restricted Embryo_C1242_5_4A
TS22: urethra Weak Regionally restricted Embryo_C1242_5_4A
TS22: reproductive system Weak Regionally restricted Embryo_C1242_5_6A
TS22: genital tubercle Weak Regionally restricted Embryo_C1242_5_4A
TS22: gonad Weak Regionally restricted Embryo_C1242_5_6A
TS22: gland Moderate Regionally restricted Embryo_C1242_5_4C Expression was detected in the endocrine system.
TS22: thyroid gland Absent
TS22: pituitary gland Moderate Regionally restricted Embryo_C1242_5_4C
TS22: pancreas Absent
TS22: adrenal gland Absent
TS22: cardiovascular system Moderate Regionally restricted Embryo_C1242_5_3B
TS22: heart Moderate Regionally restricted Embryo_C1242_5_3B
TS22: heart atrium Moderate Regionally restricted Embryo_C1242_5_4B
TS22: heart ventricle Moderate Regionally restricted Embryo_C1242_5_3B
TS22: blood vessel Moderate Regionally restricted Embryo_C1242_5_3B
TS22: hemolymphoid system Absent Expression was not detected in the immune system.
TS22: spleen primordium Absent
TS22: thymus primordium Absent
TS22: appendicular skeleton Moderate Regionally restricted Embryo_C1242_5_5A Expression was detected in the skeleton (limbs, shoulder, hip).
TS22: musculature Absent
TS22: face Moderate Regionally restricted Embryo_C1242_5_4A Expression was detected in the face/soft tissues.
TS22: facial bone primordium Weak Regionally restricted Embryo_C1242_5_3B
TS22: cranium Moderate Regionally restricted Embryo_C1242_5_4A Expression was detected in the skull (base and vault).
TS22: axial skeleton Strong Regionally restricted Embryo_C1242_5_6A
TS22: tail Moderate Regionally restricted Embryo_C1242_5_3B
TS22: forelimb Weak Regionally restricted Embryo_C1242_5_1A
TS22: hindlimb Moderate Regionally restricted Embryo_C1242_5_1A
TS22: integumental system Moderate Regionally restricted Embryo_C1242_5_5B
TS22: skin Moderate Regionally restricted Embryo_C1242_5_5B
TS22: hair Absent
TS22: vibrissa follicle Absent Expression was not detected in whisker follicle.


Contributing Projects:
Mouse Genome Database (MGD), Gene Expression Database (GXD), Mouse Models of Human Cancer database (MMHCdb) (formerly Mouse Tumor Biology (MTB)), Gene Ontology (GO)
Citing These Resources
Funding Information
Warranty Disclaimer, Privacy Notice, Licensing, & Copyright
Send questions and comments to User Support.
last database update
12/30/2025
MGI 6.24
The Jackson Laboratory