About   Help   FAQ
Gene Expression Data
Assay Details
Assay
Reference: J:122989 Visel A, et al., GenePaint.org: an atlas of gene expression patterns in the mouse embryo. Nucleic Acids Res. 2004 Jan 1;32(Database issue):D552-6
Assay type: RNA in situ
MGI Accession ID: MGI:5421294
Gene symbol: Hap1
Gene name: huntingtin-associated protein 1
Probe: MH834 probe 738
Probe preparation: Antisense labelled with digoxigenin RNA
Visualized with: Alkaline phosphatase
Assay notes: Cryosections of fresh frozen material were fixed in 4% paraformaldehyde for 20 min. before further processing. A tyramide-biotin/streptavidin amplification step was included in the in situ hybridization procedure. These data were downloaded from GenePaint.org on 1/30/12.
Results
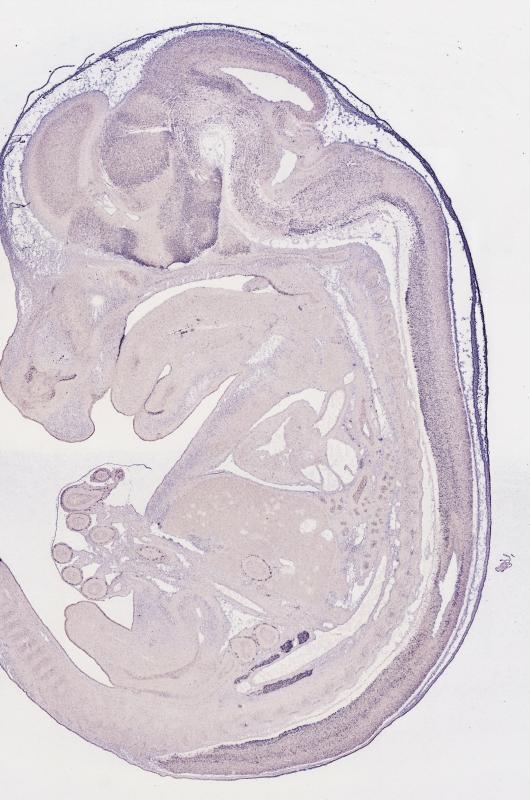
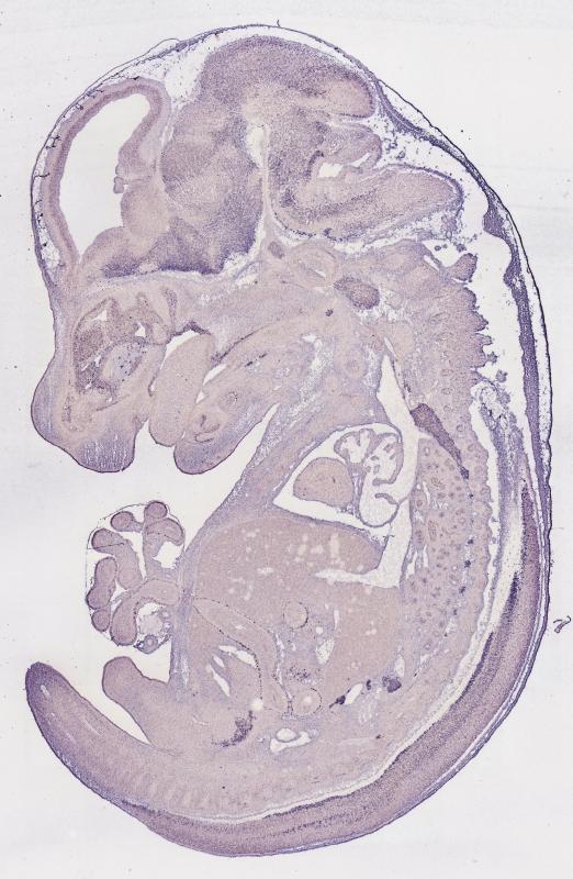
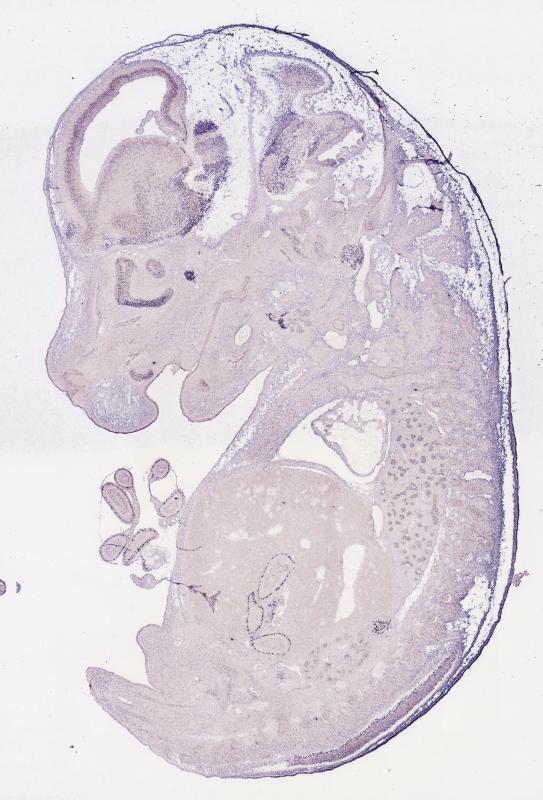
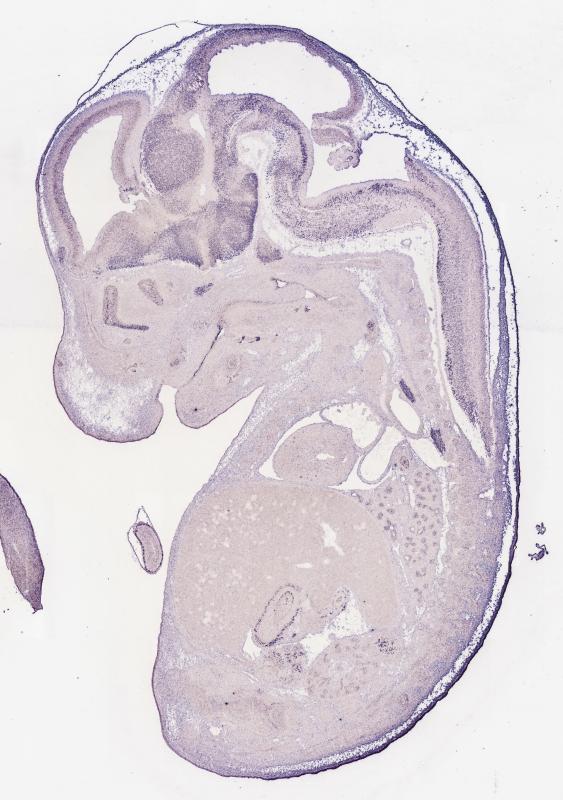
Specimen MH834; Specimen C1406: embryonic day 14.5 (more )
Structure Level Pattern Image Note
TS22: nervous system Strong Regionally restricted Embryo_C1406_2_4A
TS22: central nervous system Strong Regionally restricted Embryo_C1406_2_4A
TS22: telencephalon Moderate Regionally restricted Embryo_C1406_2_4A
TS22: cerebral cortex Moderate Regionally restricted Embryo_C1406_2_2C
TS22: neocortex Moderate Regionally restricted Embryo_C1406_2_2C
TS22: olfactory cortex Moderate Regionally restricted Embryo_C1406_2_2C
TS22: main olfactory bulb Moderate Regionally restricted Embryo_C1406_2_2C
TS22: piriform cortex Weak Regionally restricted Embryo_C1406_2_6B
TS22: hippocampus Moderate Regionally restricted Embryo_C1406_2_2C
TS22: basal ganglia Moderate Regionally restricted Embryo_C1406_2_4A
TS22: corpus striatum Weak Regionally restricted Embryo_C1406_2_2C Expression was weak in the corpus striatum (lateral ganglionic eminence).
TS22: basal forebrain Moderate Regionally restricted Embryo_C1406_2_3A
TS22: amygdala Moderate Regionally restricted Embryo_C1406_2_1C
TS22: telencephalon septum Strong Regionally restricted Embryo_C1406_2_4A
TS22: pallidum Weak Regionally restricted Embryo_C1406_2_3A Expression was weak in the pallidum (medial ganglionic eminence).
TS22: diencephalon Strong Regionally restricted Embryo_C1406_2_4B
TS22: thalamus Moderate Regionally restricted Embryo_C1406_2_4C
TS22: hypothalamus Strong Regionally restricted Embryo_C1406_2_4B
TS22: midbrain Moderate Regionally restricted Embryo_C1406_2_4B
TS22: pretectum Moderate Regionally restricted Embryo_C1406_2_4C
TS22: superior colliculus Moderate Regionally restricted Embryo_C1406_2_4B
TS22: inferior colliculus Moderate Regionally restricted Embryo_C1406_2_4A
TS22: midbrain tegmentum Moderate Regionally restricted Embryo_C1406_2_4B
TS22: hindbrain Moderate Regionally restricted Embryo_C1406_2_4B
TS22: cerebellum Weak Regionally restricted Embryo_C1406_2_4A
TS22: pons Moderate Regionally restricted Embryo_C1406_2_4B
TS22: medulla oblongata Moderate Regionally restricted Embryo_C1406_2_4B
TS22: spinal cord Strong Regionally restricted Embryo_C1406_2_4A
TS22: choroid plexus Moderate Regionally restricted Embryo_C1406_2_4C
TS22: meninges Moderate Regionally restricted Embryo_C1406_2_4B
TS22: peripheral nervous system Moderate Regionally restricted Embryo_C1406_2_3A
TS22: cranial ganglion Moderate Regionally restricted Embryo_C1406_2_3A
TS22: dorsal root ganglion Weak Regionally restricted Embryo_C1406_2_3A
TS22: eye Weak Regionally restricted Embryo_C1406_2_6D
TS22: retina Weak Regionally restricted Embryo_C1406_2_6D
TS22: lens Weak Regionally restricted Embryo_C1406_2_6D
TS22: optic nerve Weak Regionally restricted Embryo_C1406_2_5B
TS22: nose Moderate Regionally restricted Embryo_C1406_2_4A
TS22: olfactory epithelium Moderate Regionally restricted Embryo_C1406_2_4A
TS22: ear Weak Regionally restricted Embryo_C1406_2_5B
TS22: inner ear Weak Regionally restricted Embryo_C1406_2_5B
TS22: cochlea Weak Regionally restricted Embryo_C1406_2_5B
TS22: inner ear labyrinth Weak Regionally restricted Embryo_C1406_2_6B
TS22: middle ear Weak Regionally restricted Embryo_C1406_2_1B
TS22: alimentary system Strong Regionally restricted Embryo_C1406_2_2C Expression was strong in the digestive system.
TS22: intestine Strong Regionally restricted Embryo_C1406_2_2C
TS22: salivary gland Weak Regionally restricted Embryo_C1406_2_2B
TS22: tongue Strong Regionally restricted Embryo_C1406_2_4A
TS22: tooth Moderate Regionally restricted Embryo_C1406_2_4A
TS22: palatal shelf Weak Regionally restricted Embryo_C1406_2_3B
TS22: esophagus Weak Regionally restricted Embryo_C1406_2_4A
TS22: stomach Strong Regionally restricted Embryo_C1406_2_6A
TS22: liver Absent
TS22: respiratory system Strong Regionally restricted Embryo_C1406_2_3C
TS22: pharynx Strong Regionally restricted Embryo_C1406_2_3C
TS22: larynx Moderate Regionally restricted Embryo_C1406_2_4B
TS22: trachea Weak Regionally restricted Embryo_C1406_2_3C
TS22: main bronchus Moderate Regionally restricted Embryo_C1406_2_4C
TS22: lung Weak Regionally restricted Embryo_C1406_2_2A
TS22: urinary system Moderate Regionally restricted Embryo_C1406_2_4A Expression was detected in the genito-urinary system.
TS22: metanephros Weak Regionally restricted Embryo_C1406_2_4C
TS22: ureter Absent
TS22: bladder Weak Regionally restricted Embryo_C1406_2_3C
TS22: urethra Weak Regionally restricted Embryo_C1406_2_3B
TS22: reproductive system Moderate Regionally restricted Embryo_C1406_2_4A
TS22: genital tubercle Moderate Regionally restricted Embryo_C1406_2_4A
TS22: gonad Absent
TS22: gland Strong Regionally restricted Embryo_C1406_2_2C Expression was strong in the endocrine system.
TS22: thyroid gland Moderate Regionally restricted Embryo_C1406_2_4C
TS22: pituitary gland Moderate Regionally restricted Embryo_C1406_2_4C
TS22: pancreas Strong Regionally restricted Embryo_C1406_2_4B
TS22: adrenal gland Strong Regionally restricted Embryo_C1406_2_2C
TS22: cardiovascular system Absent
TS22: heart Absent
TS22: heart atrium Absent
TS22: heart ventricle Absent
TS22: blood vessel Absent
TS22: hemolymphoid system Absent Expression was not detected in the immune system.
TS22: spleen primordium Absent
TS22: thymus primordium Absent
TS22: appendicular skeleton Moderate Regionally restricted Embryo_C1406_2_5C Expression was detected in the skeleton (limbs, shoulder, hip).
TS22: musculature Absent
TS22: face Moderate Regionally restricted Embryo_C1406_2_4A Expression was detected in the face/soft tissues.
TS22: facial bone primordium Weak Regionally restricted Embryo_C1406_2_4C
TS22: cranium Absent Expression was not detected in the skull (base and vault).
TS22: axial skeleton Weak Regionally restricted Embryo_C1406_2_5B
TS22: tail Moderate Regionally restricted Embryo_C1406_2_4A
TS22: forelimb Moderate Regionally restricted Embryo_C1406_2_1A
TS22: hindlimb Moderate Regionally restricted Embryo_C1406_2_1A
TS22: integumental system Strong Regionally restricted Embryo_C1406_2_4C
TS22: skin Strong Regionally restricted Embryo_C1406_2_4C
TS22: hair Weak Regionally restricted Embryo_C1406_2_5C
TS22: vibrissa follicle Weak Regionally restricted Embryo_C1406_2_5C Expression was weak in whisker follicle.


Contributing Projects:
Mouse Genome Database (MGD), Gene Expression Database (GXD), Mouse Models of Human Cancer database (MMHCdb) (formerly Mouse Tumor Biology (MTB)), Gene Ontology (GO)
Citing These Resources
Funding Information
Warranty Disclaimer, Privacy Notice, Licensing, & Copyright
Send questions and comments to User Support.
last database update
12/30/2025
MGI 6.24
The Jackson Laboratory