About   Help   FAQ
Gene Expression Data
Assay Details
Assay
Reference: J:122989 Visel A, et al., GenePaint.org: an atlas of gene expression patterns in the mouse embryo. Nucleic Acids Res. 2004 Jan 1;32(Database issue):D552-6
Assay type: RNA in situ
MGI Accession ID: MGI:5421291
Gene symbol: Gata1
Gene name: GATA binding protein 1
Probe: MH831 probe 748
Probe preparation: Antisense labelled with digoxigenin RNA
Visualized with: Alkaline phosphatase
Assay notes: Cryosections of fresh frozen material were fixed in 4% paraformaldehyde for 20 min. before further processing. A tyramide-biotin/streptavidin amplification step was included in the in situ hybridization procedure. These data were downloaded from GenePaint.org on 1/30/12.
Results
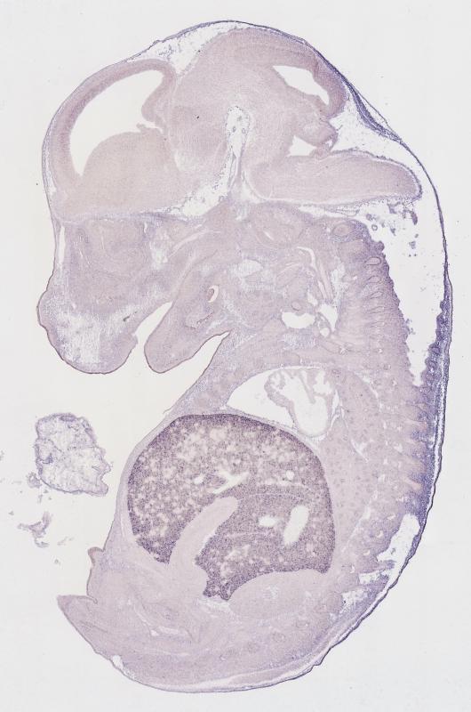
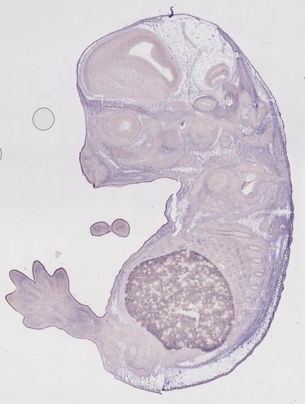
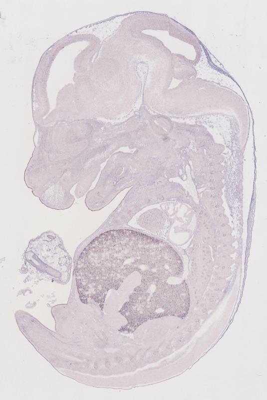
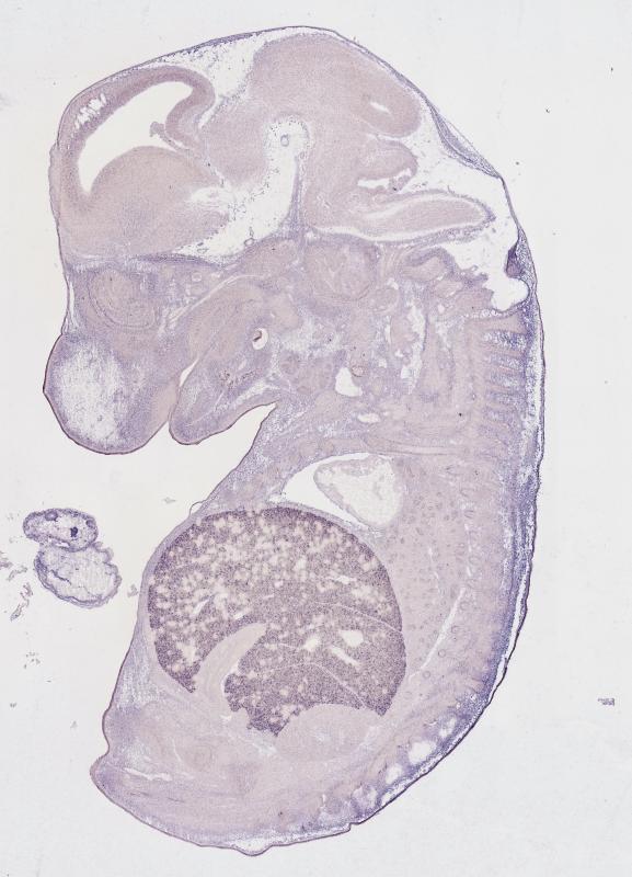
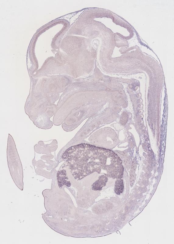
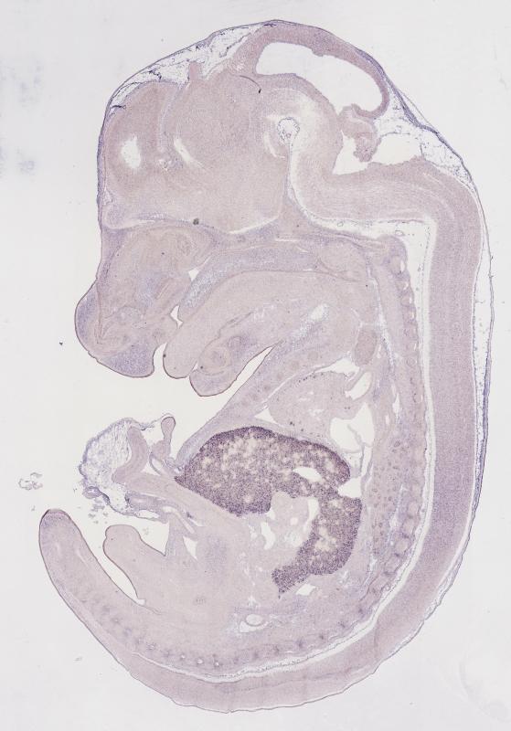
Specimen MH831; Specimen C1241: embryonic day 14.5 (more )
Structure Level Pattern Image Note
TS22: nervous system Moderate Regionally restricted Embryo_C1241_2_2C
TS22: central nervous system Weak Regionally restricted Embryo_C1241_2_4B
TS22: telencephalon Weak Regionally restricted Embryo_C1241_2_4B
TS22: cerebral cortex Weak Regionally restricted Embryo_C1241_2_4B
TS22: neocortex Weak Regionally restricted Embryo_C1241_2_4B
TS22: olfactory cortex Absent
TS22: main olfactory bulb Absent
TS22: piriform cortex Absent
TS22: hippocampus Weak Regionally restricted Embryo_C1241_2_4B
TS22: basal ganglia Weak Regionally restricted Embryo_C1241_2_6A
TS22: corpus striatum Weak Regionally restricted Embryo_C1241_2_6A Expression was weak in the corpus striatum (lateral ganglionic eminence).
TS22: basal forebrain Absent
TS22: amygdala Absent
TS22: telencephalon septum Weak Regionally restricted Embryo_C1241_2_4A
TS22: pallidum Absent Expression was not detected in the pallidum (medial ganglionic eminence).
TS22: diencephalon Weak Regionally restricted Embryo_C1241_2_4A
TS22: thalamus Weak Regionally restricted Embryo_C1241_2_4A
TS22: hypothalamus Weak Regionally restricted Embryo_C1241_2_4A
TS22: midbrain Weak Regionally restricted Embryo_C1241_2_4B
TS22: pretectum Absent
TS22: superior colliculus Weak Regionally restricted Embryo_C1241_2_4B
TS22: inferior colliculus Weak Regionally restricted Embryo_C1241_2_4B
TS22: midbrain tegmentum Weak Regionally restricted Embryo_C1241_2_4B
TS22: hindbrain Weak Regionally restricted Embryo_C1241_2_5A
TS22: cerebellum Absent
TS22: pons Weak Regionally restricted Embryo_C1241_2_5A
TS22: medulla oblongata Weak Regionally restricted Embryo_C1241_2_3A
TS22: spinal cord Weak Regionally restricted Embryo_C1241_2_4B
TS22: choroid plexus Absent
TS22: meninges Weak Regionally restricted Embryo_C1241_2_2A
TS22: peripheral nervous system Moderate Regionally restricted Embryo_C1241_2_2C
TS22: cranial ganglion Weak Regionally restricted Embryo_C1241_2_5A
TS22: dorsal root ganglion Moderate Regionally restricted Embryo_C1241_2_2C
TS22: eye Absent
TS22: retina Absent
TS22: lens Absent
TS22: cornea Absent
TS22: optic nerve Absent
TS22: nose Absent
TS22: olfactory epithelium Absent
TS22: ear Weak Regionally restricted Embryo_C1241_2_3A
TS22: inner ear Weak Regionally restricted Embryo_C1241_2_3A
TS22: cochlea Weak Regionally restricted Embryo_C1241_2_3A
TS22: inner ear labyrinth Weak Regionally restricted Embryo_C1241_2_6A
TS22: middle ear Absent
TS22: alimentary system Moderate Regionally restricted Embryo_C1241_2_5B Expression was detected in the digestive system.
TS22: intestine Absent
TS22: salivary gland Absent
TS22: tongue Moderate Regionally restricted Embryo_C1241_2_3B
TS22: tooth Absent
TS22: palatal shelf Weak Regionally restricted Embryo_C1241_2_3A
TS22: esophagus Weak Regionally restricted Embryo_C1241_2_4A
TS22: stomach Weak Regionally restricted Embryo_C1241_2_6C
TS22: liver Moderate Regionally restricted Embryo_C1241_2_5B
TS22: respiratory system Moderate Regionally restricted Embryo_C1241_2_3A
TS22: pharynx Absent
TS22: larynx Weak Regionally restricted Embryo_C1241_2_4A
TS22: trachea Absent
TS22: main bronchus Weak Regionally restricted Embryo_C1241_2_4A
TS22: lung Moderate Regionally restricted Embryo_C1241_2_3A
TS22: urinary system Moderate Regionally restricted Embryo_C1241_2_4A Expression was detected in the genito-urinary system.
TS22: metanephros Weak Regionally restricted Embryo_C1241_2_5A
TS22: ureter Absent
TS22: bladder Weak Regionally restricted Embryo_C1241_2_3D
TS22: urethra Absent
TS22: reproductive system Moderate Regionally restricted Embryo_C1241_2_4A
TS22: genital tubercle Moderate Regionally restricted Embryo_C1241_2_4A
TS22: gonad Absent
TS22: gland Weak Regionally restricted Embryo_C1241_2_3A Expression was weak in the endocrine system.
TS22: thyroid gland Weak Regionally restricted Embryo_C1241_2_4B
TS22: pituitary gland Absent
TS22: pancreas Absent
TS22: adrenal gland Absent
TS22: cardiovascular system Weak Regionally restricted Embryo_C1241_2_4B
TS22: heart Weak Regionally restricted Embryo_C1241_2_4B
TS22: heart atrium Weak Regionally restricted Embryo_C1241_2_4A
TS22: heart ventricle Weak Regionally restricted Embryo_C1241_2_4B
TS22: blood vessel Weak Regionally restricted Embryo_C1241_2_4B
TS22: hemolymphoid system Weak Regionally restricted Embryo_C1241_2_4B Expression was weak in the immune system.
TS22: spleen primordium Absent
TS22: thymus primordium Weak Regionally restricted Embryo_C1241_2_4B
TS22: appendicular skeleton Moderate Regionally restricted Embryo_C1241_2_6A Expression was detected in the skeleton (limbs, shoulder, hip).
TS22: musculature Weak Regionally restricted Embryo_C1241_2_6B
TS22: face Weak Regionally restricted Embryo_C1241_2_6A Expression was weak in the face/soft tissues.
TS22: facial bone primordium Absent
TS22: cranium Weak Regionally restricted Embryo_C1241_2_3D Expression was weak in the skull (base and vault).
TS22: axial skeleton Moderate Regionally restricted Embryo_C1241_2_3D
TS22: tail Weak Regionally restricted Embryo_C1241_2_2D
TS22: forelimb Moderate Regionally restricted Embryo_C1241_2_1B
TS22: hindlimb Moderate Regionally restricted Embryo_C1241_2_1B
TS22: integumental system Moderate Regionally restricted Embryo_C1241_2_2B
TS22: skin Moderate Regionally restricted Embryo_C1241_2_2B
TS22: hair Absent
TS22: vibrissa follicle Absent Expression was not detected in whisker follicle.


Contributing Projects:
Mouse Genome Database (MGD), Gene Expression Database (GXD), Mouse Models of Human Cancer database (MMHCdb) (formerly Mouse Tumor Biology (MTB)), Gene Ontology (GO)
Citing These Resources
Funding Information
Warranty Disclaimer, Privacy Notice, Licensing, & Copyright
Send questions and comments to User Support.
last database update
04/14/2026
MGI 6.24
The Jackson Laboratory