About   Help   FAQ
Gene Expression Data
Assay Details
Assay
Reference: J:122989 Visel A, et al., GenePaint.org: an atlas of gene expression patterns in the mouse embryo. Nucleic Acids Res. 2004 Jan 1;32(Database issue):D552-6
Assay type: RNA in situ
MGI Accession ID: MGI:5421289
Gene symbol: Dpysl4
Gene name: dihydropyrimidinase-like 4
Probe: MH829 probe 744
Probe preparation: Antisense labelled with digoxigenin RNA
Visualized with: Alkaline phosphatase
Assay notes: Cryosections of fresh frozen material were fixed in 4% paraformaldehyde for 20 min. before further processing. A tyramide-biotin/streptavidin amplification step was included in the in situ hybridization procedure. These data were downloaded from GenePaint.org on 1/30/12.
Results
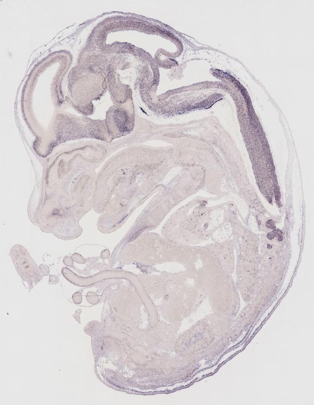
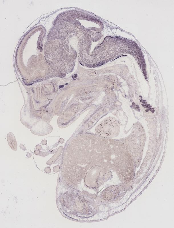
Specimen MH829; Specimen C1399: embryonic day 14.5 (more )
Structure Level Pattern Image Note
TS22: nervous system Strong Regionally restricted Embryo_C1399_4_5B
TS22: central nervous system Strong Regionally restricted Embryo_C1399_4_3B
TS22: telencephalon Strong Regionally restricted Embryo_C1399_4_5A
TS22: cerebral cortex Strong Regionally restricted Embryo_C1399_4_5A
TS22: neocortex Moderate Regionally restricted Embryo_C1399_4_3A
TS22: olfactory cortex Strong Regionally restricted Embryo_C1399_4_5A
TS22: main olfactory bulb Strong Regionally restricted Embryo_C1399_4_5A
TS22: piriform cortex Moderate Regionally restricted Embryo_C1399_4_1C
TS22: hippocampus Moderate Regionally restricted Embryo_C1399_4_2C
TS22: basal ganglia Moderate Regionally restricted Embryo_C1399_4_3B
TS22: corpus striatum Weak Regionally restricted Embryo_C1399_4_2C Expression was weak in the corpus striatum (lateral ganglionic eminence).
TS22: basal forebrain Moderate Regionally restricted Embryo_C1399_4_2D
TS22: amygdala Moderate Regionally restricted Embryo_C1399_4_1D
TS22: telencephalon septum Moderate Regionally restricted Embryo_C1399_4_3B
TS22: pallidum Weak Regionally restricted Embryo_C1399_4_3B Expression was weak in the pallidum (medial ganglionic eminence).
TS22: diencephalon Strong Regionally restricted Embryo_C1399_4_3D
TS22: thalamus Moderate Regionally restricted Embryo_C1399_4_3B
TS22: hypothalamus Strong Regionally restricted Embryo_C1399_4_3D
TS22: midbrain Strong Regionally restricted Embryo_C1399_4_3B
TS22: pretectum Moderate Regionally restricted Embryo_C1399_4_3B
TS22: superior colliculus Moderate Regionally restricted Embryo_C1399_4_3B
TS22: inferior colliculus Strong Regionally restricted Embryo_C1399_4_3B
TS22: midbrain tegmentum Strong Regionally restricted Embryo_C1399_4_4A
TS22: hindbrain Strong Regionally restricted Embryo_C1399_4_3B
TS22: cerebellum Strong Regionally restricted Embryo_C1399_4_3D
TS22: pons Strong Regionally restricted Embryo_C1399_4_3B
TS22: medulla oblongata Strong Regionally restricted Embryo_C1399_4_3B
TS22: spinal cord Strong Regionally restricted Embryo_C1399_4_3C
TS22: choroid plexus Absent
TS22: meninges Absent
TS22: peripheral nervous system Strong Regionally restricted Embryo_C1399_4_5B
TS22: cranial ganglion Strong Regionally restricted Embryo_C1399_4_5B
TS22: dorsal root ganglion Strong Regionally restricted Embryo_C1399_4_5B
TS22: eye Strong Regionally restricted Embryo_C1399_4_1A
TS22: retina Strong Regionally restricted Embryo_C1399_4_1A
TS22: lens Absent
TS22: optic nerve Absent
TS22: nose Moderate Regionally restricted Embryo_C1399_4_3C
TS22: olfactory epithelium Moderate Regionally restricted Embryo_C1399_4_3C
TS22: ear Strong Regionally restricted Embryo_C1399_4_2C
TS22: inner ear Strong Regionally restricted Embryo_C1399_4_2C
TS22: cochlea Strong Regionally restricted Embryo_C1399_4_2C
TS22: inner ear labyrinth Moderate Regionally restricted Embryo_C1399_4_1C
TS22: middle ear Weak Regionally restricted Embryo_C1399_4_1B
TS22: alimentary system Moderate Regionally restricted Embryo_C1399_4_4B Expression was detected in the digestive system.
TS22: intestine Moderate Regionally restricted Embryo_C1399_4_3C
TS22: salivary gland Absent
TS22: tongue Moderate Regionally restricted Embryo_C1399_4_3D
TS22: tooth Moderate Regionally restricted Embryo_C1399_4_3D
TS22: esophagus Moderate Regionally restricted Embryo_C1399_4_4B
TS22: stomach Moderate Regionally restricted Embryo_C1399_4_6A
TS22: liver Absent
TS22: respiratory system Weak Regionally restricted Embryo_C1399_4_5B
TS22: pharynx Weak Regionally restricted Embryo_C1399_4_4A
TS22: larynx Absent
TS22: trachea Weak Regionally restricted Embryo_C1399_4_5B
TS22: main bronchus Moderate Regionally restricted Embryo_C1399_4_3C
TS22: lung Weak Regionally restricted Embryo_C1399_4_4C
TS22: urinary system Absent Expression was not detected in the genito-urinary system.
TS22: metanephros Weak Regionally restricted Embryo_C1399_4_4C
TS22: ureter Absent
TS22: bladder Weak Regionally restricted Embryo_C1399_4_3D
TS22: urethra Absent
TS22: reproductive system Moderate Regionally restricted Embryo_C1399_4_3C
TS22: genital tubercle Moderate Regionally restricted Embryo_C1399_4_3C
TS22: gonad Absent
TS22: gland Absent Expression was not detected in the endocrine system.
TS22: thyroid gland Absent
TS22: pituitary gland Absent
TS22: pancreas Absent
TS22: adrenal gland Absent
TS22: cardiovascular system Moderate Regionally restricted Embryo_C1399_4_4A
TS22: heart Moderate Regionally restricted Embryo_C1399_4_4A
TS22: heart atrium Moderate Regionally restricted Embryo_C1399_4_4A
TS22: heart ventricle Absent
TS22: blood vessel Absent
TS22: hemolymphoid system Absent Expression was not detected in the immune system.
TS22: spleen primordium Absent
TS22: thymus primordium Absent
TS22: appendicular skeleton Weak Regionally restricted Embryo_C1399_4_6D Expression was weak in the skeleton (limbs, shoulder, hip).
TS22: musculature Moderate Regionally restricted Embryo_C1399_4_1C
TS22: face Moderate Regionally restricted Embryo_C1399_4_1C Expression was detected in the face/soft tissues.
TS22: facial bone primordium Absent
TS22: cranium Absent Expression was not detected in the skull (base and vault).
TS22: axial skeleton Weak Regionally restricted Embryo_C1399_4_4B
TS22: tail Weak Regionally restricted Embryo_C1399_4_4B
TS22: forelimb Absent
TS22: hindlimb Moderate Regionally restricted Embryo_C1399_4_1D
TS22: integumental system Weak Regionally restricted Embryo_C1399_4_1C
TS22: skin Absent
TS22: hair Weak Regionally restricted Embryo_C1399_4_1C
TS22: vibrissa follicle Weak Regionally restricted Embryo_C1399_4_1C Expression was weak in whisker follicle.


Contributing Projects:
Mouse Genome Database (MGD), Gene Expression Database (GXD), Mouse Models of Human Cancer database (MMHCdb) (formerly Mouse Tumor Biology (MTB)), Gene Ontology (GO)
Citing These Resources
Funding Information
Warranty Disclaimer, Privacy Notice, Licensing, & Copyright
Send questions and comments to User Support.
last database update
01/28/2026
MGI 6.24
The Jackson Laboratory