About   Help   FAQ
Gene Expression Data
Assay Details
Assay
Reference: J:122989 Visel A, et al., GenePaint.org: an atlas of gene expression patterns in the mouse embryo. Nucleic Acids Res. 2004 Jan 1;32(Database issue):D552-6
Assay type: RNA in situ
MGI Accession ID: MGI:5421288
Gene symbol: Ddc
Gene name: dopa decarboxylase
Probe: MH828 probe 735
Probe preparation: Antisense labelled with digoxigenin RNA
Visualized with: Alkaline phosphatase
Assay notes: Cryosections of fresh frozen material were fixed in 4% paraformaldehyde for 20 min. before further processing. A tyramide-biotin/streptavidin amplification step was included in the in situ hybridization procedure. These data were downloaded from GenePaint.org on 1/30/12.
Results
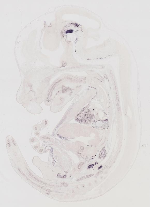
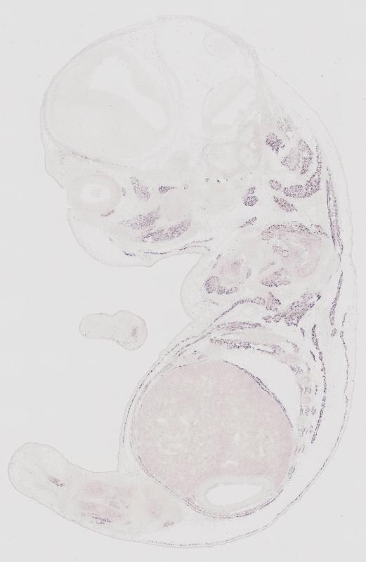
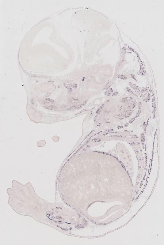
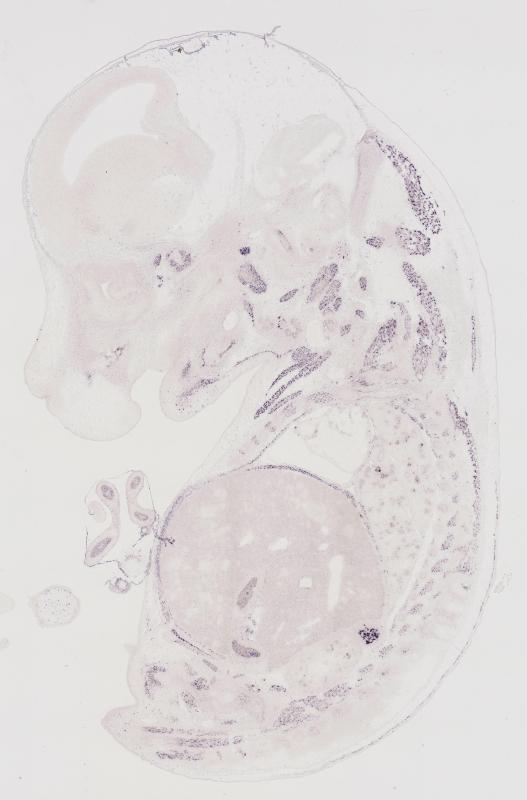
Specimen MH828; Specimen C1406: embryonic day 14.5 (more )
Structure Level Pattern Image Note
TS22: nervous system Moderate Regionally restricted Embryo_C1406_3_3A
TS22: central nervous system Strong Regionally restricted Embryo_C1406_3_3D
TS22: telencephalon Weak Regionally restricted Embryo_C1406_3_2A
TS22: cerebral cortex Absent
TS22: neocortex Absent
TS22: olfactory cortex Absent
TS22: main olfactory bulb Absent
TS22: piriform cortex Absent
TS22: hippocampus Absent
TS22: basal ganglia Weak Regionally restricted Embryo_C1406_3_2A
TS22: corpus striatum Absent Expression was not detected in the corpus striatum (lateral ganglionic eminence).
TS22: basal forebrain Weak Regionally restricted Embryo_C1406_3_2B
TS22: amygdala Weak Regionally restricted Embryo_C1406_3_2A
TS22: telencephalon septum Weak Regionally restricted Embryo_C1406_3_3A
TS22: pallidum Weak Regionally restricted Embryo_C1406_3_3A Expression was weak in the pallidum (medial ganglionic eminence).
TS22: diencephalon Strong Regionally restricted Embryo_C1406_3_3C
TS22: thalamus Strong Regionally restricted Embryo_C1406_3_3C
TS22: hypothalamus Strong Regionally restricted Embryo_C1406_3_3A
TS22: midbrain Strong Regionally restricted Embryo_C1406_3_3D
TS22: pretectum Moderate Regionally restricted Embryo_C1406_3_3D
TS22: superior colliculus Absent
TS22: inferior colliculus Absent
TS22: midbrain tegmentum Strong Regionally restricted Embryo_C1406_3_3D
TS22: hindbrain Strong Regionally restricted Embryo_C1406_3_4C
TS22: cerebellum Absent
TS22: pons Strong Regionally restricted Embryo_C1406_3_4C
TS22: medulla oblongata Strong Regionally restricted Embryo_C1406_3_4B
TS22: spinal cord Weak Regionally restricted Embryo_C1406_3_3C
TS22: choroid plexus Absent
TS22: meninges Absent
TS22: peripheral nervous system Strong Regionally restricted Embryo_C1406_3_3A
TS22: cranial ganglion Strong Regionally restricted Embryo_C1406_3_3A
TS22: dorsal root ganglion Absent
TS22: eye Weak Regionally restricted Embryo_C1406_3_6C
TS22: retina Weak Regionally restricted Embryo_C1406_3_6C
TS22: lens Absent
TS22: cornea Absent
TS22: optic nerve Absent Embryo_C1406_3_6A
TS22: nose Moderate Regionally restricted Embryo_C1406_3_4A
TS22: olfactory epithelium Moderate Regionally restricted Embryo_C1406_3_4A
TS22: ear Weak Regionally restricted Embryo_C1406_3_2C
TS22: inner ear Weak Regionally restricted Embryo_C1406_3_2C
TS22: cochlea Weak Regionally restricted Embryo_C1406_3_2C
TS22: inner ear labyrinth Absent
TS22: middle ear Absent
TS22: alimentary system Moderate Regionally restricted Embryo_C1406_3_5B Expression was detected in the digestive system.
TS22: intestine Moderate Regionally restricted Embryo_C1406_3_3B
TS22: salivary gland Weak Regionally restricted Embryo_C1406_3_3B
TS22: tongue Moderate Regionally restricted Embryo_C1406_3_3B
TS22: tooth Absent
TS22: palatal shelf Absent
TS22: esophagus Weak Regionally restricted Embryo_C1406_3_4A
TS22: stomach Moderate Regionally restricted Embryo_C1406_3_5B
TS22: liver Absent
TS22: respiratory system Moderate Regionally restricted Embryo_C1406_3_3D
TS22: pharynx Absent
TS22: larynx Absent
TS22: trachea Absent
TS22: main bronchus Moderate Regionally restricted Embryo_C1406_3_3D
TS22: lung Moderate Regionally restricted Embryo_C1406_3_3C
TS22: urinary system Weak Regionally restricted Embryo_C1406_3_4B Expression was weak in the genito-urinary system.
TS22: metanephros Weak Regionally restricted Embryo_C1406_3_4B
TS22: ureter Absent
TS22: bladder Weak Regionally restricted Embryo_C1406_3_3C
TS22: urethra Absent
TS22: reproductive system Absent
TS22: genital tubercle Absent
TS22: gonad Absent
TS22: gland Strong Regionally restricted Embryo_C1406_3_2B Expression was strong in the endocrine system.
TS22: thyroid gland Absent Embryo_C1406_3_4B
TS22: pituitary gland Absent
TS22: pancreas Moderate Regionally restricted Embryo_C1406_3_4B
TS22: adrenal gland Strong Regionally restricted Embryo_C1406_3_2B
TS22: cardiovascular system Strong Regionally restricted Embryo_C1406_3_3C
TS22: heart Strong Regionally restricted Embryo_C1406_3_3C
TS22: heart atrium Strong Regionally restricted Embryo_C1406_3_3C
TS22: heart ventricle Strong Regionally restricted Embryo_C1406_3_3B
TS22: blood vessel Absent
TS22: hemolymphoid system Absent Expression was not detected in the immune system.
TS22: spleen primordium Absent Embryo_C1406_3_5D
TS22: thymus primordium Absent Embryo_C1406_3_4B
TS22: appendicular skeleton Absent Expression was not detected in the skeleton (limbs, shoulder, hip).
TS22: musculature Moderate Regionally restricted Embryo_C1406_3_6B
TS22: face Weak Regionally restricted Embryo_C1406_3_2A Expression was weak in the face/soft tissues.
TS22: facial bone primordium Absent
TS22: cranium Weak Regionally restricted Embryo_C1406_3_3C Expression was weak in the skull (base and vault).
TS22: axial skeleton Weak Regionally restricted Embryo_C1406_3_3C
TS22: tail Moderate Regionally restricted Embryo_C1406_3_3D
TS22: forelimb Moderate Regionally restricted Embryo_C1406_3_1A
TS22: hindlimb Weak Regionally restricted Embryo_C1406_3_5B
TS22: integumental system Absent
TS22: skin Absent
TS22: hair Absent
TS22: vibrissa follicle Absent Expression was not detected in whisker follicle.


Contributing Projects:
Mouse Genome Database (MGD), Gene Expression Database (GXD), Mouse Models of Human Cancer database (MMHCdb) (formerly Mouse Tumor Biology (MTB)), Gene Ontology (GO)
Citing These Resources
Funding Information
Warranty Disclaimer, Privacy Notice, Licensing, & Copyright
Send questions and comments to User Support.
last database update
04/14/2026
MGI 6.24
The Jackson Laboratory