About   Help   FAQ
Gene Expression Data
Assay Details
Assay
Reference: J:122989 Visel A, et al., GenePaint.org: an atlas of gene expression patterns in the mouse embryo. Nucleic Acids Res. 2004 Jan 1;32(Database issue):D552-6
Assay type: RNA in situ
MGI Accession ID: MGI:5421262
Gene symbol: Fkbp3
Gene name: FK506 binding protein 3
Probe: MH795 probe 703
Probe preparation: Antisense labelled with digoxigenin RNA
Visualized with: Alkaline phosphatase
Assay notes: Cryosections of fresh frozen material were fixed in 4% paraformaldehyde for 20 min. before further processing. A tyramide-biotin/streptavidin amplification step was included in the in situ hybridization procedure. These data were downloaded from GenePaint.org on 1/30/12.
Results
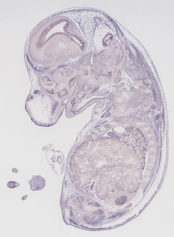
Specimen MH795; Specimen C1426: embryonic day 14.5 (more )
Structure Level Pattern Image Note
TS22: nervous system Strong Regionally restricted Embryo_C1426_5_3A
TS22: central nervous system Strong Regionally restricted Embryo_C1426_5_3A
TS22: telencephalon Strong Regionally restricted Embryo_C1426_5_3A
TS22: cerebral cortex Strong Regionally restricted Embryo_C1426_5_3A
TS22: neocortex Strong Regionally restricted Embryo_C1426_5_3A
TS22: olfactory cortex Weak Regionally restricted Embryo_C1426_5_2D
TS22: main olfactory bulb Weak Regionally restricted Embryo_C1426_5_2D
TS22: piriform cortex Weak Regionally restricted Embryo_C1426_5_1B
TS22: hippocampus Strong Regionally restricted Embryo_C1426_5_3A
TS22: basal ganglia Moderate Regionally restricted Embryo_C1426_5_1D
TS22: corpus striatum Moderate Regionally restricted Embryo_C1426_5_1D Expression was detected in the corpus striatum (lateral ganglionic eminence).
TS22: basal forebrain Absent
TS22: amygdala Absent
TS22: telencephalon septum Weak Regionally restricted Embryo_C1426_5_3C
TS22: pallidum Moderate Regionally restricted Embryo_C1426_5_2D Expression was detected in the pallidum (medial ganglionic eminence).
TS22: diencephalon Moderate Regionally restricted Embryo_C1426_5_3D
TS22: thalamus Moderate Regionally restricted Embryo_C1426_5_3D
TS22: hypothalamus Weak Regionally restricted Embryo_C1426_5_3A
TS22: midbrain Moderate Regionally restricted Embryo_C1426_5_4D
TS22: pretectum Weak Regionally restricted Embryo_C1426_5_5A
TS22: superior colliculus Moderate Regionally restricted Embryo_C1426_5_4D
TS22: inferior colliculus Moderate Regionally restricted Embryo_C1426_5_4D
TS22: midbrain tegmentum Moderate Regionally restricted Embryo_C1426_5_4C
TS22: hindbrain Moderate Regionally restricted Embryo_C1426_5_3C
TS22: cerebellum Moderate Regionally restricted Embryo_C1426_5_3C
TS22: pons Moderate Regionally restricted Embryo_C1426_5_5C
TS22: medulla oblongata Moderate Regionally restricted Embryo_C1426_5_4A
TS22: spinal cord Strong Regionally restricted Embryo_C1426_5_3C
TS22: choroid plexus Absent
TS22: meninges Absent
TS22: peripheral nervous system Moderate Regionally restricted Embryo_C1426_5_3A
TS22: cranial ganglion Weak Regionally restricted Embryo_C1426_5_2B
TS22: dorsal root ganglion Moderate Regionally restricted Embryo_C1426_5_3A
TS22: eye Moderate Regionally restricted Embryo_C1426_5_6D
TS22: retina Moderate Regionally restricted Embryo_C1426_5_6C
TS22: lens Moderate Regionally restricted Embryo_C1426_5_6D
TS22: cornea Weak Regionally restricted Embryo_C1426_5_6D
TS22: optic nerve Absent
TS22: nose Moderate Regionally restricted Embryo_C1426_5_4C
TS22: olfactory epithelium Moderate Regionally restricted Embryo_C1426_5_4C
TS22: ear Weak Regionally restricted Embryo_C1426_5_5D
TS22: inner ear Weak Regionally restricted Embryo_C1426_5_5B
TS22: cochlea Weak Regionally restricted Embryo_C1426_5_5A
TS22: inner ear labyrinth Weak Regionally restricted Embryo_C1426_5_5B
TS22: middle ear Absent
TS22: alimentary system Strong Regionally restricted Embryo_C1426_5_3B Expression was strong in the digestive system.
TS22: intestine Strong Regionally restricted Embryo_C1426_5_3B
TS22: salivary gland Strong Regionally restricted Embryo_C1426_5_5B
TS22: tongue Moderate Regionally restricted Embryo_C1426_5_3C
TS22: tooth Moderate Regionally restricted Embryo_C1426_5_3D
TS22: palatal shelf Weak Regionally restricted Embryo_C1426_5_3B
TS22: esophagus Moderate Regionally restricted Embryo_C1426_5_4A
TS22: stomach Moderate Regionally restricted Embryo_C1426_5_6A
TS22: liver Weak Regionally restricted Embryo_C1426_5_5A
TS22: respiratory system Strong Regionally restricted Embryo_C1426_5_5A
TS22: pharynx Weak Regionally restricted Embryo_C1426_5_3D
TS22: larynx Weak Regionally restricted Embryo_C1426_5_4A
TS22: trachea Moderate Regionally restricted Embryo_C1426_5_4A
TS22: main bronchus Strong Regionally restricted Embryo_C1426_5_5A
TS22: lung Strong Regionally restricted Embryo_C1426_5_5A
TS22: urinary system Moderate Regionally restricted Embryo_C1426_5_5B Expression was detected in the genito-urinary system.
TS22: metanephros Moderate Regionally restricted Embryo_C1426_5_5B
TS22: ureter Weak Regionally restricted Embryo_C1426_5_3A
TS22: bladder Weak Regionally restricted Embryo_C1426_5_3B
TS22: urethra Moderate Regionally restricted Embryo_C1426_5_3B
TS22: reproductive system Moderate Regionally restricted Embryo_C1426_5_3B
TS22: genital tubercle Absent
TS22: gonad Weak Regionally restricted Embryo_C1426_5_5C
TS22: gland Moderate Regionally restricted Embryo_C1426_5_4A Expression was detected in the endocrine system.
TS22: thyroid gland Weak Regionally restricted Embryo_C1426_5_3B
TS22: pituitary gland Moderate Regionally restricted Embryo_C1426_5_4B
TS22: pancreas Moderate Regionally restricted Embryo_C1426_5_4A
TS22: adrenal gland Weak Regionally restricted Embryo_C1426_5_4C
TS22: cardiovascular system Weak Regionally restricted Embryo_C1426_5_3C
TS22: heart Weak Regionally restricted Embryo_C1426_5_3C
TS22: heart atrium Weak Regionally restricted Embryo_C1426_5_3C
TS22: heart ventricle Absent
TS22: blood vessel Weak Regionally restricted Embryo_C1426_5_4C
TS22: hemolymphoid system Moderate Regionally restricted Embryo_C1426_5_3B Expression was detected in the immune system.
TS22: spleen primordium Absent
TS22: thymus primordium Moderate Regionally restricted Embryo_C1426_5_3B
TS22: appendicular skeleton Absent Expression was not detected in the skeleton (limbs, shoulder, hip).
TS22: musculature Absent
TS22: face Weak Regionally restricted Embryo_C1426_5_4A Expression was weak in the face/soft tissues.
TS22: facial bone primordium Absent
TS22: cranium Absent Expression was not detected in the skull (base and vault).
TS22: axial skeleton Absent
TS22: tail Moderate Regionally restricted Embryo_C1426_5_3C
TS22: forelimb Weak Regionally restricted Embryo_C1426_5_6D
TS22: hindlimb Weak Regionally restricted Embryo_C1426_5_5A
TS22: integumental system Strong Regionally restricted Embryo_C1426_5_5C
TS22: skin Moderate Regionally restricted Embryo_C1426_5_4B
TS22: hair Strong Regionally restricted Embryo_C1426_5_5C
TS22: vibrissa follicle Strong Regionally restricted Embryo_C1426_5_5C Expression was strong in whisker follicle.


Contributing Projects:
Mouse Genome Database (MGD), Gene Expression Database (GXD), Mouse Models of Human Cancer database (MMHCdb) (formerly Mouse Tumor Biology (MTB)), Gene Ontology (GO)
Citing These Resources
Funding Information
Warranty Disclaimer, Privacy Notice, Licensing, & Copyright
Send questions and comments to User Support.
last database update
12/30/2025
MGI 6.24
The Jackson Laboratory