About   Help   FAQ
Gene Expression Data
Assay Details
Assay
Reference: J:122989 Visel A, et al., GenePaint.org: an atlas of gene expression patterns in the mouse embryo. Nucleic Acids Res. 2004 Jan 1;32(Database issue):D552-6
Assay type: RNA in situ
MGI Accession ID: MGI:5421240
Gene symbol: Myb
Gene name: Myb proto-oncogene, transcription factor
Probe: MH766 probe 678
Probe preparation: Antisense labelled with digoxigenin RNA
Visualized with: Alkaline phosphatase
Assay notes: Cryosections of fresh frozen material were fixed in 4% paraformaldehyde for 20 min. before further processing. A tyramide-biotin/streptavidin amplification step was included in the in situ hybridization procedure. These data were downloaded from GenePaint.org on 1/30/12.
Results
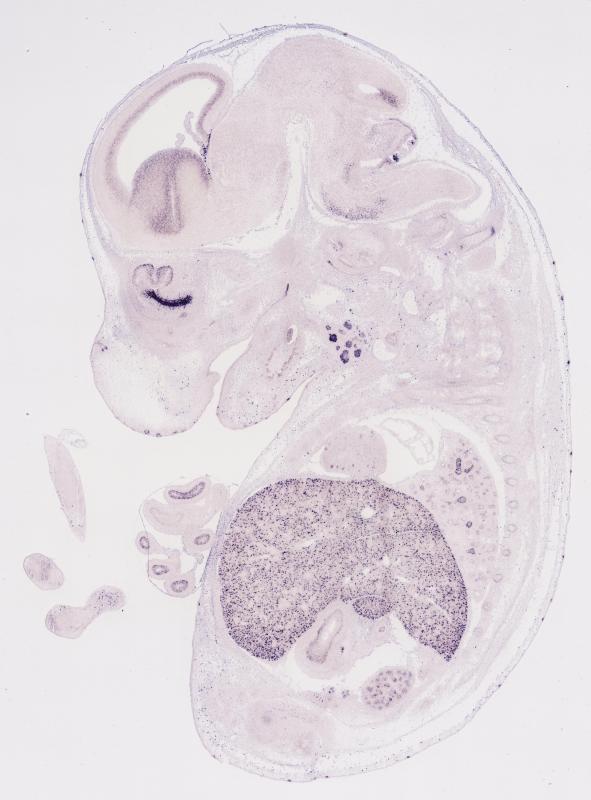
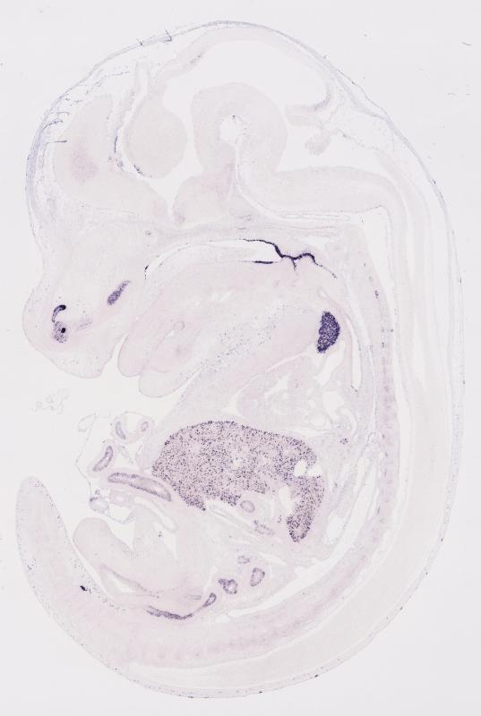
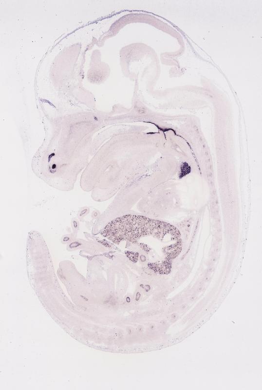
Specimen MH766; Specimen C1385: embryonic day 14.5 (more )
Structure Level Pattern Image Note
TS22: nervous system Strong Regionally restricted Embryo_C1385_4_1A
TS22: central nervous system Strong Regionally restricted Embryo_C1385_4_4C
TS22: telencephalon Moderate Regionally restricted Embryo_C1385_4_5C
TS22: cerebral cortex Weak Regionally restricted Embryo_C1385_4_5B
TS22: neocortex Weak Regionally restricted Embryo_C1385_4_5B
TS22: olfactory cortex Weak Regionally restricted Embryo_C1385_4_4C
TS22: main olfactory bulb Weak Regionally restricted Embryo_C1385_4_4C
TS22: piriform cortex Absent
TS22: hippocampus Weak Regionally restricted Embryo_C1385_4_5B
TS22: basal ganglia Moderate Regionally restricted Embryo_C1385_4_5C
TS22: corpus striatum Moderate Regionally restricted Embryo_C1385_4_5C Expression was detected in the corpus striatum (lateral ganglionic eminence).
TS22: basal forebrain Absent
TS22: amygdala Weak Regionally restricted Embryo_C1385_4_1C
TS22: telencephalon septum Weak Regionally restricted Embryo_C1385_4_4C
TS22: pallidum Moderate Regionally restricted Embryo_C1385_4_5B Expression was detected in the pallidum (medial ganglionic eminence).
TS22: diencephalon Strong Regionally restricted Embryo_C1385_4_3D
TS22: thalamus Strong Regionally restricted Embryo_C1385_4_3D
TS22: hypothalamus Weak Regionally restricted Embryo_C1385_4_4B
TS22: midbrain Strong Regionally restricted Embryo_C1385_4_4B
TS22: pretectum Weak Regionally restricted Embryo_C1385_4_3D
TS22: superior colliculus Absent
TS22: inferior colliculus Moderate Regionally restricted Embryo_C1385_4_4D
TS22: midbrain tegmentum Strong Regionally restricted Embryo_C1385_4_4B
TS22: hindbrain Weak Regionally restricted Embryo_C1385_4_5B
TS22: cerebellum Weak Regionally restricted Embryo_C1385_4_4B
TS22: pons Weak Regionally restricted Embryo_C1385_4_5B
TS22: medulla oblongata Weak Regionally restricted Embryo_C1385_4_5B
TS22: spinal cord Weak Regionally restricted Embryo_C1385_4_3B
TS22: choroid plexus Strong Regionally restricted Embryo_C1385_4_4C
TS22: meninges Absent
TS22: peripheral nervous system Absent
TS22: cranial ganglion Absent
TS22: dorsal root ganglion Absent
TS22: eye Strong Regionally restricted Embryo_C1385_4_1A
TS22: retina Strong Regionally restricted Embryo_C1385_4_1A
TS22: lens Absent
TS22: optic nerve Absent
TS22: nose Strong Regionally restricted Embryo_C1385_4_2D
TS22: olfactory epithelium Strong Regionally restricted Embryo_C1385_4_2D
TS22: ear Weak Regionally restricted Embryo_C1385_4_1C
TS22: inner ear Weak Regionally restricted Embryo_C1385_4_2D
TS22: cochlea Weak Regionally restricted Embryo_C1385_4_2D
TS22: inner ear labyrinth Weak Regionally restricted Embryo_C1385_4_1D
TS22: middle ear Weak Regionally restricted Embryo_C1385_4_1C
TS22: alimentary system Strong Regionally restricted Embryo_C1385_4_3C Expression was strong in the digestive system.
TS22: intestine Moderate Regionally restricted Embryo_C1385_4_3D
TS22: salivary gland Strong Regionally restricted Embryo_C1385_4_5C
TS22: tongue Strong Regionally restricted Embryo_C1385_4_3D
TS22: tooth Strong Regionally restricted Embryo_C1385_4_4C
TS22: palatal shelf Strong Regionally restricted Embryo_C1385_4_3C
TS22: esophagus Strong Regionally restricted Embryo_C1385_4_4A
TS22: stomach Weak Regionally restricted Embryo_C1385_4_5C
TS22: liver Strong Scattered Embryo_C1385_4_1C
TS22: respiratory system Strong Regionally restricted Embryo_C1385_4_3C
TS22: pharynx Strong Regionally restricted Embryo_C1385_4_3C
TS22: larynx Strong Regionally restricted Embryo_C1385_4_4A
TS22: trachea Weak Regionally restricted Embryo_C1385_4_4A
TS22: main bronchus Moderate Regionally restricted Embryo_C1385_4_4C
TS22: lung Moderate Regionally restricted Embryo_C1385_4_5B
TS22: urinary system Moderate Regionally restricted Embryo_C1385_4_5A Expression was detected in the genito-urinary system.
TS22: metanephros Moderate Regionally restricted Embryo_C1385_4_5A
TS22: ureter Weak Regionally restricted Embryo_C1385_4_3D
TS22: bladder Absent
TS22: urethra Weak Regionally restricted Embryo_C1385_4_3D
TS22: reproductive system Moderate Regionally restricted Embryo_C1385_4_3C
TS22: genital tubercle Moderate Scattered Embryo_C1385_4_3C
TS22: gonad Absent
TS22: gland Moderate Regionally restricted Embryo_C1385_4_4C Expression was detected in the endocrine system.
TS22: thyroid gland Weak Regionally restricted Embryo_C1385_4_4C
TS22: pituitary gland Weak Regionally restricted Embryo_C1385_4_4D
TS22: pancreas Moderate Regionally restricted Embryo_C1385_4_4C
TS22: adrenal gland Absent
TS22: cardiovascular system Absent
TS22: heart Absent
TS22: heart atrium Absent
TS22: heart ventricle Absent
TS22: blood vessel Absent
TS22: hemolymphoid system Strong Regionally restricted Embryo_C1385_4_3C Expression was strong in the immune system.
TS22: spleen primordium Strong Scattered Embryo_C1385_4_6A
TS22: thymus primordium Strong Regionally restricted Embryo_C1385_4_3C
TS22: appendicular skeleton Moderate Regionally restricted Embryo_C1385_4_1B Expression was detected in the skeleton (limbs, shoulder, hip).
TS22: musculature Absent
TS22: face Moderate Scattered Embryo_C1385_4_6A Expression was detected in the face/soft tissues.
TS22: facial bone primordium Weak Regionally restricted Embryo_C1385_4_4C
TS22: cranium Weak Regionally restricted Embryo_C1385_4_4B Expression was weak in the skull (base and vault).
TS22: axial skeleton Moderate Regionally restricted Embryo_C1385_4_4C
TS22: tail Moderate Scattered Embryo_C1385_4_3A
TS22: forelimb Moderate Scattered Embryo_C1385_4_6D
TS22: hindlimb Moderate Scattered Embryo_C1385_4_5C
TS22: integumental system Strong Regionally restricted Embryo_C1385_4_6A
TS22: skin Absent
TS22: hair Strong Regionally restricted Embryo_C1385_4_6A
TS22: vibrissa follicle Strong Regionally restricted Embryo_C1385_4_6A Expression was strong in whisker follicle.


Contributing Projects:
Mouse Genome Database (MGD), Gene Expression Database (GXD), Mouse Models of Human Cancer database (MMHCdb) (formerly Mouse Tumor Biology (MTB)), Gene Ontology (GO)
Citing These Resources
Funding Information
Warranty Disclaimer, Privacy Notice, Licensing, & Copyright
Send questions and comments to User Support.
last database update
12/30/2025
MGI 6.24
The Jackson Laboratory