About   Help   FAQ
Gene Expression Data
Assay Details
Assay
Reference: J:122989 Visel A, et al., GenePaint.org: an atlas of gene expression patterns in the mouse embryo. Nucleic Acids Res. 2004 Jan 1;32(Database issue):D552-6
Assay type: RNA in situ
MGI Accession ID: MGI:5421239
Gene symbol: Mef2c
Gene name: myocyte enhancer factor 2C
Probe: MH765 probe 656
Probe preparation: Antisense labelled with digoxigenin RNA
Visualized with: Alkaline phosphatase
Assay notes: Cryosections of fresh frozen material were fixed in 4% paraformaldehyde for 20 min. before further processing. A tyramide-biotin/streptavidin amplification step was included in the in situ hybridization procedure. These data were downloaded from GenePaint.org on 1/30/12.
Results
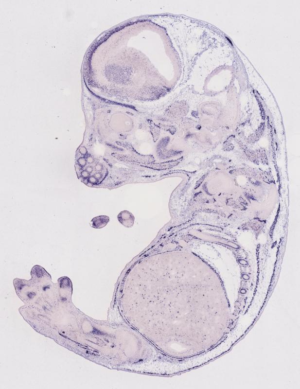
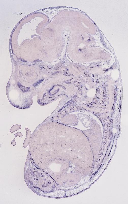
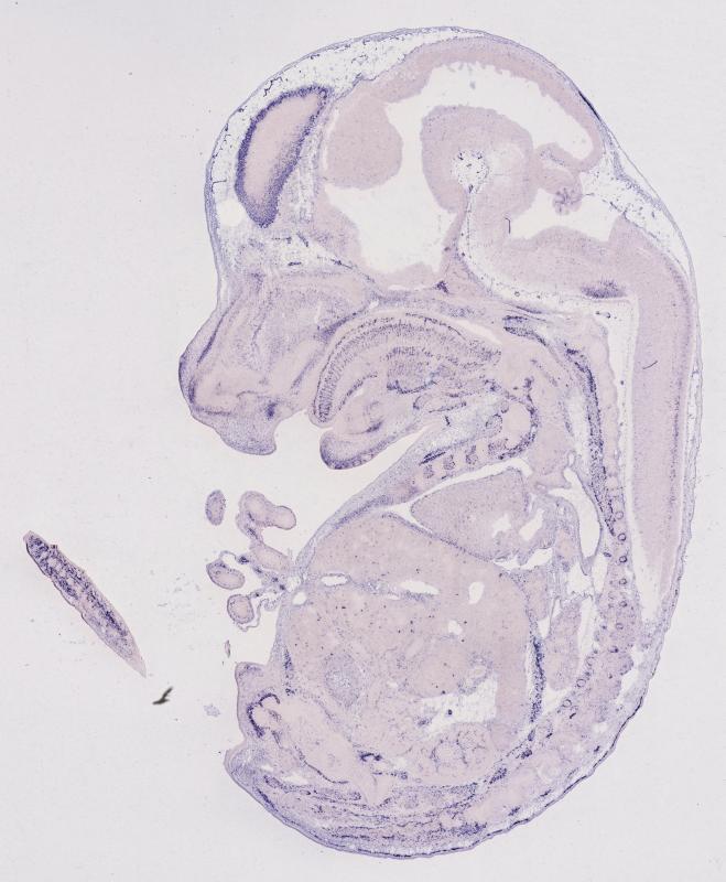
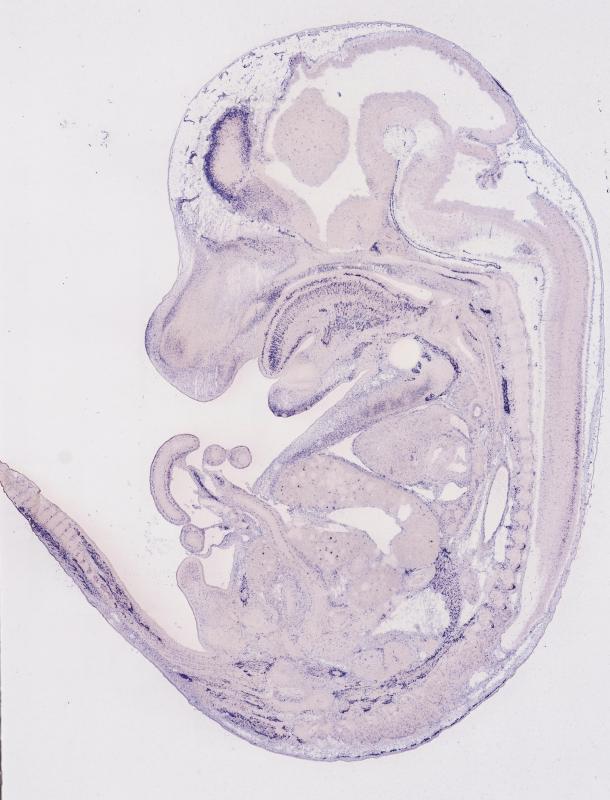
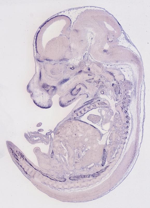
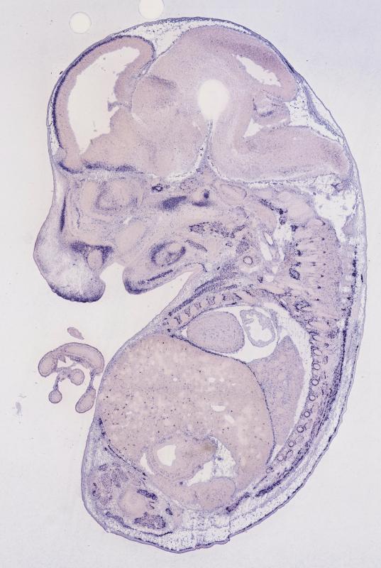
Specimen MH765; Specimen C1271: embryonic day 14.5 (more )
Structure Level Pattern Image Note
TS22: nervous system Strong Regionally restricted Embryo_C1271_6_3B
TS22: central nervous system Strong Regionally restricted Embryo_C1271_6_3B
TS22: telencephalon Strong Regionally restricted Embryo_C1271_6_3B
TS22: cerebral cortex Strong Regionally restricted Embryo_C1271_6_3B
TS22: neocortex Strong Regionally restricted Embryo_C1271_6_3B
TS22: olfactory cortex Strong Regionally restricted Embryo_C1271_6_5A
TS22: main olfactory bulb Strong Regionally restricted Embryo_C1271_6_5A
TS22: piriform cortex Moderate Regionally restricted Embryo_C1271_6_2A
TS22: hippocampus Moderate Regionally restricted Embryo_C1271_6_2B
TS22: basal ganglia Moderate Regionally restricted Embryo_C1271_6_1C
TS22: corpus striatum Weak Regionally restricted Embryo_C1271_6_6A Expression was weak in the corpus striatum (lateral ganglionic eminence).
TS22: basal forebrain Moderate Regionally restricted Embryo_C1271_6_3C
TS22: amygdala Moderate Regionally restricted Embryo_C1271_6_1C
TS22: telencephalon septum Moderate Regionally restricted Embryo_C1271_6_3D
TS22: pallidum Absent Expression was not detected in the pallidum (medial ganglionic eminence).
TS22: diencephalon Weak Regionally restricted Embryo_C1271_6_3C
TS22: thalamus Weak Regionally restricted Embryo_C1271_6_3C
TS22: hypothalamus Weak Regionally restricted Embryo_C1271_6_3D
TS22: midbrain Weak Regionally restricted Embryo_C1271_6_3C
TS22: pretectum Absent
TS22: superior colliculus Absent
TS22: inferior colliculus Weak Regionally restricted Embryo_C1271_6_3C
TS22: midbrain tegmentum Absent
TS22: hindbrain Moderate Regionally restricted Embryo_C1271_6_3A
TS22: cerebellum Moderate Regionally restricted Embryo_C1271_6_5B
TS22: pons Moderate Regionally restricted Embryo_C1271_6_3A
TS22: medulla oblongata Moderate Regionally restricted Embryo_C1271_6_4B
TS22: spinal cord Moderate Regionally restricted Embryo_C1271_6_3B
TS22: choroid plexus Weak Regionally restricted Embryo_C1271_6_4A
TS22: meninges Weak Regionally restricted Embryo_C1271_6_4A
TS22: peripheral nervous system Strong Regionally restricted Embryo_C1271_6_2C
TS22: cranial ganglion Strong Scattered Embryo_C1271_6_2C
TS22: dorsal root ganglion Weak Scattered Embryo_C1271_6_2D
TS22: eye Absent
TS22: retina Absent
TS22: lens Absent
TS22: cornea Absent
TS22: optic nerve Absent
TS22: nose Absent
TS22: olfactory epithelium Absent
TS22: ear Weak Regionally restricted Embryo_C1271_6_5A
TS22: inner ear Weak Regionally restricted Embryo_C1271_6_5A
TS22: cochlea Weak Regionally restricted Embryo_C1271_6_5A
TS22: inner ear labyrinth Absent
TS22: middle ear Absent
TS22: alimentary system Strong Regionally restricted Embryo_C1271_6_4A Expression was strong in the digestive system.
TS22: intestine Weak Regionally restricted Embryo_C1271_6_3C
TS22: salivary gland Absent
TS22: tongue Strong Regionally restricted Embryo_C1271_6_4A
TS22: tooth Absent
TS22: palatal shelf Weak Regionally restricted Embryo_C1271_6_3B
TS22: esophagus Absent
TS22: stomach Weak Regionally restricted Embryo_C1271_6_5A
TS22: liver Strong Scattered Embryo_C1271_6_2A
TS22: respiratory system Weak Regionally restricted Embryo_C1271_6_3A
TS22: pharynx Absent
TS22: larynx Absent
TS22: trachea Weak Regionally restricted Embryo_C1271_6_3D
TS22: main bronchus Absent
TS22: lung Weak Regionally restricted Embryo_C1271_6_3A
TS22: urinary system Moderate Regionally restricted Embryo_C1271_6_3C Expression was detected in the genito-urinary system.
TS22: metanephros Moderate Regionally restricted Embryo_C1271_6_2C
TS22: ureter Absent
TS22: bladder Weak Regionally restricted Embryo_C1271_6_3C
TS22: urethra Absent
TS22: reproductive system Moderate Regionally restricted Embryo_C1271_6_3C
TS22: genital tubercle Moderate Regionally restricted Embryo_C1271_6_3C
TS22: gonad Absent
TS22: gland Moderate Regionally restricted Embryo_C1271_6_4A Expression was detected in the endocrine system.
TS22: thyroid gland Absent
TS22: pituitary gland Moderate Regionally restricted Embryo_C1271_6_4A
TS22: pancreas Weak Regionally restricted Embryo_C1271_6_4C
TS22: adrenal gland Weak Regionally restricted Embryo_C1271_6_2C
TS22: cardiovascular system Weak Regionally restricted Embryo_C1271_6_4A
TS22: heart Weak Regionally restricted Embryo_C1271_6_4A
TS22: heart atrium Weak Regionally restricted Embryo_C1271_6_3A
TS22: heart ventricle Weak Regionally restricted Embryo_C1271_6_4A
TS22: blood vessel Weak Regionally restricted Embryo_C1271_6_4C
TS22: hemolymphoid system Weak Regionally restricted Embryo_C1271_6_3C Expression was weak in the immune system.
TS22: spleen primordium Absent
TS22: thymus primordium Weak Regionally restricted Embryo_C1271_6_3C
TS22: appendicular skeleton Absent Expression was not detected in the skeleton (limbs, shoulder, hip).
TS22: musculature Strong Regionally restricted Embryo_C1271_6_1C
TS22: face Strong Regionally restricted Embryo_C1271_6_3B Expression was strong in the face/soft tissues.
TS22: facial bone primordium Absent
TS22: cranium Moderate Regionally restricted Embryo_C1271_6_3D Expression was detected in the skull (base and vault).
TS22: axial skeleton Moderate Regionally restricted Embryo_C1271_6_6C
TS22: tail Strong Regionally restricted Embryo_C1271_6_3A
TS22: forelimb Strong Regionally restricted Embryo_C1271_6_1B
TS22: hindlimb Strong Regionally restricted Embryo_C1271_6_6A
TS22: integumental system Strong Regionally restricted Embryo_C1271_6_2D
TS22: skin Strong Regionally restricted Embryo_C1271_6_2D
TS22: hair Absent
TS22: vibrissa follicle Absent Expression was not detected in whisker follicle.


Contributing Projects:
Mouse Genome Database (MGD), Gene Expression Database (GXD), Mouse Models of Human Cancer database (MMHCdb) (formerly Mouse Tumor Biology (MTB)), Gene Ontology (GO)
Citing These Resources
Funding Information
Warranty Disclaimer, Privacy Notice, Licensing, & Copyright
Send questions and comments to User Support.
last database update
12/30/2025
MGI 6.24
The Jackson Laboratory