About   Help   FAQ
Gene Expression Data
Assay Details
Assay
Reference: J:122989 Visel A, et al., GenePaint.org: an atlas of gene expression patterns in the mouse embryo. Nucleic Acids Res. 2004 Jan 1;32(Database issue):D552-6
Assay type: RNA in situ
MGI Accession ID: MGI:5421220
Gene symbol: Cnih2
Gene name: cornichon family AMPA receptor auxiliary protein 2
Probe: MH744 probe 643
Probe preparation: Antisense labelled with digoxigenin RNA
Visualized with: Alkaline phosphatase
Assay notes: Cryosections of fresh frozen material were fixed in 4% paraformaldehyde for 20 min. before further processing. A tyramide-biotin/streptavidin amplification step was included in the in situ hybridization procedure. These data were downloaded from GenePaint.org on 1/30/12.
Results
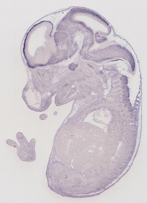
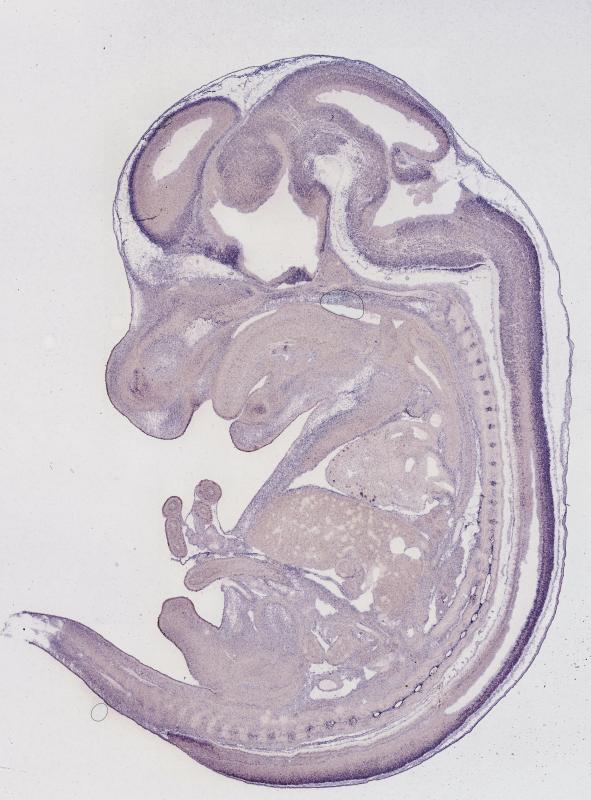
Specimen MH744; Specimen C1272: embryonic day 14.5 (more )
Structure Level Pattern Image Note
TS22: nervous system Strong Regionally restricted Embryo_C1272_5_2D
TS22: central nervous system Strong Regionally restricted Embryo_C1272_5_2D
TS22: telencephalon Strong Regionally restricted Embryo_C1272_5_2D
TS22: cerebral cortex Strong Regionally restricted Embryo_C1272_5_2D
TS22: neocortex Strong Regionally restricted Embryo_C1272_5_2D
TS22: olfactory cortex Moderate Regionally restricted Embryo_C1272_5_3A
TS22: main olfactory bulb Moderate Regionally restricted Embryo_C1272_5_3A
TS22: piriform cortex Weak Regionally restricted Embryo_C1272_5_1C
TS22: hippocampus Moderate Regionally restricted Embryo_C1272_5_2D
TS22: basal ganglia Moderate Regionally restricted Embryo_C1272_5_3A
TS22: corpus striatum Weak Regionally restricted Embryo_C1272_5_2B Expression was weak in the corpus striatum (lateral ganglionic eminence).
TS22: basal forebrain Moderate Regionally restricted Embryo_C1272_5_3A
TS22: amygdala Weak Regionally restricted Embryo_C1272_5_1C
TS22: telencephalon septum Moderate Regionally restricted Embryo_C1272_5_4C
TS22: pallidum Absent Expression was not detected in the pallidum (medial ganglionic eminence).
TS22: diencephalon Moderate Regionally restricted Embryo_C1272_5_3B
TS22: thalamus Moderate Regionally restricted Embryo_C1272_5_3B
TS22: hypothalamus Moderate Regionally restricted Embryo_C1272_5_3B
TS22: midbrain Strong Regionally restricted Embryo_C1272_5_3C
TS22: pretectum Moderate Regionally restricted Embryo_C1272_5_3D
TS22: superior colliculus Strong Regionally restricted Embryo_C1272_5_3C
TS22: inferior colliculus Strong Regionally restricted Embryo_C1272_5_3C
TS22: midbrain tegmentum Moderate Regionally restricted Embryo_C1272_5_3C
TS22: hindbrain Strong Regionally restricted Embryo_C1272_5_3B
TS22: cerebellum Moderate Regionally restricted Embryo_C1272_5_3D
TS22: pons Moderate Regionally restricted Embryo_C1272_5_3B
TS22: medulla oblongata Strong Regionally restricted Embryo_C1272_5_3B
TS22: spinal cord Strong Regionally restricted Embryo_C1272_5_4A
TS22: choroid plexus Absent
TS22: meninges Weak Regionally restricted Embryo_C1272_5_2D
TS22: peripheral nervous system Moderate Regionally restricted Embryo_C1272_5_3A
TS22: cranial ganglion Moderate Regionally restricted Embryo_C1272_5_2C
TS22: dorsal root ganglion Moderate Regionally restricted Embryo_C1272_5_3A
TS22: eye Moderate Regionally restricted Embryo_C1272_5_1C
TS22: retina Moderate Regionally restricted Embryo_C1272_5_1C
TS22: lens Weak Regionally restricted Embryo_C1272_5_1B
TS22: optic nerve Absent
TS22: nose Moderate Regionally restricted Embryo_C1272_5_3C
TS22: olfactory epithelium Moderate Regionally restricted Embryo_C1272_5_3C
TS22: ear Moderate Regionally restricted Embryo_C1272_5_2C
TS22: inner ear Moderate Regionally restricted Embryo_C1272_5_2C
TS22: cochlea Moderate Regionally restricted Embryo_C1272_5_5A
TS22: inner ear labyrinth Moderate Regionally restricted Embryo_C1272_5_2C
TS22: middle ear Absent
TS22: alimentary system Moderate Regionally restricted Embryo_C1272_5_3C Expression was detected in the digestive system.
TS22: intestine Absent
TS22: salivary gland Weak Regionally restricted Embryo_C1272_5_5C
TS22: tongue Moderate Regionally restricted Embryo_C1272_5_4C
TS22: tooth Moderate Regionally restricted Embryo_C1272_5_3C
TS22: palatal shelf Weak Regionally restricted Embryo_C1272_5_3C
TS22: esophagus Weak Regionally restricted Embryo_C1272_5_4A
TS22: stomach Weak Regionally restricted Embryo_C1272_5_5D
TS22: liver Absent
TS22: respiratory system Weak Regionally restricted Embryo_C1272_5_5C
TS22: pharynx Absent
TS22: larynx Absent
TS22: trachea Absent
TS22: main bronchus Absent
TS22: lung Weak Regionally restricted Embryo_C1272_5_5C
TS22: urinary system Weak Regionally restricted Embryo_C1272_5_4B Expression was weak in the genito-urinary system.
TS22: metanephros Weak Regionally restricted Embryo_C1272_5_2C
TS22: ureter Absent
TS22: bladder Weak Regionally restricted Embryo_C1272_5_4B
TS22: urethra Absent
TS22: reproductive system Weak Regionally restricted Embryo_C1272_5_3C
TS22: genital tubercle Weak Regionally restricted Embryo_C1272_5_3C
TS22: gonad Absent
TS22: gland Absent Expression was not detected in the endocrine system.
TS22: thyroid gland Absent
TS22: pituitary gland Absent
TS22: pancreas Absent
TS22: adrenal gland Absent
TS22: cardiovascular system Absent
TS22: heart Absent
TS22: heart atrium Absent
TS22: heart ventricle Absent
TS22: blood vessel Absent
TS22: hemolymphoid system Absent Expression was not detected in the immune system.
TS22: spleen primordium Absent
TS22: thymus primordium Absent
TS22: appendicular skeleton Moderate Regionally restricted Embryo_C1272_5_2B Expression was detected in the skeleton (limbs, shoulder, hip).
TS22: musculature Absent
TS22: face Weak Regionally restricted Embryo_C1272_5_3A Expression was weak in the face/soft tissues.
TS22: facial bone primordium Moderate Regionally restricted Embryo_C1272_5_5A
TS22: cranium Weak Regionally restricted Embryo_C1272_5_4B Expression was weak in the skull (base and vault).
TS22: axial skeleton Weak Regionally restricted Embryo_C1272_5_6A
TS22: tail Weak Regionally restricted Embryo_C1272_5_4C
TS22: forelimb Weak Regionally restricted Embryo_C1272_5_1B
TS22: hindlimb Weak Regionally restricted Embryo_C1272_5_1D
TS22: integumental system Weak Regionally restricted Embryo_C1272_5_2B
TS22: skin Weak Regionally restricted Embryo_C1272_5_2B
TS22: hair Absent
TS22: vibrissa follicle Absent Expression was not detected in whisker follicle.


Contributing Projects:
Mouse Genome Database (MGD), Gene Expression Database (GXD), Mouse Models of Human Cancer database (MMHCdb) (formerly Mouse Tumor Biology (MTB)), Gene Ontology (GO)
Citing These Resources
Funding Information
Warranty Disclaimer, Privacy Notice, Licensing, & Copyright
Send questions and comments to User Support.
last database update
12/30/2025
MGI 6.24
The Jackson Laboratory