About   Help   FAQ
Gene Expression Data
Assay Details
Assay
Reference: J:122989 Visel A, et al., GenePaint.org: an atlas of gene expression patterns in the mouse embryo. Nucleic Acids Res. 2004 Jan 1;32(Database issue):D552-6
Assay type: RNA in situ
MGI Accession ID: MGI:5421200
Gene symbol: Arhgap5
Gene name: Rho GTPase activating protein 5
Probe: MH713 probe 638
Probe preparation: Antisense labelled with digoxigenin RNA
Visualized with: Alkaline phosphatase
Assay notes: Cryosections of fresh frozen material were fixed in 4% paraformaldehyde for 20 min. before further processing. A tyramide-biotin/streptavidin amplification step was included in the in situ hybridization procedure. These data were downloaded from GenePaint.org on 1/30/12.
Results
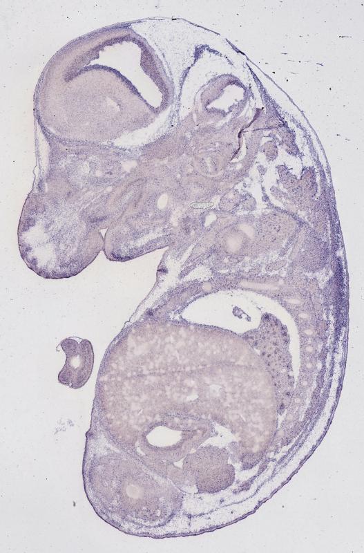
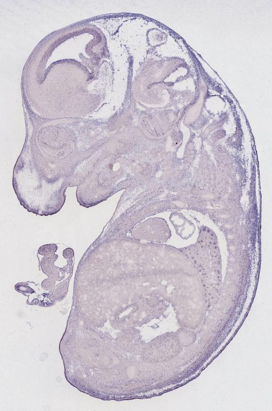
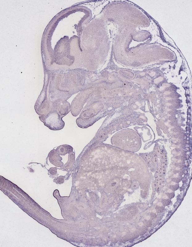
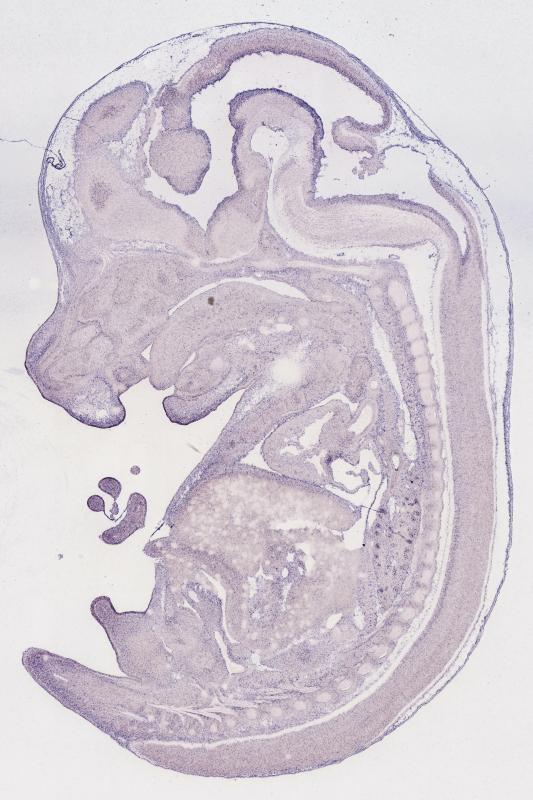
Specimen MH713; Specimen C1272: embryonic day 14.5 (more )
Structure Level Pattern Image Note
TS22: nervous system Strong Regionally restricted Embryo_C1272_2_4A
TS22: central nervous system Strong Regionally restricted Embryo_C1272_2_4A
TS22: telencephalon Strong Regionally restricted Embryo_C1272_2_2A
TS22: cerebral cortex Moderate Regionally restricted Embryo_C1272_2_5A
TS22: neocortex Moderate Regionally restricted Embryo_C1272_2_5A
TS22: olfactory cortex Moderate Regionally restricted Embryo_C1272_2_4C
TS22: main olfactory bulb Moderate Regionally restricted Embryo_C1272_2_4C
TS22: piriform cortex Weak Regionally restricted Embryo_C1272_2_6A
TS22: hippocampus Moderate Regionally restricted Embryo_C1272_2_5A
TS22: basal ganglia Strong Regionally restricted Embryo_C1272_2_2A
TS22: corpus striatum Strong Regionally restricted Embryo_C1272_2_2A Expression was strong in the corpus striatum (lateral ganglionic eminence).
TS22: basal forebrain Absent
TS22: amygdala Absent
TS22: telencephalon septum Moderate Regionally restricted Embryo_C1272_2_4B
TS22: pallidum Moderate Regionally restricted Embryo_C1272_2_5A Expression was detected in the pallidum (medial ganglionic eminence).
TS22: diencephalon Moderate Regionally restricted Embryo_C1272_2_3D
TS22: thalamus Moderate Regionally restricted Embryo_C1272_2_3D
TS22: hypothalamus Moderate Regionally restricted Embryo_C1272_2_3D
TS22: midbrain Strong Regionally restricted Embryo_C1272_2_3B
TS22: pretectum Absent
TS22: superior colliculus Moderate Regionally restricted Embryo_C1272_2_3C
TS22: inferior colliculus Moderate Regionally restricted Embryo_C1272_2_3C
TS22: midbrain tegmentum Strong Regionally restricted Embryo_C1272_2_3B
TS22: hindbrain Moderate Regionally restricted Embryo_C1272_2_4A
TS22: cerebellum Moderate Regionally restricted Embryo_C1272_2_2C
TS22: pons Moderate Regionally restricted Embryo_C1272_2_2B
TS22: medulla oblongata Moderate Regionally restricted Embryo_C1272_2_4A
TS22: spinal cord Strong Regionally restricted Embryo_C1272_2_4A
TS22: choroid plexus Weak Regionally restricted Embryo_C1272_2_4D
TS22: meninges Weak Regionally restricted Embryo_C1272_2_4A
TS22: peripheral nervous system Moderate Regionally restricted Embryo_C1272_2_5A
TS22: cranial ganglion Weak Regionally restricted Embryo_C1272_2_2A
TS22: dorsal root ganglion Weak Regionally restricted Embryo_C1272_2_5A
TS22: eye Weak Regionally restricted Embryo_C1272_2_1A
TS22: retina Weak Regionally restricted Embryo_C1272_2_1A
TS22: lens Weak Regionally restricted Embryo_C1272_2_1A
TS22: cornea Weak Regionally restricted Embryo_C1272_2_1A
TS22: optic nerve Absent
TS22: nose Weak Regionally restricted Embryo_C1272_2_3C
TS22: olfactory epithelium Weak Regionally restricted Embryo_C1272_2_3C
TS22: ear Weak Regionally restricted Embryo_C1272_2_3A
TS22: inner ear Weak Regionally restricted Embryo_C1272_2_3A
TS22: cochlea Weak Regionally restricted Embryo_C1272_2_3A
TS22: inner ear labyrinth Weak Regionally restricted Embryo_C1272_2_5C
TS22: middle ear Weak Regionally restricted Embryo_C1272_2_1C
TS22: alimentary system Weak Regionally restricted Embryo_C1272_2_4B Expression was weak in the digestive system.
TS22: intestine Weak Regionally restricted Embryo_C1272_2_4B
TS22: salivary gland Weak Regionally restricted Embryo_C1272_2_3A
TS22: tongue Weak Regionally restricted Embryo_C1272_2_3D
TS22: tooth Weak Regionally restricted Embryo_C1272_2_3C
TS22: palatal shelf Weak Regionally restricted Embryo_C1272_2_3B
TS22: esophagus Weak Regionally restricted Embryo_C1272_2_4B
TS22: stomach Weak Regionally restricted Embryo_C1272_2_6A
TS22: liver Weak Regionally restricted Embryo_C1272_2_3A
TS22: respiratory system Moderate Regionally restricted Embryo_C1272_2_3A
TS22: pharynx Weak Regionally restricted Embryo_C1272_2_4B
TS22: larynx Weak Regionally restricted Embryo_C1272_2_4A
TS22: trachea Moderate Regionally restricted Embryo_C1272_2_4A
TS22: main bronchus Moderate Regionally restricted Embryo_C1272_2_3D
TS22: lung Moderate Regionally restricted Embryo_C1272_2_3A
TS22: urinary system Weak Regionally restricted Embryo_C1272_2_4B Expression was weak in the genito-urinary system.
TS22: metanephros Weak Regionally restricted Embryo_C1272_2_5B
TS22: ureter Weak Regionally restricted Embryo_C1272_2_4B
TS22: bladder Weak Regionally restricted Embryo_C1272_2_4C
TS22: urethra Weak Regionally restricted Embryo_C1272_2_4B
TS22: reproductive system Weak Regionally restricted Embryo_C1272_2_4A
TS22: genital tubercle Weak Regionally restricted Embryo_C1272_2_4A
TS22: gonad Absent
TS22: gland Weak Regionally restricted Embryo_C1272_2_3D Expression was weak in the endocrine system.
TS22: thyroid gland Weak Regionally restricted Embryo_C1272_2_3C
TS22: pituitary gland Weak Regionally restricted Embryo_C1272_2_3D
TS22: pancreas Weak Regionally restricted Embryo_C1272_2_5B
TS22: adrenal gland Absent
TS22: cardiovascular system Moderate Regionally restricted Embryo_C1272_2_3D
TS22: heart Moderate Regionally restricted Embryo_C1272_2_3D
TS22: heart atrium Moderate Regionally restricted Embryo_C1272_2_3D
TS22: heart ventricle Weak Regionally restricted Embryo_C1272_2_3C
TS22: blood vessel Weak Regionally restricted Embryo_C1272_2_4C
TS22: hemolymphoid system Weak Regionally restricted Embryo_C1272_2_3D Expression was weak in the immune system.
TS22: spleen primordium Absent
TS22: thymus primordium Weak Regionally restricted Embryo_C1272_2_3D
TS22: appendicular skeleton Absent Expression was not detected in the skeleton (limbs, shoulder, hip).
TS22: musculature Absent
TS22: face Moderate Regionally restricted Embryo_C1272_2_3A Expression was detected in the face/soft tissues.
TS22: facial bone primordium Absent
TS22: cranium Weak Regionally restricted Embryo_C1272_2_4C Expression was weak in the skull (base and vault).
TS22: axial skeleton Weak Regionally restricted Embryo_C1272_2_4B
TS22: tail Weak Regionally restricted Embryo_C1272_2_4B
TS22: forelimb Weak Regionally restricted Embryo_C1272_2_1A
TS22: hindlimb Weak Regionally restricted Embryo_C1272_2_1A
TS22: integumental system Moderate Regionally restricted Embryo_C1272_2_2B
TS22: skin Moderate Regionally restricted Embryo_C1272_2_2B
TS22: hair Absent
TS22: vibrissa follicle Absent Expression was not detected in whisker follicle.


Contributing Projects:
Mouse Genome Database (MGD), Gene Expression Database (GXD), Mouse Models of Human Cancer database (MMHCdb) (formerly Mouse Tumor Biology (MTB)), Gene Ontology (GO)
Citing These Resources
Funding Information
Warranty Disclaimer, Privacy Notice, Licensing, & Copyright
Send questions and comments to User Support.
last database update
04/14/2026
MGI 6.24
The Jackson Laboratory