About   Help   FAQ
Gene Expression Data
Assay Details
Assay
Reference: J:122989 Visel A, et al., GenePaint.org: an atlas of gene expression patterns in the mouse embryo. Nucleic Acids Res. 2004 Jan 1;32(Database issue):D552-6
Assay type: RNA in situ
MGI Accession ID: MGI:5421174
Gene symbol: Tacr3
Gene name: tachykinin receptor 3
Probe: MH665 probe 563
Probe preparation: Antisense labelled with digoxigenin RNA
Visualized with: Alkaline phosphatase
Assay notes: Cryosections of fresh frozen material were fixed in 4% paraformaldehyde for 20 min. before further processing. A tyramide-biotin/streptavidin amplification step was included in the in situ hybridization procedure. These data were downloaded from GenePaint.org on 1/30/12.
Results
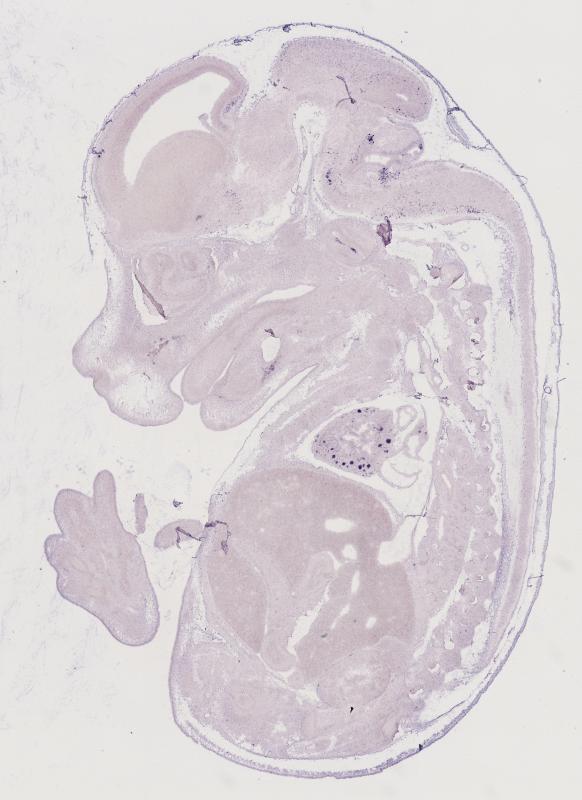
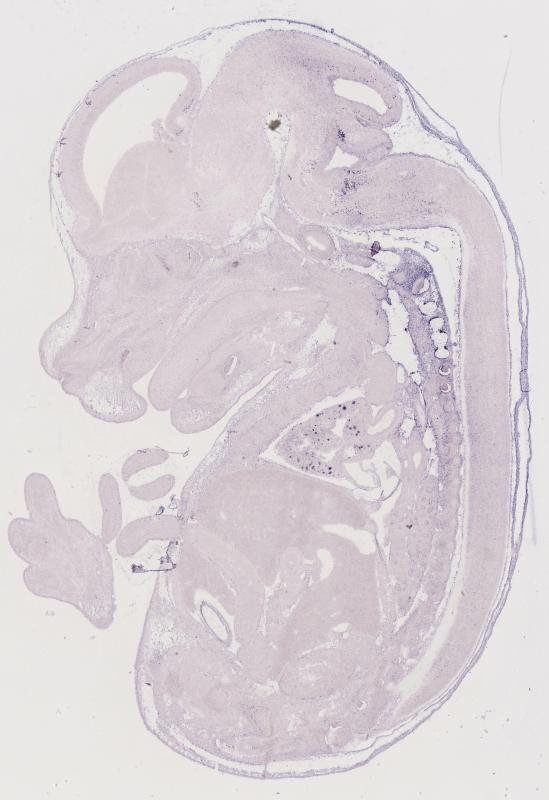
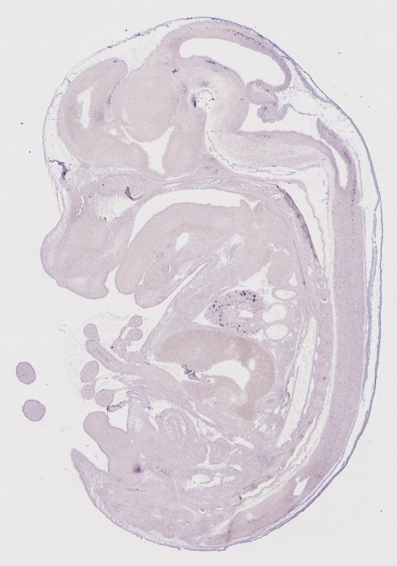
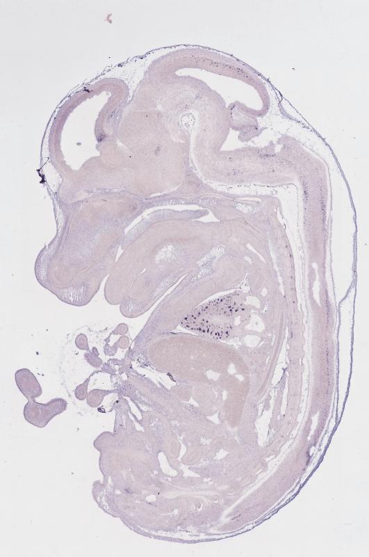
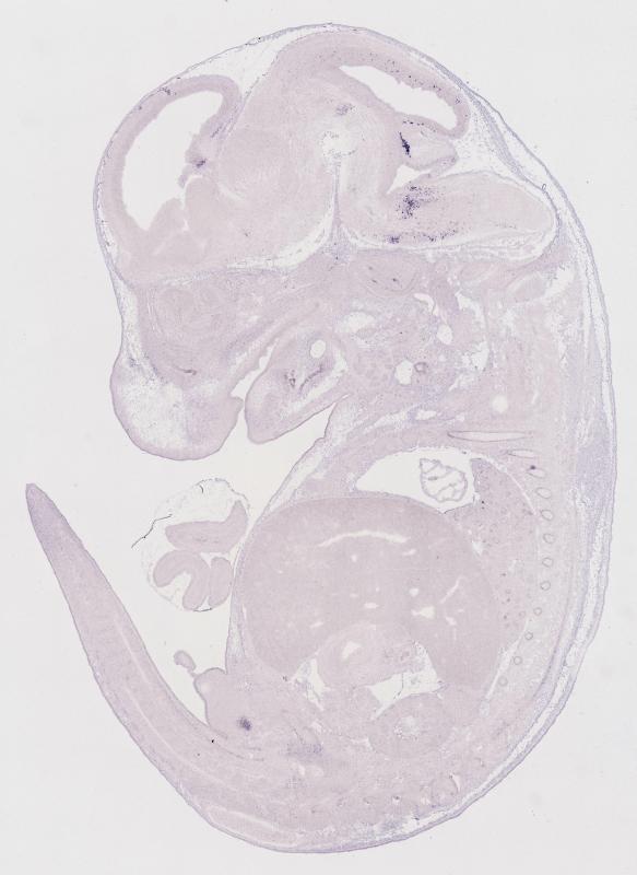
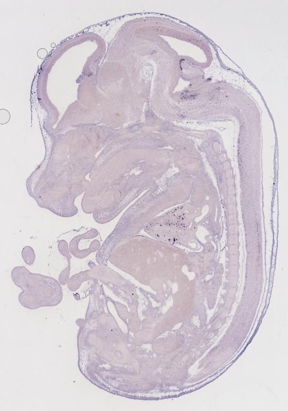
Specimen MH665; Specimen C1436: embryonic day 14.5 (more )
Structure Level Pattern Image Note
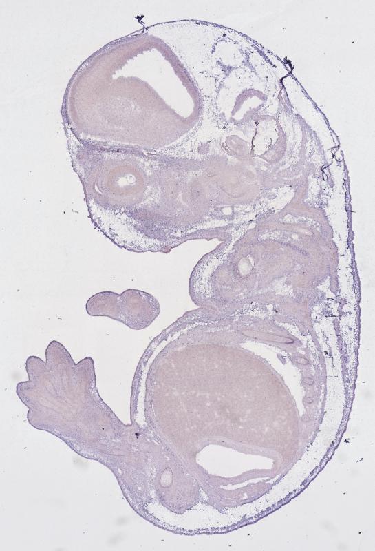
TS22: nervous system Strong Regionally restricted Embryo_C1436_1_2D
TS22: central nervous system Strong Regionally restricted Embryo_C1436_1_2D
TS22: telencephalon Weak Regionally restricted Embryo_C1436_1_1D
TS22: cerebral cortex Weak Regionally restricted Embryo_C1436_1_1D
TS22: neocortex Absent
TS22: olfactory cortex Absent
TS22: main olfactory bulb Absent
TS22: piriform cortex Absent
TS22: hippocampus Weak Regionally restricted Embryo_C1436_1_1D
TS22: basal ganglia Weak Regionally restricted Embryo_C1436_1_2A
TS22: corpus striatum Absent Expression was not detected in the corpus striatum (lateral ganglionic eminence).
TS22: basal forebrain Absent
TS22: amygdala Weak Regionally restricted Embryo_C1436_1_2A
TS22: telencephalon septum Absent
TS22: pallidum Weak Regionally restricted Embryo_C1436_1_3A Expression was weak in the pallidum (medial ganglionic eminence).
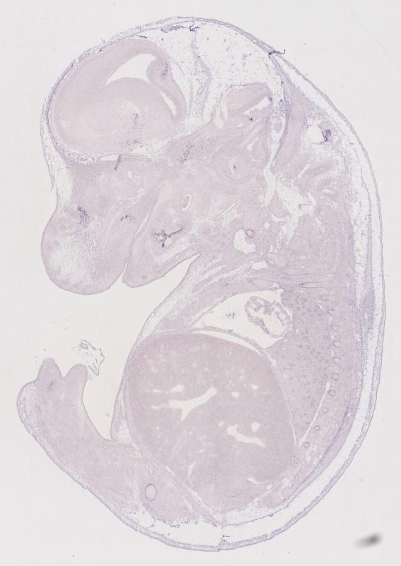
TS22: diencephalon Moderate Regionally restricted Embryo_C1436_1_4A
TS22: thalamus Absent
TS22: hypothalamus Moderate Regionally restricted Embryo_C1436_1_4A
TS22: midbrain Strong Regionally restricted Embryo_C1436_1_4C
TS22: pretectum Strong Regionally restricted Embryo_C1436_1_4A
TS22: superior colliculus Strong Scattered Embryo_C1436_1_4C
TS22: inferior colliculus Strong Scattered Embryo_C1436_1_4D
TS22: midbrain tegmentum Strong Regionally restricted Embryo_C1436_1_3C
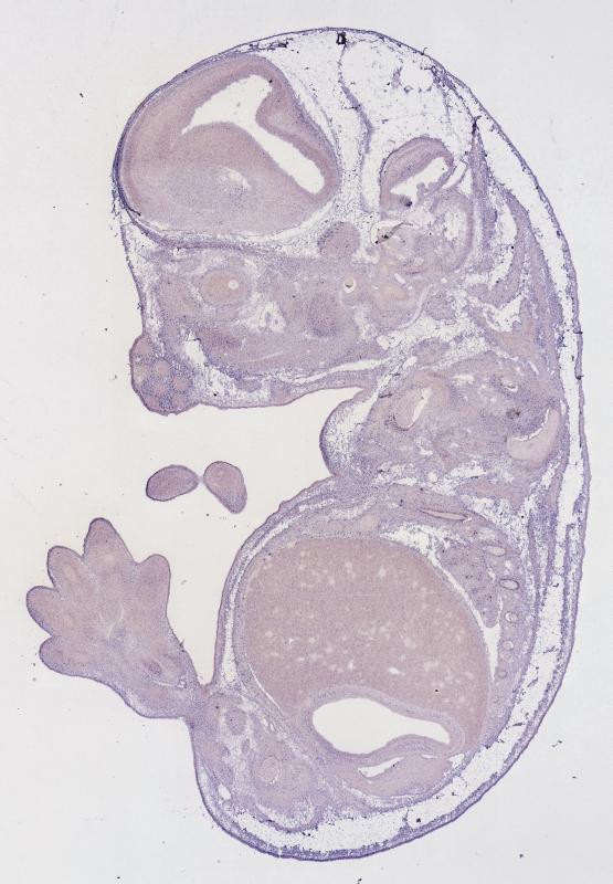
TS22: hindbrain Strong Regionally restricted Embryo_C1436_1_2D
TS22: cerebellum Strong Regionally restricted Embryo_C1436_1_2D
TS22: pons Moderate Regionally restricted Embryo_C1436_1_2B
TS22: medulla oblongata Strong Regionally restricted Embryo_C1436_1_4D
TS22: spinal cord Strong Regionally restricted Embryo_C1436_1_4A
TS22: choroid plexus Weak Regionally restricted Embryo_C1436_1_3C
TS22: meninges Absent
TS22: peripheral nervous system Moderate Regionally restricted Embryo_C1436_1_1C
TS22: cranial ganglion Moderate Regionally restricted Embryo_C1436_1_1C
TS22: dorsal root ganglion Absent
TS22: eye Strong Regionally restricted Embryo_C1436_1_6D
TS22: retina Strong Regionally restricted Embryo_C1436_1_6D
TS22: lens Absent
TS22: optic nerve Absent
TS22: nose Weak Regionally restricted Embryo_C1436_1_3A
TS22: olfactory epithelium Weak Regionally restricted Embryo_C1436_1_3A
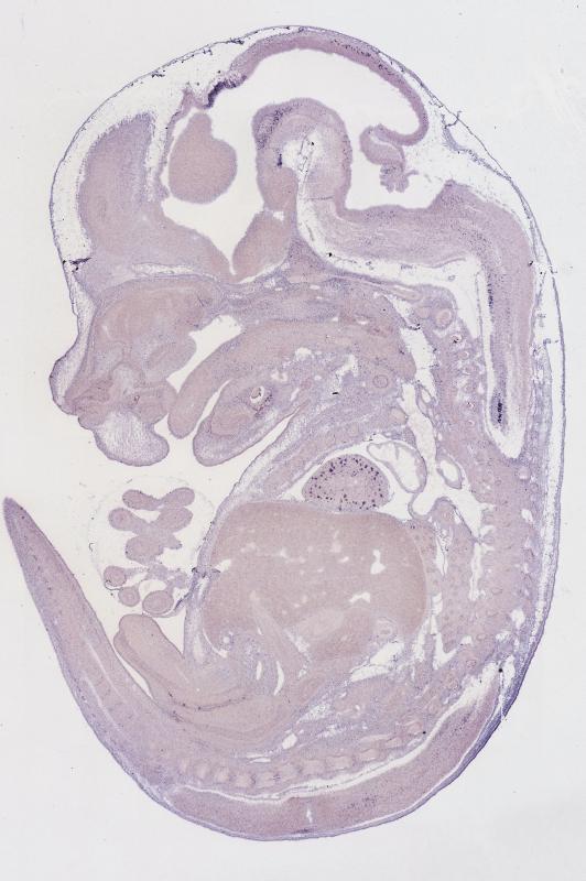
TS22: ear Strong Regionally restricted Embryo_C1436_1_2C
TS22: inner ear Strong Regionally restricted Embryo_C1436_1_2C
TS22: cochlea Strong Regionally restricted Embryo_C1436_1_2C
TS22: inner ear labyrinth Strong Regionally restricted Embryo_C1436_1_1C
TS22: middle ear Absent
TS22: alimentary system Weak Regionally restricted Embryo_C1436_1_3B Expression was weak in the digestive system.
TS22: intestine Absent
TS22: salivary gland Absent
TS22: tongue Absent
TS22: tooth Absent
TS22: palatal shelf Weak Regionally restricted Embryo_C1436_1_3B
TS22: esophagus Absent
TS22: stomach Weak Regionally restricted Embryo_C1436_1_6A
TS22: liver Absent
TS22: respiratory system Weak Regionally restricted Embryo_C1436_1_2A
TS22: pharynx Absent
TS22: larynx Absent
TS22: trachea Absent
TS22: main bronchus Absent
TS22: lung Weak Regionally restricted Embryo_C1436_1_2A
TS22: urinary system Weak Regionally restricted Embryo_C1436_1_4A Expression was weak in the genito-urinary system.
TS22: metanephros Absent
TS22: ureter Absent
TS22: bladder Weak Regionally restricted Embryo_C1436_1_4A
TS22: urethra Weak Regionally restricted Embryo_C1436_1_4A
TS22: reproductive system Weak Regionally restricted Embryo_C1436_1_4A
TS22: genital tubercle Weak Regionally restricted Embryo_C1436_1_4A
TS22: gonad Absent
TS22: gland Weak Regionally restricted Embryo_C1436_1_3C Expression was weak in the endocrine system.
TS22: thyroid gland Absent
TS22: pituitary gland Weak Regionally restricted Embryo_C1436_1_3C
TS22: pancreas Absent
TS22: adrenal gland Absent
TS22: cardiovascular system Absent
TS22: heart Absent
TS22: heart atrium Absent
TS22: heart ventricle Absent
TS22: blood vessel Absent
TS22: hemolymphoid system Absent Expression was not detected in the immune system.
TS22: spleen primordium Absent
TS22: thymus primordium Absent
TS22: appendicular skeleton Weak Regionally restricted Embryo_C1436_1_4B Expression was weak in the skeleton (limbs, shoulder, hip).
TS22: musculature Absent
TS22: face Absent Expression was not detected in the face/soft tissues.
TS22: facial bone primordium Absent
TS22: cranium Absent Expression was not detected in the skull (base and vault).
TS22: axial skeleton Weak Regionally restricted Embryo_C1436_1_6B
TS22: tail Moderate Regionally restricted Embryo_C1436_1_5A
TS22: forelimb Weak Regionally restricted Embryo_C1436_1_6A
TS22: hindlimb Weak Regionally restricted Embryo_C1436_1_6A
TS22: integumental system Weak Regionally restricted Embryo_C1436_1_6A
TS22: skin Weak Regionally restricted Embryo_C1436_1_6A
TS22: hair Absent
TS22: vibrissa follicle Absent Expression was not detected in whisker follicle.


Contributing Projects:
Mouse Genome Database (MGD), Gene Expression Database (GXD), Mouse Models of Human Cancer database (MMHCdb) (formerly Mouse Tumor Biology (MTB)), Gene Ontology (GO)
Citing These Resources
Funding Information
Warranty Disclaimer, Privacy Notice, Licensing, & Copyright
Send questions and comments to User Support.
last database update
12/30/2025
MGI 6.24
The Jackson Laboratory