About   Help   FAQ
Gene Expression Data
Assay Details
Assay
Reference: J:122989 Visel A, et al., GenePaint.org: an atlas of gene expression patterns in the mouse embryo. Nucleic Acids Res. 2004 Jan 1;32(Database issue):D552-6
Assay type: RNA in situ
MGI Accession ID: MGI:5421163
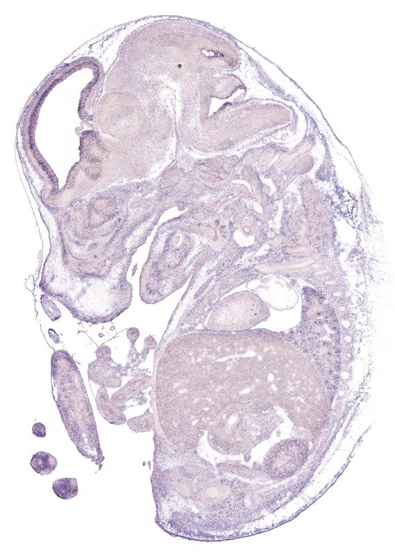
Gene symbol: Foxm1
Gene name: forkhead box M1
Probe: MH632 probe 546
Probe preparation: Antisense labelled with digoxigenin RNA
Visualized with: Alkaline phosphatase
Assay notes: Cryosections of fresh frozen material were fixed in 4% paraformaldehyde for 20 min. before further processing. A tyramide-biotin/streptavidin amplification step was included in the in situ hybridization procedure. These data were downloaded from GenePaint.org on 1/30/12.
Results
Specimen MH632; Specimen C1439: embryonic day 14.5 (more )
Structure Level Pattern Image Note
TS22: nervous system Strong Regionally restricted Embryo_C1439_4_3C
TS22: central nervous system Strong Regionally restricted Embryo_C1439_4_3C
TS22: telencephalon Strong Regionally restricted Embryo_C1439_4_3C
TS22: cerebral cortex Strong Regionally restricted Embryo_C1439_4_3C
TS22: neocortex Strong Regionally restricted Embryo_C1439_4_3A
TS22: olfactory cortex Strong Regionally restricted Embryo_C1439_4_3C
TS22: main olfactory bulb Strong Regionally restricted Embryo_C1439_4_3C
TS22: piriform cortex Absent
TS22: hippocampus Strong Regionally restricted Embryo_C1439_4_3C
TS22: basal ganglia Strong Regionally restricted Embryo_C1439_4_2C
TS22: corpus striatum Strong Regionally restricted Embryo_C1439_4_2C Expression was strong in the corpus striatum (lateral ganglionic eminence).
TS22: basal forebrain Moderate Regionally restricted Embryo_C1439_4_5C
TS22: amygdala Absent
TS22: telencephalon septum Absent
TS22: pallidum Moderate Regionally restricted Embryo_C1439_4_3C Expression was detected in the pallidum (medial ganglionic eminence).
TS22: diencephalon Moderate Regionally restricted Embryo_C1439_4_4A
TS22: thalamus Moderate Regionally restricted Embryo_C1439_4_4A
TS22: hypothalamus Moderate Regionally restricted Embryo_C1439_4_3D
TS22: midbrain Moderate Regionally restricted Embryo_C1439_4_4D
TS22: pretectum Absent
TS22: superior colliculus Moderate Regionally restricted Embryo_C1439_4_4D
TS22: inferior colliculus Moderate Regionally restricted Embryo_C1439_4_4D
TS22: midbrain tegmentum Weak Regionally restricted Embryo_C1439_4_4D
TS22: hindbrain Moderate Regionally restricted Embryo_C1439_4_4B
TS22: cerebellum Moderate Regionally restricted Embryo_C1439_4_4B
TS22: pons Weak Regionally restricted Embryo_C1439_4_3B
TS22: medulla oblongata Moderate Regionally restricted Embryo_C1439_4_3B
TS22: spinal cord Moderate Regionally restricted Embryo_C1439_4_3C
TS22: choroid plexus Absent
TS22: meninges Weak Ubiquitous Embryo_C1439_4_3D
TS22: peripheral nervous system Weak Regionally restricted Embryo_C1439_4_3A
TS22: cranial ganglion Absent
TS22: dorsal root ganglion Weak Ubiquitous Embryo_C1439_4_3A
TS22: eye Strong Regionally restricted Embryo_C1439_4_1A
TS22: retina Strong Regionally restricted Embryo_C1439_4_1A
TS22: lens Weak Regionally restricted Embryo_C1439_4_1A
TS22: cornea Weak Ubiquitous Embryo_C1439_4_1A
TS22: optic nerve Weak Ubiquitous Embryo_C1439_4_3C
TS22: nose Moderate Regionally restricted Embryo_C1439_4_5B
TS22: olfactory epithelium Moderate Regionally restricted Embryo_C1439_4_5B
TS22: ear Weak Regionally restricted Embryo_C1439_4_5A
TS22: inner ear Weak Regionally restricted Embryo_C1439_4_5A
TS22: cochlea Weak Regionally restricted Embryo_C1439_4_5A
TS22: inner ear labyrinth Weak Regionally restricted Embryo_C1439_4_5C
TS22: middle ear Weak Regionally restricted Embryo_C1439_4_6B
TS22: alimentary system Moderate Regionally restricted Embryo_C1439_4_3A Expression was detected in the digestive system.
TS22: intestine Weak Regionally restricted Embryo_C1439_4_3A
TS22: salivary gland Moderate Regionally restricted Embryo_C1439_4_3A
TS22: tongue Weak Regionally restricted Embryo_C1439_4_3D
TS22: tooth Moderate Regionally restricted Embryo_C1439_4_3D
TS22: palatal shelf Weak Regionally restricted Embryo_C1439_4_4A
TS22: esophagus Absent
TS22: stomach Weak Regionally restricted Embryo_C1439_4_6B
TS22: liver Absent
TS22: respiratory system Moderate Regionally restricted Embryo_C1439_4_2A
TS22: pharynx Weak Regionally restricted Embryo_C1439_4_3D
TS22: larynx Weak Regionally restricted Embryo_C1439_4_4A
TS22: trachea Absent
TS22: main bronchus Moderate Regionally restricted Embryo_C1439_4_4D
TS22: lung Moderate Regionally restricted Embryo_C1439_4_2A
TS22: urinary system Weak Regionally restricted Embryo_C1439_4_2C Expression was weak in the genito-urinary system.
TS22: metanephros Weak Regionally restricted Embryo_C1439_4_2C
TS22: ureter Absent
TS22: bladder Weak Regionally restricted Embryo_C1439_4_4A
TS22: urethra Absent
TS22: reproductive system Weak Regionally restricted Embryo_C1439_4_3D
TS22: genital tubercle Weak Regionally restricted Embryo_C1439_4_3D
TS22: gonad Absent
TS22: gland Weak Regionally restricted Embryo_C1439_4_4A Expression was weak in the endocrine system.
TS22: thyroid gland Weak Regionally restricted Embryo_C1439_4_3C
TS22: pituitary gland Weak Regionally restricted Embryo_C1439_4_4A
TS22: pancreas Absent
TS22: adrenal gland Absent
TS22: cardiovascular system Weak Regionally restricted Embryo_C1439_4_4A
TS22: heart Weak Regionally restricted Embryo_C1439_4_4A
TS22: heart atrium Weak Regionally restricted Embryo_C1439_4_4A
TS22: heart ventricle Weak Regionally restricted Embryo_C1439_4_4A
TS22: blood vessel Absent
TS22: hemolymphoid system Weak Regionally restricted Embryo_C1439_4_3C Expression was weak in the immune system.
TS22: spleen primordium Weak Ubiquitous Embryo_C1439_4_6B
TS22: thymus primordium Weak Regionally restricted Embryo_C1439_4_3C
TS22: appendicular skeleton Absent Expression was not detected in the skeleton (limbs, shoulder, hip).
TS22: musculature Absent
TS22: face Weak Regionally restricted Embryo_C1439_4_3C Expression was weak in the face/soft tissues.
TS22: facial bone primordium Absent
TS22: cranium Absent Expression was not detected in the skull (base and vault).
TS22: axial skeleton Absent
TS22: tail Weak Regionally restricted Embryo_C1439_4_4C
TS22: forelimb Moderate Regionally restricted Embryo_C1439_4_1A
TS22: hindlimb Weak Regionally restricted Embryo_C1439_4_6B
TS22: integumental system Moderate Regionally restricted Embryo_C1439_4_6B
TS22: skin Weak Regionally restricted Embryo_C1439_4_4C
TS22: hair Moderate Regionally restricted Embryo_C1439_4_6B
TS22: vibrissa follicle Moderate Regionally restricted Embryo_C1439_4_6B Expression was detected in whisker follicle.


Contributing Projects:
Mouse Genome Database (MGD), Gene Expression Database (GXD), Mouse Models of Human Cancer database (MMHCdb) (formerly Mouse Tumor Biology (MTB)), Gene Ontology (GO)
Citing These Resources
Funding Information
Warranty Disclaimer, Privacy Notice, Licensing, & Copyright
Send questions and comments to User Support.
last database update
03/31/2026
MGI 6.24
The Jackson Laboratory