About   Help   FAQ
Gene Expression Data
Assay Details
Assay
Reference: J:122989 Visel A, et al., GenePaint.org: an atlas of gene expression patterns in the mouse embryo. Nucleic Acids Res. 2004 Jan 1;32(Database issue):D552-6
Assay type: RNA in situ
MGI Accession ID: MGI:5421162
Gene symbol: Bhlhe22
Gene name: basic helix-loop-helix family, member e22
Probe: MH631 probe 548
Probe preparation: Antisense labelled with digoxigenin RNA
Visualized with: Alkaline phosphatase
Assay notes: Cryosections of fresh frozen material were fixed in 4% paraformaldehyde for 20 min. before further processing. A tyramide-biotin/streptavidin amplification step was included in the in situ hybridization procedure. These data were downloaded from GenePaint.org on 1/30/12.
Results
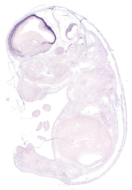
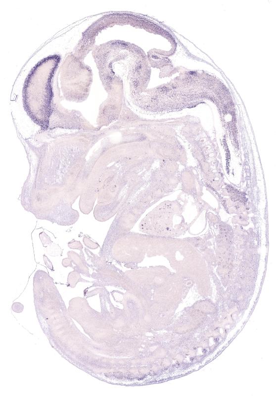
Specimen MH631; Specimen C1439: embryonic day 14.5 (more )
Structure Level Pattern Image Note
TS22: nervous system Strong Regionally restricted Embryo_C1439_5_3B
TS22: central nervous system Strong Regionally restricted Embryo_C1439_5_3B
TS22: telencephalon Strong Regionally restricted Embryo_C1439_5_3B
TS22: cerebral cortex Strong Regionally restricted Embryo_C1439_5_3B
TS22: neocortex Strong Regionally restricted Embryo_C1439_5_3B
TS22: olfactory cortex Strong Regionally restricted Embryo_C1439_5_3C
TS22: main olfactory bulb Strong Regionally restricted Embryo_C1439_5_3C
TS22: piriform cortex Moderate Regionally restricted Embryo_C1439_5_1C
TS22: hippocampus Strong Regionally restricted Embryo_C1439_5_3C
TS22: basal ganglia Strong Regionally restricted Embryo_C1439_5_3C
TS22: corpus striatum Weak Regionally restricted Embryo_C1439_5_6B Expression was weak in the corpus striatum (lateral ganglionic eminence).
TS22: basal forebrain Weak Regionally restricted Embryo_C1439_5_6C
TS22: amygdala Moderate Regionally restricted Embryo_C1439_5_1C
TS22: telencephalon septum Strong Regionally restricted Embryo_C1439_5_3C
TS22: pallidum Absent Expression was not detected in the pallidum (medial ganglionic eminence).
TS22: diencephalon Moderate Regionally restricted Embryo_C1439_5_4A
TS22: thalamus Moderate Regionally restricted Embryo_C1439_5_4A
TS22: hypothalamus Moderate Regionally restricted Embryo_C1439_5_3D
TS22: midbrain Moderate Regionally restricted Embryo_C1439_5_3B
TS22: pretectum Moderate Regionally restricted Embryo_C1439_5_3C
TS22: superior colliculus Moderate Regionally restricted Embryo_C1439_5_3C
TS22: inferior colliculus Weak Regionally restricted Embryo_C1439_5_3C
TS22: midbrain tegmentum Moderate Regionally restricted Embryo_C1439_5_3B
TS22: hindbrain Strong Regionally restricted Embryo_C1439_5_3B
TS22: cerebellum Moderate Regionally restricted Embryo_C1439_5_3A
TS22: pons Strong Regionally restricted Embryo_C1439_5_3B
TS22: medulla oblongata Strong Regionally restricted Embryo_C1439_5_3A
TS22: spinal cord Strong Regionally restricted Embryo_C1439_5_3C
TS22: choroid plexus Absent
TS22: meninges Absent
TS22: peripheral nervous system Moderate Regionally restricted Embryo_C1439_5_4B
TS22: cranial ganglion Moderate Regionally restricted Embryo_C1439_5_3A
TS22: dorsal root ganglion Moderate Regionally restricted Embryo_C1439_5_4B
TS22: eye Moderate Regionally restricted Embryo_C1439_5_1A
TS22: retina Moderate Regionally restricted Embryo_C1439_5_1A
TS22: lens Weak Regionally restricted Embryo_C1439_5_1A
TS22: optic nerve Absent
TS22: nose Absent
TS22: olfactory epithelium Absent
TS22: ear Moderate Regionally restricted Embryo_C1439_5_2C
TS22: inner ear Moderate Regionally restricted Embryo_C1439_5_2C
TS22: cochlea Moderate Regionally restricted Embryo_C1439_5_3A
TS22: inner ear labyrinth Moderate Regionally restricted Embryo_C1439_5_2C
TS22: middle ear Weak Regionally restricted Embryo_C1439_5_1A
TS22: alimentary system Weak Regionally restricted Embryo_C1439_5_4C Expression was weak in the digestive system.
TS22: intestine Absent
TS22: salivary gland Absent
TS22: tongue Absent
TS22: tooth Absent
TS22: palatal shelf Weak Regionally restricted Embryo_C1439_5_4C
TS22: esophagus Absent
TS22: stomach Weak Regionally restricted Embryo_C1439_5_6C
TS22: liver Absent
TS22: respiratory system Weak Regionally restricted Embryo_C1439_5_5A
TS22: pharynx Absent
TS22: larynx Absent
TS22: trachea Absent
TS22: main bronchus Absent
TS22: lung Weak Regionally restricted Embryo_C1439_5_5A
TS22: urinary system Weak Regionally restricted Embryo_C1439_5_2C Expression was weak in the genito-urinary system.
TS22: metanephros Weak Regionally restricted Embryo_C1439_5_2C
TS22: ureter Absent
TS22: bladder Weak Regionally restricted Embryo_C1439_5_4B
TS22: urethra Weak Regionally restricted Embryo_C1439_5_4B
TS22: reproductive system Weak Regionally restricted Embryo_C1439_5_3C
TS22: genital tubercle Weak Regionally restricted Embryo_C1439_5_3C
TS22: gonad Absent
TS22: gland Weak Regionally restricted Embryo_C1439_5_2C Expression was weak in the endocrine system.
TS22: thyroid gland Absent
TS22: pituitary gland Absent
TS22: pancreas Absent
TS22: adrenal gland Weak Regionally restricted Embryo_C1439_5_2C
TS22: cardiovascular system Weak Regionally restricted Embryo_C1439_5_4B
TS22: heart Absent
TS22: heart atrium Weak Regionally restricted Embryo_C1439_5_4B
TS22: heart ventricle Absent
TS22: blood vessel Absent
TS22: hemolymphoid system Absent Expression was not detected in the immune system.
TS22: spleen primordium Absent
TS22: thymus primordium Absent
TS22: appendicular skeleton Weak Regionally restricted Embryo_C1439_5_1D Expression was weak in the skeleton (limbs, shoulder, hip).
TS22: musculature Absent
TS22: face Weak Regionally restricted Embryo_C1439_5_3B Expression was weak in the face/soft tissues.
TS22: facial bone primordium Absent
TS22: cranium Absent Expression was not detected in the skull (base and vault).
TS22: axial skeleton Weak Regionally restricted Embryo_C1439_5_5B
TS22: tail Weak Regionally restricted Embryo_C1439_5_4B
TS22: forelimb Moderate Regionally restricted Embryo_C1439_5_1D
TS22: hindlimb Weak Regionally restricted Embryo_C1439_5_1A
TS22: integumental system Weak Regionally restricted Embryo_C1439_5_1C
TS22: skin Weak Regionally restricted Embryo_C1439_5_2B
TS22: hair Weak Regionally restricted Embryo_C1439_5_1C
TS22: vibrissa follicle Weak Regionally restricted Embryo_C1439_5_1C Expression was weak in whisker follicle.


Contributing Projects:
Mouse Genome Database (MGD), Gene Expression Database (GXD), Mouse Models of Human Cancer database (MMHCdb) (formerly Mouse Tumor Biology (MTB)), Gene Ontology (GO)
Citing These Resources
Funding Information
Warranty Disclaimer, Privacy Notice, Licensing, & Copyright
Send questions and comments to User Support.
last database update
10/07/2025
MGI 6.24
The Jackson Laboratory