About   Help   FAQ
Gene Expression Data
Assay Details
Assay
Reference: J:122989 Visel A, et al., GenePaint.org: an atlas of gene expression patterns in the mouse embryo. Nucleic Acids Res. 2004 Jan 1;32(Database issue):D552-6
Assay type: RNA in situ
MGI Accession ID: MGI:5421150
Gene symbol: Syt4
Gene name: synaptotagmin IV
Probe: MH616 probe 459
Probe preparation: Antisense labelled with digoxigenin RNA
Visualized with: Alkaline phosphatase
Assay notes: Cryosections of fresh frozen material were fixed in 4% paraformaldehyde for 20 min. before further processing. A tyramide-biotin/streptavidin amplification step was included in the in situ hybridization procedure. These data were downloaded from GenePaint.org on 1/30/12.
Results
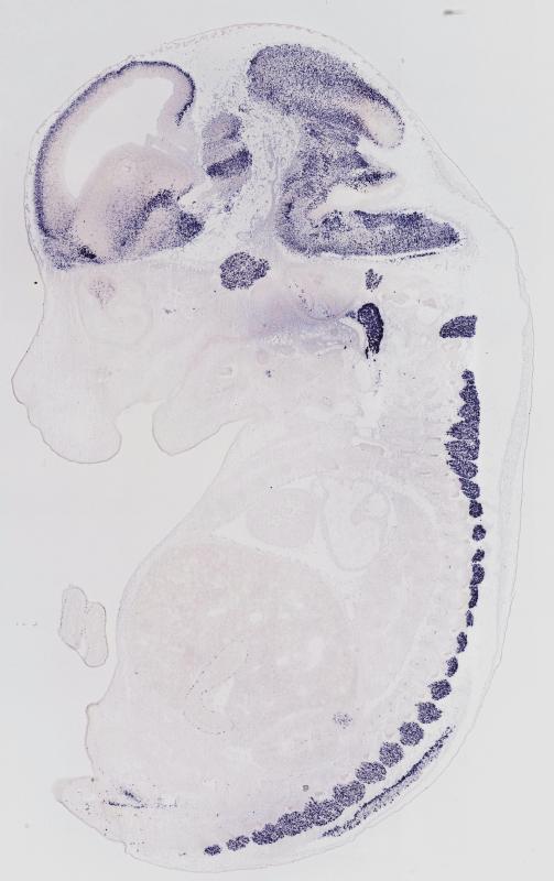
Specimen MH616; Specimen C1108: embryonic day 14.5 (more )
Structure Level Pattern Image Note
TS22: nervous system Strong Regionally restricted Embryo_C1108_7_3C
TS22: central nervous system Strong Regionally restricted Embryo_C1108_7_3C
TS22: telencephalon Strong Regionally restricted Embryo_C1108_7_4A
TS22: cerebral cortex Strong Regionally restricted Embryo_C1108_7_4A
TS22: neocortex Strong Regionally restricted Embryo_C1108_7_4C
TS22: olfactory cortex Strong Regionally restricted Embryo_C1108_7_4A
TS22: main olfactory bulb Strong Regionally restricted Embryo_C1108_7_4A
TS22: piriform cortex Strong Regionally restricted Embryo_C1108_7_1B
TS22: hippocampus Strong Regionally restricted Embryo_C1108_7_2A
TS22: basal ganglia Strong Regionally restricted Embryo_C1108_7_5A
TS22: corpus striatum Strong Regionally restricted Embryo_C1108_7_5A Expression was strong in the corpus striatum (lateral ganglionic eminence).
TS22: basal forebrain Strong Regionally restricted Embryo_C1108_7_2B
TS22: amygdala Strong Regionally restricted Embryo_C1108_7_1D
TS22: telencephalon septum Moderate Regionally restricted Embryo_C1108_7_3B
TS22: pallidum Absent Expression was not detected in the pallidum (medial ganglionic eminence).
TS22: diencephalon Strong Regionally restricted Embryo_C1108_7_3C
TS22: thalamus Moderate Regionally restricted Embryo_C1108_7_3A
TS22: hypothalamus Strong Regionally restricted Embryo_C1108_7_3C
TS22: midbrain Strong Regionally restricted Embryo_C1108_7_3D
TS22: pretectum Moderate Regionally restricted Embryo_C1108_7_3A
TS22: superior colliculus Strong Regionally restricted Embryo_C1108_7_3D
TS22: inferior colliculus Moderate Regionally restricted Embryo_C1108_7_4C
TS22: midbrain tegmentum Strong Regionally restricted Embryo_C1108_7_3B
TS22: hindbrain Strong Regionally restricted Embryo_C1108_7_4C
TS22: cerebellum Strong Regionally restricted Embryo_C1108_7_2B
TS22: pons Strong Regionally restricted Embryo_C1108_7_4C
TS22: medulla oblongata Strong Regionally restricted Embryo_C1108_7_3A
TS22: spinal cord Strong Regionally restricted Embryo_C1108_7_3C
TS22: choroid plexus Absent
TS22: meninges Absent
TS22: peripheral nervous system Strong Regionally restricted Embryo_C1108_7_2B
TS22: cranial ganglion Strong Regionally restricted Embryo_C1108_7_2B
TS22: dorsal root ganglion Strong Regionally restricted Embryo_C1108_7_2B
TS22: eye Strong Regionally restricted Embryo_C1108_7_1A
TS22: retina Strong Regionally restricted Embryo_C1108_7_1A
TS22: optic nerve Absent
TS22: nose Moderate Regionally restricted Embryo_C1108_7_3A
TS22: olfactory epithelium Moderate Regionally restricted Embryo_C1108_7_3A
TS22: ear Strong Regionally restricted Embryo_C1108_7_1B
TS22: inner ear Strong Regionally restricted Embryo_C1108_7_1B
TS22: cochlea Moderate Scattered Embryo_C1108_7_2A
TS22: inner ear labyrinth Strong Regionally restricted Embryo_C1108_7_1B
TS22: middle ear Absent
TS22: alimentary system Moderate Regionally restricted Embryo_C1108_7_4B Expression was detected in the digestive system.
TS22: intestine Weak Regionally restricted Embryo_C1108_7_2C
TS22: salivary gland Moderate Regionally restricted Embryo_C1108_7_2C
TS22: tongue Weak Regionally restricted Embryo_C1108_7_3A
TS22: tooth Absent
TS22: palatal shelf Absent
TS22: esophagus Weak Regionally restricted Embryo_C1108_7_3C
TS22: stomach Moderate Regionally restricted Embryo_C1108_7_4B
TS22: liver Absent
TS22: respiratory system Weak Regionally restricted Embryo_C1108_7_3D
TS22: pharynx Absent
TS22: larynx Weak Regionally restricted Embryo_C1108_7_3D
TS22: trachea Absent
TS22: main bronchus Absent
TS22: lung Absent
TS22: urinary system Absent Expression was not detected in the genito-urinary system.
TS22: metanephros Absent
TS22: ureter Absent
TS22: bladder Absent
TS22: urethra Absent
TS22: reproductive system Absent
TS22: genital tubercle Absent
TS22: gonad Absent
TS22: gland Moderate Regionally restricted Embryo_C1108_7_2B Expression was detected in the endocrine system.
TS22: thyroid gland Absent
TS22: pituitary gland Weak Regionally restricted Embryo_C1108_7_3C
TS22: pancreas Absent
TS22: adrenal gland Moderate Regionally restricted Embryo_C1108_7_2B
TS22: cardiovascular system Absent
TS22: heart Absent
TS22: heart atrium Absent
TS22: heart ventricle Absent
TS22: blood vessel Absent
TS22: hemolymphoid system Absent Expression was not detected in the immune system.
TS22: spleen primordium Absent
TS22: thymus primordium Absent
TS22: appendicular skeleton Absent Expression was not detected in the skeleton (limbs, shoulder, hip).
TS22: musculature Absent
TS22: face Strong Regionally restricted Embryo_C1108_7_5D Expression was strong in the face/soft tissues.
TS22: facial bone primordium Absent
TS22: cranium Absent Expression was not detected in the skull (base and vault).
TS22: axial skeleton Absent
TS22: tail Weak Regionally restricted Embryo_C1108_7_2B
TS22: forelimb Moderate Regionally restricted Embryo_C1108_7_1B
TS22: hindlimb Weak Regionally restricted Embryo_C1108_7_1A
TS22: integumental system Absent
TS22: skin Absent
TS22: hair Absent
TS22: vibrissa follicle Absent Expression was not detected in whisker follicle.


Contributing Projects:
Mouse Genome Database (MGD), Gene Expression Database (GXD), Mouse Models of Human Cancer database (MMHCdb) (formerly Mouse Tumor Biology (MTB)), Gene Ontology (GO)
Citing These Resources
Funding Information
Warranty Disclaimer, Privacy Notice, Licensing, & Copyright
Send questions and comments to User Support.
last database update
03/24/2026
MGI 6.24
The Jackson Laboratory