About   Help   FAQ
Gene Expression Data
Assay Details
Assay
Reference: J:122989 Visel A, et al., GenePaint.org: an atlas of gene expression patterns in the mouse embryo. Nucleic Acids Res. 2004 Jan 1;32(Database issue):D552-6
Assay type: RNA in situ
MGI Accession ID: MGI:5421134
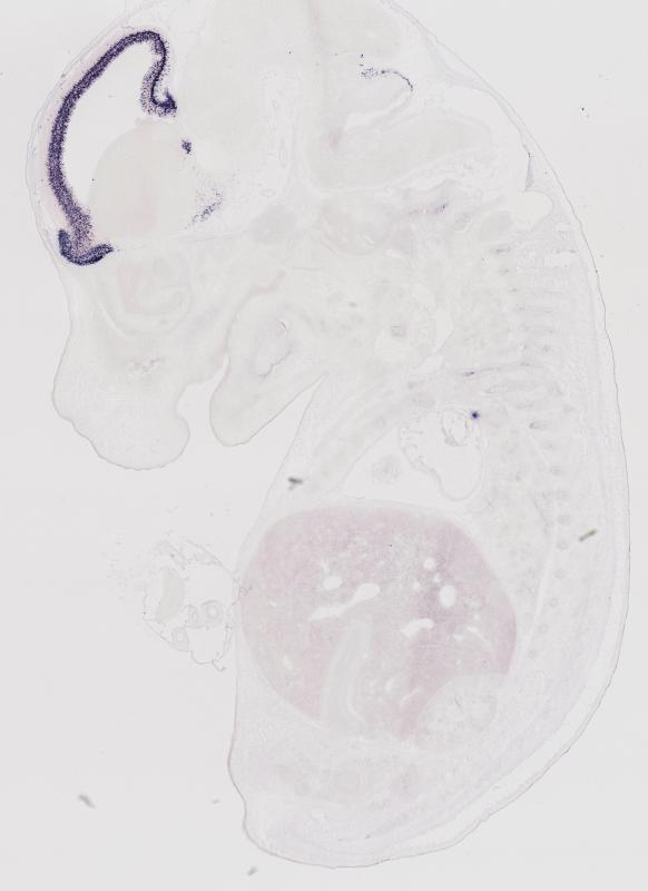
Gene symbol: Eomes
Gene name: eomesodermin
Probe: MH598 probe 391
Probe preparation: Antisense labelled with digoxigenin RNA
Visualized with: Alkaline phosphatase
Assay notes: Cryosections of fresh frozen material were fixed in 4% paraformaldehyde for 20 min. before further processing. A tyramide-biotin/streptavidin amplification step was included in the in situ hybridization procedure. These data were downloaded from GenePaint.org on 1/30/12.
Results
Specimen MH598; Specimen C1294: embryonic day 14.5 (more )
Structure Level Pattern Image Note
TS22: nervous system Strong Regionally restricted Embryo_C1294_3_3A
TS22: central nervous system Strong Regionally restricted Embryo_C1294_3_3A
TS22: telencephalon Strong Regionally restricted Embryo_C1294_3_2C
TS22: cerebral cortex Strong Regionally restricted Embryo_C1294_3_2C
TS22: neocortex Strong Regionally restricted Embryo_C1294_3_2C
TS22: olfactory cortex Strong Regionally restricted Embryo_C1294_3_2C
TS22: main olfactory bulb Strong Regionally restricted Embryo_C1294_3_2C
TS22: piriform cortex Absent
TS22: hippocampus Strong Regionally restricted Embryo_C1294_3_2C
TS22: basal ganglia Moderate Regionally restricted Embryo_C1294_3_1C
TS22: corpus striatum Absent Expression was not detected in the corpus striatum (lateral ganglionic eminence).
TS22: basal forebrain Absent
TS22: amygdala Moderate Regionally restricted Embryo_C1294_3_1C
TS22: telencephalon septum Absent
TS22: pallidum Absent Expression was not detected in the pallidum (medial ganglionic eminence).
TS22: diencephalon Strong Regionally restricted Embryo_C1294_3_3B
TS22: thalamus Strong Regionally restricted Embryo_C1294_3_3B
TS22: hypothalamus Moderate Regionally restricted Embryo_C1294_3_3B
TS22: midbrain Moderate Regionally restricted Embryo_C1294_3_3A
TS22: pretectum Weak Regionally restricted Embryo_C1294_3_3B
TS22: superior colliculus Weak Regionally restricted Embryo_C1294_3_3C
TS22: inferior colliculus Weak Regionally restricted Embryo_C1294_3_3A
TS22: midbrain tegmentum Moderate Regionally restricted Embryo_C1294_3_3A
TS22: hindbrain Moderate Regionally restricted Embryo_C1294_3_3A
TS22: cerebellum Moderate Regionally restricted Embryo_C1294_3_3A
TS22: pons Absent
TS22: medulla oblongata Absent
TS22: spinal cord Absent
TS22: choroid plexus Absent
TS22: meninges Absent
TS22: peripheral nervous system Absent
TS22: cranial ganglion Absent
TS22: dorsal root ganglion Absent
TS22: eye Strong Regionally restricted Embryo_C1294_3_6C
TS22: retina Strong Regionally restricted Embryo_C1294_3_6C
TS22: lens Absent
TS22: cornea Absent
TS22: optic nerve Absent
TS22: nose Absent
TS22: olfactory epithelium Absent
TS22: ear Absent
TS22: inner ear Absent
TS22: cochlea Absent
TS22: inner ear labyrinth Absent
TS22: middle ear Absent
TS22: alimentary system Absent Expression was not detected in the digestive system.
TS22: respiratory system Absent
TS22: urinary system Absent Expression was not detected in the genito-urinary system.
TS22: gland Absent Expression was not detected in the endocrine system.
TS22: cardiovascular system Absent
TS22: hemolymphoid system Absent Expression was not detected in the immune system.
TS22: appendicular skeleton Absent Expression was not detected in the skeleton (limbs, shoulder, hip).
TS22: musculature Absent
TS22: face Absent Expression was not detected in the face/soft tissues.
TS22: facial bone primordium Absent
TS22: cranium Absent Expression was not detected in the skull (base and vault).
TS22: axial skeleton Absent
TS22: tail Absent
TS22: forelimb Absent
TS22: hindlimb Moderate Regionally restricted Embryo_C1294_3_6A
TS22: integumental system Absent


Contributing Projects:
Mouse Genome Database (MGD), Gene Expression Database (GXD), Mouse Models of Human Cancer database (MMHCdb) (formerly Mouse Tumor Biology (MTB)), Gene Ontology (GO)
Citing These Resources
Funding Information
Warranty Disclaimer, Privacy Notice, Licensing, & Copyright
Send questions and comments to User Support.
last database update
01/20/2026
MGI 6.24
The Jackson Laboratory