About   Help   FAQ
Gene Expression Data
Assay Details
Assay
Reference: J:122989 Visel A, et al., GenePaint.org: an atlas of gene expression patterns in the mouse embryo. Nucleic Acids Res. 2004 Jan 1;32(Database issue):D552-6
Assay type: RNA in situ
MGI Accession ID: MGI:5421116
Gene symbol: Mecom
Gene name: MDS1 and EVI1 complex locus
Probe: MH570 probe 520
Probe preparation: Antisense labelled with digoxigenin RNA
Visualized with: Alkaline phosphatase
Assay notes: Cryosections of fresh frozen material were fixed in 4% paraformaldehyde for 20 min. before further processing. A tyramide-biotin/streptavidin amplification step was included in the in situ hybridization procedure. These data were downloaded from GenePaint.org on 1/30/12.
Results
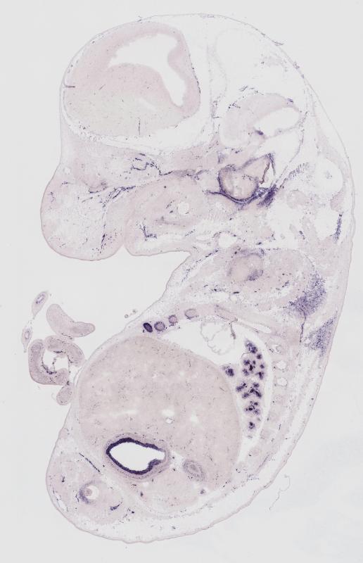
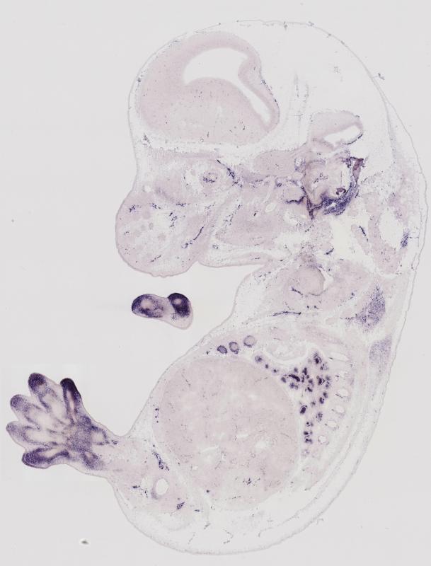
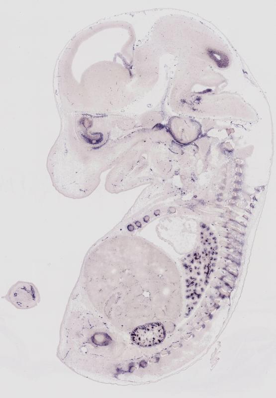
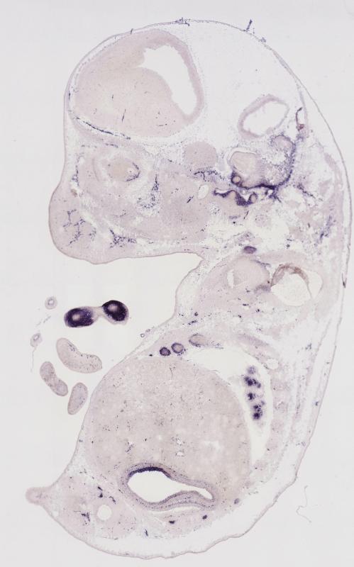
Specimen MH570; Specimen C1265: embryonic day 14.5 (more )
Structure Level Pattern Image Note
TS22: nervous system Strong Regionally restricted Embryo_C1265_6_3B
TS22: central nervous system Strong Regionally restricted Embryo_C1265_6_3B
TS22: telencephalon Weak Regionally restricted Embryo_C1265_6_3A
TS22: cerebral cortex Weak Scattered Embryo_C1265_6_5B
TS22: neocortex Weak Scattered Embryo_C1265_6_5B
TS22: olfactory cortex Absent
TS22: main olfactory bulb Absent
TS22: piriform cortex Absent
TS22: hippocampus Absent
TS22: basal ganglia Weak Scattered Embryo_C1265_6_3A
TS22: corpus striatum Weak Scattered Embryo_C1265_6_6B Expression was weak in the corpus striatum (lateral ganglionic eminence).
TS22: basal forebrain Weak Scattered Embryo_C1265_6_3A
TS22: amygdala Weak Scattered Embryo_C1265_6_1B
TS22: telencephalon septum Weak Scattered Embryo_C1265_6_4C
TS22: pallidum Weak Scattered Embryo_C1265_6_3A Expression was weak in the pallidum (medial ganglionic eminence).
TS22: diencephalon Moderate Regionally restricted Embryo_C1265_6_4A
TS22: thalamus Moderate Regionally restricted Embryo_C1265_6_3C
TS22: hypothalamus Moderate Regionally restricted Embryo_C1265_6_4A
TS22: midbrain Moderate Regionally restricted Embryo_C1265_6_3A
TS22: pretectum Moderate Regionally restricted Embryo_C1265_6_4A
TS22: superior colliculus Weak Regionally restricted Embryo_C1265_6_3B
TS22: inferior colliculus Moderate Regionally restricted Embryo_C1265_6_3A
TS22: midbrain tegmentum Weak Regionally restricted Embryo_C1265_6_3A
TS22: hindbrain Strong Regionally restricted Embryo_C1265_6_3B
TS22: cerebellum Absent
TS22: pons Strong Regionally restricted Embryo_C1265_6_3A
TS22: medulla oblongata Strong Regionally restricted Embryo_C1265_6_3B
TS22: spinal cord Strong Regionally restricted Embryo_C1265_6_3B
TS22: choroid plexus Moderate Regionally restricted Embryo_C1265_6_2C
TS22: meninges Absent
TS22: peripheral nervous system Weak Regionally restricted Embryo_C1265_6_2A
TS22: cranial ganglion Weak Scattered Embryo_C1265_6_2A
TS22: dorsal root ganglion Absent
TS22: eye Weak Regionally restricted Embryo_C1265_6_1A
TS22: retina Weak Regionally restricted Embryo_C1265_6_1A
TS22: lens Weak Regionally restricted Embryo_C1265_6_1A
TS22: cornea Absent
TS22: optic nerve Absent
TS22: nose Strong Regionally restricted Embryo_C1265_6_5A
TS22: olfactory epithelium Strong Regionally restricted Embryo_C1265_6_5A
TS22: ear Strong Regionally restricted Embryo_C1265_6_5A
TS22: inner ear Strong Regionally restricted Embryo_C1265_6_5A
TS22: cochlea Strong Regionally restricted Embryo_C1265_6_5A
TS22: inner ear labyrinth Strong Regionally restricted Embryo_C1265_6_5D
TS22: middle ear Absent
TS22: alimentary system Strong Regionally restricted Embryo_C1265_6_5C Expression was strong in the digestive system.
TS22: intestine Moderate Scattered Embryo_C1265_6_3C
TS22: salivary gland Absent
TS22: tongue Moderate Regionally restricted Embryo_C1265_6_4B
TS22: tooth Absent
TS22: palatal shelf Absent
TS22: esophagus Moderate Regionally restricted Embryo_C1265_6_4A
TS22: stomach Strong Regionally restricted Embryo_C1265_6_5C
TS22: liver Weak Scattered Embryo_C1265_6_3B
TS22: respiratory system Strong Regionally restricted Embryo_C1265_6_5B
TS22: pharynx Moderate Regionally restricted Embryo_C1265_6_3C
TS22: larynx Moderate Regionally restricted Embryo_C1265_6_4A
TS22: trachea Strong Regionally restricted Embryo_C1265_6_3D
TS22: main bronchus Strong Regionally restricted Embryo_C1265_6_4C
TS22: lung Strong Regionally restricted Embryo_C1265_6_5B
TS22: urinary system Strong Regionally restricted Embryo_C1265_6_5A Expression was strong in the genito-urinary system.
TS22: metanephros Strong Regionally restricted Embryo_C1265_6_5A
TS22: ureter Moderate Regionally restricted Embryo_C1265_6_4A
TS22: bladder Weak Regionally restricted Embryo_C1265_6_4A
TS22: urethra Moderate Regionally restricted Embryo_C1265_6_4A
TS22: reproductive system Moderate Regionally restricted Embryo_C1265_6_4B
TS22: genital tubercle Moderate Regionally restricted Embryo_C1265_6_4B
TS22: gonad Moderate Scattered Embryo_C1265_6_2A
TS22: gland Moderate Regionally restricted Embryo_C1265_6_4A Expression was detected in the endocrine system.
TS22: thyroid gland Absent
TS22: pituitary gland Moderate Regionally restricted Embryo_C1265_6_4A
TS22: pancreas Moderate Regionally restricted Embryo_C1265_6_4C
TS22: adrenal gland Weak Regionally restricted Embryo_C1265_6_5A
TS22: cardiovascular system Moderate Regionally restricted Embryo_C1265_6_3D
TS22: heart Moderate Regionally restricted Embryo_C1265_6_3D
TS22: heart atrium Moderate Regionally restricted Embryo_C1265_6_3D
TS22: heart ventricle Moderate Regionally restricted Embryo_C1265_6_5A
TS22: blood vessel Moderate Regionally restricted Embryo_C1265_6_4B
TS22: hemolymphoid system Moderate Regionally restricted Embryo_C1265_6_6A Expression was detected in the immune system.
TS22: spleen primordium Moderate Scattered Embryo_C1265_6_6A
TS22: thymus primordium Moderate Scattered Embryo_C1265_6_4B
TS22: appendicular skeleton Moderate Regionally restricted Embryo_C1265_6_6C Expression was detected in the skeleton (limbs, shoulder, hip).
TS22: musculature Absent
TS22: face Strong Regionally restricted Embryo_C1265_6_4B Expression was strong in the face/soft tissues.
TS22: facial bone primordium Absent
TS22: cranium Absent Expression was not detected in the skull (base and vault).
TS22: axial skeleton Strong Regionally restricted Embryo_C1265_6_2B
TS22: tail Moderate Regionally restricted Embryo_C1265_6_4C
TS22: forelimb Strong Regionally restricted Embryo_C1265_6_1B
TS22: hindlimb Strong Regionally restricted Embryo_C1265_6_2A
TS22: integumental system Strong Regionally restricted Embryo_C1265_6_1D
TS22: skin Strong Regionally restricted Embryo_C1265_6_1D
TS22: hair Absent
TS22: vibrissa follicle Absent Expression was not detected in whisker follicle.


Contributing Projects:
Mouse Genome Database (MGD), Gene Expression Database (GXD), Mouse Models of Human Cancer database (MMHCdb) (formerly Mouse Tumor Biology (MTB)), Gene Ontology (GO)
Citing These Resources
Funding Information
Warranty Disclaimer, Privacy Notice, Licensing, & Copyright
Send questions and comments to User Support.
last database update
12/30/2025
MGI 6.24
The Jackson Laboratory