About   Help   FAQ
Gene Expression Data
Assay Details
Assay
Reference: J:122989 Visel A, et al., GenePaint.org: an atlas of gene expression patterns in the mouse embryo. Nucleic Acids Res. 2004 Jan 1;32(Database issue):D552-6
Assay type: RNA in situ
MGI Accession ID: MGI:5421112
Gene symbol: E2f4
Gene name: E2F transcription factor 4
Probe: MH565 probe 530
Probe preparation: Antisense labelled with digoxigenin RNA
Visualized with: Alkaline phosphatase
Assay notes: Cryosections of fresh frozen material were fixed in 4% paraformaldehyde for 20 min. before further processing. A tyramide-biotin/streptavidin amplification step was included in the in situ hybridization procedure. These data were downloaded from GenePaint.org on 1/30/12.
Results
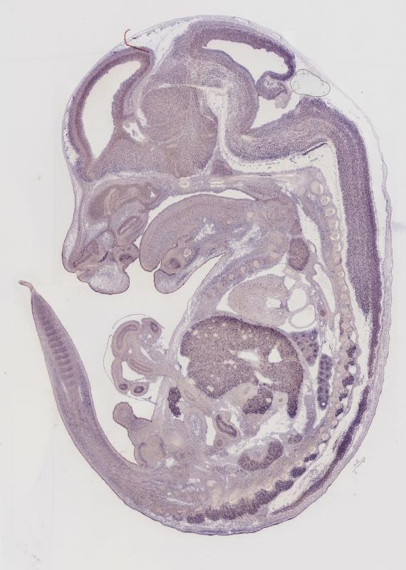
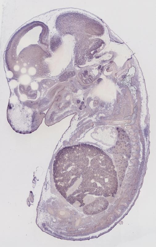
Specimen MH565; Specimen C1253: embryonic day 14.5 (more )
Structure Level Pattern Image Note
TS22: nervous system Strong Regionally restricted Embryo_C1253_2_4C
TS22: central nervous system Strong Regionally restricted Embryo_C1253_2_4C
TS22: telencephalon Moderate Regionally restricted Embryo_C1253_2_3B
TS22: cerebral cortex Moderate Regionally restricted Embryo_C1253_2_3B
TS22: neocortex Moderate Regionally restricted Embryo_C1253_2_5C
TS22: olfactory cortex Moderate Regionally restricted Embryo_C1253_2_3B
TS22: main olfactory bulb Moderate Regionally restricted Embryo_C1253_2_3B
TS22: piriform cortex Moderate Regionally restricted Embryo_C1253_2_2B
TS22: hippocampus Moderate Regionally restricted Embryo_C1253_2_2C
TS22: basal ganglia Moderate Regionally restricted Embryo_C1253_2_4C
TS22: corpus striatum Weak Regionally restricted Embryo_C1253_2_2B Expression was weak in the corpus striatum (lateral ganglionic eminence).
TS22: basal forebrain Absent
TS22: amygdala Weak Regionally restricted Embryo_C1253_2_2B
TS22: telencephalon septum Moderate Regionally restricted Embryo_C1253_2_4C
TS22: pallidum Absent Expression was not detected in the pallidum (medial ganglionic eminence).
TS22: diencephalon Moderate Regionally restricted Embryo_C1253_2_4C
TS22: thalamus Weak Regionally restricted Embryo_C1253_2_4C
TS22: hypothalamus Moderate Regionally restricted Embryo_C1253_2_4C
TS22: midbrain Strong Regionally restricted Embryo_C1253_2_4C
TS22: pretectum Moderate Regionally restricted Embryo_C1253_2_4C
TS22: superior colliculus Strong Regionally restricted Embryo_C1253_2_4C
TS22: inferior colliculus Strong Regionally restricted Embryo_C1253_2_4C
TS22: midbrain tegmentum Strong Regionally restricted Embryo_C1253_2_4C
TS22: hindbrain Strong Regionally restricted Embryo_C1253_2_4A
TS22: cerebellum Moderate Regionally restricted Embryo_C1253_2_4C
TS22: pons Weak Regionally restricted Embryo_C1253_2_4C
TS22: medulla oblongata Strong Regionally restricted Embryo_C1253_2_4A
TS22: spinal cord Moderate Regionally restricted Embryo_C1253_2_4C
TS22: choroid plexus Weak Regionally restricted Embryo_C1253_2_4C
TS22: meninges Weak Regionally restricted Embryo_C1253_2_2B
TS22: peripheral nervous system Moderate Regionally restricted Embryo_C1253_2_3C
TS22: cranial ganglion Moderate Regionally restricted Embryo_C1253_2_6A
TS22: dorsal root ganglion Moderate Regionally restricted Embryo_C1253_2_3C
TS22: eye Strong Regionally restricted Embryo_C1253_2_1B
TS22: retina Moderate Regionally restricted Embryo_C1253_2_1B
TS22: lens Strong Regionally restricted Embryo_C1253_2_1B
TS22: cornea Weak Regionally restricted
TS22: optic nerve Absent
TS22: nose Weak Regionally restricted Embryo_C1253_2_5B
TS22: olfactory epithelium Weak Regionally restricted Embryo_C1253_2_5B
TS22: ear Moderate Regionally restricted Embryo_C1253_2_3A
TS22: inner ear Moderate Regionally restricted Embryo_C1253_2_3A
TS22: cochlea Moderate Regionally restricted Embryo_C1253_2_3A
TS22: inner ear labyrinth Moderate Regionally restricted Embryo_C1253_2_2A
TS22: middle ear Moderate Regionally restricted Embryo_C1253_2_1C
TS22: alimentary system Strong Regionally restricted Embryo_C1253_2_6D Expression was strong in the digestive system.
TS22: intestine Moderate Regionally restricted Embryo_C1253_2_4A
TS22: salivary gland Moderate Regionally restricted Embryo_C1253_2_3C
TS22: tongue Strong Regionally restricted Embryo_C1253_2_4C
TS22: tooth Moderate Regionally restricted Embryo_C1253_2_4A
TS22: palatal shelf Weak Regionally restricted Embryo_C1253_2_3D
TS22: esophagus Moderate Regionally restricted Embryo_C1253_2_4C
TS22: stomach Weak Regionally restricted Embryo_C1253_2_6A
TS22: liver Strong Regionally restricted Embryo_C1253_2_6D
TS22: respiratory system Moderate Regionally restricted Embryo_C1253_2_5A
TS22: pharynx Weak Regionally restricted Embryo_C1253_2_4B
TS22: larynx Weak Regionally restricted Embryo_C1253_2_4C
TS22: trachea Weak Regionally restricted Embryo_C1253_2_4B
TS22: main bronchus Weak Regionally restricted Embryo_C1253_2_3C
TS22: lung Moderate Regionally restricted Embryo_C1253_2_5A
TS22: urinary system Moderate Regionally restricted Embryo_C1253_2_5A Expression was detected in the genito-urinary system.
TS22: metanephros Weak Regionally restricted Embryo_C1253_2_3A
TS22: ureter Weak Regionally restricted Embryo_C1253_2_4B
TS22: bladder Absent
TS22: urethra Weak Regionally restricted Embryo_C1253_2_4B
TS22: reproductive system Moderate Regionally restricted Embryo_C1253_2_5A
TS22: genital tubercle Moderate Regionally restricted Embryo_C1253_2_5A
TS22: gonad Absent
TS22: gland Moderate Regionally restricted Embryo_C1253_2_4A Expression was detected in the endocrine system.
TS22: thyroid gland Moderate Regionally restricted Embryo_C1253_2_4A
TS22: pituitary gland Weak Regionally restricted Embryo_C1253_2_4C
TS22: pancreas Weak Regionally restricted Embryo_C1253_2_5C
TS22: adrenal gland Absent
TS22: cardiovascular system Weak Regionally restricted Embryo_C1253_2_5A
TS22: heart Weak Regionally restricted Embryo_C1253_2_5A
TS22: heart atrium Weak Regionally restricted Embryo_C1253_2_4B
TS22: heart ventricle Weak Regionally restricted Embryo_C1253_2_5A
TS22: blood vessel Absent
TS22: hemolymphoid system Moderate Regionally restricted Embryo_C1253_2_4B Expression was detected in the immune system.
TS22: spleen primordium Absent
TS22: thymus primordium Moderate Regionally restricted Embryo_C1253_2_4B
TS22: appendicular skeleton Weak Regionally restricted Embryo_C1253_2_3C Expression was weak in the skeleton (limbs, shoulder, hip).
TS22: musculature Weak Regionally restricted Embryo_C1253_2_2B
TS22: face Moderate Regionally restricted Embryo_C1253_2_5A Expression was detected in the face/soft tissues.
TS22: facial bone primordium Absent
TS22: cranium Absent Expression was not detected in the skull (base and vault).
TS22: axial skeleton Moderate Regionally restricted Embryo_C1253_2_6A
TS22: tail Moderate Regionally restricted Embryo_C1253_2_4A
TS22: forelimb Strong Regionally restricted
TS22: hindlimb Strong Regionally restricted Embryo_C1253_2_6B
TS22: integumental system Strong Regionally restricted Embryo_C1253_2_2C
TS22: skin Strong Regionally restricted Embryo_C1253_2_4C
TS22: hair Strong Regionally restricted Embryo_C1253_2_2C
TS22: vibrissa follicle Strong Regionally restricted Embryo_C1253_2_2C Expression was strong in whisker follicle.


Contributing Projects:
Mouse Genome Database (MGD), Gene Expression Database (GXD), Mouse Models of Human Cancer database (MMHCdb) (formerly Mouse Tumor Biology (MTB)), Gene Ontology (GO)
Citing These Resources
Funding Information
Warranty Disclaimer, Privacy Notice, Licensing, & Copyright
Send questions and comments to User Support.
last database update
04/14/2026
MGI 6.24
The Jackson Laboratory